Упражнения после эндопротезирования коленного сустава. Основные патологии коленного сустава, замена сустава колена, реабилитация
- Упражнения после эндопротезирования коленного сустава. Основные патологии коленного сустава, замена сустава колена, реабилитация
- Упражнения после эндопротезирования коленного сустава в домашних условиях. Рекомендации для пациентов после эндопротезирования коленного сустава
- Упражнения для разработки коленного сустава после операции. Сгибательные движения в коленном суставе:
- Отек колена после эндопротезирования коленного сустава. 4 опасных осложнения после эндопротезирования
- Массаж после замены коленного сустава. Замена коленного сустава, реабилитация после операции
Упражнения после эндопротезирования коленного сустава. Основные патологии коленного сустава, замена сустава колена, реабилитация
Формирование патологических процессов в коленном суставе обусловлено рядом причин. Лишний вес, возраст, малоактивный образ жизни, неправильное питание и вредные привычки негативно влияют как на весь организм, так и на состояние суставов, уменьшая срок их изнашиваемости. Наиболее распространенным патологиями коленного сустава являются:
- артрит. Это заболевание воспалительного характера с прогрессирующей динамикой развития. Симптомами артрита являются: острая боль и отек в области колена, гиперемия кожи, внешняя деформация сустава;
- артроз. Это патология сустава без воспалительного процесса, характеризующая несильной болью в колене, исчезающей во время ходьбы и физических нагрузок. Встречается чаще у женщин, чем у мужчин, что обусловлено строением женского организма. Артрит часто возникает у спортсменов после профессиональных травм. К характерным чертам артроза также следует отнести хруст при движении и припухлость в районе колена, вызванную чрезмерным скоплением синовиальной жидкости, наполняющей коленный сустав;
- синовит. Это патология синовиальной оболочки, вызванная травматизацией или инфицированием сустава. К признакам заболевания относятся: отек, выпот в коленном суставе и острая боль при ходьбе;
- бурсит. Данная патология возникает в сумке, окружающей коленный сустав. Причиной бурсита становится травма кожного покрова в районе колена и ее инфицирование, которое позже распространяется на коленный сустав. Возбудителями этого заболевания являются трепонема, палочка Коха, бруцелла и др. Клиническая картина при бурсите представляет собой боль в суставах при движении, гиперемию кожных покровов, повышение температуры тела в области колена, в некоторых случаях происходит общая интоксикация организма. Восстановление после замены коленного сустава может в этом случае включать в себя антибактериальную терапию;
- остеоартроз. Это заболевание характеризуется поражением суставной поверхности и ее деформацией. В группе риска находятся женщины пенсионного возраста, имеющие лишний вес. Причиной развития заболевания становится изменения дегенеративного характера в хрящевой ткани коленного сустава.
Упражнения после эндопротезирования коленного сустава в домашних условиях. Рекомендации для пациентов после эндопротезирования коленного сустава

1. Основные рекомендации для пациента, перенесшего тотальное эндопротезирование коленного сустава, касаются постоянных занятий ЛФК в домашних условиях для улучшения функции оперированного сустава, состояния мышц нижних конечностей, опороспособности, восстановления стереотипа ходьбы и активности в повседневной жизни, а также уменьшения риска падений. Костыли становятся ненужными через 3-4 недели после операции, как только позволит самочувствие пациента. Одним костылем следует продолжать пользоваться до тех пор, пока пациент не перестанет хромать; костыль должен находиться со стороны здоровой ноги.
2. Следует бинтовать оперированную ногу эластичным бинтом до 3-х месяцев после операции. Больному необходимо следить за своим здоровьем, поскольку обострение хронических заболеваний, острые инфекции, переохлаждение, переутомление могут привести к воспалению оперированного сустава. При повышении температуры тела, отеке оперированного сустава, покраснении кожи над ним, усилении боли в суставе пациент должен срочно обратиться к врачу.
3. Опасные виды активности после операции: бег, прыжки, игры с мячом, контактные виды спорта, аэробика – не рекомендуются. Активность, превышающая обычные рекомендации после операции: слишком длительные или утомительные прогулки, большой теннис, подъем тяжестей свыше 25 кг.Разрешенная активность после операции: неутомительные прогулки, плавание, гольф, вождение автомобиля, «неэкстремальный» туризм, бальные танцы, подъемы по невысокой лестнице, лыжи, велосипед, ходьба с палками.Если прооперированное коленоначинает болеть и отекать после нагрузок, их следует на время снизить.
4. Рекомендуется ходить в обуви на низком каблуке, убрать на время подвижные коврики, провода, постепенно увеличивать продолжительность ходьбы и опору на оперированную ногу. При ходьбе пациент должен стараться держать спину прямо, смотреть вперед и ставить ногу прямо перед собой или немного отводя ее в сторону, сгибать колено, когда нога находится на вису, и разгибать его, когда нога опирается на пол. Зимой, при ходьбе по скользким покрытиям, пациенту следует пользоваться препятствующими скольжению насадками на обувь и костыли.
5. При посадке в автомобиль больному желательно садиться на переднее сидение, предварительно откинув спинку и отодвинув кресло максимально назад. Садится в автомобиль нужно, опираясь руками на костыли или другую прочную опору. При посадке следует отклонить назад верхнюю часть туловища и перенести ноги, контролируя их движения. Во время поездки пациент должен сидеть в удобном положении, опираясь на спинку сидения. Управление автомобилем возможно, когда пациент сможет без затруднений садиться в автомобиль и контролировать нажим педалей. Наиболее часто это происходит через 4 – 6 недель после операции.Ранее этого срока можно управлять автомобилем только при наличии автоматической коробки передач.
6. После операции больному необходимо соблюдать следующие правила: следить, чтобы высота поверхности, на которую он садится, находилась не ниже колен; избегать резких движений при вставании и приседании; не сидеть дольше 15-20 минут и не стоять на одном месте дольше 30 минут; после прогулок ложиться на спину и минимум 30 минут держать ноги на высоте; во время отдыха класть подушку между коленями и избегать переразгибания сустава. Следует избегать: чрезмерного поворачивания ног внутрь или наружу, вращательных движений ногами, резких махов в сторону; подъема, переноса и толкания тяжестей (более 10 кг); увеличения веса тела; падений и сотрясений; глубоких приседаний; прыжков; резких движений и торможений; длительного сидения со скрещенными ногами.
7. Отдыхать пациенту лучше лежа на спине 3-4 раза в день. Во время отдыха можно лежать набоку, но при этом пользоваться валиком или подушкой междубедрами. Не следует спать на слишком мягкой или низкой кровати; желательно, чтобы она была выше уровня коленей (когда больной стоит).
8. Следует помнить, что на эндопротез больного могут реагироватьметаллоискатели.
9. Первые шесть недель после операции желательно не принимать горячую ванну и мыться в теплом душе. Категорически не разрешается в течение первых 1,5-3 месяцев посещение бани или сауны.
Упражнения для разработки коленного сустава после операции. Сгибательные движения в коленном суставе:
1) Пассивноесгибание в коленных суставах:
- Сядьте на край стола и позвольте коленному суставу согнуться под влиянием силы тяжести.
2) Используйте скольжение по стене, чтобы увеличить степень сгибания.
- Лягте на спину, поставьте травмированную ногу на стену и позвольте ноге ползти по стене вниз, при этом сгибая колено.Используйте другую ногу, чтобы оказывать давление вниз.

Рисунок 3. Скольжение по стене
3) Скольжение пяткой по столу;используется для получения окончательногосгибания в коленном суставе.
- Потяните пятку к ягодицам, сгибая колено. Держите ее в этом положении в течение 5 секунд. Выпрямите ногу, двигая пятку вниз. Держите ее в разогнутом положении в течении5 секунд.

Рисунок 4. Скольжение пяткой по столу
- Обхватите ногу обеими руками,подтаскиваяпятку к ягодицам.

Рисунок 5. Скольжение пяткой по столу при помощи рук
Восстановлениемышечной силы
Как только достигнут угол сгибания в коленном суставе – 100 градусов, Вы можете начинать работу по восстановлению мышечной силы:
1) Велотренажер.
- Используйте велотренажер два раза в день по 10 – 20 минут. См. рисунок 6

Рисунок 6. Велотренажер помогает восстановить силу мышц.
2) Плавание – также очень ценная процедура, которая может быть полезна в этой фазе леченияв качестве восстановления мышечной силы и для поддержания объема движений в суставе.
3) Слабо воздействующие тренажёры также могут быть применены для предоперационной подготовки
Эта программа предоперационной реабилитации должна продолжиться до тех пор, пока Вы не достигните полного объема движений в суставе и восстановления мышечной силы в нижних конечностях (Вы должны ходитьне хромая).
Мысленно готовьтесь
- Необходимо определится, что Вы ждете от операции
- Заранее обговорите с врачемметоды послеоперационной реабилитации
- Договоритесь с семьей и/или друзьями о помощи во время послеоперационного лечения
- Прочитайте и проработайте всеэтапыпослеоперационной реабилитации
После Операции:
В операционной Вам будет произведена иммобилизация коленного сустава брейсом или гипсовой лонгетой для покоя в положении разгибания в коленном суставе.
В палате на коленный сустав накладывается пузырь со льдом, что уменьшит впоследствии болевые ощущения и отек в послеоперационном периоде.
Послеоперационная иммобилизация коленного сустава очень важна, так как помогает контролировать боль и отек в области сустава.
Выписка:
Производится в срок от 4 до 12 дней после операции. Заранее договоритесь о транспортировке до дома. Водить автомобиль на этом этапе не разрешается.
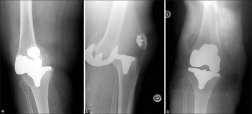
Отек колена после эндопротезирования коленного сустава. 4 опасных осложнения после эндопротезирования
1. Инфекции.
В течение первого года после вмешательства возможно развитие ранней инфекции. Ее причиной может стать недостаточная стерильность операционного зала или инфицирование операционной раны. Если воспаление появляется позже, виной тому – внешнее инфекционное заболевание. На проблему указывают покраснение и припухлость, повышение температуры тела, болевой синдром, а также выделение секретов в области эндопротеза.
2. Интраоперационные осложнения.
Любая операция – это риск, особенно если речь идет о сложной имплантации искусственного сустава. Существует вероятность повреждения нервов или кровеносных сосудов. В редких случаях происходит срыв резьбы стержня и перфораций в креплении эндопротеза. Иногда из-за неправильного позиционирования впоследствии пациенту диагностируют вывих или деформацию, несовместимую с привычным образом жизни, а из-за недостаточной фиксации происходит ослабление элементов протеза и его нестабильность.

Даже самые искусные хирурги-ортопеды ошибаются: они тоже люди
3. Постоперационные осложнения.
Тромбоз, пролежни, эмболия, плохое общее состояние организма – далеко не все «сюрпризы» послеоперационного периода. Иногда медики отмечают скопление жидкости и недостаточно быстрое заживление раны, повторное кровотечение и гематомы. Пациенты могут жаловаться на тугоподвижность, а те, кто не прислушался к советам по реабилитации, из-за ослабленных мышц во время первых попыток передвижения получают вывихи. Сложность постоперационного периода как раз в том, чтобы выполнить абсолютно все рекомендации и не навредить самому себе.
Как долго прослужит искусственный сустав, зависит от реабилитационного периода. Пациенту предстоит пройти долгий путь к тому, чтобы сустав прижился. Вот лишь некоторые рекомендации от специалиста:
4. Переломы и нарушение стабильности.
Современные эндопротезы изготавливают из высококачественных материалов, поэтому такие явления, как усталость металла и усталостные переломы, практически не встречаются. Однако это не исключает вероятности переломов диафиза бедренной кости в однополюсном эндопротезе бедра и поломки коленного сустава в однополюсном эндопротезе колена. Как правило, это происходит на фоне ослабления креплений компонентов, которое бывает вследствие чрезмерной нагрузки на искусственный сустав примерно через 10-15 лет после имплантации.

Массаж после замены коленного сустава. Замена коленного сустава, реабилитация после операции
Реабилитация после эндопротезирования имеет первостепенное значение для обеспечения безболезненного функционирования сустава и улучшения качества жизни пациента. Операция попоказана для лечения болезненных и инвалидизирующих патологий, вызванных различными формами, тяжелыми травмами. Хирургом-ортопедом выполняется полная или частичная замена износившегося суставного соединения на его анатомически точную копию.

Искусственный имплантат состоит из металлических и пластиковых элементов, абсолютно безопасных для организма. Чтобы заново научить прооперированную конечность двигаться правильно, расширить диапазон доступных движений, требуются массажи, посещение физиотерапевтического кабинета, выполнение.
Срок восстановления: когда можно ходить?
Этот вопрос — часто задаваемый среди посетителей специализированных форумов, посвящённых вопросам эндопротезирования. Прогресс сугубо индивидуален, полный возврат к нормальной деятельности возможен уже через 3—6 месяцев после процедуры, в течение которых вы будете заново строить собственную жизнь, учиться самым обыденным вещам.
Большинство имплантов позволяют сгибаться коленному суставу, но не более чем на 110 градусов.
Сложность процесса восстановления — в том, что больные артритом люди живут с изматывающими болями годами. За это время у них вырабатываются предпочтительные позы для, стояния, передвижения, становятся неактивными и атрофируются некоторые мышцы. Эти же привычки, называемые аномальными невралгиями, никуда не уходят и после того, как вы просыпаетесь в послеоперационной палате. Процесс избавления от них сложен, тернист; желательно проходить его под присмотром врача-реабилитолога.
При дегенеративных суставных заболеваниях пациентам полагается пособие по инвалидности. Для его оформления необходим сбор необходимых результатов обследования, подтверждающих неспособность самостоятельно передвигаться.
Причиной для получения аналогичного статуса может стать и реабилитация после эндопротезирования, если в результате операции вы не в состоянии выполнять привычную работу. Оказывается такая социальная помощь в течение 12 месяцев.
Как увеличить результативность реабилитации?
При соблюдении всех врачебных рекомендаций увеличение доступного диапазона движений, избавления от боли удаётся достичь 90% пациентов.
Рекомендации специалиста в зависимости от практикуемой им методики, перенесённого типа процедуры могут различаться. Обычно они включают следующие пункты:
- ранняя физическая активность – залог успешной реабилитации;
- уже на вторые послеоперационные сутки необходимо начинать присаживаться и вставать, используя в качестве опоры специальные поручни;
Встать с кровати и сходить в туалет в первые дни после операции — это уже можно назвать реабилитацией.
- покорятьпридется уже на пятый день. Причём первый шаг делается обязательно здоровой ногой;

А больная нога всегда находится между двух костылей.
- увеличение физической нагрузки происходит постепенно, чтобы не повредить имплантат;

Такое может случиться, если очень торопиться. Это вывих коленного импланта.
- после выписки домой можно приседать только на высокие стулья, а поднимать предметы без посторонней помощи или специальных приспособлений запрещено;

Наглядный пример запрещённых первое время положений.
- постоянный контроль веса;

Если есть лишний вес, то просто похудейте — это даст вам большую фору в процессе восстановления.
- сон на боку или спине разрешён только с использованием специального валика, помещаемого между ног;

Это требование больше подходит для тазобедренного сустава, но колено тоже стоит обезопасить таким образом.
- водить автомобиль позволяется лишь спустя 8 недель после процедуры;

Садиться и выходить из него нужно особым способом.
- вводите в свой рацион пищу, богатую железом, и пейте больше жидкости.





