Горячие колени и болят. Горячее колено
- Горячие колени и болят. Горячее колено
- Колени горячие и болят. Боль в коленном суставе: причины, лечение, почему болят колени, что с этим делать, как и чем их лечить
- Горячие колени и ноют. Самые частые причины ноющей боли в коленях, что делать, лечение
- Горячие колени и локти. Причины
- Горячие колени и боль в них. Воспалительные патологии
Горячие колени и болят. Горячее колено
Если горят колени: возможные причины и что делать
Не всегда жжение и покраснение в области колена свидетельствует о наличии заболевания, иногда это неприятное ощущение является следствием чрезмерной нагрузки на ноги и проходит самостоятельно. Однако если человек испытывает дискомфорт в коленях на протяжении нескольких дней, то необходимо обратиться к врачу.
Причины
Установить причину данной патологии непросто, сделать это может только квалифицированный специалист на основе результатов анализов. Самыми распространенными причинами жжения и покраснения коленей являются:
- Травмы . Чаще всего горит колено от полученных травм: растяжение, трещины, повреждение связок, ушиб, вывих, перелом. Это происходит из-за действия медиаторов (особых веществ), которые провоцируют воспалительный процесс. При получении различных травм диагностировать состояние тканей довольно сложно, однако человеку необходимо оказать первую помощь. Требуется обездвижить конечности, использовать ортопедические приспособления (наколенники, эластичные бинты) и ледяные компрессы.
- Воспалительный процесс . Появление воспалительного процесса в колене также может являться причиной жжения, причем воспаляться могут любые части и ткани. Это происходит при таких заболеваниях, как артроз, артрит, бурсит, синовит, тендинит, киста Беккера. Для диагностики этих патологий необходимо сдать общий анализ крови, пройти рентгенографию, сдать пункцию суставной ткани.
- Заболевание сосудов . Варикозная болезнь, тромбофлебит, атеросклероз тоже могут способствовать тому, что колени начнут гореть. В таком случае жжение будет лишь дополнительным симптомом к основным проявлениям заболевания. Также гореть колени могут в подростковом возрасте из-за конфликта развития костных и сосудистых тканей.
- Дисфункция позвоночного столба . Если у человека не только горят колени, но и ощущается дискомфорт в области спины, это говорит о развитии заболеваний позвоночника. В таком случае необходимо сделать рентген и МРТ для определения нарушений и их тяжести.
- Обморожение . Появиться жжение в области коленей может и от долгого нахождения на морозе. В таком случае необходимо укутать ноги в шерстяную ткань и выпить теплого чая. При обморожении ни в коем случае нельзя растирать пораженные участки, чтобы не повредить кожу.
- Кожные заболевания . Бактерии и грибок также могут повлиять на появление жжения в коленях. При таких заболеваниях появляются специфические корочки на ногах.
- Дистрофические изменения . Причинами таких разрушений являются воспалительные травмы. При патологии сначала появляется хруст, боль и лишь в запущенных стадиях — жжение.
- Аллергия . Аллергическая реакция может возникнуть на медикаменты, продукты питания и другие факторы. Отличить ее от развития других заболеваний просто, поскольку помимо покраснения появляется сильный зуд.
- Полинейропатия . Это проявление различных интоксикаций таких, как алкогольная интоксикация, сахарный диабет. В таком случае кроме жжения появляется ломота в конечностях, понижается чувствительность.
- Недостаток витаминов в организме . Дисбаланс витаминов и минералов в организме также вызывает жжение в области колена, поскольку слабеют суставы и связки, нарушается питание суставов. К таким причинам можно отнести стресс, употребление алкоголя, курение, авитаминоз, сидячий образ жизни. Помимо жжения появляется скованность суставов, покраснение кожи.
Источник: https://shkola-krasoty.com/stati/goryachie-koleni-i-bolyat-prichiny
Колени горячие и болят. Боль в коленном суставе: причины, лечение, почему болят колени, что с этим делать, как и чем их лечить
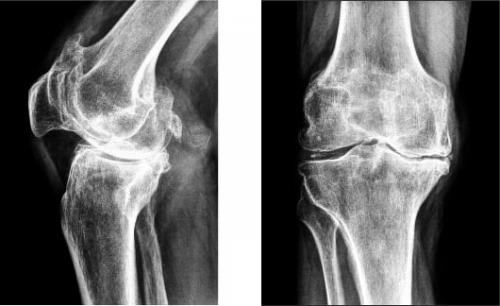
На изображении справа заметно сращение суставной щели.
Коленный сустав является одним из самых крупных и сложных. Ежедневно он подвергается огромной нагрузке, поэтому неудивительно, что периодически он перестает функционировать нормально.Если, причем боль практически постоянная, то необходимо обязательно. Такое патологическое состояние может быть сигналом о развитии одного из, деформирующего сустав. Естественно, необходимо научиться различать ситуации, когда визит к врачу очень нужен. Но отсутствиеили самостоятельная терапия может привести к осложнениям.
Строение коленного сустава
Важно знать! Врачи в шоке: "Эффективное и доступное средство от боли в суставах существует…"…
Чтобы лучше понять, почему болят колени, нужно разобраться с их анатомией. Итак, сочленение состоит из бедренной, большой берцовой кости и коленной чашечки. Две самые большие кости имеют по два выступа: внутренний и наружный мыщелки.

Все поверхности, которые соприкасаются друг с другом, покрыты гиалиновым хрящом. Благодаря ему обеспечивается подвижность коленного сустава, его амортизационные свойства. Вокруг этого соединения костей находится своеобразная капсула, изнутри выстланная синовиальным слоем. Она наполнена, благодаря которой производится питание сочленения, обеспечивается его подвижность.
Коленный сустав состоит не только из костей. Все его элементы объединяются крестообразными и коллатеральными связками, бедренными мышцами, сухожилиями. Коленная чашечка крепится к другим элементам посредством собственной связки. Для того чтобы колено двигалось, необходимо 6 синовиальных сумок. Питание и иннервация представленного сустава осуществляется посредством нервов и кровеносных сосудов, которые размещены в мягких тканях, окружающих сустав.
Боль в коленном суставе: причины появления
Если колено стало болеть, появился отек, подвижность ограничена, а дискомфорт является достаточно сильным, необходимо срочно обратиться к врачу. Если деструктивный процесс уже начался, то полностью вылечить колено будет невозможно. Однако остановить или замедлить его прогрессирование удастся.
Итак, можно выделить такие причины боли в коленном суставе:
- гонартроз . Он встречается практически в 50% всех случаев поражения сочленения. Патология развивается очень долго. Среди симптомов этой болезни можно выделить такие: колено не болит в состоянии покоя, однако человеку становится трудно, долго ходить,. Во время движения больной слышит, у него снижается подвижность. Со временем, вследствие изнашивания хряща, расстояние между костными поверхностями уменьшается. При этом появляются, нервы и сосуды сдавливаются, а само колено деформируется;

Гонартроз коленного сустава на рентгене.

Горячие колени и ноют. Самые частые причины ноющей боли в коленях, что делать, лечение
Из этой статьи вы узнаете, при каких заболеваниях у людей ноют колени. Описаны симптомы различных болезней, вызывающих неприятные болевые ощущения в коленях, методы их диагностики и лечения.
Автор статьи:, заведующий отделением анестезиологии и интенсивной терапии, стаж работы 8 лет. Высшее образование по специальности "Лечебное дело".
Дата обновления статьи:
- При нарушении анатомии сустава, например, отрыве части мениска, боль в покое может отсутствовать, но во время ходьбы отломок начинает двигаться и причиняет боль.
- Боли роста у детей, связанные с натяжением мышц и сухожилий во время интенсивного роста костей, появляются только ночью, так как днем слабая болевая импульсация заглушается ощущениями, вызванными движением.
- Гонартроз.
- Ревматоидный артрит.
- Растяжение или разрыв связок коленного сустава.
- Разрыв мениска.
- Хондромаляция надколенника.
- Тендинит.
- Синдром подвздошно-большеберцового тракта.
- Бурсит.
- Синовит коленного сустава.
- Киста Бейкера.
- Ноющая боль в колене, усиливающаяся при движениях и нагрузке.
- Скованность движений, более всего беспокоящая пациентов по утрам и после длительного периода обездвиженности.
- Чувство треска или хруста в пораженном суставе .
- Ограничение объема движений в колене.
Ноющая боль в коленях – это симптом, который может наблюдаться при большом количестве заболеваний. Такая боль не является характерным симптомом какой-то патологии.

Возможные болезни: травмы и растяжения, гонартроз, ревматоидный артрит, тендинит, разрыв менисков, хондромаляция надколенника, синдром подвздошно-большеберцового тракта, бурсит и синовит коленного сустава, киста Бейкера.

Тендинит собственной связки надколенника
При любом из заболеваний боли могут возникать в колене в состоянии покоя или при движении, ночью и днем. Однако для некоторых состояний характерно возникновение боли в конкретных обстоятельствах, например:
Каждое из заболеваний имеет свои причины возникновения и характерную симптоматику, но их объединяет одна общая черта – возникновение болевого синдрома в коленном суставе.
Риск возникновения проблем с коленями повышается при наличии следующих факторов риска:
Прогноз и эффективность лечения зависят не столько от характера боли, как от того, какой причиной она вызвана: например, симптомы легкого растяжения проходят самостоятельно, а вот артроз полностью вылечить невозможно.
Проблемами ноющих болей в коленях могут заниматься врачи общей практики, травматологи или ревматологи.
Почему возникает боль
Коленный сустав – один из самых сложных в организме.
Источником болевых ощущений могут быть:
Строение коленного сустава. Нажмите на фото для увеличения
Любой патологический процесс, повреждающий эти части коленного сустава, может приводить к появлению ноющей боли.
Часто это следующие патологии:
Обзор самых частых причин ноющей боли в коленях
Гонартроз
Гонартроз (артроз коленного сустава) – одно из самых частых, поражающее миллионы людей во всем мире. Оно развивается при повреждении защитного слоя хрящевой ткани, располагающейся поверх костей в суставах.

Нажмите на фото для увеличения
Основная причина гонартроза – изнашивание суставных хрящей.
Факторы риска – пожилой возраст, избыточный вес, травмы суставов, отягощенная наследственность.
Главные симптомы гонартроза:
Ревматоидный артрит
Ревматоидный артрит – хроническое заболевание, вызываемое аутоиммунными реакциями, направленными против суставных хрящей.
Обычно ревматоидный артрит приводит к воспалению небольших суставов кистей и стоп, но иногда может поражать и коленки.

Нажмите на фото для увеличения
Симптомы этого заболевания:
- Боль в суставах.
- Утренняя скованность движений в коленях.
- Симметрическое поражение нескольких суставов.
- Усталость, ухудшение аппетита, незначительное повышение температуры тела.
Иногда воспаление, вызванное ревматоидным артритом, поражает другие органы, включая:
- Глаза – развиваются ощущение пересыхания, боль, покраснение, повышенная чувствительность к свету и ухудшение восприятия цвета.
- Ротовую полость – развивается сухость во рту, раздражение десен.
- Кожу – появляются ревматоидные узелки (небольшие плотные узелки под кожей).
- Легкие – развивающееся воспаление может вызвать одышку.
Горячие колени и локти. Причины
Установить причину данной патологии непросто, сделать это может только квалифицированный специалист на основе результатов анализов. Самыми распространенными причинами жжения и покраснения коленей являются:
- Травмы . Чаще всего горит колено от полученных травм: растяжение, трещины, повреждение связок, ушиб, вывих, перелом. Это происходит из-за действия медиаторов (особых веществ), которые провоцируют воспалительный процесс. При получении различных травм диагностировать состояние тканей довольно сложно, однако человеку необходимо оказать первую помощь. Требуется обездвижить конечности, использовать ортопедические приспособления (наколенники, эластичные бинты) и ледяные компрессы.
- Воспалительный процесс . Появление воспалительного процесса в колене также может являться причиной жжения, причем воспаляться могут любые части и ткани. Это происходит при таких заболеваниях, как артроз, артрит, бурсит, синовит, тендинит, киста Беккера. Для диагностики этих патологий необходимо сдать общий анализ крови, пройти рентгенографию, сдать пункцию суставной ткани.
- Заболевание сосудов . Варикозная болезнь, тромбофлебит, атеросклероз тоже могут способствовать тому, что колени начнут гореть. В таком случае жжение будет лишь дополнительным симптомом к основным проявлениям заболевания. Также гореть колени могут в подростковом возрасте из-за конфликта развития костных и сосудистых тканей.
- Дисфункция позвоночного столба . Если у человека не только горят колени, но и ощущается дискомфорт в области спины, это говорит о развитии заболеваний позвоночника. В таком случае необходимо сделать рентген и МРТ для определения нарушений и их тяжести.
- Обморожение . Появиться жжение в области коленей может и от долгого нахождения на морозе. В таком случае необходимо укутать ноги в шерстяную ткань и выпить теплого чая. При обморожении ни в коем случае нельзя растирать пораженные участки, чтобы не повредить кожу.
- Кожные заболевания . Бактерии и грибок также могут повлиять на появление жжения в коленях. При таких заболеваниях появляются специфические корочки на ногах.
- Дистрофические изменения . Причинами таких разрушений являются воспалительные травмы. При патологии сначала появляется хруст, боль и лишь в запущенных стадиях — жжение.
- Аллергия . Аллергическая реакция может возникнуть на медикаменты, продукты питания и другие факторы. Отличить ее от развития других заболеваний просто, поскольку помимо покраснения появляется сильный зуд.
- Полинейропатия . Это проявление различных интоксикаций таких, как алкогольная интоксикация, сахарный диабет. В таком случае кроме жжения появляется ломота в конечностях, понижается чувствительность.
- Недостаток витаминов в организме . Дисбаланс витаминов и минералов в организме также вызывает жжение в области колена, поскольку слабеют суставы и связки, нарушается питание суставов. К таким причинам можно отнести стресс, употребление алкоголя, курение, авитаминоз, сидячий образ жизни. Помимо жжения появляется скованность суставов, покраснение кожи.
Горячие колени и боль в них. Воспалительные патологии
Жжение в коленном суставе появляется на начальном этапе развития любой острой воспалительной патологии. Оно сопровождает все хронические заболевания, возникает на стадии ремиссии и во время рецидивов.может поражать хрящевые, костные, мягкие ткани, мышцы, связочно-сухожильный аппарат. Он бывает первичным, развивающимся в ответ на предшествующую травму, или вторичным, возникающим на фоне деструктивно-дегенеративных изменений в колене. Жжение часто становится одним из первых клинических проявлений следующих воспалительных патологий:
- ревматоидный и реактивный артрит . Основная причина заболевания — нарушение ответа иммунной системы, которая начинает атаковать собственные клетки организма. Воспалением оказываются поражены синовиальные сумки, хрящевые и мягкие ткани. Колено отекает, кожа над суставом краснеет, становится горячей на ощупь;

Ревматоидный артрит.
- инфекционный артрит . Патологию провоцируют проникшие в суставную полость болезнетворные бактерии, реже — вирусы или грибки. Они не только вызывают жжение и болезненные ощущения, но и выделяют в окружающее пространство токсичные продукты своей жизнедеятельности. У человека повышается температура, возникают диспепсические и неврологические расстройства;
- подагра. В результате расстройства регуляции метаболизма пуринов в суставах начинают откладываться кристаллы солей мочевой кислоты. Постепенно они укрупняются, образуя ураты. Эти мелкие конкременты раздражают суставные структуры, провоцируя постоянное ощущение жжения. Во время подагрических атак оно сменяется острой, пронизывающей болью;

- бурсит , синовит . Артриты, артрозы, инфекции способны стать причиной воспаления синовиальных сумок с образованием и накоплением в них жидкости — патологического экссудата. Пораженное колено сильно опухает и болит . Помимо жжения, в нем ощущаются боли, усиливающиеся во время ходьбы , сгибания или разгибания сустава .

"Врачи скрывают правду!"
Даже "запущенные" проблемы с суставами можно вылечить дома! Просто не забывайте раз в день мазать этим…
>Одна из разновидностей бурсита —. В результате развития воспалительного процесса в подколенной ямке образуется выпячивание. Первые клинические проявления патологии, в том числе и жжение, возникают при формировании кисты больших размеров. Она сдавливает нервные окончания и кровеносные сосуды в подколенной ямке. Киста не только хорошо прощупывается — ее можно разглядеть невооруженным глазом. Патологию сопровождают боли, ограничение объема движений, а в некоторых случаях — онемение, подошвенные парестезии.

