Перелом лучезапястного сустава руки со смещением. Перелом шейки и головки лучевой кости
- Перелом лучезапястного сустава руки со смещением. Перелом шейки и головки лучевой кости
- После перелома лучевой кости рука кривая. Виды переломов лучевой кости
- Перелом руки со смещением сколько носить гипс. Причины перелома головки лучевой кости
- Перелом лучевой кости руки со смещением лечение, срок срастания. Факторы, влияющие на продолжительность периода восстановления руки после перелома лучевой кости со смещением
- После перелома руки не сгибаются пальцы. Разработка кисти руки после перелома
- Сколько болит рука после перелома со смещением. Особенности восстановления
- Реабилитация после перелома руки в домашних условиях. ЛФК для профилактики болезни Зудека
- Перелом локтевой кости руки со смещением лечение, срок срастания. Остеосинтез при переломе локтевой кости
Перелом лучезапястного сустава руки со смещением. Перелом шейки и головки лучевой кости
Переломы чаще встречаются в быту, а также они нередко возникают во время спортивных тренировок, когда спортсмен падает на разогнутую руку. Бытовые травмы встречаются преимущественно у женщин пожилого возраста с признаками остеопороза. Нередко повреждение головки и шейки лучевой кости возникает при автодорожных катастрофах, падении с большой высоты, во время несчастных случаев на улице или на производстве. В таких случаях перелом луча сочетается с травмами головы, грудной клетки, живота и требует участия кроме травматолога докторов другой специализации.
Симптомы перелома лучевой кости:
- боль, которая усиливается при пальпации и попытке подвигать рукой;
- припухлость тканей;
- гиперемия кожи в месте повреждения;
- возможно появление хруста (крепитация) отломков кости;
- деформация лучезапястного сустава.
Подобные травмы лечат обычно с помощью консервативных мероприятий. При переломах со смещением доктор накладывает гипс на несколько недель, после чего назначает активную реабилитацию. Переломы со смещением требуют проведения закрытой или открытой репозиции — сопоставление отломков костей. Процедура проходит под местным обезболиванием и не вызывает никаких дискомфортных ощущений у пациента. После репозиции обязательно назначается контрольное рентгенологическое исследование, которое позволяет оценить состояние лучевой кости. В случае получения неудовлетворительных результатов рентгенограммы проводят фиксацию костной головки с помощью спицы.
После перелома лучевой кости рука кривая. Виды переломов лучевой кости
Врачи выделяют два основных вида:
- Коллеса . Преобладает во всех случаях. Человек при падении опирается на ладонь рефлекторно. Если возникает перелом, то осколки кости смещены к тыльной стороне.
- Смитта . Возникает в меньшей степени. Точная противоположность травме Коллеса – падение на кисть, которая вогнута внутрь. Поэтому осколок смещается к ладони.
Оба вида одинаково опасны и рискуют вызвать осложнения, если их не пролечить вовремя и правильно.
Классификация переломов
Выделяют 5 основных видов перелома луча:
Врачи выделяют два основных вида:
Открытый перелом - это когда кость ломается и извне видна. Это может привести к повреждению окружающих тканей и органов.
Закрытый перелом - это когда кость ломается, но извне это не видно. Это может привести к осложнениям, если не будет своевременно и правильно лечиться.
Классификация переломов
Выделяют 5 основных видов перелома луча:
- Перелом лучевой кости с смещением - это когда кость ломается и смещается из нормального положения.
- Перелом лучевой кости с фрактурой - это когда кость ломается и образуется фрактура (ломка) в ее структуре.
- Перелом лучевой кости с компрессией - это когда кость ломается и сжимается.
- Перелом лучевой кости с дестабилизацией - это когда кость ломается и ее положение становится неустойчивым.
- Перелом лучевой кости с комбинированным типом - это когда кость ломается и имеет комбинацию из вышеуказанных типов.
Оба вида одинаково опасны и рискуют вызвать осложнения, если их не пролечить вовремя и правильно.
- Открытый. Задета и повреждена кожа, возникает кровотечение. Существует высокий риск инфицирования, требуется срочная операция по восстановлению конечности. Дополнительно проверяют наличие у пациента прививки от столбняка, если ее нет – прививают;
- Оскольчатый. Сложный вид, который долго заживает и трудно восстанавливается. Название означает что кость раздроблена на несколько осколков – от 3 и более. Без оперативного вмешательства «собрать пазл» невозможно;
- Со смещением. Усложняет ситуацию смещение осколков внутри сломанной конечности. Они могут срастись в неверном положении и продлить период лечения. Конечность деформируется и может остаться такой навсегда без лечения. Если произошел перелом лучевой кости со смещением, реабилитация также усложняется. Пациенту приходится привыкать к новому положению и форме костей;
- Внутрисуставный. Травма задевает лучезапястный сустав, его тоже нужно восстанавливать;
- Внесуставный. Считается самым простым, не распространяется на сустав, легко корректируется, если нет осколков и смещений.
Перелом руки со смещением сколько носить гипс. Причины перелома головки лучевой кости
Наиболее частая причина перелома лучевой кости является бытовая/производственная/спортивная травма. Реже — переломы обусловлены явлением остеопороза. Уровень перелома лучевой кости определяется характером/местом травматического воздействия:
- Переломы нижней трети луча — основной причиной является падение человека с упором на ладонь/тыльную поверхность кисти, реже травма провоцируется сильным ударом на уровне дорсальной поверхности запястья.
- Переломы средней трети луча —основной причиной является удар по лучевой стороне предплечья.
- Переломы верхней трети —основной причиной является падение человека на вытянутую слегка отведенную руку.
Переломы в типичном месте без смещения/со смещением фрагментов возникают как правило, в случаях падения человека с опорой на вытянутую руку. С учетом характера смещения принято выделять несколько разновидностей повреждений – переломы Коллеса , при котором дистальный фрагмент смещается к тылу и переломы Смита , при котором дистальный фрагмент смещается к ладони (рис. ниже).

Основной причиной перелома лучевой кости в зоне диафиза является удар по лучевой стороне предплечья. Перелом лучевой кости в области головки обычно возникает в результате падения человека на вытянутую слегка отведенную руку. В 60% случаев отмечается сочетанное повреждение других анатомических структур с вывихом костей предплечья. Сочетанный перелом лучевой кости с вывихом в лучезапястном суставе локтевой кости? (повреждение Галеацци) образуются при падении человека на разогнутую пронированную кисть, сопровождающееся сопутствующим сдавлением отечными мягкими тканями вен, артерий и нервов.
Существенно повышают вероятность перелома такие факторы, как:
- остеопороз / остеомаляция — снижение плотности костной ткани/нарушения процесса окостенения костного матрикса;
- слабость мышц/связочного аппарата предплечья и кисти;
- недостаточная физическая подготовка;
- повышенная масса тела;
- заболевания локтевого/лучезапястного сустава;
- наличие в прошлом травм верхних конечностей;
- прием лекарственных препаратов, оказывающих влияние на метаболизм костной ткани: цитостатики, глюкокортикоиды, антидепрессанты, противосудорожные препараты и др.
Причины, увеличивающие вероятность падений, как основного фактора, можно разделить на внешние и внутренние:
- Внешние причины обусловлены бытовыми и ситуационными факторами: неровная/скользкая поверхность, слабое освещение и др.
- Внутренние причины вызваны непосредственно физическим состоянием человека: слабым зрением, астенией , снижением слуха, ортостатическими нарушениями, деменцией , снижением подвижности суставов, низкой физической активностью, употреблением медикаментов, влияющих на неврологический статус.
Перелом лучевой кости руки со смещением лечение, срок срастания. Факторы, влияющие на продолжительность периода восстановления руки после перелома лучевой кости со смещением
Разумеется, нормализация состояния больного во многом зависит от типа перелома со смещением поврежденного костного участка или его частей:
Закрытый перелом
Возникает в результате физического воздействия или в связи с какими-то физиологическими отклонениями, когда лучевая кость ломается, повреждается под кожей. Такой перелом является, если можно так сказать, более благоприятным, ибо не возникает контакта с внешней средой.
Открытый перелом
Один из самых сложных видов перелома, который может стать причиной развития инфекционных осложнений, так как поврежденная кость или ее фрагменты прорывают все слои кожного покрова. Образовывается открытая рана, в которую могут попасть вредные микроорганизмы.
При нестерильных условиях (если рану не обработать) создается благоприятная среда для их развития. В тяжелых случаях, если вовремя не вмешаться и не оказать соответствующую помощь, единственное решение, которое может принять травматолог – ампутация поврежденных фрагментов, дабы предотвратить дальнейшее поражение еще здоровых тканей.
Внутрисуставной
Происходит при полной изолированности от внешней среды. Кость может быть повреждена в результате какого-то воздействия (внешнее физическое — удар; при физиологической особенности, благодаря какой-то болезни, которая пагубно сказывается на костный скелет человека), при этом область поражения находится в пределах полости сустава. В поврежденную линию перелома попадает кровь, что побуждает развитие гемартроза, при котором развивается дисфункция сустава.
Также повлиять на время восстановления может:
- Общее состояние здоровья больного (имеются ли какие-то заболевания, в каком состоянии находится его иммунная система, каков его метаболизм и т.д.)
- Возраст (с возрастом процесс регенерации тканей протекает значительно медленнее)
- Было ли хирургическое вмешательство
- Имеются ли какие-либо осложнения после перенесенной травмы
- Соблюдал ли пациент все рекомендации врача пока находился на лечении и т.д.
После перелома руки не сгибаются пальцы. Разработка кисти руки после перелома
Упражнения для разработки кисти руки после перелома – это комплекс подобранных методик, включающих физические нагрузки, массажи и использование специальных предметов. Перед тем как приступить к реабилитации, пациент должен пройти курс лечения (консервативного или оперативного). На поврежденный участок накладывается фиксирующая гипсовая повязка, при необходимости выполняется репозиция костных отломков.
Сама кисть обладает достаточно сложной анатомической конструкцией и включает в себя 27 различных отделов. Наиболее часто травмируется ладьевидный и полулунный участок. Повреждения возникают в результате падений, ударов или влияния тяжелых предметов на конечность.
В результате полного обездвиживания кости во время лечения, возникает частичная атрофия, а значит, следует восстановить мышечный тонус. Далее приведен подробный инструктаж о том, как разрабатывать кисть после перелома.
Реабилитация
Восстановление после перелома кисти руки улучшает кровоток в данной области, нормализует состояние связок, сухожилий и нейронных связей. Сам процесс реабилитации достаточно длительный и требует всех предписаний врача, а также беспрерывного соблюдения выбранной специалистом программы. В конечном итоге, пациент должен добиться полного устранения отечности, воспаления и восстановления было функционала руки.
Даже во время того, как на руке находится гипс, старайтесь двигать пальцами, если это позволяет повязка. Подводите большой палец к указательному и мизинцу, затем ко всем другим фалангам. Загибайте и разгибайте все возможные суставы, если они не зафиксированы и это не вызывает болевых ощущений. Разработка конечности дополняется физиотерапевтическими процедурами (особенно необходимо при переломах со смещением), поскольку без них реабилитация после перелома считается не полной. Пациенту назначается курс ультрафиолетового облучения, а также электрофорез и лазерная.
Основные методики для реабилитации: лечебная физкультура, мануальная, массажи, игловая терапия. О каждой более детальней:
- Мануальная – проработка всех суставов, точечный мышечный массаж разного типа. Данный способ оздоровления позволяет тканям насытиться кислородом, что делает их более сильными, а суставы – подвижнее.
- Игловая терапия – с помощью небольших тонких игл специалист воздействует на рефлекторные и другие области конечности. Таким образом увеличивается тонус мышечной и суставной тканей, значительно улучшаются процессы метаболизма.
- Лечебная физкультура – позволяет растянуть связки, вернуть былую амплитуды движений, повысить регенеративные способности организма. Для проведения упражнений существуют специальные тренажеры и разнообразные приспособления.
Этапы ЛФК
- Первый – средняя продолжительность 30-40 дней. Больному делают массаж с применением специальных масел и схожих разогревающих средств. Кроме того, следует выполнять вертикальные и горизонтальные движения кистью, а также обороты вокруг своей оси. Дополнительно делают разработку при помощи эспандеров различной силы сопротивления. В результате напрягается не только пальцы и кисть, но и смежные области (включая связки вокруг лучевой кости). Современная медицина также предлагает использование специальных пружинистых мячей.
- Второй – пострадавшему проводят прогревания конечности, накладывают специальные компрессы и погружают руку в целебные грязевые ванны. Допустима промывка поврежденной области при помощи раствора с морской солью и йодом.
- Третий (в домашних условиях) – человек растирает ладонью пострадавшую кисть, подымает легкие гантели (1-2 килограмма), прыгает на скакалке, растягивает резиновые жгуты, весит на турнике.
Диета
Комплексное восстановление предопределяет обогащение организма витаминами и всеми необходимыми микроэлементами. Если человек, разрабатывающий конечность не будет питаться правильно, любые упражнения будут неэффективны.
Употребляйте побольше молочных продуктов (творог, молоко, сыр), пейте соки, добавьте в рацион вареные яйца и рыбу. Обеспечьте организм кальцием, белком и витамином В (крупы, бобовые, рыбий жир).
Исключите жаренную и жирную пищу, продукты, перенасыщенные канцерогенами, газированные напитки. Принимайте кальцийсодержащие препараты, гематоген и витамины.
Профилактика
Укрепить суставы помогут регулярные физические нагрузки. Постепенно увеличивайте количество повторений и величину веса. Не перенапрягайтесь, прислушивайтесь к рекомендациям опытных специалистов в своей области. Не переохлаждайте пояс верхних конечностей, избегайте резких движений и ударов о твердую поверхность (особенно, если у вас ранее был перелом со смещением).
Сколько болит рука после перелома со смещением. Особенности восстановления
Лучевая кость верхней конечности имеет свои особенности – она тонкая и довольно хрупкая. При травмировании руки, падении во время гололеда повредить целостность лучевой кости легко. Попытка предотвратить падение и инстинктивное выставление руки вперед с упором ладони приводит к перелому, ведь запаса прочности кости не хватает. У пациентов с дефицитом кальция получаются сложные многооскольчатые переломы.
Можно только представить объемы восстановления, грядущие пациентам после перелома лучевой кости. Вернуться к обычной жизни за несколько дней не получится – внешний вид руки, да и собственные ощущения представляют печальную картину:
- кожа руки приобретает синеватый оттенок, из-за травмирования мелких кровеносных сосудов;
- из-за ограниченного притока крови к руке ощущается онемение, одеревенение при попытках сделать малейшие движения рукой;
- первые движения неуклюжие и сопровождаются болезненными ощущениями;
- заметно визуальное укорочение конечности.
Работа над поврежденной рукой происходит в домашних условиях, в поликлинике врачи рекомендуют пациентам определенные упражнения и показывают базовые движения для разработки руки. Хирург назначит массаж, делающийся исключительно специалистом клиники.
Реабилитация после перелома считается успешной, если человек смог восстановить функции конечности, имеющиеся до травмы. Это крайне важно для людей, чья профессия связана с особыми навыками и умениями (например, скрипачей).
Реабилитация после перелома руки в домашних условиях. ЛФК для профилактики болезни Зудека
Патология Зудека является посттравматическим осложнением при переломе верхней конечности. Страдают ею преимущественно женщины, если перелом руки случился во время климакса. Травматический остеопороз – второе название болезни Зудека – развивается в результате полученной травмы и основным проявлением этого заболевания является болезненный синдром. Он в некоторых случаях намного сильнее, нежели боль при полученном переломе.
При обнаружении первых признаков синдрома Зудека необходимо без промедления начинать разрабатывать руку
Патология сопровождается серьезными нарушениями в тканях и приводит в конечном итоге к остеопорозу. Особенно тяжелыми проявлениями являются те, когда костные отростки сопоставлялись несколько раз, т. е. при первично неправильно сросшемся переломе. Атрофические явления в большинстве случаев проявляются выше от места перелома, развивается посинение и отечность кожи, кожный покров истончается, а поверхность мягких тканей приобретает мраморную пятнистость.
Для разработки руки с синдромом Зудека сначала снимается боль и отечность, а потом в домашних условиях пациенты должны приложить максимум усилий, чтобы разработать руку. Не стоит выполнять упражнения только при обострении синдрома, в дальнейшем лечебная физкультура пойдет только на пользу. Лечебная физкультура при посттравматическом синдроме заключается в следующем:
- крутить в руке теннисный мяч или резиновый шар, сжимать его;
- поднимать руки, словно пожимая плечами;
- вращать кистями;
- хлопать за спиной ладонями;
- кидать об стену резиновые мячики;
- делать «барабанную дробь» пальцами по столу;
- перебирать мелкие предметы – крупы, собирать пазлы;
- работать с эспандером.
При синдроме Зудека важно помнить, что лечение таблетированными препаратами не заменяет лечебной физкультуры дома. При активизации кровообращения и подаче мышечной нагрузки на руку происходят местные процессы – они наиболее эффективны для разработки конечности и полноценной реабилитации сломанной лучевой кости
В среднем физиотерапия может занять от пяти до семи месяцев.
Перелом локтевой кости руки со смещением лечение, срок срастания. Остеосинтез при переломе локтевой кости
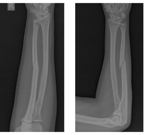
Переломы локтевой кости чаще всего происходят при прямой травме, то есть ударе в область средней её трети. Часто сопровождаются переломами лучевой кости, либо на том же уровне, либо в верхней или нижней её части. Изолированные переломы только локтевой кости могут лечиться консервативно при отсутсвии смещения или при наличии углового смещения до 15 градусов у детей не достигших скелетной зрелости (так как ось корректируется в процессе роста кости). В остальных случаях предпочтительно хирургическое лечение.
В настоящее время для остеосинтеза простых (поперечных и косых) переломов костей предплечья чаще всего используются различные модификации пластин с компрессирующими и блокируемыми отверстиями. Ниже мы рассмотрим методику выполнения остеосинтеза простого косого перелома локтевой кости при помощи пластины с угловой стабильностью 3,5 мм Synthes на 8 отверстий, кортикальных и блокируемых винтов.
Клинический пример хирургического лечения перелома локтевой кости.
Пациент П. 39 лет, получил перелом локтевой кости в результате прямой травмы (падение на бордюрный камень с упором на согнутую в локтевом суставе руку).
Обратился в РТП, была наложена гипсовая повязка, лечился консервативно.
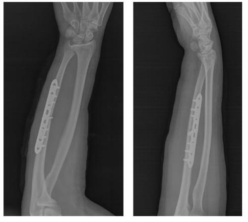
Обратился на консультацию в К+31. С целью ранней реабилитации, активизации, профилактики замедленной консолидации и формирования ложного сустава, полного восстанволения функции конечности предложено оперативное лечение – открытая репозиция, остеосинтез перелома пластиной и винтами Synthes.

Пациент госпитализирован с приёма, проведено полное предоперационное обследование, операция выполнена в день обращения.
В случае простых переломов, где линия перелома образована 2 основными крупными фрагментами (возможно наличие небольшого количества мелких фрагментов не препятсвующих стабильной фиксации) выполняется остеосинтез при помощи пластины и винтов с достижением максимальной механической стабильности в зоне перелома и компрессии между собой отломков.
Такой остеосинтез был впервые предложен и претерпел дальнейшее широкое распространение благодаря международному сообществу травматологов – ортопедов AO\ASIF.
Ход операции.
После выполнения стандартного доступа к локтевой кости, мобилизации костных отломков, осуществлена их репозиция при помощи костодержателей.

Пластина на локтевой кости может устанавливаться в трёх различных позициях, под локтевым сгибателем кисти, локтевым разгибателем кисти и между ними. Первые две позиции предпочтительнее, так как в третьем случае пластина будет пальпироваться непосредственно под кожей.

Выбор позиции зависит от морфологии перелома, то есть от того, где проходит его основная плоскость.
Метафизарная пластина Synthes позволяет создавать межфрагментарную компрессию как за счёт её предварительного сгибания так и при установке компрессирующего винта эксцентрично.

Вторым этапом устанавливается компрессирующий винт, ось проведения компрессирующего винта перпендикулярна плоскости перелома.
Компрессирующий винт создаёт дополнительную межфрагментарную компрессию. Он может быть проведён как через отверстие в пластине, так непосредственно через кость. В большинстве случаев удобнее проводить его непосредственно через кость, так легче добиться правильной оси его проведения – перпендикулярно плоскости перелома.
Окончательно остеосинтез выглядит на схеме так.

В операционной остеосинтез выглядит так.

На рентгенограммах после операции остеосинтез выглядит так.

Такой остеосинтез крайне надёжен и позволяет давать полную амплитуду движений непосредственно сразу после операции. С целью заживления послеоперационной раны и минимизации боли в раннем послеоперационном периоде (первые 2 недели после операци) рекомендуется ношение косыночной повязки и использование грелки со льдом местно по 20-30 минут до 5 раз в день.
После снятия швов можно использовать руку для бытовых нужд. Через 6 недель выполняется рентгенконтроль, при наличии признаков сращения нагрузка увеличивается до полной. Однако форсированные физические нагрузки противопоказаны до 3 месяцев после операции.
Удаление металлофиксаторов при диафизарных переломах костей предплечья не рекомендуется. В случае выраженного дискомфорта удаления не рекомендуется раньше 2 лет после операции в связи с высоким риском рефрактуры.
Источник: https://dietadlyapohudeniya.com/effektivnoe-pohudenie/lechenie-pereloma-luchevoy-kosti-i-sustavov