Степени повреждения мениска. Виды внутреннего и наружного повреждение мениска коленного сустава
- Степени повреждения мениска. Виды внутреннего и наружного повреждение мениска коленного сустава
- Повреждения медиального мениска 3 степени по stoller. Дегенеративное повреждение менисков
- Повреждения заднего рога медиального мениска 2 степени по stoller лечение. Виды повреждений мениска коленного сустава: их обзор, степени, симптомы и лечение
- Stoller 2 степени повреждения мениска. Повреждение мениска 2 степени
- Повреждения медиального мениска 2 степени по stoller. Классификация
- Видео лечение разрыва мениска - в программе "600 секунд о здоровье и красоте"
Степени повреждения мениска. Виды внутреннего и наружного повреждение мениска коленного сустава
Специалисты выделяют четкую классификацию травм, связанных с данной проблемой. В первую очередь, классификация предполагает разделение повреждений по их локализации, форме и сложности. Тип проблемы напрямую влияет на выбираемые методы лечения и последующей реабилитации.
По форме повреждения можно выделить следующие типы травм:
- неполные (надрывы);
- полные (разрыв);
- горизонтальные;
- продольные;
- лоскутные;
- радиальные;
- краевые;
- раздробленные.
Если рассмотреть более подробную классификацию повреждений, то можно выделить повреждения, которые носят следующий характер:
- отрыв от соединения к связке;
- разрыв пополам;
- почти полный разрыв, соединенный несколькими коллагеновыми нитями
- повреждение переднего рога медиального мениска коленного сустава или заднего;
- киста в месте разрыва;
- комбинированная травма, которая сочетает несколько различных видов повреждения.
Также травмы разделяют на три степени тяжести по показаниям МРТ, которое проводится во время диагностики. В нормальном состоянии на снимке мениск отображается сигналом низкой интенсивности, а сигнал высокой интенсивности отражает наличие проблемы:
- Внутри хряща заметен очаговый высокоинтенсивный сигнал, не затрагивающий край хряща.
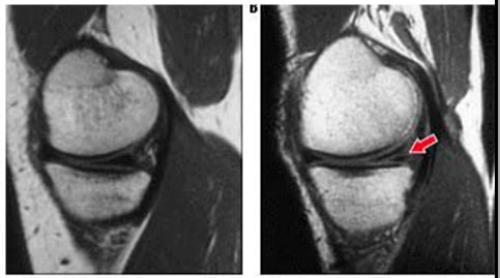
- При повреждении мениска коленного сустава 2 степени, МРТ показывает линейный сигнал высокой интенсивности, который при этом не затрагивает края хряща.
- При повреждении мениска коленного сустава 3 степени сигнал затрагивает поверхность хряща. Именно такую травму называют истинным разрывом.
Чем серьезнее проблема, тем более продолжительными будут сроки нетрудоспособности при повреждении мениска коленного сустава, а также тем более сложное и продолжительное потребуется лечение, возможно, операция.
Повреждения медиального мениска 3 степени по stoller. Дегенеративное повреждение менисков
В основе этого типа изменений медиального мениска лежат частые длительные микротравмы или различные хронические заболевания. Первый вариант обычно встречается у профессиональных спортсменов или людей тяжёлого физического труда. Постепенный дегенеративный износ хрящевых пластинок и снижение процессов их восстановления приводит к внезапному повреждению медиального мениска.
Из общих заболеваний дегенеративные изменения вызывают подагра и ревматизм. В первом случае происходит накопление в суставе солей, которые постепенно разрушают хрящ. При ревматизме же нарушается кровоснабжение в результате воспалительного процесса.
Так как мениски «питаются» из внутрисуставной жидкости, то эти процессы вызывают их «голодание». Это приводит к снижению их прочности вследствие повреждения и гибели коллагеновых волокон.
Симптомы
Характерным признаком этого вида повреждения является возраст пострадавших – не ранее 40 лет. Возникновение может быть спонтанным – даже при резком вставании со стула. В отличие от травматического повреждения проявления выражены достаточно слабо, специальные симптомы обычно не определяются.
- Боль является постоянным признаком – ноющая, не выраженная, усиливается при резких движениях.
- Возникает небольшой отёк над коленной чашечкой, который имеет свойство увеличиваться. Но это происходит медленно (в течение нескольких суток) и не сопровождается изменением цвета кожи.
- Подвижность в ноге обычно не ограничена. Характерно лишь возникновение блокад – при резком сгибании или разгибании внезапно прекращаются любые движения в суставе.
Степени дегенеративного изменения медиального мениска в этом случае сложно определить, поэтому они устанавливаются только после рентгеновского или МРТ-исследования.
Повреждения заднего рога медиального мениска 2 степени по stoller лечение. Виды повреждений мениска коленного сустава: их обзор, степени, симптомы и лечение
Из этой статьи вы узнаете про симптомы и лечение повреждений менисков коленного сустава (заднего рога, медиального, латерального). Что это такое, по каким причинам появляются эти патологии, виды и степени по Столлеру, эффективные домашние средства.
Автор статьи:, врач 2 категории, заведующая лабораторией в лечебно-диагностическом центре (2015–2016 гг.).
Дата обновления статьи:
- надрывы (частичный разрыв, нарушение целостности нескольких волокон);
- разрывы (полное повреждение, разрыв всего пучка коллагеновых волокон, составляющих мениск).
- болевые ощущения в области колена (разной силы – от острой боли при полном разрыве до вполне терпимой при небольших разрывах);
- отек (обычно над коленной чашечкой);
- ограничения движений.
Повреждения менисков – это разрыв коллагеново-эластиновых волокон, из которых они состоят.
К таким повреждениям относятся:

Травмы менисков. Нажмите на фото для увеличения
Мениски – очень прочные и чрезвычайно эластичные хрящи полулунной формы между суставами бедренной и большеберцовой костей.

Нажмите на фото для увеличения
В организме они необходимы, так как их главной функцией является амортизация – смягчение, «гашение» толчков при резких воздействиях на конечность, что позволяет предупреждать разрушение сустава.
При неловком повороте, ударе о голень и других нагрузках происходит нарушение целостности коллагеновых волокон мениска.
В результате у человека возникают:
Иногда из поврежденных при травме сосудов в суставную капсулу попадает жидкость (воспалительный экссудат, состоящий из фибриногена, белка, лейкоцитов и др.).

Строение коленного сустава. Нажмите на фото для увеличения
Травмы бывают:
- Медиального мениска, который находится с внутренней стороны сустава и менее подвижен (75 % случаев).
- Латерального мениска , который находится с внешней стороны колена и более подвижен (21 % случаев).
- Двух менисков сразу (4 % случаев).

Латеральный и медиальный мениски коленного сустава
Поскольку мениск внешне по форме напоминает месяц, принято называть:
- часть, которая отходит от места его прикрепления к суставу – рогом (у мениска их 2 – передний и задний);
- часть, в которую переходят рога – телом.

Строение мениска. Нажмите на фото для увеличения
В зависимости от локализации повреждения, выделяют:
- отрыв рога от места прикрепления. Задний рог отрывается гораздо чаще, чем передний (могут занимать 30 % и 9 % среди травм соответственно);
- другие травмы (поперечные, лоскутообразные и прочие разрывы).
Степень повреждений мениска определяют посредством МРТ.
Чтобы в заключениях не было расхождений, врачи всего мира ориентируются на диагностические признаки состояния мениска по Столлеру (Stoller, американский ортопед, разработавший систему оценки):
- 0 степень – норма.
- 1 степень – патологические изменения (трещины) в толще тканей.
- 2 степень – большее количество изменений, но хрящ сохраняет форму.
- 3 степень – целостность тканей сильно нарушена, наблюдается разрыв.

Различные степени повреждения мениска по Столлеру. Нажмите на фото для увеличения
Повреждения менисков – наиболее частая внутрисуставная. Ее диагностируют у 65–70 пациентов из 100 000 людей, то есть она может встречаться примерно у 0,07 % населения планеты.
В группу риска входят:
- профессиональные спортсмены;
- танцовщики;
- люди, испытывающие тяжелые физические нагрузки;
- мужчины страдают в 1,5 раза чаще женщин.
Средний возраст людей с повреждениями менисков – 18–40 лет.
Некоторые разрывы органа успешно лечатся консервативным путем (в 70 % случаев, если это 1 или 2 степени по Stoller).
Хорошо заживают нарушения целостности коллагеново-эластиновых волокон в красной зоне хряща, хуже – в красно-белой. Совсем не заживают в белой зоне.

Зоны мениска
Наиболее опасными являются:
- полные разрывы со смещением оторванной части;
- отрывы в местах прикрепления;
- размозжение, раздавливание хрящевой пластинки.
Эти травмы устраняются только хирургическим методом, а при отсутствии лечения могут стать причиной артроза.
Лечение застарелых травм осуществляют ортопеды, свежие – лечат травматологи, хирурги.
Причины повреждений менисков
Повреждения менисков бывают 2 видов:
- Травматическое – возникает после ушибов, ударов, резкого вращения голени (чаще бывают в возрасте от 20 до 40 лет).
Stoller 2 степени повреждения мениска. Повреждение мениска 2 степени
Повреждение мениска по Stoller
Для чего применяется классификация?
Для удобства объективной диагностики, при помощи МРТ (магнитно-резонансная томография), американский доктор медицинских наук, директор Национального центра визуализации структур опорно-двигательной системы в ортопедии Дэвид Столлер (David W. Stoller, MD), разделил изменения целостности менисков на 4 степени тяжести. Такое деление было проведено на основании объективных критериев, определяемых в ходе исследования.
Принцип МРТ для классификации по Stoller
Для диагностики малейших изменений целостности хрящевых структур коленного сустава часто применяется магнитно-резонансная томография. Суть данного метода визуализации внутренних структур колена заключается в послойном сканировании тканей в магнитном поле. Это приводит к развитию эффекта ядерного резонанса, который имеет место при возбуждении протонов ядер атомов водорода, входящих в состав практически всех органических соединений организма.
В состоянии магнитного резонанса протоны ядер атомов водорода выделяют энергию, которая регистрируется при помощи специального датчика, что дает возможность за счет цифровой обработки построить изображение.
Основной принцип классификации
Повреждение мениска по Stoller классифицируется исходя из критерия выраженности и степени тяжести разрушения хрящевой ткани. В основу разделения положено появление сигнала повышенной интенсивности во время сканирования при помощи МР-томографии, что указывает на развитие дегенеративных процессов, вызывающих повреждение мениска. По Stoller классификация подразумевает использование критерия интенсивности сигнала, а также его локализацию и распространенность.
Механизм развития патологии
В основном при помощи МРТ-диагностики повреждение внутреннего мениска по Stoller классифицируется по степени тяжести. Для стабилизации, амортизации и лучшей адаптации коленного сустава к функциональным нагрузкам в суставной щели между мыщелками бедренной кости и впадинами голени локализуются парные хрящевые образования. Выделяется латеральный (наружный) и медиальный (внутренний) мениск. Данные структуры имеют определенные особенности анатомического строения.
Медиальный хрящевой мениск при помощи связок зафиксирован более жестко, поэтому при воздействии чрезмерной механической силы (вращение бедра при зафиксированной голени, непосредственный удар в область колена или падении на него) происходит нарушение целостности. В случае развития дегенеративно-дистрофического процесса, связанного с разрушением хрящевых структур на фоне нарушения их питания, или воспаления имеет место снижение прочности. При этом нарушение целостности может быть даже без воздействия чрезмерных функциональных нагрузок на сустав.
Патологические изменения, связанные с развитием дегенеративно-дистрофических процессов в колене преимущественно развиваются у пожилых людей (гонартроз). Чаще развивается патологическое повреждение мениска коленного сустава. Stoller классификация, основанная на объективной визуализации изменений, позволяет врачу подобрать адекватное лечение.
Stoller степени повреждения мениска
Вследствие наличия определенных анатомических особенностей более часто развивается повреждение заднего рога медиального мениска. По Stoller выделяется 4 степени разрушения:
- 0 степень – в хрящевой ткани во время исследования изменения не были выявлены, что указывает на ее нормальное состояние.
- Повреждение мениска 1 степени – Stoller классификация подразумевает определение локализованного очагового сигнала повышенной интенсивности, который не достигает поверхности хряща.
- Повреждение мениска 2 степени по Stoller – включает определение линейного сигнала повышенной интенсивности, который также не достигает поверхности хрящевой структуры. Горизонтальное повреждение мениска 2 степени по Stoller указывает на частичное нарушение целостности хрящевой ткани без нарушения общей анатомической структуры (полного отрыва части хряща еще нет).
- Повреждение мениска 3 степени по Stoller – данная степень выраженности изменений характеризуется определением линейного сигнала повышенной интенсивности, который достигает поверхности хрящевой ткани. Такие изменения указывают на нарушение анатомической структуры в виде отрыва. Отдельно выделяется повреждение мениска 3а степени по Stoller, при котором происходит смещение части хрящевой структуры коленного сустава (полный отрыв со смещением).
Повреждения медиального мениска 2 степени по stoller. Классификация
Классификация столлер разделяет состояние мениска на 4 стадии. В зависимости от того какая из них выявлена, определяют наличие или отсутствие патологий мениска.
0 стадия по Stoller. При исследовании не обнаруживаются очаги патологических изменений в тканях. Состояние мениска оценивается как совершенно здоровое.
1 стадия по Stoller. При МРТ выявляется сигнал повышенной интенсивности, который имеет очаговый характер и четкую локализацию. В то же время он не доходит до поверхности хрящевой ткани. Лечение чаще всего в этом случае еще не требуется или, если все же выявлена необходимость в его проведении, осуществляется консервативными методами преимущественно профилактической направленности.
2 стадия по Stoller. Интенсивность сигнала, получаемого от тканей, повышена, но при этом характер его изменяется на линейный. Аналогично первой стадии он не доходит до верхнего слоя мениска (хряща). Если при этом выявляется горизонтальное повреждение мениска, то оно означает, что хрящевая ткань разрушена частично, а изменений в ее структуре нет. Лечение проводится обязательно. Оно бывает преимущественно консервативное. Повреждение мениска 2 степени по stoller – наиболее распространенная причина обращения за врачебной помощью.
3 стадия по Stoller. Сигнал фиксируется линейный значительно повышенной интенсивности. Он четко достигает верхнего слоя хряща. У пациента выявляется выраженное нарушение анатомических структур мениска. Это означает присутствие разрывов медиального мениска. Также при таком поражении не исключается и смещение части участков травмированного хряща. Такое состояние диагностируется как полный отрыв мениска со смещением. Лечение требуется обязательно и проводится, как правило, хирургическим способом. Повреждение мениска 3 степени по stoller наиболее тяжелое.