Видеоанатомия коленного сустава: подробное исследование
- Видеоанатомия коленного сустава: подробное исследование
- Связанные вопросы и ответы
- Как видео помогает в изучении анатомии коленного сустава
- Какие структуры коленного сустава можно подробно рассмотреть на видео
- Как видео используется в медицинском образовании для изучения коленного сустава
- Какие современные методы визуализации используются в видео анатомии коленного сустава
- Как видео помогает в диагностике травм и повреждений коленного сустава
- Можно ли использовать видео для самодиагностики проблем с коленным суставом
Видеоанатомия коленного сустава: подробное исследование
Введение
Коленный сустав является одним из самых сложных и нагруженных суставов в человеческом теле. Его правильная работа обеспечивает движение, поддержку тела и амортизацию при ходьбе, беге и прыжках. Однако травмы и заболевания коленного сустава могут привести к серьезным нарушениям в повседневной жизни. Видеоанатомия коленного сустава — это современный метод исследования, который позволяет детально изучить структуру сустава и выявить патологии на ранней стадии. В этой статье мы рассмотрим основные аспекты видеоанатомии коленного сустава, ее преимущества и применение в медицинской практике.
Анатомия коленного сустава
Перед тем как перейти к видеоанатомии, важно понять, как устроен коленный сустав. Он состоит из следующих основных элементов:
Основные элементы коленного сустава
- Бедренная кость (фемур)
- Большеберцовая кость (тибия)
- Надколенник (пателла)
- Связки
- Мениски
- Сухожилия
- Суставная сумка
Каждый из этих элементов выполняет важную функцию, и их повреждение может привести к различным патологиям.
Таблица: Основные элементы коленного сустава и их функции
| Элемент | Функция |
|---|---|
| Бедренная кость | Формирует верхнюю часть коленного сустава |
| Большеберцовая кость | Формирует нижнюю часть коленного сустава |
| Надколенник | Защищает сустав и усиливает силу мышц |
| Связки | Обеспечивают стабильность сустава |
| Мениски | Амортизируют нагрузки и снижают трение |
| Сухожилия | Соединяют мышцы с костями |
| Суставная сумка | Выстилает сустав и выделяет синовиальную жидкость |
Что такое видеоанатомия коленного сустава?
Видеоанатомия коленного сустава — это метод, который сочетает в себе элементы артроскопии и видеотехнологий. Артроскопия — это минимально инвазивная хирургическая процедура, при которой в сустав вводится специальная камера с освещением и линзой (артроскоп), которая передает изображение на монитор. Это позволяет врачу детально изучить внутренние структуры сустава.
Преимущества видеоанатомии
- Минимальное повреждение тканей
- Высокая точность диагностики
- Возможность проведения лечения во время исследования
- Короткий период восстановления
Применение видеоанатомии в диагностике и лечении
Видеоанатомия коленного сустава применяется для диагностики различных патологий, таких как:
Патологии, выявляемые с помощью видеоанатомии
- Повреждения менисков
- Разрывы связок
- Артрит
- Остеохондропатия
- Патологии надколенника
Кроме того, видеоанатомия позволяет проводить лечение под визуальным контролем, например:
Возможные методы лечения под видеоконтролем
- Удаление разорванных менисков
- Реконструкция связок
- Шлифовка суставных поверхностей
- Удаление воспаленных тканей
Современные технологии в видеоанатомии
Современные технологии значительно расширили возможности видеоанатомии. Среди них:
Новые технологии в видеоанатомии
- 3D-визуализация
- Роботизированная хирургия
- Искусственный интеллект для анализа изображений
Эти технологии позволяют еще больше повысить точность диагностики и эффективность лечения.
Связанные вопросы и ответы:
Вопрос 1: Что такое видео анатомия коленного сустава и для чего она используется
Видео анатомия коленного сустава — это визуальное представление строения и функций коленного сустава с использованием видеотехнологий. Она используется для более наглядного изучения анатомических структур, таких как кости, связки, мышцы и хрящи. Видео-материалы помогают медицинским студентам, врачам и пациентам лучше понять работу коленного сустава. Это особенно полезно для визуализации сложных движений и взаимодействия различных частей сустава. Видео-анатомия также применяется в образовательных целях, а также для подготовки к хирургическим операциям.
Вопрос 2: Какие основные структуры коленного сустава рассматриваются в видео-анатомии
В видео-анатомии коленного сустава рассматриваются основные структуры, такие как бедренная кость, большеберцовая кость и надколенник. Также показываются связки, включая переднюю и заднюю крестовидные связки, а также боковые связки. Мышцы, такие как квадрицепс и подколенные мышцы, также являются важной частью видео-материалов. Кроме того, рассматриваются хрящи, мениски и синовиальная оболочка. Все эти структуры демонстрируются в динамике, что помогает лучше понять их взаимодействие.
Вопрос 3: Какие функции выполняет коленный сустав и как это показано в видео-анатомии
Коленный сустав выполняет функции сгибания, разгибания и поддержания тела в вертикальном положении. В видео-анатомии эти функции показаны через демонстрацию движения сустава в разных плоскостях. Видео помогает визуализировать, как связки и мышцы работают вместе для обеспечения стабильности и подвижности. Также показано, как мениски амортизируют нагрузки и распределяют давление. Эти движения часто показаны в замедленном темпе, чтобы можно было детально изучить каждую фазу.
Вопрос 4: Как видео-анатомия помогает в изучении анатомии коленного сустава
Видео-анатомия делает изучение анатомии коленного сустава более интерактивным и наглядным. Она позволяет увидеть, как различные структуры взаимодействуют в динамике, что сложно представить по статичным изображениям. Видео-материалы помогают лучше запомнить расположение и функции частей сустава. Также видео-анатомия может быть использована для повторения материала, что особенно полезно для медицинских студентов. Это способствует более глубокому пониманию анатомии и ее практического применения.
Вопрос 5: В чем преимущества видео-анатомии перед традиционными методами изучения анатомии
Основное преимущество видео-анатомии заключается в возможности визуализировать движение и взаимодействие структур в реальном времени. Это делает процесс изучения более понятным и интересным. В отличие от традиционных методов, таких как изучение чертежей или текста, видео-анатомия предоставляет более полное представление о функционировании сустава. Также видео-материалы можно просматривать несколько раз, что упрощает процесс обучения. Это особенно полезно для визуалов, которые лучше усваивают информацию через изображения.
Вопрос 6: Можно ли с помощью видео-анатомии диагностировать травмы коленного сустава
Видео-анатомия может быть полезна в диагностике травм коленного сустава, так как она позволяет визуализировать повреждения связок, менисков и других структур. Однако для точной диагностики обычно требуются дополнительные методы, такие как МРТ или артроскопия. Видео-анатомия помогает врачам объяснить пациентам характер травмы и планировать лечение. Она также может быть использована для демонстрации хода операции или реабилитации. Тем не менее, видео-анатомия не заменяет профессиональную медицинскую диагностику.
Вопрос 7: Как развивается видео-анатомия коленного сустава и какие новые технологии применяются
Видео-анатомия коленного сустава развивается благодаря достижениям в области компьютерной графики и виртуальной реальности. Используются 3D-модели, которые позволяют создавать высокодетализированные визуализации. Также применяются технологии аугментированной реальности, которые накладывают анатомические структуры на реальное изображение. Это делает обучение более интерактивным и эффективным. Кроме того, разработаны интерактивные симуляторы, которые позволяют пользователям исследовать сустав в виртуальном пространстве. Эти технологии совершенствуются, что делает видео-анатомию еще более полезной.
Как видео помогает в изучении анатомии коленного сустава
Актуальность. Оценка анатомического строения коленного сустава имеет большое практическое значение, так как часто возникают трудности в решении вопроса о норме и патологии. Методы лучевой диагностики являются основными для определения патологий коленного сустава.Цель исследования. Провести сравнительный анализ современных лучевых методов при оценке анатомических структур коленного сустава.Материал и методы исследования. Проведен анализ теневых изображений коленного сустава подростка 18 лет, полученных при исследовании в Клинической больнице им. С.Р. Миротворцева СГМУ. Методы исследования: рентгенография (РГ) в прямой и боковой проекциях на рентгеновском аппарате с цифровой техникой, ультразвуковое исследование ( УЗИ ) с допплерографией, компьютерная томография (РКТ), магнитно-резонансная томография ( МРТ ).Результаты. Рентгеновский снимок показывает только костные изменения. Рентгеновские лучи поглощаются плотной костной тканью благодаря содержанию кальция. А анатомические особенности колена таковы, что чаще всего повреждения имеют как раз связочно-менисковые структуры. Компьютерная томография дает изолированное изображение поперечного слоя тканей, которое невозможно получить при обычной рентгенодиагностике. В отличие от других диагностических методов, МРТ дает возможность визуализации не только костных структур и хрящевых тканей суставов, но и окружающих мягких тканей. У ультразвукового исследования есть несколько важных особенностей: 1 – результат во многом зависит от качества аппаратуры, которая обеспечивает наибольшую четкость изображения и его детализацию; 2 – высокий профессионализм врача, который способен увидеть даже признаки только еще зарождающейся патологии.Заключение. Анализ результатов лучевых методов исследования коленного сустава, проведённых у одного и того же пациента на одном и том же суставе показал следующее: при оценке состояния анатомических структур коленного сустава методом первой очереди остается РГ, поскольку позволяет увидеть структуру костей и косвенно судить о состоянии менисков. В случаях подозрения на наличие суставной жидкости в суставе рекомендуется УЗИ . При трудностях определения патологии в суставе методами РГ и УЗИ , а также для уточнения состояния его костных структур рекомендуется КТ , а при подозрении на повреждение связочного аппарата МРТ .
Какие структуры коленного сустава можно подробно рассмотреть на видео
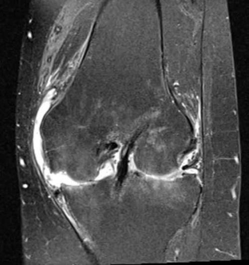
Магнитно-резонансная томография или МРТ коленного сустава – современная, безопасная, неинвазивная диагностическая процедура, позволяющая с высочайшей точностью визуализировать мягкотканные структуры (мениск, связки, сухожилия, кровеносные сосуды, мышцы) и выявить малейшие изменения в них. С несколько меньшей информативностью она помогает обнаруживать повреждения костной ткани разного типа, но правильно расшифровать, что показывает МРТ коленного сустава, может только квалифицированный врач-рентгенолог.

МРТ коленного сустава современная, безопасная, неинвазивная диагностическая процедура, позволяющая с высочайшей точностью визуализировать мягкотканные структуры (мениск, связки, сухожилия, кровеносные сосуды, мышцы) и выявить малейшие изменения в них.
Какие заболевания выявляет МРТ коленного сустава?
Метод помогает обнаружить различные заболевания коленного сустава и околосуставных тканей даже на самых ранних стадиях развития. Томография показывает малейшие отклонения от нормы и позволяет определить следующие нарушения:
- воспалительные болезни (артрит любого вида, остеомиелит, бурсит, тендинит, инсерциит, тендовагинит, эпикондилит, лигаментит и пр.);
- невоспалительные дегенеративно-дистрофические заболевания (артроз, болезнь Кенинга, Осгуда-Шлаттера, синовиальный остеохондроматоз, гидрартроз, хондропатию надколенника);
- системные заболевания и их следствия (подагру);
- анатомические аномалии;
- различные разновидности травматических повреждений (растяжения, разрывы связок и сухожилий, трещины и переломы костей, отрывы хрящевых фрагментов);
- опухоли доброкачественной или злокачественной природы, включая кисту Бейкера, синовиому, метастазы;
- защемление нервов.

Как видео используется в медицинском образовании для изучения коленного сустава
Для лучшего понимания, что и почему может болеть под коленом спереди , сзади или сбоку, нужно понимать строение самого сочленения. Как правило, самой часто появляющейся причиной проблем с болью является сам коленный сустав, который считается одним из самых сложно устроенных в организме.
Сустав необходим для осуществления функций сгибания и разгибания конечностей. Сустав управляет бедренной и большеберцовой костями, которые работают как "рычаги". Эти кости соединены коленом, которое в своей структуре имеет множество различных компонентов: сам коленный сустав, мышцы, связки и хрящевую ткань.
В обычной жизни колено испытывает огромные нагрузки, так как несет на себе вес всего тела и обеспечивают плавность передвижения. Можно сравнить суставы с амортизаторами в автомобиле: они так же принимают на себя основную часть воздействия окружения и помогают максимально снизить возможные негативные эффекты.
Коленный сустав не соединяет кости напрямую, так как их поверхность не является достаточно гладкой для нормальной работы сустава. Кости, прилегающие друг к другу, имеют специальную хрящевую ткань, которая и обеспечивают плавность хода суставных элементов. Хрящевая ткань может разрушаться под воздействием различных факторов, что само по себе провоцирует боль в колене под коленной чашечкой.
Отдельного упоминания заслуживает такой орган как синовиальная сумка, которая образует специальное вещество, необходимое для смазывания внутренней части сустава. В синовиальной сумке также часто образуются воспалительные процессы. При этом человек также ощущает, что болит нога под коленкой спереди. Воспалительные процессы в синовиальной сумке требуют особого подхода в лечении.
Какие современные методы визуализации используются в видео анатомии коленного сустава
Артроскопия коленного сустава – это минимально инвазивная хирургическая процедура, при которой врач вводит сустав через небольшие отверстия. Для проведения лечебных манипуляций врач не делает разрез в области соединения кости, а вводит инструменты через небольшие проколы (примерно 4-6 мм).
Во время операции используются артроскоп и миниатюрные хирургические инструменты. Первое устройство состоит из тонкой иглы с оптоволоконной камерой, записывающим устройством и лампочкой. Позволяет исследовать внутреннюю поверхность коленного сустава, увидеть поврежденные участки хрящей, менисков, связок. Изображение отображается на мониторе. Инструменты (зонд, бритва, троакар, кусачки, канюли, насосы и т.д.) вводятся через другой прокол для выполнения терапевтических манипуляций.
Во время операции в полость сустава вводится ирригационная жидкость, чтобы улучшить видимость и обеззаразить область.
На заметку!
Артроскопия коленного сустава позволяет точно определить место поражения, дегенеративно-дистрофические изменения даже на 1 стадии. Применяется для установления характера заболевания, его стадии. Эта методика превосходит рентгеноскопию, УЗИ, КТ, МРТ. При обнаружении патологии можно сразу провести операцию.
Существуют следующие виды малоинвазивных процедур:
- Лечебная артроскопия коленного сустава – это малоинвазивная операция, во время которой хирург удаляет фрагменты кости, хряща, окружающих мягких тканей, позволяет их сшить или провести трансплантацию мениска;
- Санитарная артроскопия позволяет промыть сустав от крови, уничтожить микробы, ослабить или устранить симптомы воспаления.
- Диагностическая артроскопия используется для выявления травм, дегенеративных изменений выстилки хряща, кости, разрыва связок, взятия образца ткани или синовиальной жидкости для биопсии;
Это минимально травматичная процедура, после которой срок пребывания в стационаре сокращается до 2 – 3 дней. Во время операции нет сильных кровотечений, низкий риск осложнений, после которых остаются незаметные швы.
Врачи отмечают, что артроскопия коленного сустава является высокоэффективным методом диагностики и лечения различных заболеваний и травм. Существует несколько видов этой процедуры, включая диагностическую артроскопию, а также операции на менисках и связках. Противопоказания к проведению операции могут включать инфекционные процессы в суставе, тяжелые сердечно-сосудистые заболевания и аллергические реакции на анестезию.
Как видео помогает в диагностике травм и повреждений коленного сустава
Виртуальная реальность (VR) – технология, которая все больше входит в нашу повседневную жизнь. Эта инновационная технология находит применение в различных областях, включая медицину. Одной из самых интересных областей применения VR технологии является создание VR анатомии моделей. В данной статье мы рассмотрим, что такое VR анатомия модель и как она помогает визуализации анатомических структур.
VR анатомия модель - это трехмерное виртуальное представление анатомических структур человеческого организма. С помощью VR-очков и специальных программ, пользователь может взаимодействовать с этой моделью, вращать и масштабировать ее, изучать внутренние органы, кости, мышцы и другие структуры.
Преимущества VR анатомии модели в сравнении с традиционными методами изучения анатомии очевидны. Например, студенты медицинских учебных заведений могут получить более глубокое понимание анатомии человека и лучше усвоить информацию. Вместо изучения анатомических атласов и рисунков, они могут вовлечься в интерактивный процесс и самостоятельно исследовать структуры организма, что помогает им запомнить информацию на более продолжительный срок.
Кроме того, VR анатомия модель может быть полезной в хирургии и процедурах планирования операций. Врачи могут использовать VR модели для изучения сложных случаев перед самой операцией. Они могут смоделировать операцию и определить наиболее оптимальный путь доступа к пораженному органу или ткани, что помогает минимизировать риски и улучшить результаты операции.
Кроме того, VR анатомия модель может быть использована в медицинском образовании и тренировке медицинского персонала. Студенты и врачи могут проводить виртуальные операции, тренироваться на трехмерных моделях, повышая свои навыки и знания. Это особенно полезно при обучении сложным хирургическим процедурам и проведении редких операций.
Технология VR анатомии модели основана на использовании данных медицинского сканирования, таких как компьютерная томография (КТ) или магнитно-резонансная томография (МРТ). С помощью специального программного обеспечения данные сканирования переводятся в трехмерную модель, которую можно исследовать в VR. Таким образом, VR анатомия модель основана на реальных анатомических данных пациента, что делает ее более точной и реалистичной.
Необходимо отметить, что VR анатомия модель имеет свои ограничения. Во-первых, создание высококачественной VR анатомии модели требует значительных ресурсов, включая мощные компьютеры и специализированное программное обеспечение. Кроме того, на данный момент VR технологии все еще находятся на начальной стадии развития, и их применение в медицине может быть ограничено некоторыми техническими и практическими проблемами.
В заключение, VR анатомия модель представляет собой инновационную технологию, которая имеет огромный потенциал в медицине. Она помогает студентам медицинских учебных заведений лучше усваивать информацию об анатомических структурах, а также помогает врачам в планировании операций и тренировке. Несмотря на ограничения, VR анатомия модель открывает новые возможности в области визуализации анатомических структур и обучения в медицине.
Виртуальная реальность не ограничена рамками физического мира, она позволяет исследовать анатомию и моделировать реалистическую среду с невероятной точностью. Илон Маск
| Орган | Описание |
|---|---|
| Мозг | Центральный орган нервной системы, ответственный за координацию движений, мышление, память и другие высшие психические функции. |
| Сердце | Мышечный орган, отвечающий за кровообращение. Состоит из четырех камер: двух предсердий и двух желудочков. Организует движение крови по организму. |
| Легкие | Органы дыхательной системы, обеспечивающие поступление кислорода в организм и удаление углекислого газа. Расположены в грудной клетке. |
Можно ли использовать видео для самодиагностики проблем с коленным суставом
Восстановление после операции или травмы коленного сустава должно проходить под наблюдением врача. Следуя рекомендациям, можно быстро привести в норму функциональность колена. Качественные и регулярные упражнения способствуют этому, и вот некоторые из них:
- Сидя на полу с вытянутыми ногами, следует напрягать и расслаблять колено, не выполняя движения ногами. Держать его в напряжении в течение 2 секунд. Повторять упражнение следует не менее 20 раз каждые 60 минут.
- В положение лежа на спине с вытянутыми ногами, колени ровные, лежат на твердой поверхности. Медленно поднимайте вытянутую ногу и также медленно опускайте. Повторять следует 10-15 раз, три раза в день.
- Лежа на спине с вытянутыми ногами поднимайте ногу вверх. Обхватите ногу за бедро двумя руками и расслабляйте мышцы, под весом ноги колено будет сгибаться. Верните ногу в исходное положение. Повторяйте 10-15 раз по три раза в день.
- Сидя на стуле или кровати, положите под колено мягкий валик так, чтобы нога свисала с кровати. Травмированную ногу выпрямите, а потом под силой ступни здоровой ноги согните колено. Если при сгибании возникает сильная боль, помочь можно здоровой ногой, придерживая ее за щиколотку ступней.
- Лежа на животе сгибайте колено, помогая ему эластичной лентой или бинтом. Подтягивать нужно до тех пор, пока не почувствуете давление в коленном суставе. Удерживать в таком положении 3-4 секунды. Повторять упражнение в течение дня несколько раз.
- Лежа на спине, выполнять упражнение велосипед с максимально возможным градусом выпрямления травмированного колена.