Реабилитация и упражнения после эндопротезирования суставов. Особенности поздней стадии (после 3 недель)
- Реабилитация и упражнения после эндопротезирования суставов. Особенности поздней стадии (после 3 недель)
- Упражнения после эндопротезирования коленного сустава в домашних условиях. Послеоперационные упражнения
- Реабилитация после замены коленного сустава. Замена коленного сустава, реабилитация после операции
- Упражнения для разработки коленного сустава после эндопротезирования. Эндопротезирование коленного сустава
- Упражнения после эндопротезирования тазобедренного сустава в домашних условиях. Общие рекомендации по ЛФК после эндопротезирования тазобедренного сустава
- Бубновский упражнения после замены тазобедренного сустава. Реабилитация после эндопротезирования тазобедренного сустава
- Поздняя реабилитация после эндопротезирования тазобедренного сустава. Описание реабилитации после операции по эндопротезированию тазобедренного сустава
Реабилитация и упражнения после эндопротезирования суставов. Особенности поздней стадии (после 3 недель)
Перечисленные упражнения после эндопротезирования коленного сустава дома продолжают выполняться по той же методике, что мы изложили в предыдущих параграфах. Но ими нельзя ограничиваться, когда со дня процедуры прошло уже столько времени. ЛФК после 3 недель усложняется и расширяется, так как разработать коленный сустав после операции в полной мере одними лишь занятиями пассивно-активного характера невозможно.
Боль и неприятные ощущения при правильном подходе перестают беспокоить через полмесяца после артропластики . Поэтому сейчас разумно добавить в комплекс упражнений после эндопротезирования коленного сустава ряд более сложных задач, которые не навредят искусственной конструкции, но плодотворно день за днем будут улучшать статико-динамические показатели.
Кроме того, проделывать пешие прогулки вам уже нужно чаще и продолжительнее, в среднем по 40-60 мин. 4 раза в сутки. Ступать на ногу, если реабилитация коленного сустава после операции по замене протекает отлично, можно с 50 % нагрузкой, и только по истечении 8 недель со 100 % опорой. Ближе к середине восстановительной программы выдается направление на ручной массаж конечностей и определенных отделов позвоночного столба, прописываются занятия на велотренажере умеренно-щадящего характера.
А сейчас остановимся на самом главном: как осуществляется разработка коленного сустава после эндопротезирования на отдаленных сроках, и какой комплекс упражнений ЛФК принесет наибольшую пользу.
Упражнения после эндопротезирования коленного сустава в домашних условиях. Послеоперационные упражнения
Вскоре после эндопротезирования Ваш врач, как правило, проинструктирует Вас, как выполнять простые упражнения. Это может произойти еще на этапе госпитализации после операции. Сокращение мышц в ноге может показаться вполне естественным и простым, но после замены сустава эти упражнения помогут вашему телу снова функционировать как обычно. Смысл этих упражнений заключается в увеличении кровотока к ногам, что уменьшает отеки и помогает выздоровлению.
Перечисленные ниже упражнения эффективны как для операции по замене коленного сустава, так и для операции по замене тазобедренного сустава
- Подъем голени. Лягте на пол или на ровную поверхность, положите под лодыжку свернутое полотенце. Прижмите лодыжку к полотенцу. Вы заметите, что Ваше колено выпрямится и слегка приподнимется над поверхностью, на которой вы лежите. Избегайте резких движений, старайтесь удерживать выпрямленное положение в течение пяти секунд. Расслабьте ногу. Повторите это движение 10 раз.
- Сокращение мышц колена. Лягте на спину и согните ноги в коленях под углом 10-15градусов, поставив ноги на пол. Держа ноги неподвижно, прижмите пятки к полу. Это движение заставит ваши мышцы колена сокращаться. Задержитесь на пять секунд. Расслабьтесь и повторите это движение 10 раз.
Упражнение для голеностопного сустава: Лягте на пол на спину. Согните стопу вперед и назад, затем опустите пальцы ног. Это упражнение увеличит кровоток в ноге, что уменьшит отеки и будет способствовать заживлению.
Реабилитация после замены коленного сустава. Замена коленного сустава, реабилитация после операции
Реабилитация после эндопротезирования имеет первостепенное значение для обеспечения безболезненного функционирования сустава и улучшения качества жизни пациента. Операция попоказана для лечения болезненных и инвалидизирующих патологий, вызванных различными формами, тяжелыми травмами. Хирургом-ортопедом выполняется полная или частичная замена износившегося суставного соединения на его анатомически точную копию.

Искусственный имплантат состоит из металлических и пластиковых элементов, абсолютно безопасных для организма. Чтобы заново научить прооперированную конечность двигаться правильно, расширить диапазон доступных движений, требуются массажи, посещение физиотерапевтического кабинета, выполнение.
Срок восстановления: когда можно ходить?
Этот вопрос — часто задаваемый среди посетителей специализированных форумов, посвящённых вопросам эндопротезирования. Прогресс сугубо индивидуален, полный возврат к нормальной деятельности возможен уже через 3—6 месяцев после процедуры, в течение которых вы будете заново строить собственную жизнь, учиться самым обыденным вещам.
Большинство имплантов позволяют сгибаться коленному суставу, но не более чем на 110 градусов.
Сложность процесса восстановления — в том, что больные артритом люди живут с изматывающими болями годами. За это время у них вырабатываются предпочтительные позы для, стояния, передвижения, становятся неактивными и атрофируются некоторые мышцы. Эти же привычки, называемые аномальными невралгиями, никуда не уходят и после того, как вы просыпаетесь в послеоперационной палате. Процесс избавления от них сложен, тернист; желательно проходить его под присмотром врача-реабилитолога.
При дегенеративных суставных заболеваниях пациентам полагается пособие по инвалидности. Для его оформления необходим сбор необходимых результатов обследования, подтверждающих неспособность самостоятельно передвигаться.
Причиной для получения аналогичного статуса может стать и реабилитация после эндопротезирования, если в результате операции вы не в состоянии выполнять привычную работу. Оказывается такая социальная помощь в течение 12 месяцев.
Как увеличить результативность реабилитации?
При соблюдении всех врачебных рекомендаций увеличение доступного диапазона движений, избавления от боли удаётся достичь 90% пациентов.
Рекомендации специалиста в зависимости от практикуемой им методики, перенесённого типа процедуры могут различаться. Обычно они включают следующие пункты:
- ранняя физическая активность – залог успешной реабилитации;
- уже на вторые послеоперационные сутки необходимо начинать присаживаться и вставать, используя в качестве опоры специальные поручни;
Встать с кровати и сходить в туалет в первые дни после операции — это уже можно назвать реабилитацией.
- покорятьпридется уже на пятый день. Причём первый шаг делается обязательно здоровой ногой;

А больная нога всегда находится между двух костылей.
- увеличение физической нагрузки происходит постепенно, чтобы не повредить имплантат;

Такое может случиться, если очень торопиться. Это вывих коленного импланта.
- после выписки домой можно приседать только на высокие стулья, а поднимать предметы без посторонней помощи или специальных приспособлений запрещено;

Наглядный пример запрещённых первое время положений.
- постоянный контроль веса;

Если есть лишний вес, то просто похудейте — это даст вам большую фору в процессе восстановления.
- сон на боку или спине разрешён только с использованием специального валика, помещаемого между ног;

Это требование больше подходит для тазобедренного сустава, но колено тоже стоит обезопасить таким образом.
- водить автомобиль позволяется лишь спустя 8 недель после процедуры;

Садиться и выходить из него нужно особым способом.
- вводите в свой рацион пищу, богатую железом, и пейте больше жидкости.
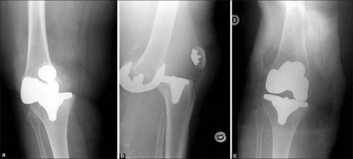
Упражнения для разработки коленного сустава после эндопротезирования. Эндопротезирование коленного сустава
Целью эндопротезирования коленного сустава является уменьшение болевого синдрома и восстановление функции сустава. Замена сустава – эффективный, а порой и единственный способ восстановления функции сустава, позволяющий значительно улучшить качество жизни человека.
Во время операции пораженные компоненты сустава заменяются на эндопротез (искусственный сустав), повторяющий форму здоровых, изготовленный из материалов, максимально схожих с натуральными тканями человека. Компоненты эндопротеза фиксируются при помощи костного цемента.
Современная конструкция эндопротеза коленного сустава состоит из бедренного и большеберцового компонентов. Технология его применения предполагает использование в качестве стабилизаторов естественные неповрежденные связки этого сустава. Таким образом, сохраняются естественные движения в суставе, и снижается риск разрушения эндопротеза. Хирург также вставляет пластиковые вкладыши, которые выполняют функцию хряща и снижают трение.
С учетом состояния костной ткани и анатомических особенностей колена эндопротез подбирается в индивидуальном порядке. Если поражена лишь одна область коленного сустава, то возможно проведение однополюсного, или частичного, эндопротезирования. При частичном эндопротезировании искусственный сустав замещает лишь поврежденный отдел коленного сустава.
Искусственный сустав практически полностью моделирует собственный. Современные протезы практически вечны. Установленные внутри тела человека они способны служить 15-20 лет, а при износе сустава, его можно снова заменить.
Упражнения после эндопротезирования тазобедренного сустава в домашних условиях. Общие рекомендации по ЛФК после эндопротезирования тазобедренного сустава
Лечебная гимнастика для протезированного бедра начинает выполняться сразу после проведенной операции. На начальном этапе любая нагрузка на суставы и упражнения после эндопротезирования проводятся под наблюдением врача.
В раннем послеоперационном периоде пациенту показана дыхательная и статическая гимнастика (напряжение мышц без сопутствующих движений), регулярные движения здоровой ногой. Пациента обучают поднимать таз, опираясь на локти и стопу оперированной конечности.
Во время гимнастики между ног помещают специальную клиновидную подушку, чтобы не допустить перекрещивания ног. Запрещено сгибать оперированную ногу в тазобедренном суставе более прямого угла. Противопоказаны наклоны бедра внутрь за границу срединной линии туловища и ротация (вращающее движение) наружу с отклонением стопы более 30 градусов. Кроме этого:
- Физические занятия и тренировки проводятся 2-3 раза в день в течение 5-10 минут с последующим получасовым перерывом. Нагрузка на оперированное бедро должна быть дозированной, количество повторений увеличивают постепенно, ориентируясь на ощущения.
- Во время упражнений необходимо ровно спокойно дышать и ни в коем случае не задерживать дыхание.
- Тренировочный комплекс выполняется в спокойном темпе, без рывков, движения должны быть плавными и осторожными.
- Упражнения с отягощением разрешено проводить только под контролем врача-реабилитолога.
- При появлении сильной болезненности занятия следует немедленно прекратить.

Бубновский упражнения после замены тазобедренного сустава. Реабилитация после эндопротезирования тазобедренного сустава
Эндопротезирование тазобедренного сустава — операция по замене поврежденной головки бедренной кости сустава на искусственный имплант.
Поражения тазобедренного сустава - очень частая проблема, особенно у людей в возрасте, начиная с 50 +
Частые причины повреждения суставов.
-травмы
-остеоартрит,
-ревматоидный артрит,
-осложнения септического артрита,
-дисплазии развития бедра,
-опухоли,
-переломы шейки бедра
-артроз, перешедший в хроническую стадию
-возрастные дегенеративные изменения
- перенесенное инфекционное заболевание
Мероприятия по работе с болезненным тазобедренным суставом могут приходить в несколько этапов:
постановка диагноза, принятие решения по дальнейшей стратегии: лечение или замена сустава
подготовка к операции по эндопротезированию в центре Бубновского
реабилитация нулевого этапа, которая начинается еще в больничной палате с инструктором ЛФК
реабилитация в центре Бубновского после операции, первый этап - без ротационных нагрузок
реабилитация после операции в центре Бубновского, второй этап - упражнения с использованием МТБ (Многофункционального Тренажера Бубновского)
реабилитация после операции в центре Бубновского третий этап - профилактика подвывихов, восстановление паттерна ходьбы
последующая самостоятельная реабилитация по плану двигательной активности от врача-кинезитерапевта.
Если есть предпосылки к проведению операции, следует обратиться в центры доктора Бубновского, чтобы решить очень важные задачи .
Врач-кинезитерапевт ознакомится с результатами ранее проведенных ортопедических обследований, проведет тесты и даст свои рекомендации: действительно ли, по его мнению, нужна операция по замене тазобедренного сустава.
Если операция нужна, то порекомендует начать подготовку к эндопротезированию по специальной программе, а затем, уже после замены сустава, пройти поэтапную реабилитацию.
Подготовка и реабилитации, это два серьезных и очень важных этапа, имеющих существенные отличительные моменты.
Поздняя реабилитация после эндопротезирования тазобедренного сустава. Описание реабилитации после операции по эндопротезированию тазобедренного сустава
Из этой статьи вы узнаете, что происходит после эндопротезирования тазобедренного сустава: реабилитация, сколько она длится, периодизация, подробное описание всех этапов. Как долго сохраняется боль в послеоперационный период. Прогноз.
Автор статьи:, врач 2 категории, заведующая лабораторией в лечебно-диагностическом центре (2015–2016 гг.).
Дата обновления статьи:
- функций конечности, сустава;
- общего физического состояния пациента;
- трудоспособности прооперированного больного.
- начинается программа в больнице, сразу после операции;
- после выписки (через 2–3 недели) ее продолжают в домашних условиях;
- завершить процесс рекомендуют в профилактории или в стационаре (по истечении 3 месяцев после протезирования).
Функциональная реабилитация – это время, отведенное пациенту на физическое восстановление после замены тазобедренного сустава. Она состоит из комплекса мероприятий, направленных на улучшение:
Реабилитация состоит из нескольких периодов, основные ее этапы длятся 3 месяца. В каждый период пациент выполняет строго определенный комплекс упражнений:
Сколько длится реабилитация? При соблюдении всех рекомендаций и правил на восстановление сустава уходит чуть меньше или чуть больше 1 года.
Комплекс составляется с учетом особенностей пациента (состояния здоровья, физических данных, возраста), общими принципами послеоперационной реабилитации являются:
- Раннее начало.
- Комплексный подход (упражнения, аппаратная физиотерапия, массаж).
- Соблюдение последовательности этапов.
- Непрерывность выполнения.
- Контроль эффективности, адекватности нагрузок.

Занятие на велотренажере
Реабилитационные мероприятия обеспечивают благоприятный исход оперативного лечения, без них замена тазобедренного сустава может осложниться:
- переломами в области протеза;
- вывихами или подвывихами бедра (смещением головки протеза относительно тазовой кости);
- нарушениями кровообращения и другими проблемами.
Послеоперационная программа составляется врачами: физиотерапевтом или реабилитологом.
Восстановление после протезирования тазобедренного сустава начинается в клинике и продолжается дома.
Фазы (этапы) реабилитации
| Фазы | Сколько длится |
|---|---|
Отдаленный период | С 15 недели до 6–12 месяцев |
Нулевая фаза (1 сутки после протезирования)
Нулевая (0) фаза восстановительного этапа начинается в первые сутки после операции по замене тазобедренного сустава, ее цели:
- возобновление кровоснабжения протезированной конечности;
- профилактика тромбообразования и тромбоза глубоких вен;
- предотвращение застойных явлений (пневмонии).
Упражнения выполняют каждый час, лежа (в первые сутки подниматься не следует), по 10 раз:
- Двигайте носок стопы по направлению к туловищу и от него.
- Вращайте носок стопы так, чтобы он «ходил» вокруг воображаемой оси налево, а затем направо.
- Напрягите мышцы передней поверхности бедер (не больше чем на 5 секунд), не сгибая ноги в коленных и тазобедренных суставах.
- Не сгибая суставы, напрягите мышцы ягодиц (не больше чем на 5 секунд).

Сгибание и вращение стопы
Первая фаза (до 4 дня после установки эндопротеза)
Полноценное восстановление после эндопротезирования тазобедренного сустава начинается со 2 по 4 день после операции. Это первая (1) восстановительная фаза, в течение которой больной учится:
- приподниматься и присаживаться;
- передвигаться с ходунками или костылями.
К движениям, которые рекомендуют выполнять сразу после установки протеза, добавляют несколько более сложных:
- Не отрывая стопу от поверхности матраса и не сгибая ногу в протезированном суставе больше чем на 90 градусов, подтягивайте пятку к тазу.
- Не отрываясь от поверхности, отведите протезированную конечность вбок (на 15–20 см).
- Приподнимите ту же ногу на 10–15 см над кроватью, удерживая принятое положение на протяжении 3–5 секунд.
- Лягте на спину, положите между бедрами сверток из одеяла. На 5 секунд напрягите мышцы, расположенные на внутренней поверхности бедра.

Отведение протезированной конечности в боковую сторону и обратно
После того, как пациенту разрешат вставать и передвигаться, комплекс дополняют.
Встаньте на здоровую ногу, поддерживайте равновесие, взявшись руками за устойчивую опору (кровать, ходунки). Упражнения делайте протезированной ногой:
- Не полностью согните коленный сустав, чтобы приподнять стопу на 10–15 см от поверхности пола и отвести ее назад.
- Отведите прямую ногу немного вбок (не более чем на 30 градусов).
- Не полностью согните коленный сустав, чтобы оторвать стопу от пола на 10–15 см и отведите ее вперед.

Отведение стопы назад и в боковую сторону с опорой на спинку стула
Гимнастика выполняется:
- неторопливо, без рывков;
- в течение каждого часа (допустимо не весь комплекс, а только часть, по 10 повторов на каждое движение);
- в сочетании с глубокими, сильными вдохами на напряжение, выдохами на расслабление мышц.






