Анатомия связки руки. Кости кисти руки
Анатомия связки руки. Кости кисти руки
Анатомия кисти руки человека — объемный комплексный раздел, который включает в себя скелет и устройство отделов кисти . Кисть руки состоит из 27 мелких косточек, которые распределяют на себе остальные ткани — связки, мышцы и кожу, обеспечивают кисти гибкость.

Скелет кисти руки (на латыни manus) поделен на три отдела — запястье, пясть и фаланги пальцев . Подробно рассмотрим сколько костей в кисти и сколько фаланг на большом пальце.
Запястье
Рассмотрим, что такое запястье и где находится. Запястье — основа скелетной системы кисти, представляющая собой структуру из 8 сгруппированных косточек, объединенных между собой связками . Все косточки губчатые и обладают неправильной формой, состоят из трех отделов — основания, тела и головки.
Косточки запястья расположены в два ряда :
- Ладьевидная, полулунная, трехгранная соединены между собой неподвижным суставом и гороховидной косточкой — образуют проксимальный ряд костяшек пальцев кисти. Этот ряд обращен в сторону предплечья, объединяет лучевую кость с поверхностной частью лучезапястного сустава.
- Трапециевидная, многоугольная, крючковидная и головчатая — образуют второй ряд, дистально соединяются с пястью.
Кости запястья лежат в разных плоскостях — ладонная часть вогнута внутрь, напоминает лодочку . Тыльная сторона запястья образует выпуклую суставную поверхность. Дистальный ряд соединяется с проксимальным при помощи сустава неправильной формы.
Свободное костное пространство заполнено кровеносными сосудами, нервами, соединительной и хрящевой тканью . Косточки запястья практически не двигаются относительно друг друга. Вращение кистью обеспечивает сустав, расположенный между лучевой и запястной костями.
Фото запястья рук представлено ниже .

Пясть
Пясть – часть кисти между запястьем и пальцами руки, состоящая из 5 продолговатых трубчатых костей . Пясть включает в себя сесамовидные и пястные кости. Пястная косточка первого пальца массивная и короче остальных. Самая длинная — вторая пястная косточка. Остальные кости к краю кисти уменьшаются в длине.
Все пястные кости имеют основание — соединяется неподвижным суставом с запястьем , тело и головку полушаровидной формы, которая подвижными суставами соединяется с фалангами пальцев. Седловидную форму имеют первая и пятая пястные кости, остальные — плоские суставные поверхности.
Сесамовидные кости расположены в глубине сухожилий между проксимальной фалангой большого пальца и его пястной костью . Сесамовидные кости увеличивают плечо силы прикрепленных к ним мышц.
Связки кисти руки анатомия. Анатомия кисти. Строение костей кисти.

Добрый день, уважаемые читатели. На уроках анатомии в медицинских университетах иногда пропускают (или просто слегка упоминают) строение кисти. Также на некоторых кафедрах вообще отсутствуют качественные препараты кисти человека.
Разумеется, такое положение дел не может меня радовать — как вы знаете, я являюсь большим поклонником фундаментальной медицины. Именно поэтому я решил разобрать строение костей кисти наглядно и детально, чтобы ни у кого не возникало путаницы в этой непростой теме.
Кстати говоря, кисть является самой подвижной частью человеческого тела. Развитие и усложнение анатомии кисти сыграло не последнюю роль в становлении homo sapiens как самого развитого вида живых существ на планете. Людям доступны сложнейшие хирургические манипуляции, виртуозная игра на музыкальных инструментах и создание настоящих шедевров изобразительного искусства.
Давайте узнаем, из чего состоит этот удивительный инструмент — человеческая кисть — и разберём строение костей кисти.
Классификация отделов кисти
Кисть человека (manus) делится на три отдела:
- Запястье (carpi) ;
- Пястная часть (metacarpi) ;
- Кости пальцев (ossa digitorum) , их часто называют «фаланги».
Кстати, именно от латинского слова «manus» произошли слова «мануальный» и «маникюр».
Я решил немного раскрасить этот скучный рентгеновский снимок. Красным цветом я выделил запястье, голубым — пясть, а зелёным — кости пальцев (фаланги).

Кости запястья (ossa carpi)
К костям запястья относят восемь маленьких плотных косточек, которые располагаются в два ряда — проксимальный и дистальный . Чтобы не запутаться в них, следует придерживаться принципам, которые я описывал в статье о том, как учить анатомию человека .
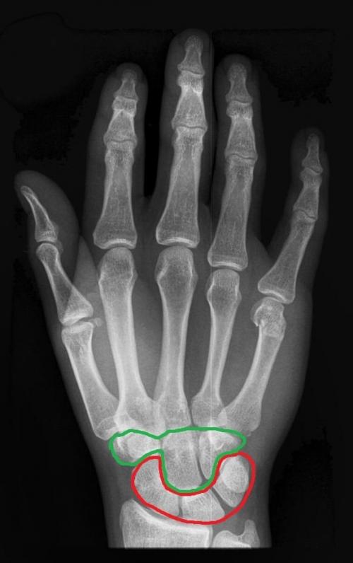
На этом рисунке я я выделил красным цветом проксимальный ряд костей запястья, а зелёным — дистальный.

А теперь давайте сориентируемся на настоящем рентгеновском снимке и попробуем на нём найти проксимальный и дистальный ряды костей запястья (цвета такие же):

Проксимальный ряд костей запястья:
- Ладьевидная кость (os scaphoideum) . Эта кость занимает самое латеральное (самое «лучевое») положение из всех костей проксимального ряда. Также ладьевидная кость является самой крупной костью проксимального ряда. Не перепутайте её с костью-трапецией из дистального ряда, о которой речь пойдёт чуть ниже. Чтобы не случилось такой путаницы, сначала научитесь различать проксимальный и дистальный ряды, а затем уже отдельные кости;
- Полулунная кость (os lunatum) . Дистальная поверхность этой кости очень вогнутая. Именно поэтому она выглядит как половина луны. Правда, это не особо заметно, когда вы рассматриваете всю кисть целиком. Намного лучше эта особенность строения различима, когда вы рассматриваете полулунную косточку отдельно. На препарате вы её можете найти сразу после ладьевидной кости — полулунная кость очень плотно примыкает к ней с медиальной стороны;
- Трехгранная кость (os triquertum) . Название трёхгранной кости также очень характерно — если вы рассмотрите эту кость отдельно, вы отчётливо увидите три грани. Трёхгранная кость занимает самое медиальное (самое «локтевое») положение из всех костей проксимального ряда;
- Гороховидная кость (os pisiforme) . Эта кость — самая маленькая из всех костей запястья. Она очень плотно сочленяется с трёхгранной костью, поэтому вы легко отыщите гороховидную кость, если найдёте самую медиальную кость проксимального ряда (то есть трёхгранную).
Когда вам требуется найти какую-либо кость запястья, первым делом, вы должны отличать проксимальный и дистальный ряды. Давайте сориентируемся на анатомическом планшете, когда кисть руки нам показана условными пальцами вниз.
Первым делом найдём лучевую и локтевую кости. По лучевой кости мы находим сторону, где располагается большой палец, а по локтевой — сторону, где находится мизинец.:

После этого нам нужно отыскать на планшете кости запястья. Это очень легко сделать — восемь маленьких, плотных косточек сильно отличаются от всех остальных костей:

Далее следует разграничить дистальный и проксимальный ряды костей запястья. Этому мы уже научились в прошлом разделе, поэтому проксимальный ряд можно найти без труда (не забываем, что перед нами ладонь, которая расположена условными пальцами вниз):

И теперь, когда у нас расставлены все ориентиры, мы можем сразу же найти, например, ладьевидную кость (os scaphoideum). Помним, что она:
- Располагается в проксимальном ряду;
- Занимает самое «лучевое» положение;
- Является самой крупной костью проксимального ряда;
- Похожа по форме на корабль-ладью.



Источник: https://shkola-krasoty.com/stati/anatomiya-svyazki-ruki-kosti-kisti-ruki