Коленка горячая и болит. Горячее колено
- Коленка горячая и болит. Горячее колено
- Боль в колене, как иголкой. Боль в коленном суставе: причины, лечение, почему болят колени, что с этим делать, как и чем их лечить
- Опухло колено, но не болит. Причины заболевания
- Болит колено сбоку с внешней стороны лечение. Как может болеть колено?
- Болит колено опухло горячее. Почему опух коленный сустав?
- Болит коленная чашечка при нажатии. Причины постоянных болей
Коленка горячая и болит. Горячее колено
Если горят колени: возможные причины и что делать
Не всегда жжение и покраснение в области колена свидетельствует о наличии заболевания, иногда это неприятное ощущение является следствием чрезмерной нагрузки на ноги и проходит самостоятельно. Однако если человек испытывает дискомфорт в коленях на протяжении нескольких дней, то необходимо обратиться к врачу.
Причины
Установить причину данной патологии непросто, сделать это может только квалифицированный специалист на основе результатов анализов. Самыми распространенными причинами жжения и покраснения коленей являются:
- Травмы . Чаще всего горит колено от полученных травм: растяжение, трещины, повреждение связок, ушиб, вывих, перелом. Это происходит из-за действия медиаторов (особых веществ), которые провоцируют воспалительный процесс. При получении различных травм диагностировать состояние тканей довольно сложно, однако человеку необходимо оказать первую помощь. Требуется обездвижить конечности, использовать ортопедические приспособления (наколенники, эластичные бинты) и ледяные компрессы.
- Воспалительный процесс . Появление воспалительного процесса в колене также может являться причиной жжения, причем воспаляться могут любые части и ткани. Это происходит при таких заболеваниях, как артроз, артрит, бурсит, синовит, тендинит, киста Беккера. Для диагностики этих патологий необходимо сдать общий анализ крови, пройти рентгенографию, сдать пункцию суставной ткани.
- Заболевание сосудов . Варикозная болезнь, тромбофлебит, атеросклероз тоже могут способствовать тому, что колени начнут гореть. В таком случае жжение будет лишь дополнительным симптомом к основным проявлениям заболевания. Также гореть колени могут в подростковом возрасте из-за конфликта развития костных и сосудистых тканей.
- Дисфункция позвоночного столба . Если у человека не только горят колени, но и ощущается дискомфорт в области спины, это говорит о развитии заболеваний позвоночника. В таком случае необходимо сделать рентген и МРТ для определения нарушений и их тяжести.
- Обморожение . Появиться жжение в области коленей может и от долгого нахождения на морозе. В таком случае необходимо укутать ноги в шерстяную ткань и выпить теплого чая. При обморожении ни в коем случае нельзя растирать пораженные участки, чтобы не повредить кожу.
- Кожные заболевания . Бактерии и грибок также могут повлиять на появление жжения в коленях. При таких заболеваниях появляются специфические корочки на ногах.
- Дистрофические изменения . Причинами таких разрушений являются воспалительные травмы. При патологии сначала появляется хруст, боль и лишь в запущенных стадиях — жжение.
- Аллергия . Аллергическая реакция может возникнуть на медикаменты, продукты питания и другие факторы. Отличить ее от развития других заболеваний просто, поскольку помимо покраснения появляется сильный зуд.
- Полинейропатия . Это проявление различных интоксикаций таких, как алкогольная интоксикация, сахарный диабет. В таком случае кроме жжения появляется ломота в конечностях, понижается чувствительность.
- Недостаток витаминов в организме . Дисбаланс витаминов и минералов в организме также вызывает жжение в области колена, поскольку слабеют суставы и связки, нарушается питание суставов. К таким причинам можно отнести стресс, употребление алкоголя, курение, авитаминоз, сидячий образ жизни. Помимо жжения появляется скованность суставов, покраснение кожи.
Источник: https://zdorovaya-eda.com/novosti-po-zdorovomu-pitaniyu/kolenka-goryachaya-i-bolit-goryachee-koleno
Боль в колене, как иголкой. Боль в коленном суставе: причины, лечение, почему болят колени, что с этим делать, как и чем их лечить
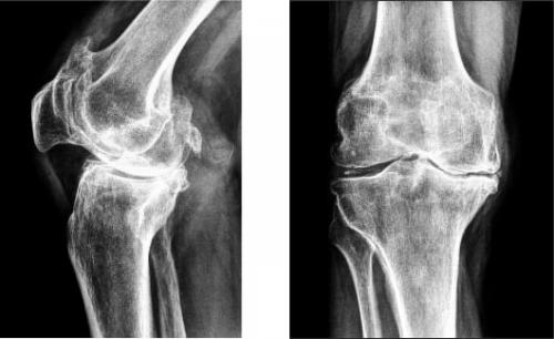
На изображении справа заметно сращение суставной щели.
Коленный сустав является одним из самых крупных и сложных. Ежедневно он подвергается огромной нагрузке, поэтому неудивительно, что периодически он перестает функционировать нормально.Если, причем боль практически постоянная, то необходимо обязательно. Такое патологическое состояние может быть сигналом о развитии одного из, деформирующего сустав. Естественно, необходимо научиться различать ситуации, когда визит к врачу очень нужен. Но отсутствиеили самостоятельная терапия может привести к осложнениям.
Строение коленного сустава
Важно знать! Врачи в шоке: "Эффективное и доступное средство от боли в суставах существует…"…
Чтобы лучше понять, почему болят колени, нужно разобраться с их анатомией. Итак, сочленение состоит из бедренной, большой берцовой кости и коленной чашечки. Две самые большие кости имеют по два выступа: внутренний и наружный мыщелки.

Все поверхности, которые соприкасаются друг с другом, покрыты гиалиновым хрящом. Благодаря ему обеспечивается подвижность коленного сустава, его амортизационные свойства. Вокруг этого соединения костей находится своеобразная капсула, изнутри выстланная синовиальным слоем. Она наполнена, благодаря которой производится питание сочленения, обеспечивается его подвижность.
Коленный сустав состоит не только из костей. Все его элементы объединяются крестообразными и коллатеральными связками, бедренными мышцами, сухожилиями. Коленная чашечка крепится к другим элементам посредством собственной связки. Для того чтобы колено двигалось, необходимо 6 синовиальных сумок. Питание и иннервация представленного сустава осуществляется посредством нервов и кровеносных сосудов, которые размещены в мягких тканях, окружающих сустав.
Боль в коленном суставе: причины появления
Если колено стало болеть, появился отек, подвижность ограничена, а дискомфорт является достаточно сильным, необходимо срочно обратиться к врачу. Если деструктивный процесс уже начался, то полностью вылечить колено будет невозможно. Однако остановить или замедлить его прогрессирование удастся.
Итак, можно выделить такие причины боли в коленном суставе:
- гонартроз . Он встречается практически в 50% всех случаев поражения сочленения. Патология развивается очень долго. Среди симптомов этой болезни можно выделить такие: колено не болит в состоянии покоя, однако человеку становится трудно, долго ходить,. Во время движения больной слышит, у него снижается подвижность. Со временем, вследствие изнашивания хряща, расстояние между костными поверхностями уменьшается. При этом появляются, нервы и сосуды сдавливаются, а само колено деформируется;

Гонартроз коленного сустава на рентгене.

Опухло колено, но не болит. Причины заболевания
- Повреждены коленные связки. Чаще это разрыв или растяжение связок. Состояние сопровождается резким отеком, болью и чувством неустойчивости. Например, повреждение передней крестовидной связки сопровождается сильнейшей болью и неустойчивостью сустава. Больной не может наступать на больную конечность, тем более, ходить;
- Тендинит. или воспаление сухожилий. С помощью сухожилий (толстые плотные волокна соединительной ткани) мышцы крепятся к костям. Повреждение или воспаление сухожилий сопровождается интенсивной болью при движении и сильным отеком;
- Выраженный отек мягких тканей развивается при бурсите, или воспалении суставной сумки. Кроме припухлости появляются и другие признаки воспаления: покраснение кожи и болевой синдром, особенно интенсивный во время сгибания ноги;
- Отек колен. сопровождающийся нарушением ходьбы и дискомфортом, появляется при смещении коленной чашечки. Иногда больному не удается выпрямить до конца ногу или это происходит с трудом и сопровождается усилением болевого синдрома;
- Ушиб. При ушибе колено отекает, кожа над ним краснеет. Любое движение в области больного колена сопровождается болевым синдромом.
- Ревматоидный артрит. Заболевание с хроническим течением, характеризующееся отеком как в момент активации процесса, так и после его стихания;
- Остеопороз. Часто метеозависимое заболевание, обычно характеризуется отеком и болевым синдромом разной степени выраженности. Во время движения болит пораженный сустав и больного остеопорозом часто беспокоит дискомфорт;
- Септический артрит. Инфекционное воспалительное заболевание, для которого характерны боль, отек, лихорадка, гиперемия кожи над больным суставом;
- Подагра. Хроническое заболевание, в периоды обострения сопровождается отёком, интенсивным болевым приступом, краснотой. Приступ подагры длится несколько дней, затем постепенно стихает.
Болит колено сбоку с внешней стороны лечение. Как может болеть колено?
Неприятные ощущения в коленном суставе могут свидетельствовать о воспалительных процессах, травмах и разнообразных патологиях. Все зависит от характера боли, состояния тканей и костей. Могут быть жалобы на то, что болит колено сбоку, с внешней стороны, внутренняя суставная боль, неприятные ощущения с внутренней стороны и многое другое. Также специалисты разделяют боль на острую и хроническую. Острая длится от нескольких минут до часов, хроническая – возникает периодами, от затихания до усиления. Как же может проявляться дискомфорт в колене:
- Симптомы локальные, неприятные ощущения возникают именно в суставе.
- Характерная острая, средняя и хроническая боль.
- Часто наблюдается не острое течение заболевания. Дискомфорт возникает плавно, постепенно усиливаясь и ограничивая ногу в движении.
- Болит колено сбоку с внешней стороны, больно разгибать после сидения.
- Наблюдаются периоды ремиссии. Симптомы пропадают или возникают крайне редко.
- Неприятные ощущения усиливаются в вечернее время суток, когда коленные суставы находятся в состоянии покоя.
- Видимые внешние признаки заболевания – это деформация колена.
- В утреннее время суток сустав не работает, затрудняется процесс сгибания и разгибания ноги.
- При воспалительном процессе боль острая.
- Часто наблюдается внешняя припухлость и краснота.
- Сильный хруст и болевые ощущения.
- Неустойчивость всего организма, страх повредить сустав еще больше.

Это только малая часть того, что может проявляться при заболеваниях коленных суставов.
Болит колено опухло горячее. Почему опух коленный сустав?
Причин, почему заболел и распух коленный сустав, достаточно много. Здесь перечислены лишь основные из них.
Травма коленного сустава
Наиболее частая причина повреждения коленного сустава – его травмирование во время занятий спортом и физкультурой. Это особенно характерно для хоккеистов, фигуристов и футболистов. Механизм травмы заключается в том, что тело вращается по инерции при фиксированной стопе. При этом в коленном суставе бедренная кость движется вокруг своей оси, а большеберцовая кость остается на месте. В результате происходит растяжение и даже разрыв связок с соответствующей клинической картиной:
- Резкая боль в колене как спереди, так и сзади.
- Нарастающий отек, пациент замечает, что коленный сустав опух.
- Затруднение или невозможность сгибаний в коленном суставе, поскольку они сопровождаются сильной болью.
- Может быть изменение цвета кожи от бледно-розового до багрово-синюшного (при повреждении кровеносных сосудов и возникновении подкожной гематомы).
Разумеется, спортивная травма – не единственная причина повреждений коленного сустава под действием внешних факторов. Удар в область колена (например, при падении) может закончиться переломом надколенника и разрывом сухожилий, что потребует более серьезного обследования и лечения.
Гонартроз
Под термином « гонартроз » подразумевается дегенеративно-дистрофический процесс в тканях коленного сустава. Суставной хрящ истончается, обызвествляются связки, снижается прочность костной ткани, по краям костей образуются остеофиты (острые выросты). Как правило, гонартроз развивается у пожилых лиц, в особенности у женщин в период менопаузы.
Заболевание проявляется следующими симптомами:
- боль и отек в области коленного сустава.
- затруднения при сгибании ноги в колене и при ходьбе.
- чувство скованности в коленях.
- ощущение «щелчка» и «хруста» при движениях.
Значимым фактором риска развития гонартроза является ожирение. Избыточная масса тела повышает нагрузку на коленный сустав, что приводит к его более быстрому «износу».
Аутоиммунные заболевания
При системных заболеваниях соединительной ткани, таких как ревматоидный артрит, ревматизм, системная красная волчанка и другие, может развиваться воспаление коленного сустава, или артрит. Это состояние тяжелее, чем артроз, требует длительного наблюдения у ревматолога и долгосрочного лечения гормональными препаратами, чтобы остановить патологический процесс. Кроме того, не исключен процесс, когда артроз сопровождается артритом.
Инфекционные заболевания
Нередко поражение коленного сустава наблюдается при инфекционных заболеваниях. Теоретически любая заразная болезнь может привести к такому осложнению, особенно вирусная.
Однако при некоторой патологии изменения со стороны суставов, в том числе и коленного, выходят на первый план:
- Псевдотуберкулез, протекающий с желудочно-кишечными расстройствами, сыпью и артритами.
- Бруцеллез, профессиональное заболевание ветеринаров и лиц, общающихся с крупным рогатым скотом. Проявляется длительной лихорадкой, множественным поражением суставов, изменениями психики и бесплодием.
- Боррелиоз – болезнь, вызываемая бактериями и передаваемая с укусом клеща. Имеет чрезвычайно богатую клиническую картину с поражением головного мозга, кожи, сердца и суставов.
- Синдром Рейтера – одно из проявлений хламидийной инфекции, встречающееся преимущественно у мужчин. Характеризуется сочетанным поражением крупных суставов, патологией со стороны глаз и уретритом (воспалением мочеиспускательного канала).
- Костно-суставной туберкулез, при котором возможно развитие гонита – изолированного поражения коленного сустава с его прогрессирующим разрушением.
Бурсит
Иногда встречается бурсит , или воспаление околосуставной сумки, которых у коленного сустава достаточно много как спереди, так и сзади. Заболевание проявляется болью в области колена, его отеком, а также трудностями при движениях.
Источник: https://shkola-krasoty.com/novosti/koleno-na-oshchup-goryachee-osnovnye-prichiny-boley-v-kolenyah
Болит коленная чашечка при нажатии. Причины постоянных болей
Травма коленки
Сильная боль может быть при получении перелома чашечной кости.
Самую острую болезненность в колене вызывает перелом чашечки, который возникает при прямом падении или ударе тяжелым предметом по ноге спереди. Симптомы при переломах развиваются мгновенно, пострадавшего беспокоят:
- боль в передней части конечности, усиливающаяся при попытках пошевелить ногой;
- образование отека и гематомы;
- западание чашечки при нажатии;
- передвижение отломков в верхней или нижней части надколенника.
Вернуться к оглавлению
Растяжение или разрыв связок
Нарушение является следствием разрушающего механического воздействия на коленный сустав, возникающего при падениях, резких поворотах, повышенных физических нагрузках на нижние конечности. В зависимости от степени повреждения, пострадавшего будут беспокоить:
- острый или умеренный болевой синдром при сгибании ноги;
- нарушение подвижности сустава;
- образование отечности, гематомы;
- полное обездвижение конечности, если случился полный разрыв.
Точно определить, что болят связки под коленом, поможет инструментальное диагностическое исследование, с помощью которого удастся выяснить степень разрушения и предпринять необходимые меры по устранению проблемы.
Вернуться к оглавлению
Остеопороз
Часто такое проявление может сопутствовать развитию остеопороза.
Возникает при нарушении обмена веществ в организме и характеризуется постепенным истончением костных тканей. Болезнь зачастую диагностируется у людей пожилого возраста, но может возникнуть и у молодых мужчин и женщин. Больного постоянно болит коленная чашечка, а также дискомфорт, появляющийся сзади колена при движении и в состоянии покоя.
Вернуться к оглавлению
Воспалительный артроз
Хроническое заболевание дегенеративно-воспалительной природы, при котором постепенно разрушаются мягкие суставные структуры и кости. Болезнь сопровождается выраженной болезненностью, а также опухает верхняя и нижняя часть колена, из-за чего функциональность конечности нарушается, и больной не может делать привычные манипуляции ногой. Различают 2 виды артроза:
- инфекционный;
- неинфекционный.
