Лечение перелома лучевой кости и суставов.
- Лечение перелома лучевой кости и суставов.
- Можно ли шевелить пальцами при переломе руки. Как понять по симптомам перелом или сильный ушиб
- Сколько болит рука после перелома лучевой кости. Анатомия предплечья и причины переломов
- Сколько болит рука после перелома со смещением. Перелом лучезапястного сустава: какие виды бывают
- Перелом лучевой кости руки со смещением лечение, срок срастания. Виды переломов луча
- Перелом локтевой кости руки со смещением лечение, срок срастания. Переломы локтевого отростка
- Как быстрее вылечить перелом лучевой кости. Определение болезни. Причины заболевания
Лечение перелома лучевой кости и суставов.
Перелом «луча в типичном месте» обычно возникает при прямом падении на вытянутую руку. Помимо резкой боли в руке, может появиться штыкообразная деформация, изменение положения кисти. В процесс перелома бывают вовлечены нервы и сосуды запястья, которые могут быть зажаты отломками, что проявляется онемением в пальцах, похолоданием кисти.
Для уточнения характера перелома и выбора дальнейшей тактики лечения используется рентгенография, в ряде случаев – компьютерная томография. Иногда требуется УЗИ кистевого (лучезапястного) сустава.
Поскольку лучевая кость примыкает к кисти, очень важно восстановить анатомию и объем движений в суставе, чтобы в дальнейшем избежать проблем с ним. Раньше такие переломы лечили только консервативно, в гипсовой повязке, но часто отломки смещались, кость срасталась неправильно, что в дальнейшем сказывалось на функции конечности - рука не сгибалась и/или не разгибалась до конца – формировалась тугоподвижность сустава (контрактура), оставался болевой синдром. К тому же длительное пребывание в гипсе отрицательно сказывалось на кожных покровах.
Длительность больничного листа при переломе дистального метаэпифиза лучевой кости зависит от рода деятельности пациента. К примеру, для офисных работников средний срок нетрудоспособности – 1,5 месяца. Для профессий, связанных с физической нагрузкой, срок нетрудоспособности может быть больше.
Консервативное лечение перелома лучевой кости (гипсовая или пластиковая повязка)
При переломах без смещения можно применять консервативное лечение – в гипсовой повязке или использовать пластиковый гипс , который более комфортен и не боится воды. Средний срок пребывания в гипсе – около 6 недель. Однако, данный метод лечения имеет свои недостатки - после консервативного лечения сустав требует разработки движений, реабилитации. При лечении перелома даже с небольшим смещением отломков, в гипсе может произойти вторичное смещение отломков из-за особенностей анатомии лучевой кости.
Оперативное лечение перелома лучевой кости (остеосинтез)
Практически все переломы лучевой кости со смещением требуют оперативного лечения – сопоставления и фиксирования отломков кости - остеосинтеза . Именно этот метод позволяет восстановить функцию кисти наиболее полноценно и добиться хороших функциональных результатов.
Лучевая кость первично срастается примерно за 6-8 недель, однако полная перестройка кости продолжается до 2 лет после перелома. Спустя этот срок пациент может начинать полноценно пользоваться рукой. Но разрабатывать руку с помощью определенных, рекомендованных врачом, упражнений, благодаря использованию фиксаторов можно уже в первые сутки после вмешательства. Легкие спортивные физические нагрузки можно начинать примерно спустя 3 месяца после операции.
В зависимости от типа перелома (оскольчатый, многооскольчатый, со значительным или незначительным смещением) можно выделить несколько возможных вариантов фиксации – пластиной , фиксированной винтами ; аппаратом внешней фиксации; винтами или спицами .
Можно ли шевелить пальцами при переломе руки. Как понять по симптомам перелом или сильный ушиб
Переломы и ушибы имеют похожие признаки, но совершенно разный характер повреждений. Ушибы бывают разной степени тяжести: при самых лёгких травму получают только мягкие ткани, костная ткань при этом никак не затрагивается. Выделяют также промежуточную стадию между ушибом и переломом — трещину в кости.
Понять, получил человек перелом или ушиб можно по динамике болевых ощущений: если с течением времени они не проходят и усиливаются при нажатии на место травмы, это указывает на наличие сломанной кости. В случае травмы рёбер у пациента сильно затруднено дыхание, наблюдается бледность, холодный пот, кашель с кровью. Последний симптом может свидетельствовать о том, что отломки кости нанесли повреждения внутренним органам.
В случае перелома пальца его подвижность полностью ограничивается. При подобной травме ноги – колена, или пяточной кости на неё не получится встать – она будет подламываться и отзываться на нагрузку сильной болью. Если сломана рука, будет наблюдаться смещение, невозможно будет согнуть её в повреждённой области. При переломе плеча не получится свободно двигать кистью, пальцами.
Самый лёгкий способ распознать сильный ушиб, — отследить болевой синдром в течение некоторого времени. Боль может длиться от нескольких часов до нескольких дней, но она не усиливается и должна постепенно уменьшаться. Припухлости, синяки, отёки, особенно в областях костяшек при ушибе мизинца или другого пальца при накладывании холода также постепенно сходят на нет.
Признаки и симптомы перелома
Главный признак, по которому можно узнать перелом – сильный болевой синдром, нестихающий или даже усиливающийся с течением времени. А также у пациента наблюдается увеличивающийся отёк, выраженная гематома. Видимая отёчность при травмах бедра или плеча развивается в пределах 2–3 дней, так как плотность мышц в этих местах более высокая. При вколоченных закрытых переломах повреждения мягких тканей может не наблюдаться совсем.
Попытки двигаться при сломанной кости причиняют сильную боль: при травме ноги на неё не получится опереться, при повреждении руки – сжать кулак, взять в неё какой-либо предмет. При повреждении некоторых костей обломки могут задевать внутренние органы, причиняя сильную боль. Тем не менее бывают случаи, когда нарушение функции почти незаметно: при травме малоберцовой кости, плюсневых костей, а также при вколоченных переломах плеча, бёдра.
Понять, что кость сломана, проще, если есть смещение её отломков. В этом случае конечность заметно меняет форму, может выглядеть короче или длиннее здоровой. Может наблюдаться изменение оси конечности, например, при переломе бедра нога часто бывает завалена наружу, что хорошо видно по стопе. Если сломана нога, наблюдается синдром прилипшей пятки: у пациента в положении лёжа не получается самостоятельно оторвать ногу от поверхности. В момент получения травмы или при прощупывании можно почувствовать хруст отломков, если между ними нет ущемления мышц. При смещении отломков кости также присутствует патологическая подвижность, когда кости движутся вне сустава.
Открытый перелом узнать очень просто: наблюдается нарушение кожных покровов, открытая рана, в которой могут торчать обломки кости, сильное кровотечение.
Для подтверждения диагноза можно проверить симптом осевой нагрузки. Этот тест заключается в давлении на длинник кости. Для этого нужно слегка опереться на конечность или постучать по месту повреждения или надавить на травмированную область в продольном направлении. При переломе это всегда вызывает острую боль, так как в надкостнице присутствует множество болевых рецепторов, и воздействие на кость в продольном направлении раздражает этот слой. Для врачей это один из способов, как отличать ушиб от перелома.
Признаки и симптомы ушиба
Ушиб – это травмирование мягких тканей (кожи, подкожной клетчатки, мышц) без внешнего нарушения их целостности.
Его можно определить по следующим симптомам:
- припухлость, отёк, кровоподтёки, которые могут увеличиваться в течение нескольких часов без оказания медицинской помощи;
- ограничение подвижности в месте травмы из-за отёка;
- частичное нарушение функций травмированной конечности: она может тяжело сгибаться, не слушаться.
При тяжёлом ушибе мягких тканей заметная гематома иногда появляется только через 2–3 дня, подвижность повреждённых участков постепенно возвращается сама собой. Боль в ушибленном месте в момент травмы может быть достаточно сильной, но постепенно уменьшается.
Сколько болит рука после перелома лучевой кости. Анатомия предплечья и причины переломов
Предплечье состоит из двух костей – локтевой и лучевой, которые выполняют опорную функцию. От первой начинается большинство сгибателей, а от второй берут начало мышцы-экстензоры (выпрямители). После травмы часто возникает смещение отломков из-за спазма мускул, которые тянут концы в сторону под действием боли. Если вовремя не оказать помощь больному, сращение произойдет неправильно, а в конечности утратятся привычные функции. Качественная реабилитация после перелома лучевой кости со смещением может быть проведена только в специализированном центре, где состояние пациента будет контролироваться в динамике.

Если повернуть руку ладонью вверх, лучевая кость будет находиться со стороны указательного пальца. Ее переломы чаще всего возникают в нижних отделах по трем основным причинам:
- неудачное падение на руку – рефлекторно при приземлении мы опираемся на кисть, из-за чего и возникает перелом;
- остеопороз – из-за разрушения костные ткани теряют свою прочность и легко повреждаются;
- дегенеративно-дистрофические изменения – с возрастом все ткани организма изнашиваются, в том числе и кости.
Чаще всего такие травмы возникают у пожилых людей или в молодом возрасте при несчастных случаях. От этих критериев зависит, сколько длится реабилитация после перелома лучевой кости. В молодом возрасте кости срастаются быстрее, поэтому может быть достаточно 2-3 месяцев. На восстановление пациентам старше 50-60 лет может потребоваться около года.
Сколько болит рука после перелома со смещением. Перелом лучезапястного сустава: какие виды бывают
Чаще всего применяется консервативное лечение перелома. Что это значит? После тщательного осмотра, а если это потребуется, то выполнения рентгеновского снимка, травматолог оценивает тяжесть перелома. Если имеется смещение костей, то врач по возможности вручную вправляет кость на свое место. После этого пациенту накладывается жесткая гипсовая повязка на предплечье и кисть для фиксации конечности в неподвижном состоянии и правильного ее сращения.
Но бывают ситуации, когда после травмы человек не сразу обращается за медицинской помощью, или консервативное лечение не дает должного результата. Все это приводит к более тяжелым последствиям. Очень часто при таком исходе требуется хирургическое вмешательство – открытый остеосинтез – установка титановых пластин или винтов, они совместимы с тканями и не подвергаются отторжению. Это способствует лучшему сращению костей и значительно уменьшает потребности в гипсовой повязке, а также позволяет в более короткие сроки перейти к реабилитации и разработке сустава.
Скорость сращения перелома, в первую очередь, зависит от состояния здоровья пациента, но немаловажную роль играет опыт и профессиональные навыки самого врача. На протяжении некоторого времени после травмы наличие боли считается нормой. На это время пациенту назначаются анальгезирующие и противовоспалительные препараты, но если боль длится слишком долго или усиливается, то требуется обратиться к врачу.
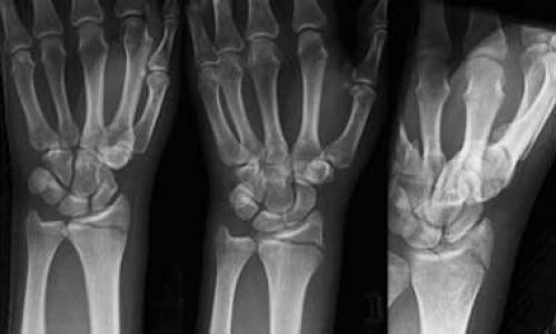
Перелом лучевой кости руки со смещением лечение, срок срастания. Виды переломов луча
Самая частая ситуация — это перелом луча в типичном месте. Это нарушение целостности дистального отдела, участвующего в формировании лучезапястного сустава. Лучевая кость не отличается прочностью, а самое слабое место — это шиловидный отросток.

Рис. 2 а,б. На рентгенограммах разные типы перелом шиловидного отростка и дистального отдела лучевой кости.
При ударах либо падениях с высоты лучевая кость повреждается в серединном отделе, либо возле локтя.
Если целостность кожных покровов не нарушена, то перелом луча называют закрытым, при открытом повреждении образуется рана. При этом виде травм могут повреждаться мышцы, сосуды и нервы, возрастает риск инфицирования.
По степени нарушения целостности различают перелом лучевой кости, надлом и трещину. При надломе область повреждения затрагивает не более 50% диаметра луча, при трещине — более половины, при переломах отмечается полное нарушение целостности луча. Надломы и трещины встречаются у детей.
У детей различают особый вид повреждений — поднадкостничные, или по типу зеленой ветки. Внутренняя часть кости при этот повреждается, но надкостница остается целой.
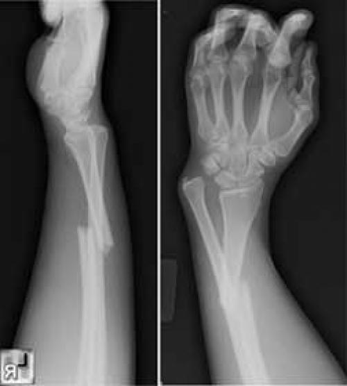
Перелом луча со смещением
Различают травмы со смещением костных отломков и без смещения. Травма со смещением осколков к ладонной стороне называется переломом Смита, а к тыльной — переломом Коллеса. При смещении необходима репозиция и стабилизация фрагментов кости, если эта процедура проведена неправильно, то функция руки не восстановится.


Рис.3 а. схематическое изображение перелома Коллеса и Смита; б. на рентгенограммах перелом диафиза лучевой и локтевой кости в с/3 со смещением.
Перелом локтевой и лучевой кости
Чаще встречается нарушение целостности обеих костей предплечья в диафизарной части, это возникает при сильном ударе. При падении бывает повреждение проксимальной части обоих костей. Такие повреждения являются нестабильными, часто сопровождаются наличием множественных отломков и нарушением их позиции. Пострадавший испытывает сильную боль, отмечается деформация конечности.
Перелом локтевой кости руки со смещением лечение, срок срастания. Переломы локтевого отростка
Анатомия перелома локтевого отростка
Перелом локтевого отростка происходит в основном при падении на локоть с высоты собственного роста. Существуют случаи, когда данному перелому характерен вариант со смещением. Чаще всего он происходит на уровне верхушки отростка, но иногда несет за собой внесуставное повреждение. Именно к этому участку крепится сухожилие трехглавой мышцы плеча (трицепса), которое “тянет” отломанные элементы проксимально (в сторону плеча), тем самым создавая диастаз промежуток между отломками, что является серьезным препятствием для сращения перелома.
Симптомы при переломе локтевого отростка
При обращении к врачу пациент жалуется на болевой синдром и нарушение функции локтевого сустава.
При осмотре и физикальном обследовании существуют следующие признаки перелома локтевого отростка:
• Деформация и отечность локтевого сустава;
• Ограничение разгибание и сгибание предплечья (при смещении разгибание ограничено, так как трехглавая мышца тянет только отломанный фрагмент);
• Гемартроз (Кровоизлияние в сустав);
• Боль при пальпации отростка;
• При переломе локтевого отростка со смещением определяется западение кожи вместо привычного костного возвышения.
Дигностика переломов локтевого отростка со смещением и без
В случае перелома локтевого отростка без смещения или с допустимым смещением, деформации локтевого сустава не определяется. Движения ограничены только болью, то есть функция руки не страдает. Поэтому нельзя с уверенностью говорить об отсутствии перелома при нормальной функции.
Для определения перелома выполняется рентгенография локтевого сустава в двух проекциях. Этого исследования достаточно в большинстве случаев. Для более детального исследования характера перелома выполняют компьютерную томографию (КТ). С её помощью можно определить насколько разрушен отросток и определиться с тактикой лечения. Выполнять ли операцию и с использованием какой металлоконструкции. Все эти ньюансы очень важны для лучшей фиксации и наилучшего исхода лечения.
Лечение перелома локтевого отростка
Консервативная терапия
Перелом локтевого отростка без смещения обычно требует консервативного лечения. Первые 6 дней после травмы отек может нарастать и сохраняться, поэтому накладывается задняя гипсовая лонгетная повязка в положении сгибания предплечья в локтевом суставе под углом 80-90 градусов (см. рисунок ниже). Повязка должна быть от верхней трети плечевой кости, до лучезапястного сустава, при этом предплечье должно быть в положении супинации (ладонью вверх). Иммобилизация руки в косыночной повязке продолжается 3 недели с момента травмы. Иммобилизацию можно продолжить в лонгете, периодически снимая её для разработки локтевого сустава. Либо заменить гипс на ортез жесткой фиксации с регулировкой амплитуды движений.
Хирургическое лечение в нашей клинике
Перелом локтевого отростка, имеющий выраженное смещение осколков, требует обязательного оперативного вмешательства хирурга-травматолога. Иначе предплечье не будет полностью разгибаться, это серьезное нарушение функции верхней конечности. Успех операции зависит от точного сопоставления костных отломков и их фиксации в правильном анатомическом положении. А в дальнейшем успех зависит от правильной разработки локтевого сустава.
Наилучшим методом лечения внутрисуставного перелома локтевого отростка, позволяющим сохранить движения в суставе – это остеосинтез (устранение смещения и фиксация отломков металлоконструкцией). Операцию выполняют сразу после поступления пациента. Это ускорит реабилитацию и позволит сохранить полный объем движений в локтевом суставе. Локтевой сустав очень капризный в плане реабилитации. Если иммобилизация продолжается 4 недели и более, то практически во всех случаях у взрослых пациентов развивается контрактура.то есть движения ограничены на всю жизнь. Если перелом локтевого отростка произошел одним фрагментом, то возможна классическая операция, одна из самых простых и надежных методик - остеосинтез локтевого отростка по Веберу. Выполняется она при помощи двух титановых спиц и титановой проволоки.
Как быстрее вылечить перелом лучевой кости. Определение болезни. Причины заболевания
Закрытый перелом — нарушение целостности кости без повреждения кожных покровов или слизистых оболочек.

Закрытый перелом — всегда результат воздействия механической силы, превышающей прочность кости.
Несмотря на очевидность причины перелома, травмирующий фактор различается для каждого организма: "порог" воздействия, вызывающий перелом, зависит от вида кости, здоровья костной ткани, вектора и области приложения травмирующей силы. Например, в случае заболеваний костной ткани для перелома достаточно незначительной силы ежедневных бытовых нагрузок: достаточно неудачно сесть на табурет, шагнуть со ступени или сделать резкое маховое движение.
Закрытый перелом — одна из основных и всегда актуальных проблем травматологии. Разнообразность повреждений костей при закрытых переломах; сопровождающие местные и общие изменения в организме; необходимость индивидуального подхода в каждом случае — всё это ставит проблему переломов на одно из первых мест в травматологии.
Закрытый перелом не расценивается как сугубо механическое нарушение целостности кости. Перелом всегда сопровождается цепью сложных патологических и приспособительных реакций — организм, как и при любой иной травме, пытается восстановиться самостоятельно. Зачастую даже в случае несвоевременной диагностики и отсутствия лечения при нетяжёлых закрытых переломах случается благоприятный клинический исход. В то же время самоизлечение может пройти неудачно — в виде неправильного сращения, ложного сустава, несращения. Это значительно ухудшит функцию повреждённого сегмента, хоть и не приведёт к её полной утрате.
Современная картина закрытых переломов отличается сложностью анатомических повреждений. Связано это с изобилием высокоэнергетических травм, характерных для технического развития наших дней. Это переломы, связанные с большими скоростями, падениями с высоты, воздействием оружия.
.