Плечевой сустав болит и щелкает. Плечевой сустав болит и хрустит
- Плечевой сустав болит и щелкает. Плечевой сустав болит и хрустит
- Хрустит плечо при вращении без боли. Хруст в плечевом суставе: причины, симптоматика, лечение
- Хруст в плече после травмы. От чего появляется хруст в плече
- Синдром щелкающего плеча. «Синдром щелкающего пальца»: лечение в Израиле
- Упражнения при хрусте в плече. Методы лечения
- У ребенка щелкает плечевой сустав. Остеоартроз
Плечевой сустав болит и щелкает. Плечевой сустав болит и хрустит
Почему щелкает и болит плечевой сустав









Лечение в нашей клинике:
- Бесплатная консультация врача
- Быстрое устранение болевого синдрома;
- Наша цель: полное восстановление и улучшение нарушенных функций;
- Видимые улучшения после 1-2 сеанса;
Верхние конечности — это сложно организованное сочленение костей. Они обеспечивают трудоспособность человека и позволяют выполнять различные манипуляции руками. Щелкает плечевой сустав при разных заболеваниях позвоночника, соединительной и хрящевой ткани непосредственно самого сустава. При первичном осмотре, если щелкает и болит плечевой сустав, врач старается исключить также разрывы связок и плечелопаточный периартрит. Детальная диагностика позволяет точно определить источник неприятных ощущений и поставить верный диагноз. Рекомендуется сделать рентгенографический снимок, компьютерную томограмму или, в случае неэффективности данных методов диагностики, артроскопию плечевого сустава. В ходе этой манипуляции может быть проведено хирургическое эндоскопическое вмешательство с целью восстановления структуры связочного сухожильного аппарата.
О том, почему щелкает и болит плечевой сустав, расскажем в этой статье. Но необходимо помнить, что самостоятельной диагностикой и лечением заниматься ни в коем случае нельзя. Терапия патологии под руководством опытного врача гарантирует выздоровление и восстановление нормальной подвижности верхних конечностей. В нашей клинике мануальной терапии вы можете в любое удобное для вас время получить абсолютно бесплатную консультацию опытного доктора. В ходе первого приема врач проведет осмотр, выявит вероятную причину и расскажет о возможностях лечения.
Почему щелкает плечо при поднятии руки вверх?
Суставы верхних конечностей устроены таким образом, чтобы обеспечивалась максимально возможная амплитуда движений. Рука здорового человека без особого труда отводится в сторону и назад, поднимается вверх и при этом может отклоняться назад. Все эти движения не доставляют никаких неприятных ощущений. Но только в том случае, если все ткани суставов находятся в нормальном физиологическом состоянии. К сожалению, большая подвижность приводит к истончению хрящевой ткани, уменьшению количества синовиальной жидкости, механическим травмам сухожильной ткани связочного аппарата.
Ответить на вопрос о том, почему щелкает плечо при поднятии руки вверх, можно только после осмотра и проведения ряда диагностических мероприятий. Далее приведем лишь предположительные причины:
- растяжения связок плечевого сустава — может возникать при подъеме тяжестей, после падения с опорой на руку, при резких движениях конечностью, характеризуется отечностью окружающих мягких тканей, сильной болезненностью, присутствием гематомы;
- нестабильность плечевого сустава вследствие вывиха плеча и растягивания суставной сумки;
- артроза и отложения солей в суставной полости — постоянная ноющая боль, ограничение подвижности;
- плечелопаточный периатрит — характеризуется воспалением мягких тканей данного сустава, проявляется выраженной болезненностью и отечностью, ограничением амплитуды движений;
- плечелопаточный периартроз является следующей стадией предыдущего заболевания, отличается длительным прогрессирующим течением, потерей подвижности верхней конечности с пораженной стороны;
- нарушение осанки и искривление позвоночного столба в шейном и грудном отеделе позвоночника;
- контрактуры после травм (переломов, вывихов и растяжений);
- остеохондроз шейного отдела позвоночника;
- деформирующий артроз;
- отложение солей и рост остеофитов;
- болезни соединительной ткани системного характера, в том числе и псориатрические изменения суставов.
Хрустит плечо при вращении без боли. Хруст в плечевом суставе: причины, симптоматика, лечение

- Острой;
- Хронической;
Легкий приступ паники и беспокойство возникает у каждого человека, когда он начинает замечать хруст в плечевом суставе верхней конечности, при разведении рук и даже при поворотах верней части торса. Закономерным заключением в таких случаях собственноручно поставленный диагноз о развитии болезни сочленения, а порой – и позвоночника. Между тем такие звуковые проявления часто являются не более чем признаком основной патологии. Об этом следует помнить хотя бы для того, чтобы не увлечься самолечением – ведь только компетентный врач ортопед, хирург, ревматолог может определить истинную причину такой аномалии.
Следовательно, обнаружив такие необычные признаки в своем плече, немедленно нужно отправляться в клинику для обследования.

Откуда взялся этот звук хруста?
Таким вопросом задаются те, кто обнаружил у себя хруст в плечевом суставе. Это закономерно – иногда люди ведя привычный образ жизни, не нарушая режима, соблюдая принципы правильного питания, немало удивлены подобным проявлением.
Виды патологии
Ортопеды отвечают на это, приводя классификацию причин данного недуга. Он бывает двух форм:
Кроме того, хрустящие звуки могут проявляться в качестве симптомов первичного заболевания, либо быть признаком естественных процессов в организме. Во втором случае пациенту совершенно не о чем беспокоиться. В первом варианте рассматривается целый комплекс патологических причин.
Ими могут быть:
- Резкое увеличение нагрузки на плечевое сочленение – с такими обстоятельствами приходится сталкиваться спортсменам, представителям некоторых специальностей: механикам, водителям, грузчикам, работникам аграрного сектора, металлургам и многим другим специалистам ручного труда;
- Врожденные анатомические отклонения с некорректным положением суставных элементов – хряща, деформированным головками костей, сухожилий или мелким размером синовиальной сумки;
- Искаженная физиология обменных процессов, при которой активные минеральные компоненты плохо транспортируются кровью в сочленение либо вообще туда не доходят;
- Нарушения в режиме питания, недостаток полезных веществ в рационе;
- Генетический фактор, провоцирующий передачу заболевания по наследству.
Группа риска появления хруста в плече формируется из лиц, употребляющих много соли и соленых продуктов – это вызывает выщелачивание солей кальция и провоцирует сухость суставных элементов.
Сюда же включатся люди, страдающие онкологическими проблемами с новообразованиями в верхних конечностях злокачественных или доброкачественных форм опухоли.
Первичные заболевания
Как вторичная патология или в качестве клинического признака, хруст в плечевом суставе возникает на фоне прогрессирования таких болезней:
- Сепсис – воспалительное поражение мягких тканей с заражением крови;
- Остеомиелит – костная форма воспаления;
- Гнойная форма артрита с острым течением;
- Контрактура – патологическое снижение подвижности сустава в плече;
- Вывих с выходом головки кости из ямки сочленения.
Отдельного внимания заслуживают другие распространенные заболевания, при которых хруст в плечевом суставе является едва ли не основным симптомом:
- Остеоартроз ;
- Тендинит ;
- Бурсит;
- Остеохондроз ;
- Накопление избыточных солевых компонентов в сочленении;
- Разные формы артроза;
- Возрастные патологии и структурные изменения;
- Нарушенная экология;
- Болезненная нестабильность суставных элементов;
- Дисплазия плеча с поражением соединительных тканей;
- Капсулит.
Люди, ведущие малоподвижный образ жизни, вследствие неестественной слабости мышечной ткани и нарушения в анатомии плеча из-за долгого пребывания в одной позе, тоже страдают от хруста в плечевом суставе.
Проявления хрустящих звуков могут не вызывать подозрений и опасений в тех случаях, когда они являются следствием естественных процессов в организме. Например – у подростков в период анатомического и физиологического созревания. В это время отмечается неравномерность развития различных тканей мышц, костей, хряща, что и приводит к появлению характерных звуков.

Клиническая картина
Симптоматика хруста в плечевом суставе обычно проявляется не только звуком треска. К слову, он может носить разный характер – быть глухим, звонким, стреляющим, в виде крепитации, громким или тихим, многократно потрескивающим или единичным.
Помимо этого при хрусте в плече часто возникают болезненные ощущения, которые также характеризуются отличиями в характере проявления. Боли бывают периодическими, стабильными, внезапными, хроническими, острыми, режущими, тянущими.
При этом пациент утрачивает способность выполнять вращательные движения, его конечности становятся малоподвижными.
Возможные риски и осложнения
Область плеча постепенно отекает, что может быть вызвано патогенным действием микроорганизмов или воспалительного очага.
Хруст в плече после травмы. От чего появляется хруст в плече

Боль и характерный хруст в суставах плеча – признак многих заболеваний. Данная симптоматика чаще всего встречается при развитии следующих патологий:
- Нестабильность суставов в плечевом поясе. Главная причина развития проблемы – неконтролируемые и чрезмерные нагрузки, в результате которых на суставы приходится повышенное давление. Заболевание часто развивается у гимнастов и людей, чья работа связана с постоянным поднятием тяжестей.
- Травматическое повреждение области. В результате сильного ушиба плеча через 2-3 дня при движении рукой может щелкать плечо. Продолжительность пробле6мы напрямую зависит от степени поражения конечности.
- Артрит . Воспаление суставов, о наличии проблемы может свидетельствовать сильный хруст, сильная боль, скованность движений, небольшая припухлость и отек в пораженной области.
- Остеохондроз. Сильный хруст в плечах может свидетельствовать о развитии шейного остеохондроза. К отличительным чертам проблемы относят сильный болевой синдром вне зависимости от принятого положения тела, снижение двигательной активности. Сила проявления симптомов напрямую зависит от того, на какой стадии находится заболевание.
- Артроз. На суставах появляются специфические образования, которые провоцируют боль и дискомфорт при движении пораженным плечом.
- Солевые отложения. Наличие солевых отложений в поврежденном суставе – одна из самых распространенных проблем появления характерного хруста. Стать толчком для развития проблемы может стать малоподвижный образ жизни, плохая работа почек, злоупотребление спиртными напитками и неправильной пищей.
- Бурсит, тендинит . При проблеме развивается воспаление, которое поражает сухожилия и суставы. Чаще всего заболевание развивается на фоне протекания инфекционных процессов в организме и при чрезмерных физических нагрузках.
Синдром щелкающего плеча. «Синдром щелкающего пальца»: лечение в Израиле
Доктор Рам Пальти
старший врач отделения хирургии кисти
Специалисты Центра хирургии кистей рук клиники Топ Ихилов имеют большой опыт лечения синдрома щелкающего пальца и используют только самые эффективные методы.
- В 50% случаев помогает впрыскивание кортизона (сильного противовоспалительного средства). Однако его использование ограничено тремя уколами.
- В 50% случаев требуется операция . Это одна из самых легких операций, она длится всего несколько минут и проходит амбулаторно (без госпитализации) под местной анестезией. Хирург делает небольшой разрез на распухшем пальце и удаляет кольцо А1, что дает больше пространства для движения сухожилия. Через 5-7 дней пациенту снимают швы, а уже на следующий день после операции пациент может использовать прооперированную руку для работы, не требующей особой нагрузки.
В Центре хирургии кистей рук израильской клиники Топ Ихилов с легкостью справляются с лечением «синдрома щелкающего пальца»: квалифицированные хирурги клиники быстро, без последствий и побочных явлений проводят несложную операцию, ежегодно возвращая тысячам пациентов возможность полноценного использования рук и избавляя их от болезненных ощущений.
Что такое "синдром щелкающего пальца"?
На рисунке видно строение кисти: окрашенные в белый цвет сухожилия проходят в пальцы внутри сухожильных (синовиальных) влагалищ, внутри которых производится синовиальная жидкость, снижающая трение сухожилия с окружающей средой. Основания синовиальных влагалищ называются «кольца А1», они крепят синовиальные влагалища к кости, в непосредственной близости от них проходят вены и нервы.
В результате опухания, сухожилие застревает, и, когда оно высвобождается в ходе дальнейшего движения, происходит щелчок, сопровождаемый болезненными ощущениями – это и есть «синдром щелкающего пальца».
Диагностика синдрома щелкающего пальца
«Синдром щелкающего пальца» - одна из самых распространенных проблем, с которыми сталкивается хирургия кистей рук, ее причиной является опухоль сухожилия в основании пальца. Проявляется синдром как боль и щелчок во время выпрямления или сгибания пальца. Он появляется сначала в утренние часы, потом проявляется все чаще в течение дня и, в конце концов, палец перестает выпрямляться и сгибаться до конца.
Диагностика «Синдрома щелкающего пальца» очень проста и не требует сложных обследований: она основывается на жалобах самого пациента и осмотре опухоли в основании пальца. Синдром щелкающего пальца совершенно бесполезно лечить с помощью противовоспалительных лекарств, массажей, иглоукалывания, шин и т.д.
Упражнения при хрусте в плече. Методы лечения
Терапия, направленная на устранение хруста в суставе, зависит от причины возникновения, лечить нужно первопричину явления.
Ставить самостоятельно диагноз и назначать лечение без медицинского образования не рекомендуется, чтобы избежать тяжелых осложнений.
Лечение артрита направлено на снижение воспалительного процесса, устранения причины болезни, восстановление функциональности сустава.
При артритах, тенденитах, артрозах ревматолог прописывает медикаменты:
- анальгетики.
- Хондропротекторы.
- Гормональные лекарства.
- НПВС.
- Витаминный комплекс.
- Введение в сустав дипроспана.
- Противовоспалительные препараты.
Терапевтический курс включает также: УВЧ, массаж, лечебную физкультуру, мануальную терапию, бальнеотерапию.
Остеохондроз лечится различными методиками:
- Рефлексотерапия.
- Гидромассаж, массаж.
- Ультразвук, лазерная терапия.
- ЛФК.
- Мануальное лечение.
- Диета.
Медикаментозный курс предусматривает:
- Местные обезболивающие.
- Лекарства для снятия воспаления: Карипазим, Найз, Пантогематоген, Ибупрофен и другие.
- Спазмолитики: Сирдалуд, Баклофен, Дротоверин, Миоластан.
- Антиоксиданты: Мексидол, аскорбинка, Токоферол.
- Для улучшения циркуляции крови: Теоникол, Трентал, Актовегин.
Лечение дисплазии соединительной ткани:
- Физиотерапия.
- Массаж.
- Специальные упражнения.
- Соблюдение диеты и режима дня.
- Микроэлементы, витамины, включая аскорбиновую кислоту.
- Хондроитинсульфат.
- Магний.
Терапия периартрита:
- Применяют нестероидные препараты, для снятия воспаления: Пироксикам, Бутадион, Диклофенак, Индометацин.
- Ставят компрессы с Бишофитом или Демиксидом.
- 5-6 сеансов герудотерапии.
- Кортикостероиды.
- Анальгетики.
- Постизометрическая релаксация.
- Физическая терапия:
- Занятия, направленные на разработку больного сустава.
При хрусте в плече при вращении руки помогут народные советы:
- Взбить два куриных белка, добавить ложку водки. Средство накладывают на плечо, снимают через 20 минут. Курс 6-7 дней.
- Помогает снять боль ледяные процедуры: по больному месту водят кусочком льда по часовой стрелке 10-15 минут, два раза в день Нужно не менее 6 сеансов. Лед может быть с добавлением соли, это усилит эффект.
- Рекомендуют употреблять желатин, который благоприятно действует на суставы. Замочить пакетик желатина в стакане холодной воды, дать растворится, затем выпивают натощак. Пьют раз в сутки в течение 10 дней, столько же суток перерыв и снова 10 дней принимать.
Осложнений можно избежать, если вовремя обратиться в поликлинику и проводить профилактические меры.
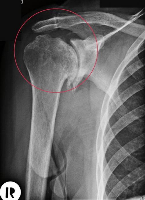
У ребенка щелкает плечевой сустав. Остеоартроз
Плечевой сустав щёлкает при остеоартрозе — дегенеративно-дистрофической патологии. Её развитие провоцируют эндокринные и метаболические нарушения, предшествующие травмы, интенсивные физические нагрузки и низкая двигательная активность. В сочленении начинают разрушаться хрящи, выстилающие поверхности костных головок. Это приводит к разрастанию краёв костных пластинок и формированию остеофитов (наростов) . Они давят на нервные окончания, расположенные поблизости мягкие ткани. Постепенно гиалиновые хрящи истончаются, утрачивают свои амортизационные свойства. Суставная щель частично ил полностью сращивается, плечо обездвиживается. Клиническая картина остеоартроза состоит из таких характерных признаков:
- боли, усиливающиеся при вращении плеча и практически исчезающие на конечной стадии патологии;
- утренняя припухлость сустава и скованность движений ;
- щелчки, возникающие при смещении костных головок на фоне истончения хрящевых тканей.

Обратите внимание на неровные края головки плечевой кости.
Если звуки появляются нечасто и пока не сопровождаются болью, то вполне возможно повернуть патологический процесс вспять. В терапевтические схемы врачи включают НПВС (Нурофен, Фастум, Вольтарен ) в виде мазей, гелей. Обязательно назначается курсовой прием хондропротекторов (Терафлекс, Структум, Артра) в течение нескольких месяцев, физиопроцедуры ( лазеротерапия , бальнеолечение, УВЧ-терапия), регулярные ежедневные занятия лечебной физкультурой.

Реальное фото пораженной хрящевой поверхности.
Боль, возникающая одновременно со щелчками, является информативным симптомом прогрессирования остеоартроза и повреждения значительной части гиалинового хряща. На этой стадии уже невозможно полностью восстановить разрушенные ткани, поэтому основной задачей терапии становится предотвращение распространения патологии. Для устранения болей применяются таблетки с НПВС (Нимесулид, Вольтарен, Ибупрофен), а при их неэффективности — глюкокортикостероиды (Кеналог, Гидрокортизон, Преднизолон). После достижения устойчивой ремиссии пациенту рекомендуется избегать нагрузок на плечевой сустав и заниматься лечебной физкультурой.