Колено болит и горячее. Воспалительные патологии
- Колено болит и горячее. Воспалительные патологии
- Боль в колене сбоку. Болит колено с внутренней стороны
- Боль в колене, как иголкой. Боль в коленном суставе: причины, лечение, почему болят колени, что с этим делать, как и чем их лечить
- Болит колено сбоку с внешней стороны лечение. Почему болит колено сбоку снаружи
Колено болит и горячее. Воспалительные патологии
Жжение в коленном суставе появляется на начальном этапе развития любой острой воспалительной патологии. Оно сопровождает все хронические заболевания, возникает на стадии ремиссии и во время рецидивов.может поражать хрящевые, костные, мягкие ткани, мышцы, связочно-сухожильный аппарат. Он бывает первичным, развивающимся в ответ на предшествующую травму, или вторичным, возникающим на фоне деструктивно-дегенеративных изменений в колене. Жжение часто становится одним из первых клинических проявлений следующих воспалительных патологий:
- ревматоидный и реактивный артрит . Основная причина заболевания — нарушение ответа иммунной системы, которая начинает атаковать собственные клетки организма. Воспалением оказываются поражены синовиальные сумки, хрящевые и мягкие ткани. Колено отекает, кожа над суставом краснеет, становится горячей на ощупь;

Ревматоидный артрит.
- инфекционный артрит . Патологию провоцируют проникшие в суставную полость болезнетворные бактерии, реже — вирусы или грибки. Они не только вызывают жжение и болезненные ощущения, но и выделяют в окружающее пространство токсичные продукты своей жизнедеятельности. У человека повышается температура, возникают диспепсические и неврологические расстройства;
- подагра. В результате расстройства регуляции метаболизма пуринов в суставах начинают откладываться кристаллы солей мочевой кислоты. Постепенно они укрупняются, образуя ураты. Эти мелкие конкременты раздражают суставные структуры, провоцируя постоянное ощущение жжения. Во время подагрических атак оно сменяется острой, пронизывающей болью;

- бурсит , синовит . Артриты, артрозы, инфекции способны стать причиной воспаления синовиальных сумок с образованием и накоплением в них жидкости — патологического экссудата. Пораженное колено сильно опухает и болит . Помимо жжения, в нем ощущаются боли, усиливающиеся во время ходьбы , сгибания или разгибания сустава .

"Врачи скрывают правду!"
Даже "запущенные" проблемы с суставами можно вылечить дома! Просто не забывайте раз в день мазать этим…
>Одна из разновидностей бурсита —. В результате развития воспалительного процесса в подколенной ямке образуется выпячивание. Первые клинические проявления патологии, в том числе и жжение, возникают при формировании кисты больших размеров. Она сдавливает нервные окончания и кровеносные сосуды в подколенной ямке. Киста не только хорошо прощупывается — ее можно разглядеть невооруженным глазом. Патологию сопровождают боли, ограничение объема движений, а в некоторых случаях — онемение, подошвенные парестезии.

Боль в колене сбоку. Болит колено с внутренней стороны
Стреляющая, ноющая боль в колене иногда посещает даже самых здоровых людей. Неприятные ощущения с внутренней стороны указывают на возникновение заболеваний мениска, хрящевых тканей или повреждение сухожилий. Подвержено таким болям большинство людей, начиная от профессиональных спортсменов, заканчивая надомными работниками.
Симптомы боли в колене сбоку с внутренней стороны
Человек может испытывать болевые ощущения с внутренней стороны колена разного характера. Тип и серьезность повреждения влияет напрямую на интенсивность болей. Часто человек начинает жаловаться на приходящий дискомфорт в коленном суставе после интенсивных тренировок. Неприятные чувства более активно проявляются ночью. Иногда эти ощущения приходят непосредственно при выполнении упражнений. Через некоторое время боль с внутренней стороны станет сильной и будет беспокоить постоянно. Источник неприятных ощущений может быть следующим:

- Повреждение связок . Непосредственно в сам момент повреждения будет слышен хруст или щелчок (треск), далее последует резкая, острая боль с внутренней стороны колена.
- Тендинит коленного сустава или повреждение сухожилия. Люди, которые занимаются бегом, велосипедисты, лыжники подвержены такому виду травм. Происходит воспаление, раздражение сухожилия, что провоцирует боль в коленном суставе спереди и внутренней стороны во время прыжков, бега, подъема по лестнице, приседания на корточки. Максимально неприятные ощущения будут при вращении колена. При окончательном разрыве сухожилия человек теряет способность ходить.
- Повреждение мениска . При постепенном разрушении волокон боль будет умеренная, может возникнуть опухоль в течение 2 суток. При истончении тканей во время движения может появляться сильная боль внутри колена (под коленной чашечкой). Проблема лечится только хирургическим путем.
- Бурсит . Некоторые повреждения колена провоцируют воспалительный процесс в сумке с синовиальной жидкостью, которая обеспечивает связкам и сухожилиям скольжение в местах соединения. Патология этой области приводит к сильной боли, когда человек встает на колени, присаживается на корточки.
- Артрит септический. Иногда происходит заражение сустава из-за чего у человека болит колено с внутренней стороны, может возникнуть опухоль, не дающая согнуть ногу, краснота. Гнойный (септический) артрит сопровождается лихорадкой.
- Считался исключительно возрастным заболеванием, но сейчас его могут обнаружить даже в коленке ребенка. Затрагивает связки, что выливается в постоянное чувство дискомфорта, скованности движений (особенно утром). Происходит деформация коленных суставов. В большинстве случаев одновременно поражаются левое и правое колено.
- Грыжа подколенной ямки, или киста Бейкера . Сопровождается сильной ноющей, тянущей болью с внутренней стороны колена. Оно может опухнуть: возникает отек вследствие воспалительного процесса.
- Периартрит коленного сустава . Чаще возникает у женщин, вызывает воспалительный процесс околосуставных тканей. Характеризуется резкой болью во время приседаний, ноющей болью при изменении положения, в состоянии покоя.
Боль в колене, как иголкой. Боль в коленном суставе: причины, лечение, почему болят колени, что с этим делать, как и чем их лечить
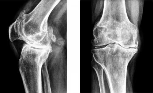
На изображении справа заметно сращение суставной щели.
Коленный сустав является одним из самых крупных и сложных. Ежедневно он подвергается огромной нагрузке, поэтому неудивительно, что периодически он перестает функционировать нормально.Если, причем боль практически постоянная, то необходимо обязательно. Такое патологическое состояние может быть сигналом о развитии одного из, деформирующего сустав. Естественно, необходимо научиться различать ситуации, когда визит к врачу очень нужен. Но отсутствиеили самостоятельная терапия может привести к осложнениям.
Строение коленного сустава
Важно знать! Врачи в шоке: "Эффективное и доступное средство от боли в суставах существует…"…
Чтобы лучше понять, почему болят колени, нужно разобраться с их анатомией. Итак, сочленение состоит из бедренной, большой берцовой кости и коленной чашечки. Две самые большие кости имеют по два выступа: внутренний и наружный мыщелки.

Все поверхности, которые соприкасаются друг с другом, покрыты гиалиновым хрящом. Благодаря ему обеспечивается подвижность коленного сустава, его амортизационные свойства. Вокруг этого соединения костей находится своеобразная капсула, изнутри выстланная синовиальным слоем. Она наполнена, благодаря которой производится питание сочленения, обеспечивается его подвижность.
Коленный сустав состоит не только из костей. Все его элементы объединяются крестообразными и коллатеральными связками, бедренными мышцами, сухожилиями. Коленная чашечка крепится к другим элементам посредством собственной связки. Для того чтобы колено двигалось, необходимо 6 синовиальных сумок. Питание и иннервация представленного сустава осуществляется посредством нервов и кровеносных сосудов, которые размещены в мягких тканях, окружающих сустав.
Боль в коленном суставе: причины появления
Если колено стало болеть, появился отек, подвижность ограничена, а дискомфорт является достаточно сильным, необходимо срочно обратиться к врачу. Если деструктивный процесс уже начался, то полностью вылечить колено будет невозможно. Однако остановить или замедлить его прогрессирование удастся.
Итак, можно выделить такие причины боли в коленном суставе:
- гонартроз . Он встречается практически в 50% всех случаев поражения сочленения. Патология развивается очень долго. Среди симптомов этой болезни можно выделить такие: колено не болит в состоянии покоя, однако человеку становится трудно, долго ходить,. Во время движения больной слышит, у него снижается подвижность. Со временем, вследствие изнашивания хряща, расстояние между костными поверхностями уменьшается. При этом появляются, нервы и сосуды сдавливаются, а само колено деформируется;

Гонартроз коленного сустава на рентгене.

Источник: https://shkola-krasoty.com/novosti/koleno-na-oshchup-goryachee-osnovnye-prichiny-boley-v-kolenyah
Болит колено сбоку с внешней стороны лечение. Почему болит колено сбоку снаружи
Причины боли в колене сбоку с внешней стороны бывают физиологическими или патологическими. Наиболее распространенные физиологические:
- единоразовый подъем тяжестей;
- неудобная поза во время сна;
- резкое движение;
- кратковременное воздействие внешних факторов.
Наиболее частыми причинами патологических болей в коленном суставе являются артрозы и артриты. Боли в боковой внешней части колена могут возникать при разрыве связок или мениска, переломе, трещине коленной чашечки, вывихе. Чтобы правильно установить причину, следует обратить внимание на сопутствующие симптомы.
Дискомфортные ощущения в коленных суставах нижних конечностей беспокоят одних людей чаще, чем других. Типичные пациенты травматолога или ортопеда с подобными жалобами:
- пожилые люди – в силу возрастных изменений их суставы уже не справляются со своими функциями и даже при малейших нагрузках могут начать болеть;
- подвижные дети и подростки – травмы коленного сустава чаще всего возникают во время активных игр и спортивных занятий;
- профессиональные спортсмены, танцоры, акробаты – люди этих профессий ежедневно интенсивно тренируются, нагружают свои суставы, поэтому страдают от болей в колене сбоку с внешней стороны чаще людей более «спокойных» профессий;
- сотрудники офисов, водители, компьютерщики – сидячая работа вредит суставам не меньше, чем физические перегрузки, суставы атрофируются, происходит изменение их тканей, как результат – боли и дискомфорт.
Сидячая работа может серьезно навредить здоровью суставов
Но даже у тех лиц, которые попадают в группу риска, не обязательно возникнут неприятные ощущения в области колена снаружи при нагрузках. Существуют провоцирующие факторы такого симптома, к ним относятся:
Советуем вам почитать:
Почему болит коленный сустав при сгибании
- обострение хронического заболевания любого внутреннего органа, сопровождающееся выраженным воспалительным процессом;
- недостаток витаминов и минералов – «голодные» диеты, однообразное питание приводят к нарушениям обменных процессов, что также вызывает суставные боли;
- гормональная перестройка у подростков в период полового созревания и активно роста костей или у женщин с наступлением менопаузы;
- вредные привычки – никотин и алкоголь также нарушают обмен веществ и ослабляют суставные ткани, ухудшают кровоснабжение тканей;
- лишний вес – суставы быстрее изнашиваются и легко воспаляются при стабильных нагрузках из-за лишних килограммов;
- генетическая предрасположенность – многие суставные заболевания передаются от родителей к детям;
- сахарный диабет – от повышенного уровня глюкозы в крови страдают практически все системы и органы человека, преимущественно из-за недостаточного кровоснабжения и питания тканей;
- тромбоз – закупорка сосудов и застойные явления также ведут к «голоданию» суставов и атрофированию, что всегда сопровождается болезненными ощущениями;
- инфекционные заболевания – артрит как одна из самых частых причин болей в колене любой локализации может быть осложнением гриппа или ангины.
