Деформирующий артроз плечевого сустава: симптомы и лечение
- Деформирующий артроз плечевого сустава: симптомы и лечение
- Связанные вопросы и ответы
- Что такое деформирующий артроз плечевого сустава
- Какие симптомы могут быть связаны с деформирующим артрозом плечевого сустава
- Как диагностируется деформирующий артроз плечевого сустава
- Какие факторы риска могут привести к развитию деформирующего артроза плечевого сустава
- Как влияет деформирующий артроз плечевого сустава на качество жизни пациента
- Какие методы лечения могут быть использованы для деформирующего артроза плечевого сустава
Деформирующий артроз плечевого сустава: симптомы и лечение
Деформирующий артроз плечевого сустава развивается незаметно и в большинстве случаев дает о себе знать неожиданно. Поскольку кровеносные сосуды и нервные окончания в хрящах отсутствуют, первые симптомы возникают только тогда, когда патологический процесс вышел за пределы сустава.
Боль – это самый характерный признак артроза, причем болевые ощущения четко связаны с физическими нагрузками и метеоусловиями. При поражении плеча возникают боли давящего и ломящего характера, а также тупые и ноющие боли, которые отдают в предплечье и кисть. Боль мешает двигать плечом или рукой, поэтому амплитуда движений существенно снижается.
Симптомы артроза плечевого сустава таковы:
- болевой синдром, усиливающийся при поднятии или отведении руки назад;
- нижний край ключицы или лопатки болезненные и горячие на ощупь;
- плечо выглядит опухшим и покрасневшим;
- тугоподвижность и хруст при движениях.
Внимание: иногда трудно понять, что именно болит – локоть, кисть или вся рука. Поэтому очень важна своевременная диагностика для выяснения причин болезненности.
Плечевой артроз развивается в три стадии, при этом его признаки становятся все более интенсивными. Сначала ощущается лишь дискомфорт и небольшая болезненность после продолжительной физической нагрузки. В состоянии покоя все бесследно проходит.
На первой стадии артроза повреждения хрящевой ткани незначительны, однако на рентгене можно увидеть некоторое сужение суставной щели, очертания которой меняются с круглого на вытянутое.
Вторая стадия настойчиво заявляет о себе стойким болевым синдромом, не всегда проходящим даже в состоянии покоя. Тугоподвижность и ограниченность движений усиливается, труднее всего отвести руку назад. На этой стадии больные чаще всего обращаются за медицинской помощью, поскольку проявления артроза значительно снижают качество жизни.
Разрушение хрящевой ткани – это достаточно медленный процесс, который может развиваться в течение нескольких лет
Ситуация усугубляется тем, что из-за болезненности человек избегает лишних движений. Это ведет к ослаблению и последующей атрофии окружающих сустав мышц. Рентгенологическими признаками артроза второй стадии являются деформации сустава, костные наросты и сужение межсуставной щели.
Внимание: на второй стадии артроз гораздо лучше поддается лечению, чем на третьей, когда помочь может только операция.
При переходе в третью стадию боли становятся невыносимыми и преследуют человека постоянно. Чтобы хоть как-то облегчить состояние, приходится принимать определенную позу. Болевой синдром уже не зависит от движений, и верхняя часть руки утрачивает способность к любой активности.
Завершающим этапом плечевого артроза является сращение костей в суставе – костный анкилоз, при котором плечо перестает двигаться вовсе.
Связанные вопросы и ответы:
Вопрос 1: Что такое деформирующий артроз плечевого сустава
Деформирующий артроз плечевого сустава - это хроническое воспалительное заболевание, которое проявляется разрушением хрящевой ткани в плечевом суставе, что приводит к ограничению движений и боли. Это заболевание может быть вызвано различными факторами, такими как травма, воспаление, генетика или старческие изменения.
Вопрос 2: Как диагностируется деформирующий артроз плечевого сустава
Диагностика деформирующего артроза плечевого сустава обычно начинается с истории болезни и физического обследования. Врач может проверить степень ограничения движений и наличие боли при надавливании на сустав. Также может быть проведена рентгенография, чтобы оценить степень повреждения хрящевой ткани и наличие костных изменений. В некоторых случаях может быть проведена магнитно-резонансная томография (МРТ) для более детального изучения сустава.
Вопрос 3: Каковы основные симптомы деформирующего артроза плечевого сустава
Основными симптомами деформирующего артроза плечевого сустава являются боль и ограничение движений в плечевом суставе. Боль может быть постоянным или появляться при нагрузке на сустав. Кроме того, могут наблюдаться такие симптомы, как шум при движении сустава, ощущение сдавливания или блокировки, а также изменение формы и размеров сустава.
Вопрос 4: Каковы основные методы лечения деформирующего артроза плечевого сустава
Основными методами лечения деформирующего артроза плечевого сустава являются медикаментозные и немедикаментозные. Медикаментозные методы включают в себя применение обезболивающих и противовоспалительных препаратов, а также местное применение гели и кремов. Немедикаментозные методы включают физиотерапию, массаж, гипербарическую оксигенацию и лечебный фитнес. В некоторых случаях может быть проведена хирургическая операция, например, замена плечевого сустава.
Вопрос 5: Может ли деформирующий артроз плечевого сустава быть излечен
Деформирующий артроз плечевого сустава не может быть полностью излечен, но симптомы могут быть уменьшены с помощью лечения. Медикаментозные и немедикаментозные методы лечения могут помочь уменьшить боль и улучшить функциональные возможности. Хирургическая операция может быть проведена в случае, если другие методы лечения не приносят результатов.
Вопрос 6: Как избежать развития деформирующего артроза плечевого сустава
Что такое деформирующий артроз плечевого сустава
Деформирующий артроз плечевого сустава – это хроническая форма дегенеративного разрушения суставного хряща, при котором наблюдается стойкое нарушение функциональной работоспособности плечевого пояса и верхних конечностей. Заболевание суставов плечевой области широко распространен, поражает людей старше 45-50 лет.
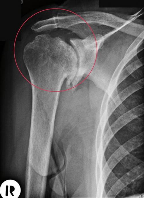
Диагноз на рентгене.
Однако наиболее сложные патологии наблюдаются у людей старшего и пожилого возраста, когда суставные хрящи со временем изнашиваются. Без своевременного лечения процесс дегенерации суставной поверхности еще более осложняется, что приводит к инвалидности.
Признаки деформирующего артроза левого или правого плечевого суставов проявляются в остром болевом дискомфорте на фоне истончения хрящевой поверхности. Основная причина образования поверхностного разрушения сустава — солевые отложения, которые со временем деформируют и разрушают костную ткань.
Головка плечевого сустава, пораженная артрозом.
В сочленяющихся суставных элементах подвижного соединения плечевой кости с лопаткой появляются грубые костные наросты, которые со временем ограничивают степень свободы движений всего плечевого механизма.
Причинно-следственные факторы проявления деформирующего артроза плечевого сочленения:
- поражение суставов инфекционным или бактериальным агентом;
- генетическая предрасположенность человека к артрологическим патологиям;
- нарушение эндокринной системы;
- результат хронического поражения костно-суставной поверхности артритом;
- мышечная слабость из-за недостаточного кровоснабжения;
- перенесенные травмы плечевого соединения;
- избыточная физическая нагрузка на плечи в течение длительного времени.
Болевая симптоматика и выбор терапии зависит от степени тяжести заболевания.
Какие симптомы могут быть связаны с деформирующим артрозом плечевого сустава
Симптомы деформирующего артроза плечевого сустава
Деформирующий артроз плечевого сустава может проявляться различными симптомами, которые могут варьироваться в зависимости от степени повреждения сустава и индивидуальных особенностей организма. К наиболее распространенным симптомам относятся:
- Боль в плече: Боль является основным симптомом деформирующего артроза плечевого сустава. Она может быть постоянной или возникать при движении плеча, особенно при поднятии руки или повороте.
- Утрата подвижности: По мере прогрессирования заболевания может наблюдаться утрата подвижности плечевого сустава, что затрудняет выполнение повседневных действий.
- Хруст и скрип: При движении плеча может слышаться хруст или скрип, что является признаком износа суставного хряща.
- Увеличение объема сустава: В некоторых случаях может наблюдаться увеличение объема сустава из-за воспаления или разрастания костной ткани.
- Скованность: Утром или после долгого отдыха может наблюдаться скованность в плечевом суставе, которая проходит после начала движения.
- Мышечная слабость: Деформирующий артроз плечевого сустава может привести к мышечной слабости в области плеча и руки.
Если вы испытываете некоторые из этих симптомов, обратитесь к врачу для получения точного диагноза и разработки плана лечения.
Артроз плечевого сустава — заболевание, которое сопровождается истончением и разрушением суставного хряща, дистрофическими изменениями в мягких тканях, костными разрастаниями. Клинически заболевание проявляется хрустом, ограничением подвижности и болями в очаге поражения. Патология имеет хроническое течение и постепенно прогрессирует.
Как определить болезнь? Диагноз «артроз плечевого сустава» (омартроз) ставят на основании данных анамнеза, клинических признаков и подтверждают результатами рентгенографии. Лечение в большинстве случаев назначают консервативное: прием НПВС, хондропротекторов, физиотерапия, ЛФК. В запущенных случаях, когда сустав разрушен, показано эндопротезирование.
Как диагностируется деформирующий артроз плечевого сустава
«Как без рук», – популярное выражение, используемое людьми, лишенными чего-то значимого, например, телефона или ежедневника. Между тем, стоит заметить, когда работа плечевого сустава нарушена, а рука постепенно теряет былую подвижность, фраза приобретает совсем другой смысл. Давайте рассмотрим симптоматику артроза плечевого сустава и попробуем разобраться какие варианты лечения существуют на сегодняшний день.
Артроз плечевого сустава – что это?
Остеоартроз плечевого сустава – это дегенеративно-дистрофическое заболевание соединительной суставной ткани, имеющее хронический характер и проявляющееся скованностью, сопровождаемой болью различной интенсивности.
Развитие артроза плечевого сустава характеризуется изменениями, происходящими в синовиальной жидкости (расположенной внутри сустава). Недостаток питательных веществ приводит к дегенеративно-дистрофическим (разрушительным) изменениям, в связи с чем хрящевая ткань теряет свои свойства и деформируется.
С течением времени, костная ткань, находящаяся под хрящом, оголяется и, подвергаясь негативному воздействию, деформируется (на ней формируются краевые разрастания – остеофиты, являющиеся причиной ограничения или полной потере подвижности сустава).
Важным фактом является то, что диагностировать остеоартроз плечевого сустава крайне необходимо именно на ранних стадиях, когда в тканях сустава еще не произошли необратимо разрушительные процессы. Своевременное обращение к специалисту и начало лечения дает возможность остановить прогресс патологических процессов, обеспечивая возможность сохранения функциональности сустава на долгие годы.
Вероятные причины артроза плечевого сустава
Среди наиболее вероятных причин появления остеоартроза плечевого сустава стоит выделить:
суставные травмы;
врожденные недостатки развития (в частности, дисплазия);
различного рода воспаления.
Плечо – это подвижный элемент скелета человеческого тела. В связи с наличием возможности особо свободного движения, риски получить травму именно этого сустава – гораздо выше. Вывихи – одна из наиболее часто встречающихся причин, являющейся предпосылкой возникновения остеоартроза плечевого сустава.
Кроме того, причинами артроза плечевого сустава могут послужить и различного рода хирургические вмешательства, повышенные нагрузки, спорт и профессиональные особенности.
Рассматривая артроз плечевого сустава, как вторичное явление, развивающееся на фоне воспаления, вызванного различного рода заболеваниями, причинами ему могут послужить:
инфекции;
метаболические/эндокринные/аутоиммунные заболевания;
наследственная предрасположенность.
Признаки и основные симптомы артроза плечевого сустава
Рассматривая клиническую картину заболевания, стоит заметить, что симптоматика первоначальных этапов развития патологических процессов – слабо выражена. Зачастую это является причиной поздней диагностики остеоартроза плечевого сустава.
К симптомам артроза плечевого сустава принято относить:
боль (при надавливании/отведении конечности);
сопровождение движений характерным хрустом;
малоподвижность;
Любой из симптомов остеоартроза плечевого сустава требует внимания специалиста.
Какие факторы риска могут привести к развитию деформирующего артроза плечевого сустава
Ранняя диагностика имеет жизненно важное значение. Хотя болезнь не вызывает летальных исходов, в результате грубой деформации резко нарушается кровоток плеча. Исход — повышенное тромбообразование в крупных сосудах, снабжающих кровью верхнюю конечность. Кроме того, при тяжелых клинических проявлениях резко страдает качество жизни больного. Поэтому диагностику необходимо проводить досконально, стараясь выявить болезнь на самых ранних стадиях.
В программу обследования входят:
- клинический минимум;
- расширенная биохимия крови;
- «ревматологическая панель»;
- рентгенография сустава в двух проекциях;
- компьютерная томография плеча;
- МРТ при наличии сомнений в диагнозе;
- артроскопия в сложных клинических случаях с проведением лечебных мероприятий.
Обычные анализы даже на поздних стадиях не обладают большой диагностической значимостью. Однако их выполнение позволяет исключить системный характер заболевания.
Деформирующий артроз плечевого сустава 1 степени на рентгенограмме практически незаметен. Иногда удается установить небольшое сужение суставной щели. Однако при более серьезном обследовании – КТ или МРТ, поражение костно-хрящевой структуры четко заметно. Видны начальные деформации суставных поверхностей, отек подлежащих мягких тканей, небольшая узурация.
Деформирующий артроз плечевого сустава 2 степени проявляется уже значительными изменениями. Их можно представить так:
- резкое сужение суставной щели;
- деструкция суставных поверхностей;
- краевые остеофиты – костные разрастания;
- дефицит хрящевой прослойки;
- грубая узурация костных структур;
- остеопорозные изменения плечевой кости.
ДОА плечевого сустава 2 степени уже необратим, поэтому нужно стремиться к установлению диагноза именно на 1 стадии.
Терминальный процесс сопровождается грубой деформацией суставных поверхностей с полным исчезновением синовиальной жидкости. Хрящевые структуры истончаются, движения в сочленении прекращаются, формируется контрактура, а затем анкилоз. В этой стадии только хирургическое лечение способно облегчить жизнь больного.
Как влияет деформирующий артроз плечевого сустава на качество жизни пациента
Многим людям среднего и старшего возраста знакома ситуация, когда при выполнении простых и привычных действий в быту вдруг возникает болевой дискомфорт в области плеча. Становится трудно разговаривать по телефону, держа долго трубку на весу, достать любимую книгу с верхней полки без посторонней помощи практически невозможно, а чтобы вбить гвоздь высоко в стене, об этом вообще не стоит думать.

При обращении к врачу-ревматологу или участковому терапевту с жалобами на боль в плечевом суставе консультирующий специалист ставит неутешительный и «страшный» диагноздеформирующий артроз плечевого сустава. Лечение такого заболеваниядлительное, требует терпения и дисциплины от пациента, так как комплексная терапия предусматривает не только медикаментозное лечение, но и при необходимости оперативное вмешательство.
Какие признаки, симптомы и степени развития деформирующего артроза существуют, как избавиться от?
Что такое деформирующий артроз, почему он возникает?
Деформирующий артроз плечевого сустава – это хроническая форма дегенеративного разрушения суставного хряща, при котором наблюдается стойкое нарушение функциональной работоспособности плечевого пояса и верхних конечностей. Заболевание суставов плечевой области широко распространен, поражает людей старше 45-50 лет.

Диагноз на рентгене.
Однако наиболее сложные патологии наблюдаются у людей старшего и пожилого возраста, когда суставные хрящи со временем изнашиваются. Без своевременного лечения процесс дегенерации суставной поверхности еще более осложняется, что приводит к инвалидности.
Признаки деформирующего артроза левого или правого плечевого суставов проявляются в остром болевом дискомфорте на фоне истончения хрящевой поверхности. Основная причина образования поверхностного разрушения сустава, которые со временем деформируют и разрушают костную ткань.

Головка плечевого сустава, пораженная артрозом.
В сочленяющихся суставных элементах подвижного соединения плечевой кости с лопаткой появляются грубые костные наросты, которые со временем ограничивают степень свободы движений всего плечевого механизма.
Причинно-следственные факторы проявления деформирующего артроза плечевого сочленения:
- поражение суставов инфекционным или бактериальным агентом;
- генетическая предрасположенность человека к артрологическим патологиям;
- нарушение эндокринной системы;
- результат хронического поражения костно-суставной поверхности артритом ;
- мышечная слабость из-за недостаточного кровоснабжения;
- перенесенные травмы плечевого соединения;
- избыточная физическая нагрузка на плечи в течение длительного времени.
Болевая симптоматика и выбор терапии зависит от степени тяжести заболевания.
Стадии развития заболевания и их симптомы
Деформирующий артроз, при котором ограничивается свобода движений, появляется не сразу и не вдруг. Дегенерацию дистрофического разрушения суставной поверхности плечевого механизма можно разложить на три стадии.
Какие методы лечения могут быть использованы для деформирующего артроза плечевого сустава
