Утолщение суставов пальцев рук причины. Признаки и симптомы. К какому врачу обращаться
- Утолщение суставов пальцев рук причины. Признаки и симптомы. К какому врачу обращаться
- Утолщение суставов на мизинцах рук. Причины боли в суставах пальцев
- Утолщение суставов на запястье и голеностоп это. Симптомы артроза суставов стопы, голеностопа
- Утолщение суставов на ногах. Косточки на больших пальцах ног — лечение
- Утолщение суставов на запястье и голеностоп. Информативность метода
- Видео деформация суставов пальцев рук
Утолщение суставов пальцев рук причины. Признаки и симптомы. К какому врачу обращаться
Артроз суставов пальцев рук, если его не лечить, может вызывать серьезные осложнения, включая полную потерю работоспособности пальцев. Вот некоторые признаки:
- Боль : когда артроз находится на ранней стадии вы будете чувствовать монотонное ощущение жжения в пальцах. Боль станет серьезней, при более интенсивном использовании рук. Со временем состояние хряща ухудшается, не остается защитной прокладки между вашими суставами. Это приведет к боли, даже если вы при этом не используете свои пальцы и руки.
- Отек : при отсутствии хрящевой ткани тонкие суставы в ваших пальцах воспаляются и пальцы могут выглядеть более пухлыми, чем обычно.
- Жесткость : вы также можете ощущать жёсткость в суставах, вызванную опухшим хрящом и тканями. Жесткость суставов обычно усиливается с утра. Вы также можете заметить, что ваши суставы становятся более жесткими после длительной работы ваших рук.
- Кисты : синовиальная жидкость, окружающая суставы, течет в трещины и образует кисты, которые представляют собой небольшие мешочки. Обычно они появляются на концах пальцев и могут даже возникать под ногтем, размером до полсантиметра.
- Деформации : ваши пальцы выглядят деформированными, потому что хрящ изнашивается неравномерно. Со временем связки и ткани, предназначенные для поддержки суставов, становятся слабыми. Эти две проблемы вызывают деформации в ваших пальцах.
- Трение суставов : при нормальных обстоятельствах вы не чувствуете, что суставы сходятся вместе, потому что слой хряща остается неповрежденным. Потеря этого слоя позволяет суставам соприкасаться друг с другом и вызывает скрип или чувство трения.
- Тепло : при серьезном повреждении развивается воспаление в тканях и связках вокруг. Из-за этого ваш сустав может выглядеть красным и быть теплым на ощупь.
- Костяные шпоры : ваше тело пытается восстановить любое повреждение суставов. В ответ на раздражение кости и окружающей ее структуры, побуждается создание новой кости в виде выступа, называемого костяной шпорой (остеофитом). Эти узловатые наросты могут сделать ваши руки и пальцы деформированными. С течением времени костяные шпоры затрудняют правильное использование пальцев.
Утолщение суставов на мизинцах рук. Причины боли в суставах пальцев
Важно знать! Врачи в шоке: “Эффективное и доступное средство от боли в суставах существует. ” Читать далее.
Возникновение боли в суставах пальцев рук имеет разные причины, некоторые поддаются лечению народными средствами. Ревматологи выделяют 2 группы заболеваний суставов, отличающиеся друг от друга характером болевого синдрома:
- дегенеративного происхождения. Чаще всего дискомфортные ощущения появляются ближе к вечеру, после физической нагрузки. Они могут возникать с признаками местного воспаления (например, покраснений), которые слабо выражены. Эти боли вызваны возрастным изменением хрящевой оболочки суставных поверхностей;
- воспалительного характера. Как правило, они беспокоят больных по утрам, а после небольшой разминки пальцев проходят. Они не связаны с повреждениями, их причиной может служить какое-либо заболевание. Боли сопровождаются отеками и нарушением гибкости или подвижности пальцев.
Основные заболевания, способствующие возникновению боли в суставах, и их характерные проявления:
- Ревматоидный артрит. Это хроническое воспалительное заболевание, которое поражает соединительную ткань. Чаще всего болезнь развивается у людей после 45 лет. Возникновению ревматоидного артрита содействуют инфекционные заболевания (например, грипп), простуда, переохлаждение и эмоциональное потрясение. Некоторые врачи к причинам относят генетический фактор, но доскональных подтверждений этому не существует. Заболевание представляет большую опасность, поскольку обычно диагностируется на поздних стадиях, когда под воздействием антител происходит деформация суставов. При артрите пястно-фаланговые суставы, находящиеся у основания среднего и указательного пальца, воспаляются и опухают. Отличительная особенность заболевания в том, что воспаление протекает симметрично: если повреждаются суставы на левой руке, то и на правой тоже. После сна или долгого состояния в покое движения суставов становятся болезненными, первое время отмечается скованность суставов, онемение пальцев рук и повышенная температура тела.
- Остеоартроз. Хроническое заболевание, при котором происходит деформирование и ограничение подвижности суставов. Заболевание чаще всего возникает у людей преклонного возраста, но может встречаться и у молодых людей (без ярко выраженных симптомов). Существует множество различных причин развития болезни: наследственный фактор, тяжелые физические нагрузки, гормональные сбои, нарушение обмена веществ, переломы и другие травмы. В юном возрасте симптомами заболевания в начальной стадии служат хруст и щелканье пальцев. На запущенных этапах заболевания отмечается образование узелков Гебердена на кончиках пальцев. Чаще всего они формируются симметрично и одновременно, поэтому болевые ощущения возникают на одинаковых пальцах обеих рук. У некоторой части больных отмечается покраснение суставов.
- Подагра. Распространенное заболевание, чаще всего развивается после 50 лет, преимущественно у мужчин. Это связано с тем, что виновником подагры часто становятся вредные привычки (курение, употребление алкоголя) в совокупности с несоблюдением здоровой диеты при подагре. Основная причина возникновения заболевания – нарушение обмена, вследствие чего в крови отмечается повышенное содержание мочевой кислоты. Оно в свою очередь может быть спровоцировано различными заболеваниями, например, онкологическими или со стороны ЖКТ. Кристаллы мочевой кислоты (ураты) откладываются в тканях и суставах, не давая им нормально функционировать, что и развивает подагру. При болезни боль возникает в запястье и отдает в большой палец, наиболее сильные приступы начинаются перед сном. Как правило, отмечается покраснение кожи, возможно образование небольшой опухоли. При отсутствии своевременного лечения, приступы начинают усиливаться, постепенно происходит деформация суставов.
- Псориатический артрит. Заболевание протекает с выраженным окрашиванием кожи в красный цвет и сильным отеком. По статистике, псориатический артрит возникает у 20% людей, которые страдают псориазом . При заболевании разгибание пальцев затруднительно, сопровождается сильной болью. В ходе прогрессирования заболевания могут поражаться суставы не одного, а сразу нескольких пальцев. Симметричность при этом не отмечается, например, заболевание может поразить 3 пальца на левой руке и ни одного на правой.
- Полиостеоартроз. По частоте возникновения полиостеоартроз лидирует среди всех ревматических заболеваний. Оно начинается с разрушения хрящевой ткани, при этом не оказывая негативного влияния на другие системы организма. Развитию заболевания способствует множество факторов: преклонный возраст, нарушение обмена веществ, многократные травмы, переохлаждение, ожирение. Болевые ощущения возникают с утра, некоторое время суставы находятся в неподвижном состоянии.
Утолщение суставов на запястье и голеностоп это. Симптомы артроза суставов стопы, голеностопа
Для артроза суставов стопы и голеностопного сустава характерно медленное прогрессирование с постепенным развитием клинических проявлений в течение нескольких лет или даже десятков лет. В течение этого периода больные становятся все менее и менее активными из-за болей, что в результате увеличивает риск развития патологий, связанных с низкой физической активностью ( включая избыточный вес и снижение мышечного тонуса ). Как следствие, возникает замкнутый круг, при котором заболевание сустава усиливает факторы, усугубляющие изначальное повреждение. В начале заболевания поврежденный сустав может быть абсолютно нормальным и не вызывать никаких клинических проявлений. Однако с течением времени возникают болевые ощущения и другие симптомы, наиболее выраженные при поражении суставов, на которые приходится основная нагрузка при переносе веса тела. Основными симптомами артроза суставов стопы являются: - Боль. Боль является первым симптомом и основной причиной обращения за медицинской помощью. Боль обычно глубокая, ноющая, усиливающаяся при избыточной нагрузке на сустав. В большинстве случаев болевое ощущение значительно нарушает работу конечности, вызывая рефлекторный спазм мускулатуры с ограничением подвижности. Боль усиливается при продолжительной нагрузке на сустав ( длительное стояние ), а также при ходьбе.
- Хромота. Является следствием болевого синдрома. Чем более запущенно заболевание у конкретного пациента, тем сильнее он хромает. При переносе веса на пораженную ногу во время ходьбы, костные выросты надавливают на суставную поверхность, причиняя сильную боль. Хромота также отчасти объясняется ограниченной подвижностью сустава. Пациент не может полностью вытянуть носок или поднять его, если это необходимо.
- Скованность сустава. Ощущение скованности сустава, которое при остеоартрозе наблюдается в утренние часы, является вторым лидирующим симптомом заболевания. Проявляется данный признак затрудненными движениями в пораженном суставе после продолжительного отдыха, ночного сна. Обычно скованность длиться около получаса после пробуждения. Неагрессивные и умеренные упражнения позволяют преодолеть данный симптом.
- Деформация сустава. На более поздних стадиях заболевания отмечается значительная деформация стопы или голеностопного сустава. Связано это с изменением структуры околосуставной костной ткани, которая подвергается рассасыванию и частично замещается соединительнотканными волокнами. В результате возникает боковое расширение данной области с формированием остеофитов ( костных выростов ). Остеофиты вызывают визуальную деформацию сустава, с его расширением. Кроме того, костные выросты оказывают давление на окружающие мягкие ткани и способны усиливать болевое ощущение. Следует отметить, что иногда вокруг сустава возникает локальная воспалительная реакция, сопровождаемая покраснением и повышением температуры. Обычно данный симптом связан именно с деформацией сустава, а не с предшествующим воспалением самого сустава.
Утолщение суставов на ногах. Косточки на больших пальцах ног — лечение

Если выпирают косточки на больших пальцах ног, то это артроз плюсневого сустава. Это такое явление, когда большой палец ноги как бы «смотрит в сторону». Внешне это смотрится очень некрасиво, да и боль досаждает. Ходить тоже больно и неудобно. Это первый признак начинающегося артроза плюсневого сустава.
Причины возникновения косточки на ногах
Среди женщин эта проблема особенно распространена. У народа есть даже специальное название заболевания — косточка на ноге. Это связано с тем, что болезнь вызывает еще и утолщение сустава на большом пальце. Образуется такой костный нарост, который выпирает вбок.
На образование косточки на ноге может повлиять плоскостопие, в таких случаях делают массаж. Носят специальную обувь, которая укрепляет свод стопы и корректирует положение пальца.
Во всех других случаях может помочь народная медицина — различные компрессы, мази ванночки. Конечно это может помочь если ситуация еще не запущена.
Если же палец уже ушел вбок, и образовался нарост, то только хирургическая помощь может исправить положение. Хирург удалит часть плюсневой косточки. Но порой бывает, что даже и после операции человек продолжает испытывать болезненные ощущения.
Есть еще дорогостоящая операция по коррекции свода стопы. Этот вариант признан самым результативным. Но требует больших денег. Про него можно узнать в специализирующихся клиниках наверное. Мне правда не ведомо, сколько это может стоить… Так что и остается только методы народной медицины использовать.
Компресс скипидара с лопухом
На тыльную сторону листа лопуха тонким слоем намазывают скипидар. Затем листик прикладывают к косточке. Листок крепится повязкой. Чтобы дольше не высыхал нужно обернуть ногу целлофановым пакетом.
Ванночки для ног
Делайте теплые ванны для ступней. Столовую ложку соды, и отвар корня валерианы, листьев зверобоя и ромашки. Трав берите по столовой ложке измельченной массы. Ноги пропарили и затем тщательно промассировали плюсневую кость у большого пальца. То самое место, откуда палец растет.
Компресс из прополиса
Если ситуация с косточкой только начала ухудшаться, то можно сделать компресс из прополиса. Нужно размягчить маленький кусочек прополиса руками, прилепить на косточку и оставить на ночь повязку. Так делать нужно до выздоровления.
Мазь из куриного яйца
Очень хорошо помогает мазь из куриного яйца. Возьмите свежее яйцо, поместите его в стакан и залейте его 70 процентной уксусной эссенцией. Дайте настояться две недели в темном месте, а затем пленку яйца проткните, и выбросьте, а все содержимое перемещайте и добавьте к нему 10 грамм скипидара и столовую ложку сливочного масла. Получившуюся мазь надо каждый вечер наносить на косточку. Курс — две недели.
Такие вот рекомендации. Если вам есть что дополнить, то буду рад услышать ваши советы в комментариях.
Также рекомендую посмотреть видео от доктора Евдокименко. Этого специалиста я уважаю и прислушиваюсь к его мнению. Ну а в ролике личный опыт, а не пустые слова.
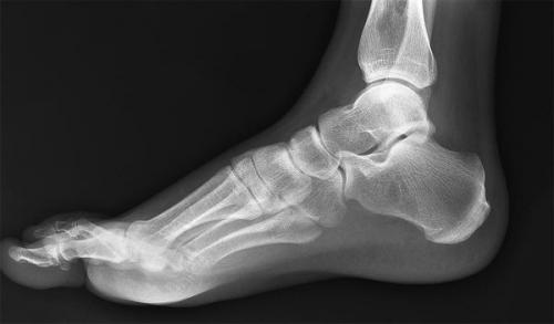
Утолщение суставов на запястье и голеностоп. Информативность метода
Диагностика патологических процессов методом рентгенографии заключается в получении и анализе двухмерного изображения тканей на снимке (рентгенограмме), получаемого при воздействии на орган рентгеновскими лучами. Наиболее отчетливо на снимке визуализированы объекты, имеющее более плотную структуру. Рентген голеностопного сустава позволяет с высокой степенью точности оценить состояние костных тканей, из которых он состоит. К ним относятся:
- Большеберцовая кость голени. В нижнем эпифизе она переходит в медиальную лодыжку, суставная поверхность которой охватывает таранную кость.
- Малоберцовая, сочлененная внизу с таранной костью. Дистальный конец кости является наружной лодыжкой блока голеностопного сустава.
- Таранная кость (надпяточная), являющаяся нижней частью голеностопного сустава. Она распределяет вес человека на всю стопу и покрыта суставным хрящом.

Также голеностопный сустав включает наружную и внутреннюю группу связок, связки межберцового синдесмоза; пучки сухожилий (наиболее значимое в организме человека ахиллово сухожилие); группы мышц, называемые сгибателями и разгибателями стопы; сосуды; нервные окончания. Они видны на рентгенограмме менее отчетливо.
Повреждение сустава нарушает подвижность стопы, лишает возможности сохранять положение тела на неровной поверхности, снижает ее амортизирующие функции, а значит ухудшает качество жизни. Поэтому необходима быстрая и верная диагностика для выявления и устранения причин болезненного состояния.