Разрыв заднего рога медиального мениска коленного сустава 3 степени лечение. Причины и механизмы разрыва мениска
- Разрыв заднего рога медиального мениска коленного сустава 3 степени лечение. Причины и механизмы разрыва мениска
- Разрыв заднего рога медиального мениска нужна ли операция. Симптомы и причины разрыва заднего рога
- Застарелый разрыв заднего рога медиального мениска. Виды повреждений мениска коленного сустава: их обзор, степени, симптомы и лечение
- Повреждение мениска 2 степени лечение. Повреждение мениска 2 степени
- Мениск колена симптомы. Лечение мениска коленного сустава
Разрыв заднего рога медиального мениска коленного сустава 3 степени лечение. Причины и механизмы разрыва мениска
Разрыв заднего рога медиального мениска коленного сустава чаще можно встретить у мужчин 18–45 лет, профессионально занимающихся спортом или тренировками. Но такая травма – удел не только спортсменов. Мениск может пострадать, даже если просто неудачно оступиться при ходьбе или во время утренней зарядки.
Самые частые механизмы надрывов и разрывов внутреннего мениска можно увидеть в таблице:
| Механизм разрыва мениска | При каком действии может быть |
|---|---|
|
Резкий поворот (ротация) кнаружи голени, когда стопа зафиксирована | Прыжки Бег Быстрый шаг Катание на коньках, сноуборде, скейте, лыжах |
Сильное и (или) быстрое сгибание колена | Приседания Прыжки или падение с высоты Долгое сидение на «корточках» |
Прямая травма внутренней поверхности колена | Удары о ступени, камень или любой острый выступ |
Описанные механизмы травматизации связаны с воздействием на здоровое колено и его связочный аппарат каких-то внешних факторов.
Но причины образования дефекта в мениске могут носить дегенеративный (разрушающий) характер. Такие изменения вызывают патологии, которые влияют на объем и качество внутрисуставной жидкости – единственного источника питания для рогов мениска, или болезни хрящевой ткани. В число таких болезней входят:
- подагра – нарушение в организме обмена мочевой кислоты, когда ее избыток накапливается в суставах;
- ревматоидный артрит – заболевание, при котором клетки собственной иммунной системы воспринимают суставные ткани как чужеродный объект и атакуют их, разрушая хрящевую структуру;
- деформирующий остеоартроз – процесс разрушения костной, связочной и хрящевой части крупных суставов с разрастанием соединительной ткани;
- ожирение – у людей с индексом массы тела более 30 слишком высокая нагрузка на суставы ног, это ведет к их быстрому «изнашиванию»: хрящевые элементы стираются, питательная жидкость внутри сустава теряет свои смазочные свойства;
- избыточная подвижность в суставах на фоне удлинения (растяжения) связок – характерна для ряда заболеваний, связанных с мутациями генетического материала (болезнь Марфана).
Признаки болезни Марфана
На фоне перечисленных заболеваний разрывы медиального мениска образуются самопроизвольно, поэтому их сложнее диагностировать.
Разрыв заднего рога медиального мениска нужна ли операция. Симптомы и причины разрыва заднего рога
При разрыве заднего рога медиального мениска возникает резкая боль сразу же после травмирования и сопутствующая ей отечность. Болезненные ощущения становятся более сильными при спуске по лестнице. При небольших надрывах слышен небольшой щелчок во время движений, при больших происходит блокада сустава, колено переклинивает. Разрыв ограничивает сгибание, потому что оторвавшаяся часть мешает движениям. Пострадавший часто не может встать на поврежденную ногу. Если разрыв заднего рога сопровождается растяжением связки, отек более выражен. У людей после 40 лет в результате возрастных изменений хрящевой ткани часто возникает такое патологическое состояние, даже если резко стать со стула.

Диагностика и лечение разрыва заднего рога мениска
С целью диагностирования недуга показан осмотр у ортопеда и магнитно-резонансная томография. Воспаление, боль, ограничение амплитуды движений присущи любой травме колена, но локализованный болевой синдром, повышение температуры, характерные щелчки, периодические блокады, отечность говорят о том, что это разрыв заднего рога мениска. Лечение зависит от характера нарушения. При незначительной травме назначается консервативная терапия: физиопроцедуры, обезболивающие и нестероидные противовоспалительные препараты.
Если разрыв сопровождается сильным болевым синдромом, обильным скоплением жидкости и блокадой сустава, хирургическое вмешательство обязательно.
Такие малоинвазивные операции проводятся с помощью артроскопа, подключенного к монитору. Таким образом обеспечивается минимальная кровопотеря, быстрое заживление ран, уменьшается срок реабилитации.
Чтобы минимизировать боль, снять отек и приостановить внутреннее кровотечение, после травмирования следует приложить холодный компресс, а затем незамедлительно обратиться к ортопеду. Для передвижения необходимо использовать костыли, чтоб уменьшить нагрузку на колено. Ногу стоит держать приподнятой, подкладывать под нее валик.
Консультация ортопеда по разрыву заднего рога мениска
Важно своевременно обратиться к ортопеду, который должен назначить магнитно-резонансную томографию. При несвоевременном лечении развивается остеоартроз, возможно образование кисты.
Застарелый разрыв заднего рога медиального мениска. Виды повреждений мениска коленного сустава: их обзор, степени, симптомы и лечение
Из этой статьи вы узнаете про симптомы и лечение повреждений менисков коленного сустава (заднего рога, медиального, латерального). Что это такое, по каким причинам появляются эти патологии, виды и степени по Столлеру, эффективные домашние средства.
Автор статьи:, врач 2 категории, заведующая лабораторией в лечебно-диагностическом центре (2015–2016 гг.).
Дата обновления статьи:
- надрывы (частичный разрыв, нарушение целостности нескольких волокон);
- разрывы (полное повреждение, разрыв всего пучка коллагеновых волокон, составляющих мениск).
- болевые ощущения в области колена (разной силы – от острой боли при полном разрыве до вполне терпимой при небольших разрывах);
- отек (обычно над коленной чашечкой);
- ограничения движений.
Повреждения менисков – это разрыв коллагеново-эластиновых волокон, из которых они состоят.
К таким повреждениям относятся:
Травмы менисков. Нажмите на фото для увеличения
Мениски – очень прочные и чрезвычайно эластичные хрящи полулунной формы между суставами бедренной и большеберцовой костей.
Нажмите на фото для увеличения
В организме они необходимы, так как их главной функцией является амортизация – смягчение, «гашение» толчков при резких воздействиях на конечность, что позволяет предупреждать разрушение сустава.
При неловком повороте, ударе о голень и других нагрузках происходит нарушение целостности коллагеновых волокон мениска.
В результате у человека возникают:
Иногда из поврежденных при травме сосудов в суставную капсулу попадает жидкость (воспалительный экссудат, состоящий из фибриногена, белка, лейкоцитов и др.).
Строение коленного сустава. Нажмите на фото для увеличения
Травмы бывают:
- Медиального мениска, который находится с внутренней стороны сустава и менее подвижен (75 % случаев).
- Латерального мениска , который находится с внешней стороны колена и более подвижен (21 % случаев).
- Двух менисков сразу (4 % случаев).
Латеральный и медиальный мениски коленного сустава
Поскольку мениск внешне по форме напоминает месяц, принято называть:
- часть, которая отходит от места его прикрепления к суставу – рогом (у мениска их 2 – передний и задний);
- часть, в которую переходят рога – телом.
Строение мениска. Нажмите на фото для увеличения
В зависимости от локализации повреждения, выделяют:
- отрыв рога от места прикрепления. Задний рог отрывается гораздо чаще, чем передний (могут занимать 30 % и 9 % среди травм соответственно);
- другие травмы (поперечные, лоскутообразные и прочие разрывы).
Степень повреждений мениска определяют посредством МРТ.
Чтобы в заключениях не было расхождений, врачи всего мира ориентируются на диагностические признаки состояния мениска по Столлеру (Stoller, американский ортопед, разработавший систему оценки):
- 0 степень – норма.
- 1 степень – патологические изменения (трещины) в толще тканей.
- 2 степень – большее количество изменений, но хрящ сохраняет форму.
- 3 степень – целостность тканей сильно нарушена, наблюдается разрыв.
Различные степени повреждения мениска по Столлеру. Нажмите на фото для увеличения
Повреждения менисков – наиболее частая внутрисуставная. Ее диагностируют у 65–70 пациентов из 100 000 людей, то есть она может встречаться примерно у 0,07 % населения планеты.
В группу риска входят:
- профессиональные спортсмены;
- танцовщики;
- люди, испытывающие тяжелые физические нагрузки;
- мужчины страдают в 1,5 раза чаще женщин.
Средний возраст людей с повреждениями менисков – 18–40 лет.
Некоторые разрывы органа успешно лечатся консервативным путем (в 70 % случаев, если это 1 или 2 степени по Stoller).
Хорошо заживают нарушения целостности коллагеново-эластиновых волокон в красной зоне хряща, хуже – в красно-белой. Совсем не заживают в белой зоне.
Зоны мениска
Наиболее опасными являются:
- полные разрывы со смещением оторванной части;
- отрывы в местах прикрепления;
- размозжение, раздавливание хрящевой пластинки.
Эти травмы устраняются только хирургическим методом, а при отсутствии лечения могут стать причиной артроза.
Лечение застарелых травм осуществляют ортопеды, свежие – лечат травматологи, хирурги.
Причины повреждений менисков
Повреждения менисков бывают 2 видов:
- Травматическое – возникает после ушибов, ударов, резкого вращения голени (чаще бывают в возрасте от 20 до 40 лет).
Повреждение мениска 2 степени лечение. Повреждение мениска 2 степени
Повреждение мениска по Stoller
Для чего применяется классификация?
Для удобства объективной диагностики, при помощи МРТ (магнитно-резонансная томография), американский доктор медицинских наук, директор Национального центра визуализации структур опорно-двигательной системы в ортопедии Дэвид Столлер (David W. Stoller, MD), разделил изменения целостности менисков на 4 степени тяжести. Такое деление было проведено на основании объективных критериев, определяемых в ходе исследования.
Принцип МРТ для классификации по Stoller
Для диагностики малейших изменений целостности хрящевых структур коленного сустава часто применяется магнитно-резонансная томография. Суть данного метода визуализации внутренних структур колена заключается в послойном сканировании тканей в магнитном поле. Это приводит к развитию эффекта ядерного резонанса, который имеет место при возбуждении протонов ядер атомов водорода, входящих в состав практически всех органических соединений организма.
В состоянии магнитного резонанса протоны ядер атомов водорода выделяют энергию, которая регистрируется при помощи специального датчика, что дает возможность за счет цифровой обработки построить изображение.
Основной принцип классификации
Повреждение мениска по Stoller классифицируется исходя из критерия выраженности и степени тяжести разрушения хрящевой ткани. В основу разделения положено появление сигнала повышенной интенсивности во время сканирования при помощи МР-томографии, что указывает на развитие дегенеративных процессов, вызывающих повреждение мениска. По Stoller классификация подразумевает использование критерия интенсивности сигнала, а также его локализацию и распространенность.
Механизм развития патологии
В основном при помощи МРТ-диагностики повреждение внутреннего мениска по Stoller классифицируется по степени тяжести. Для стабилизации, амортизации и лучшей адаптации коленного сустава к функциональным нагрузкам в суставной щели между мыщелками бедренной кости и впадинами голени локализуются парные хрящевые образования. Выделяется латеральный (наружный) и медиальный (внутренний) мениск. Данные структуры имеют определенные особенности анатомического строения.
Медиальный хрящевой мениск при помощи связок зафиксирован более жестко, поэтому при воздействии чрезмерной механической силы (вращение бедра при зафиксированной голени, непосредственный удар в область колена или падении на него) происходит нарушение целостности. В случае развития дегенеративно-дистрофического процесса, связанного с разрушением хрящевых структур на фоне нарушения их питания, или воспаления имеет место снижение прочности. При этом нарушение целостности может быть даже без воздействия чрезмерных функциональных нагрузок на сустав.
Патологические изменения, связанные с развитием дегенеративно-дистрофических процессов в колене преимущественно развиваются у пожилых людей (гонартроз). Чаще развивается патологическое повреждение мениска коленного сустава. Stoller классификация, основанная на объективной визуализации изменений, позволяет врачу подобрать адекватное лечение.
Stoller степени повреждения мениска
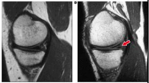
Вследствие наличия определенных анатомических особенностей более часто развивается повреждение заднего рога медиального мениска. По Stoller выделяется 4 степени разрушения:
- 0 степень – в хрящевой ткани во время исследования изменения не были выявлены, что указывает на ее нормальное состояние.
- Повреждение мениска 1 степени – Stoller классификация подразумевает определение локализованного очагового сигнала повышенной интенсивности, который не достигает поверхности хряща.
- Повреждение мениска 2 степени по Stoller – включает определение линейного сигнала повышенной интенсивности, который также не достигает поверхности хрящевой структуры. Горизонтальное повреждение мениска 2 степени по Stoller указывает на частичное нарушение целостности хрящевой ткани без нарушения общей анатомической структуры (полного отрыва части хряща еще нет).
- Повреждение мениска 3 степени по Stoller – данная степень выраженности изменений характеризуется определением линейного сигнала повышенной интенсивности, который достигает поверхности хрящевой ткани. Такие изменения указывают на нарушение анатомической структуры в виде отрыва. Отдельно выделяется повреждение мениска 3а степени по Stoller, при котором происходит смещение части хрящевой структуры коленного сустава (полный отрыв со смещением).
Мениск колена симптомы. Лечение мениска коленного сустава
Мениски — это хрящевые прослойки в форме полумесяца внутри коленного сустава. Они амортизируют и равномерно распределяют нагрузку на колено. Среди основных заболеваний мениска — травмы, разрывы, чрезмерная подвижность, дегенерация. Чаще всего проблемы с хрящом в колене возникают у мужчин в возрасте от 18 до 40 лет.
В коленном суставе есть два мениска — наружный (латеральный) и внутренний (медиальный). Они находятся между бедром и голенью и выполняют роль амортизаторов. Хрящевые прослойки в колене уменьшают трение поверхностей суставов, нагрузку на сустав при ходьбе, беге и прыжках. Внутренний мениск коленного сустава менее подвижный, чем наружный, он травмируется в 4-7 раз чаще.
Повреждения мениска занимают первое место среди травм коленного сустава и часто возникают в результате спортивных травм.
Причины повреждения мениска
Мениск коленного сустава повреждается в результате:
- травмы с резким поворотом голени внутрь или наружу;
- сильного удара по колену;
- падения коленной чашечкой на ступеньку;
- чрезмерного разгибания колена из согнутого положения;
- повторной прямой травмы мениска, которая приводит к хронической травматизации.
Серьёзную угрозу представляют хронические болезни колена: постоянная травматизация, не вылеченный разрыв мениска, сильное сдавливание. Из-за них ткани хряща становятся тоньше, расслаиваются, появляются эрозии, трещины. Разрушается структура мениска, он больше не амортизирует сустав. К причинам проблем с мениском относятся избыточный вес, работа в положении стоя и тяжёлый физический труд.
Риск повредить мениск коленного сустава повышают:
- профессиональное занятие футболом, фигурным катанием, лыжами, бегом, прыжками, хоккеем;
- перенесённые человеком артрит или подагра;
- слабые связки и чересчур подвижные суставы.
Без лечения болезней мениска человек может утратить функцию коленного сустава.
Симптомы повреждений мениска
При болезни мениска различают два периода — острый и хронический.
Симптомы травмы мениска в остром периоде:
- боль в колене ;
- ограниченность движений (блокада): человек не может согнуть и/или разогнуть колено;
- если повреждение затронуло кровеносные сосуды, возникает гемартроз — скопление крови в суставе;
- симптомы разрыва мениска проявляются сильной болью — человек не может ступить на ногу.
Через 2-3 недели после повреждения мениска начинается хронический период болезни. Во время него появляются следующие симптомы:
- резко выраженная боль в колене;
- болезненный валик на уровне суставной щели;
- выпот — жидкость, которая выделяется из мелких кровеносных сосудов при воспалении мениска коленного сустава;
- неподвижность коленного сустава;
- атрофия мышц голени и бедра;
- человек с трудом поднимается и спускается по лестнице;
- коленный сустав увеличивается в объёме;
- при сгибании колена слышится щелчок;
- в области сустава повышена температура;
- снижается питание мышечных тканей;
- занятия спортом вызывают боль.
Повреждение мениска сложно диагностировать, так как его симптомы похожи на признаки других заболеваний колена — растяжения связок , сильного ушиба, артроза. Только обследование у врача поможет поставить точный диагноз.
Виды повреждений мениска
Разрыв мениска коленного сустава бывает полным, неполным, поперечным, продольным, раздробленным, без смещения оторванной части и со смещением.
Чем опасно повреждение мениска
Разрыв мениска коленного сустава вызывает механическую нестабильность сустава и требует неотложного лечения. При движении коленный сустав может заклинить, возникает блокада сустава. Разрыв мениска коленного сустава повреждает хрящ. Суставные поверхности деформируются из-за изменения оси сгибания/разгибания сустава без защитной прокладки, сустав деформируется.
Повреждение мениска коленного сустава даже после восстановления может создать проблемы в будущем. Человек с такой травмой предрасположен к развитию артроза коленного сустава .
Отзывы о лечении
Хочу написать искренние слова благодарности врачу клиники "Мастерская Здоровья" Баратову Валерию Владимировичу! Не буду оценивать Ваши профессиональные навыки, Вы не только талантливый врач, но и человек настоящий. Вы стали тем доктором, которого наша семья будет помнить и благодарить всегда. Вы оставили в нашей семье любимого человека, продлив ему жизнь и подарили возможность нам детям и внукам еще ощущать тепло близкого человека. Спасибо,что Вы когда то выбрали эту сложную профессию! За Ваше мужество! Желаем Вам истинного счастья.