Основные виды и причины травм голеностопного сустава и стопы
- Основные виды и причины травм голеностопного сустава и стопы
- Связанные вопросы и ответы
- Какие виды травм чаще всего встречаются в области голеностопного сустава и стопы
- Какие признаки свидетельствуют о серьезности травмы голеностопного сустава
- Каковы последствия неправильно леченых травм стопы
- Какие методы лечения применяются при различных типах травм голеностопного сустава
- Как можно предотвратить травмы области голеностопного сустава и стопы
- В чем заключается реабилитация после травм голеностопного сустава
- Какие упражнения помогут восстановить функцию стопы после травмы
- Как длительное ношение неудобной обуви влияет на состояние голеностопного сустава
- Какие профессии подвержены повышенному риску получения травм стопы и голеностопного сустава
Основные виды и причины травм голеностопного сустава и стопы
Ноги и стопы несут на себе вес человеческого тела, именно поэтому травма голеностопного сустава – частое явление. Тяжелые повреждения голеностопа нередко бывают причиной инвалидности и длительной утраты нетрудоспособности.

Травма приводит к полной неподвижности
Анатомические особенности
Сустав представляет собой подвижное соединение стопы с костями голени. Сочленение имеет блоковидную форму, образовано дистальными эпифизами берцовых костей, которые «вилкой» охватывают таранную кость.
Сустав укреплен связками и соединительнотканной капсулой. Эти образования прочно удерживают «вилку» в нужном положении.

Строение анатомического образования
В голеностопном суставе возможны следующие движения:
- разгибание и сгибание стопы;
- небольшое приведение и отведение.

Амплитуда движений
Причины травмы
В большинстве случаев повреждение сустава происходит из-за чрезмерного его скручивания.

Красота не требует таких жертв!

Опасность!
Травмирующие ситуации:
- тяжелая физическая работа;
- ходьба на высоких каблуках;
- неудачная постановка ноги во время ходьбы или бега;
- занятия спортом;
- прямой удар по лодыжке;
- передвижение по пересеченной местности;
- при неудачном приземлении.

Смотрите под ноги!

Подворачивание ноги может привести к растяжению или разрыву связок
Группа риска – молодые люди (наибольшее количество повреждений отмечается в возрасте от 15 до 25 лет).
Какие бывают травмы голеностопного сустава?
Наиболее часто встречаются:
- переломы костных элементов сустава (90%);
- повреждения связок (12%);
- подвывихи и вывихи стопы (4%).
Вид повреждения зависит от действия травмирующей силы.
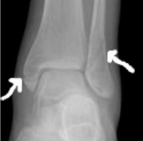
Переломы
Наиболее частая причина проблемы – травмы во время прыжков или бега. При подворачивании ноги происходит смещение и ротация таранной кости, что заканчивается переломом одной или двух лодыжек.
Нередко травма осложняется повреждением связочного аппарата. Переломы могут быть закрытыми (без повреждения мягких тканей и кожи) или открытыми.

Отрыв лодыжки

Отек
Клинические проявления повреждения лодыжек:
- выраженный отек в области голеностопного сустава, который быстро нарастает;
- сильная боль, усиливающаяся при движениях;
- деформация сустава (если травма осложняется вывихом стопы);
- крепитация отломков.
Переломы хорошо видны на рентгенограммах.

Двойная проблема
Косвенные признаки повреждения мягких тканей:
- суставная щель асимметрична;
- межберцовое расстояние увеличено;
- таранная кость смещена.
Для уточнения диагноза проводится рентгенологическое исследование в трех проекциях.
Классификация переломов в зависимости от механизма травмы:

Фиксация
Лечение включает:
- вправление смещенных отломков;
- закрепление их в правильном положении с помощью гипсовой повязки или другого приспособления;
- восстановление целостности связочного аппарата.
При смещении костных отломков для их более надежной фиксации используется остеосинтез.


Связанные вопросы и ответы:
1. Что такое вывих голеностопного сустава
Ответ: Вывих голеностопного сустава - это состояние, при котором кости в этом суставе выходят из положения из-за травмы или повреждения связок. Это сопровождается острой болью, отеком и нарушением движения в суставе. Вывих требует немедленной медицинской помощи для правильной реабилитации.
2. Какие симптомы сопровождают перелом голеностопного сустава
Ответ: При переломе голеностопного сустава возникают сильная боль, отек и синяки в области повреждения. Также возможно нарушение целостности кожи и кровотечение. Пострадавший испытывает затруднения при движении и опоре на ногу.
3. Что принято делать при подозрении на растяжение связок стопы
Ответ: При подозрении на растяжение связок стопы необходимо приложить холод на поврежденную область, создать приподнятое положение конечности и фиксировать стопу для предотвращения движения. Также важно обратиться к врачу для уточнения диагноза и проведения необходимого лечения.
4. Какие виды травм могут быть связаны с голеностопным суставом
Ответ: Голеностопный сустав подвержен различным видам травм, включая вывихи, переломы, растяжения связок и повреждения хрящей. Также возможны ушибы и ссадины в этой области. Каждый тип травмы требует своего подхода к лечению и реабилитации.
5. Какие методы диагностики применяются при подозрении на травму стопы
Ответ: При подозрении на травму стопы применяются методы диагностики, такие как рентгенография, МРТ и компьютерная томография. Эти исследования позволяют определить наличие переломов, вывихов, растяжений и других повреждений стопы. После установления диагноза назначается соответствующее лечение.
6. Каковы возможные последствия несвоевременного лечения травм голеностопного сустава
Ответ: Несвоевременное лечение травм голеностопного сустава может привести к хроническим болям, нарушению функций сустава, деформациям и ограничению движений. Также возможно развитие воспалительных процессов и других осложнений. Поэтому важно обратиться к врачу при первых признаках травмы.
7. Какие методы лечения применяются при травмах стопы и голеностопного сустава
Ответ: При травмах стопы и голеностопного сустава применяются методы консервативного лечения, такие как фиксация, реабилитационные упражнения, лекарственная терапия, физиотерапия. В некоторых случаях может потребоваться хирургическое вмешательство для восстановления поврежденного сустава. Комплексное лечение помогает быстрее восстановить функции стопы и голеностопного сустава.
Какие виды травм чаще всего встречаются в области голеностопного сустава и стопы
Туфанова Ольга Сергеевна
Статью проверил кандидат медицинских наук
Константинов Вячеслав Константинович

Травмы голеностопного сустава часто случаются именно в марте. Основная причина этих повреждений — это скользкий лед. Особую опасность представляют обледеневшие лестницы, бордюры или просто ровные дорожки, особенно если человек куда-то сильно торопится и бежит.
Механизм возникновения большинства видов травм голеностопного сустава — это нагрузка на стопу, которая находится в неестественном для нее положении. Насколько сильными будут повреждения, зависит от механизма падения, возраста, пола и скорости оказания неотложной помощи.
Основные разновидности травм голеностопного сустава и неотложная помощь
Травма голеностопного сустава может быть нескольких видов.
- Ушиб сустава.
Это наименее серьезный из видов травм голеностопного сустава. Возникает при воздействии на него внешней силы — удары, падения тяжелых предметов, грузов, придавливание. При этом отмечается отечность сустава, возможно появление гематомы и боли. В качестве первой помощи нужно зафиксировать сустав эластичным бинтом и приложить холод. Еслине пройдет в течение 1-2 часов или будет усиливаться, необходимо обратиться в травмпункт.
- Разрыв и растяжение связок.
Вообще, термина «растяжение связок» в медицине не существует. На самом деле, связка не может растягиваться, так как она не обладает эластичностью. Она может только разрываться. Другое дело, что разорваться могут не все волокна связки, а только часть их. В таком случае, будет не полный разрыв, а надрыв. Он-то и называется людьми растяжением. Поэтому к такому состоянию надо отнестись так же, как и к полному разрыву. Помощь в обоих случаях должна быть оказана немедленно. Для разрыва связок характерны интенсивная боль, которая усиливается при движениях в суставе, и появление гематомы, которая сглаживает контуры стопы и может быть весьма массивной. В первые минуты после травмы нужно приложить холод, чтобыне увеличивалось, а также зафиксировать стопу шиной или чем то из подручных средств (палки, доски, веревки, шарф, эластичный бинт). Далее необходимо обратиться в травмпункт для осмотра и оказания помощи.
- Внутрисуставной перелом.
Механизм травмы аналогичен разрыву связок. При этом может возникнуть перелом суставных концов одной из берцовых костей, или обеих сразу, что бывает крайне редко. При переломе ощущается характерная очень сильная боль и наблюдается полная невозможность движения в суставе, визуально он может быть деформирован. При открытом переломе могут быть видны отломкив ране. При закрытом — острые края костей травмируют ткани сустава и мышц, что приводит к появлению обширной гематомы. Перелом костей голеностопного сустава — повод для немедленного вызова скорой помощи.
- Вывих или подвывих.
Это повреждение сустава, связанное с нарушением его целостностью и выходом головок костей за пределы суставных впадин. При этом возникает сильная, сустав визуально деформирован, опора на ногу невозможна. Самостоятельная попытка вправить кость очень опасна, поэтому необходимо вызвать неотложку и доверить эту работу врачу-травматологу.
Травма голеностопного сустава может быть одного вида, но возможно и сочетание различных видов травм (переломовывих, вывих и разрыв связок, ушиб и надрыв связок).
Какие признаки свидетельствуют о серьезности травмы голеностопного сустава
Трехлодыжечный перелом - это перелом наружной, внутренней лодыжек и заднего края большеберцовой кости. В ряде случаев сохраняется целостность внутренней лодыжки, при этом имеется повреждение связочного аппарата с внутренней поверхности голеностопного сустава. Симптомы травмы включают: внезапная сильная боль в лодыжке, невозможность опереться на лодыжку или ходить, синяк на лодыжке или вокруг нее, отечность. Трехлодыжечный перелом - это серьезная травма, которая требует хирургического вмешательства и интенсивной физической терапии.
Вывих сустава происходит, когда кость выскальзывает из сустава. Например, верхняя часть кости входит в сустав. Поскольку вывих означает, что кость находится не там, где должна быть, это следует рассматривать как чрезвычайную ситуацию и как можно скорее записаться на прием к ортопеду. Невылеченный вывих может привести к повреждению связок, нервов или кровеносных сосудов.
Ушибы возникают при прямом ударе, в результате чего разминаются лежащие ниже мышечные волокна и соединительная ткань без повреждения кожи. Синяки могут возникнуть в результате падения или прижатия тела к твердой поверхности. Обесцвечивание кожи вызвано скоплением крови вокруг повреждения.
Растяжение мягких тканей - это нарушение целостности связки, сухожилия или мышц. Эти травмы часто возникают при занятиях спортом и физическими упражнениями, но иногда к травме может привести и простая повседневная деятельность. Растяжения мягких тканей классифицируются по степени тяжести: растяжение мягких тканей 1-й степени (легкое растяжение): незначительное растяжение и некоторое повреждение волокон; растяжение мягких тканей 2-й степени (умеренное растяжение): частичный разрыв волокон. При движении в суставе наблюдается дистабилизация.; растяжение мягких тканей 3-й степени (тяжелое растяжение): полный разрыв тканей, что может привести к значительной нестабильности сустава.
Тендинит - это воспаление или раздражение сухожилия или оболочки сухожилия. Он вызывается серией небольших растяжений, которые неоднократно усугубляют состояние сухожилия.
Бурсит - это воспаление бурсы. Повторяющиеся незначительные нагрузки и чрезмерное использование могут привести к опуханию бурсы. Бурсы - это небольшие желеобразные мешочки, которые содержат небольшое количество жидкости и расположены между костями и мягкими тканями, действуя как подушки, помогающие уменьшить трение. У многих пациентов бурсит возникает из-за тендинита.
Трехлодыжечный перелом - это перелом наружной, внутренней лодыжки и заднего края большеберцовой кости. В ряде случаев сохраняется целостность внутренней лодыжки, при этом имеется повреждение связочного аппарата с внутренней поверхности голеностопного сустава.
Симптомы травмы
- Внезапная сильная боль в лодыжке
- Невозможность опереться на лодыжку или ходить
- Синяк на лодыжке или вокруг нее
- Отечность
Трехлодыжечный перелом - это серьезная травма, которая требует хирургического вмешательства и интенсивной физической терапии.
Вывих сустава
Вывих сустава происходит, когда кость выскальзывает из сустава. Например, верхняя часть кости входит в сустав.
Поскольку вывих означает, что кость находится не там, где должна быть, это следует рассматривать как чрезвычайную ситуацию и как можно скорее записаться на прием к ортопеду.
Невылеченный вывих может привести к повреждению связок, нервов или кровеносных сосудов.
Ушибы
Ушибы возникают при прямом ударе, в результате чего разминаются лежащие ниже мышечные волокна и соединительная ткань без повреждения кожи.
Синяки могут возникнуть в результате падения или прижатия тела к твердой поверхности.
Обесцвечивание кожи вызвано скоплением крови вокруг повреждения.
Растяжение мягких тканей
Растяжение мягких тканей - это нарушение целостности связки, сухожилия или мышц.
Эти травмы часто возникают при занятиях спортом и физическими упражнениями, но иногда к травме может привести и простая повседневная деятельность.
Классификация растяжений мягких тканей
- Растяжение мягких тканей 1-й степени (легкое растяжение): незначительное растяжение и некоторое повреждение волокон
- Растяжение мягких тканей 2-й степени (умеренное растяжение): частичный разрыв волокон. При движении в суставе наблюдается дистабилизация.
- Растяжение мягких тканей 3-й степени (тяжелое растяжение): полный разрыв тканей, что может привести к значительной нестабильности сустава.
Каковы последствия неправильно леченых травм стопы
Выделяют следующие виды повреждений связочного аппарата этой области:
- растяжения, когда волокна повреждаются, однако целостность их сохраняется;
- разрывы, во время которых анатомическая целостность полностью или практически полностью утрачивается, а функция полностью выпадает;
- неполный разрыв, который иногда именуется надрывом. Он относится к отдельной категории травм, практически никогда не сопровождается нарушением функции сустава.
Если травмирующая сила действует не только на связочный аппарат, но и на кости и мышечную ткань данной области, то вероятность того, что повреждение возникнет, становится минимальной. В зависимости от величины приложенной силы может произойти либо нарушение целостности тканей и костей, или возникнуть деформация.
Какая клиническая картина повреждений связок голеностопного сустава?
Все клинические проявления зависят от того, какая степень повреждения имеет место, а также от числа связок, которые подверглись травматическому воздействию.
Первая степень, которая имеет место при растяжениях, характеризуется незначительной болью при опоре на нижнюю конечность, а также при движениях в суставе. При этом функция практически не нарушается, область травмы лишь немного опухает и краснеет или синеет (если есть гематома).
Вторая степень, которая ставится при небольших надрывах нескольких связочных волокон. При этом пациент жалуется на более интенсивную боль при движениях и даже в покое, практически всегда возникает отек и внушительных размеров гематома. В суставной сумке может собираться жидкость.
При разрыве связок, который относят к третьей степени повреждений, на первый план выступают значительно выраженные болевые симптомы, из-за которых движения в суставе становятся практически невозможными. Гематома и отек при этом выражены еще больше по сравнению с предыдущей стадией. Зачастую в полости сустава скапливается много крови (возникновение гемартроза). В некоторых случаях связки даже могут отрываться вместе с участком костной ткани, что требует только оперативного вмешательства.
Какие методы лечения применяются при различных типах травм голеностопного сустава
Как говорилось выше, голеностопный сустав подвергается высоким нагрузкам с того момента, как тело человека принимает вертикальное положение. Они увеличиваются при ходьбе, беге. Усиливаются в случае:
- высокой двигательной активности;
- перегрузки нижних конечностей;
- избыточного веса (увеличение нормальной массы тела на 30% считается ожирением);
- врожденных пороков развития стопы, сустава (плоскостопие, косолапость);
- ношения неудобной тесной обуви, хождения на высоких каблуках;
- систематических переохлаждений стоп.
Перечисленные причины способствуют появлению функциональной недостаточности стопы. Она характеризуется ослаблением мышечно-связачного аппарата, нарушением кровообращения, снижением эластичности связок. Увеличивается вероятность повреждения стопы и голеностопного сустава.
Одна из распространенных травм, приводящая к растяжению связок
При нагрузке на связочный аппарат появляется возможность получить травму при подвертывании ноги вовнутрь или наружу. Тоже происходит при падении на ноги с высоты, прыжках, подскоках, при слабом от рождения связочном аппарате.
Разрывы, растяжения часто встречаются у спортсменов (хоккеистов, футболистов, конькобежцев, лыжников и т.д.) Около 20% травм связаны именно со спортом. Повреждения в голеностопном суставе сопутствуют природным и техническим катастрофам – землетрясениям, взрывам, автомобильным авариям. Их количество увеличивается зимой, в гололед.
Ослабление и растяжение связок возникает при многократно повторяемых однообразных движениях или при подъеме тяжестей. Возможности связочного аппарата выше в молодости. С возрастом они значительно снижаются.
Как можно предотвратить травмы области голеностопного сустава и стопы
Каким способом врачи будут проводить лечение – зависит от тяжести травмы и характера повреждения сустава. Ведь надрывы связок лечить гораздо легче, чем, к примеру, переломы со смещением или переломо-вывихи. С лечебной тактикой специалисты определяются лишь после обследования пациента, имея полное представление о его состоянии и тяжести травмы.
Для восстановления функций голеностопного сустава используют несколько способов:
- Консервативное лечение. Эффективно при легких травмах, которые не сопровождаются переломами, вывихами и полным разрывом связок. Функции голеностопа восстанавливают с помощью покоя, фиксации эластичным бинтом, обезболивающих и противовоспалительных препаратов, физиопроцедур и ЛФК.
- Гипсовая иммобилизация. Применяют в лечении переломов, при которых нет смещения костных отломком и нестабильности голеностопа. Гипс накладывают и при свежих разрывах и надрывах связок (не позже двух-трех месяцев после травмы). Также гипсовую иммобилизацию используют после остеосинтеза и скелетного вытяжения в качестве завершающего метода лечения.
- Закрытая репозиция с дальнейшей гипсовой иммобилизацией. Применяется при закрытых переломах со смещением. При сопутствующих подвывихах голеностопа ее не рекомендуют использовать из-за высокого риска неудовлетворительного исхода лечения.
- Открытая репозиция с фиксацией погружными конструкциями. Таким путем лечат все открытые и часть закрытых переломов. В некоторых случаях после операции сустав дополнительно фиксируют гипсом.
- Скелетное вытяжение и чрескостный компрессионный остеосинтез. Используются для лечения сложных и застарелых переломов в области голеностопного сустава. Проводится с помощью специальных аппаратов внешней фиксации.
- Хирургическое лечение. Проводится при застарелых повреждениях связок, посттравматическом остеопорозе, тяжелых переломах и переломо-вывихах. Позволяет восстановить функции голеностопа даже тогда, когда другими путями сделать это невозможно.
В чем заключается реабилитация после травм голеностопного сустава
Пациенты часто спрашивают: «Если выявлен парез стопы, что делать?» Парез стопы при грыже позвоночника вылечить с помощью консервативных методов невозможно. Только нейрохирургическое вмешательство, которое направлено на удаление грыжи и освобождение пораженного корешка от сжатия, может помочь спасти поражённый нерв или создать максимально возможные условия для восстановления его функции. Такое вмешательство под операционным микроскопом (микродискэктомию) выполняют ведущие нейрохирурги клиник-партнёров.
Рациональное время для выполнения операции ограничено. Оно не должно превышать 7-10 дней. Оперативные вмешательства, выполненные через месяц и более, не дают явного клинического улучшения. Можно ли вылечить парез стопы? Абсолютной ошибкой является назначение пациентам длительного консервативного лечения. Это категория больных, которыми должны заниматься специалисты в области нейрохирургии. Неврологи, невропатологи, вертебрологи, специалисты по нетрадиционным методам лечения Юсуповской больницы немедленно привлекают к консультации нейрохирургов. Восстановление функции стопы после операции длится 6-12 месяцев.
Вылечил ли кто парез стопы без операции? Парез стопы, причиной которого не является сдавление корешков спинномозговых нервов, можно вылечить консервативными методами. Неврологи Юсуповской больницы назначают пациентам индивидуальный курс лечения с учётом причины болезни, возраста, пола и особенностей организма. Курс состоит минимум из пяти процедур.
Как долго лечится парез стопы? Восстановление стопы происходит в течение 4-6 недель. Пациент проходит процедуры 2–3 раза в неделю. Курс лечения состоит из следующих процедур:
- резонансно-волновой дециметровой терапии;
- иглоукалывания;
- внутрисуставных уколов хондропротектора ферматрона;
- занятий на тренажёрах;
- блокады суставов и позвоночника местными анестетиками.
Физиотерапия при парезе стопы заключается в электростимуляции поражённых мышц и нервов. Лечение пареза стопы в Юсуповской больнице возвращает ступне правильное положение и подвижность, нормализует обмен веществ и кровообращение, укрепляет мышцы и связки ног. После окончания курса реабилитолог выдаёт пациенту методичку с упражнениями для самостоятельных занятий дома.
Какие упражнения помогут восстановить функцию стопы после травмы
Человеческие стопы выдерживают большие нагрузки, поддерживают равновесие всего тела и защищают организм от перегрузок и травм. Но что происходит с ногами, когда человек изо дня в день носит неудобную и тесную обувь? Оказывается, туфли на высоких каблуках, как и обувь с плоской подошвой, а также узкая обувь, мешают ногам правильно функционировать. Из-за неверно распределенной нагрузки своды стоп со временем начинают уменьшаться, а сами стопы становятся более плоскими. И если вовремя не принять меры, со временем они и вовсе деформируются, рассказал корреспонденту «МИР 24» врач-травматолог-ортопед «ОРТЕКА» Сергей Алексутов.
«Среди самых распространенных патологий — плоскостопие, hallux valgus («косточка») и пяточная шпора. Кроме того, неправильно распределенная нагрузка при ходьбе способствует искривлению позвоночника, деформации суставов ног, развитию боли в спине, варикозной болезни и даже появлению головной боли», – сказал он.
Самой вредной обувью являются туфли на высоких каблуках, угги и балетки, заявил медик.
«Не рекомендуется носить обувь на высоких каблуках, так как смещается центр тяжести. Каблуки повышают нагрузку на стопы в пять-шесть раз, увеличивается давление на пальцы, появляются боль и натоптыши, растет риск развития плоскостопия. Также страдают колени – увеличивается вероятность артроза. Такая обувь существенно нагружает позвоночник, что нередко становится причиной хронических болей в нижней части спины. Популярные угги и балетки тоже вызывают беспокойство у врачей. При ношении обуви на плоской подошве пятки теряют амортизирующую функцию во время ходьбы, удары о поверхность приходятся на своды стопы. Из-за отсутствия правильной опоры возникает перенапряжение мышц, голени и поясницы, что может привести к развитию или прогрессированию плоскостопия, артрозу суставов стопы», – заметил Алексутов.
«К опасной относится и обувь с узким носом. Излишнее давление может привести к деформациям стоп и нарушению кровообращения», — добавляет эксперт. А чтобы подобрать правильный размер обуви, ее лучше мерить вечером, когда ноги немного отекают.
«Лучше носить обувь с высотой каблука 2–4 сантиметра, широким передним отделом и возможностью регулировки с помощью шнуровки или липучек. Для поддержки стопы, профилактики и лечения плоскостопия стоит использовать ортопедические стельки, которые поддерживают стопу в анатомически правильном положении, разгружают ее и помогают избавиться от усталости и боли. Так как у всех форма стопы разная, необходимо провести сканирование и выявить патологии», — сказал ортопед.
Неправильная обувь негативно влияет не только на ноги, но и на позвоночник и даже мозг.
«При каждом шаге ударная волна идет от пяток к шейному отделу позвоночника. Ее силу легко посчитать: это 2/3 веса тела, умноженные на количество шагов в течение дня. Представьте – если стопа распределяет нагрузку неправильно, при каждом шаге мозг будет получать микросотрясение, что, конечно, может обернуться для вас головной болью», – заключил Алексутов.
Если вы уже замечаете повышенную усталость и утомляемость, отеки и боль в ногах и позвоночнике, то необходимо обратиться к врачу.
Раннее австралийские ученые советовали людям с коленным остеоартритом носить детскую поддерживающую обувь с толстой подошвой, так как она смягчает удар. Кроме того, в случае наличия заболеваний колен необходимо делать специальные упражнения и придерживаться диеты, чтобы не набрать лишний вес.
Как длительное ношение неудобной обуви влияет на состояние голеностопного сустава
Повреждения голеностопного сустава случаются и в повседневной бытовой деятельности.
Не говоря уже о занятиях спортом — пятая часть всех травм связана с голеностопом.
Учитывая тот факт, что голеностопный сустав участвует в ходьбе и беге, относиться к таким травмам следует очень серьезно.
Особенно в тех случаях, когда спортивная карьера является важной частью Вашей жизни.
Разновидности повреждений голеностопного сустава
Растянуть или порвать связки в этом суставе может абсолютно любой человек.
В обычной жизни растяжения или переломы голеностопного сустава чаще встречаются у женщин, которые ходят на высоких каблуках.
Среди спортсменов самые большие шансы получить травму голеностопа у фигуристов.
Кроме того, в группу риска относят гимнастов. А также тех, кто катается на лыжах, играет в футбол, баскетбол и гандбол.
Вследствие падения человек может повредить связки или даже суставную сумку. Может и сломать кости (таранную, большую или малоберцовую). Возможен и вывих сустава.
Симптоматика у всех этих патологий схожа, а разобраться в особенностях может только специалист. Методы лечения в каждом конкретном случае будут различны.
Ниже мы рассмотрим основные разновидности травм голеностопного сустава и методы оказания помощи при подобных патологиях.
Повреждения связок
Такие травмы могут быть различной тяжести: растяжение или надрыв единичных связок, разрыв примерно половины волокон, полный отрыв связки от места крепления.
Пострадавший всегда жалуется на сильную боль (различается только степень интенсивности ощущений). Ему тяжело опираться на ногу и передвигаться, вплоть до полной невозможности сделать пару шагов.
Возможна небольшая опухоль сустава, при этом изменяется его форма. Отек может подняться чуть выше по травмированной ноге. Если были задеты кровеносные сосуды, появляются гематомы.
Во время движения иногда тревожит похрустывание в суставе.
При сильном повреждении связок кости могут сместиться, а это чревато возникновением вывихов или подвывихов.
Переломы костей
При очень сильных травмах голеностопа в некоторых случаях повреждаются кости.
Это могут быть как трещины в костях, так и закрытые или открытые переломы, а также отрыв костных фрагментов.
Такие травмы связаны с развитием интенсивных болей, потерей опорных способностей конечности, кровоизлияниями.
Лечение такого рода повреждений преимущественно хирургическое.
Медицинская помощь при травме голеностопа
Не нужно пытаться вправить вывих голеностопа. Поврежденную ногу следует иммобилизировать, желательно с помощью шины.
Если имеется открытая рана, ее необходимо осторожно обработать перекисью водорода или хотя бы чистой водой, сверху накладывается повязка.
Если есть возможность, к зоне повреждения приложите холодный компресс. После этого обязательно обратитесь к врачу.
Травматолог осмотрит повреждение и задаст вопросы, например, в какой ситуации была получена травма.
На следующем этапе пациент будет направлен на рентгенографию . В тех редких случаях, когда рентген оказывается недостаточно информативен, для уточнения диагноза назначают МРТ , УЗИ или КТ.
В очень тяжелых ситуациях может потребоваться исследование методом артроскопии . При этом врач сможет устранить проблему непосредственно во время диагностики.
В зависимости от диагноза, будет назначено индивидуальное лечение. При надрыве связок сустав фиксируется с помощью крепкой повязки.
При гемартрозе понадобится пункция сустава с удалением крови. Вывихи следует устранять с помощью гипсовой лонгеты.
Переломы со смещением исправляют посредством хирургического вмешательства и последующего вытяжения с фиксацией спицами.
На этапе восстановления рекомендуется физиотерапия, массаж и лечебная физкультура.
Какие профессии подвержены повышенному риску получения травм стопы и голеностопного сустава
Для удобства диагностирования и выбора методов лечения травмы поделены на определенные группы. Основные критерии — степень повреждения тканей и клинические проявления. Разрыв связочного аппарата классифицируется следующим образом:
- 1 степень . Незначительный надрыв отдельных волокон или сформированных из них пучков. Поврежденный голеностопный сустав хорошо прощупывается через кожу, объем движений нарушен слабо или полностью сохранен. Пациент способен непродолжительное время опираться на стопу, не ощущая выраженной боли;
- 2 степень . Диагностируется надрыв большого количества соединительнотканных волокон. При пальпации пострадавший жалуется на болезненность, а сам сустав почти не прощупывается из-за нарастающей отечности. Симптоматика выражена значительно сильнее. Все попытки пострадавшего опереться на поврежденную ногу вызывают сильнейшую боль, сходную с возникающей при вывихах или переломах;
- 3 степень. При таком повреждении происходит полный отрыв одной, а в некоторых случаях и нескольких связок от костного основания. Ощущения после разрыва связок голеностопа напоминают признаки перелома костей. Быстро формируется обширный отек и гематома. Функциональная активность стопы снижена настолько, что упор на нее невозможен по нескольким причинам. Во-первых, это сильнейшая боль. Она настолько интенсивна, что пострадавший может потерять сознание. Во-вторых, серьезно нарушено анатомическое соотношение суставных элементов.