Горячая коленка и болит. Причины боли в колене
- Горячая коленка и болит. Причины боли в колене
- Горячая коленка и болит, что делать. Воспаления
- Если сильно болит колено и больно ходить, что делать. Боль в коленном суставе: причины, лечение, почему болят колени, что с этим делать, как и чем их лечить
- Болит колено сбоку с внутренней стороны больно разгибать после сидения. Почему болит колено с внутренней стороны
- При боли в колене, что лучше помогает. Эффективные средства от боли в коленном суставе
- Как лечить боль в колене быстро в домашних условиях. Строение коленного сустава
Горячая коленка и болит. Причины боли в колене
Болевой синдром в коленном суставе может быть вызван травмой или иметь патологическую природу. Иногда это симптом серьезного заболевания, определить которое можно по характеру ощущений и ряду дополнительных признаков.
Среди наиболее часто встречающихся причин, почему болят колени, выделяют следующие:
- Артрит коленного сустава – воспалительное заболевание. Может быть как самостоятельной патологией, так и симптомом или осложнением других болезней.
- Артроз коленного сустава – дегенеративный процесс разрушения суставных тканей, при длительном течении вызывает деформацию, лишает сустав подвижности.
- Из-за получения травмы вследствие очень сильного удара по колену, его удара о твёрдый предмет, падения. При этом сустав чрезмерно повреждается и неестественно изгибается.
- Повреждение связок – любая активность, связанная с физическими усилиями, может привести к травме колена. Часто это происходит при занятиях спортом и во время активного отдыха, при этом чувствуется немедленная резкая боль, сустав опухает. Если это произошло, необходимо исключить дальнейшие нагрузки на поврежденную ногу до тех пор, пока не будет оказана врачебная помощь, чтобы не усугубить травму.
- Повреждение мениска. Мениск представляет собой округлый хрящ в коленном суставе, который легко повредить при резком приседании или повороте. Эту причину врач диагностирует после проведенного очного обследования, УЗИ, рентгена.
- Бурсит. Многие задаются вопросом, почему болят колени при сгибании. Ответов на этот вопрос может быть много, но иногда это обычное избыточное образование жидкости в суставе, а точнее в сумке, где он находиться. Боль не имеет локального расположения и часто может отдавать на соседние области, даже на пальцы ног. Бурсит может проявляться в остром виде, но нередко она перетекает и в хронический. Бурсит острый выражается в виде резкой боли в ноге выше колена или в самом колене, покраснений кожи и существенное ограничение подвижности ноги. Скопившуюся жидкость легко можно прощупать даже сквозь кожу, отечность имеет четкий контур.
- Боли возникают при образовании кисты под коленкой (киста Беккера). Образование появляется в ямке вследствие ранее наблюдавшегося воспалительного процесса в коленном суставе. Вещества, скопившиеся во время воспаления в суставах, проникают в сухожильные области подколенной ямки и локализуются на внутренней стороне ямки.
- Тендиниты (воспаление связок и сухожилий) характеризуются отеком и неприятным ощущением в конкретной области. Оно усиливается при сгибании-разгибании коленей и сокращении мышц, связанных с затронутым воспалением сухожилием, и отдает в соседние мышцы голени и бедра.
- Ишемические боли — возникают из-за нарушения кровоснабжения в коленном суставе. Причиной может стать резкая смена погоды, долгое пребывание на холоде и чрезмерная физическая нагрузка. Как правило, боль локализована симметрично, то есть в обоих коленях, имеет одинаковую интенсивность и не влияет на подвижность суставов.
Горячая коленка и болит, что делать. Воспаления
Возникновение воспалительных процессов в колене всегда сопровождается неприятными ощущениями. Они бывают острого и хронического характера. При обострении патологии сустав болит постоянно. Воспаляться в колене может любая часть или ткань. Первичная патология часто является причиной воспаления и носит септический, обменный, инфекционный, ревматоидный характер. Появление вторичных воспалительных процессов связано с травматическими повреждениями, а также дегенеративными изменениями.
К болезням, имеющим воспалительную среду, относят :
- Различные виды артрита . Практически при любом артрите наблюдается хроническое течение недуга, которое периодически осложняется острыми рецидивами. Во время обострений жгучая боль измучивает пациента на протяжении всего дня. При этом наблюдается явный отек и покраснение. Довольно часто при артрите возникает синовит или воспаление других частей сустава. Лечение подобных болезней предусматривает применение симптоматических методов, а также базисной терапии. Для подбора базисных препаратов требуется выяснение причины, вызвавшей воспаление. Чтобы устранить скопление жидкости, которое вызывает синовит, прибегают к пункции сустава.
- Если колено горячее на ощупь и сильно опухло, можно предположить гнойное течение воспаления. При артрите септического вида наблюдается повышенная температура, а колено сильно болит. Терапия в таких случаях проводится антибактериальными препаратами.
- При воспалениях суставных сумок, таких как бурсит или синовит, наблюдается локальный отек . При этом сустав болит постоянно, независимо от времени дня и двигательной активности. Подобное воспаление устраняется путем применения противовоспалительных и сосудистых препаратов. При сильном скоплении жидкости проводится ее откачивание.

Жжение может быть признаком наличия кисты Беккера
- При появлении жжения под коленом можно предположить наличие кисты Беккера . Подобное образование локализируется сзади колена. Для заболевания характерно периодическое обострение. При этом опухоль увеличивается в размерах, появляются проблемы со сгибанием ноги. Киста может появляться не только у взрослого пациента. Часто подобные образования наблюдаются и у детей. После начала острого периода, симптоматика осложняется жжением, сильной болью. Для удаления патологической кисты требуется хирургическое вмешательство.
- Разновидностью воспалений являются тендиниты, когда процесс затрагивает сухожилия и связки . При такой патологии пациенты жалуются на усиление болезненности и жжения при сгибании колена. Боли имеют локальный характер и могут давать о себе знать как сзади, сбоку, так и внутри колена.
Любые воспалительные процессы способны переходить в хронические заболевания и осложняться дистрофическими изменениями.
Если сильно болит колено и больно ходить, что делать. Боль в коленном суставе: причины, лечение, почему болят колени, что с этим делать, как и чем их лечить
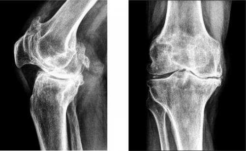
На изображении справа заметно сращение суставной щели.
Коленный сустав является одним из самых крупных и сложных. Ежедневно он подвергается огромной нагрузке, поэтому неудивительно, что периодически он перестает функционировать нормально.Если, причем боль практически постоянная, то необходимо обязательно. Такое патологическое состояние может быть сигналом о развитии одного из, деформирующего сустав. Естественно, необходимо научиться различать ситуации, когда визит к врачу очень нужен. Но отсутствиеили самостоятельная терапия может привести к осложнениям.
Строение коленного сустава
Важно знать! Врачи в шоке: "Эффективное и доступное средство от боли в суставах существует…"…
Чтобы лучше понять, почему болят колени, нужно разобраться с их анатомией. Итак, сочленение состоит из бедренной, большой берцовой кости и коленной чашечки. Две самые большие кости имеют по два выступа: внутренний и наружный мыщелки.

Все поверхности, которые соприкасаются друг с другом, покрыты гиалиновым хрящом. Благодаря ему обеспечивается подвижность коленного сустава, его амортизационные свойства. Вокруг этого соединения костей находится своеобразная капсула, изнутри выстланная синовиальным слоем. Она наполнена, благодаря которой производится питание сочленения, обеспечивается его подвижность.
Коленный сустав состоит не только из костей. Все его элементы объединяются крестообразными и коллатеральными связками, бедренными мышцами, сухожилиями. Коленная чашечка крепится к другим элементам посредством собственной связки. Для того чтобы колено двигалось, необходимо 6 синовиальных сумок. Питание и иннервация представленного сустава осуществляется посредством нервов и кровеносных сосудов, которые размещены в мягких тканях, окружающих сустав.
Боль в коленном суставе: причины появления
Если колено стало болеть, появился отек, подвижность ограничена, а дискомфорт является достаточно сильным, необходимо срочно обратиться к врачу. Если деструктивный процесс уже начался, то полностью вылечить колено будет невозможно. Однако остановить или замедлить его прогрессирование удастся.
Итак, можно выделить такие причины боли в коленном суставе:
- гонартроз . Он встречается практически в 50% всех случаев поражения сочленения. Патология развивается очень долго. Среди симптомов этой болезни можно выделить такие: колено не болит в состоянии покоя, однако человеку становится трудно, долго ходить,. Во время движения больной слышит, у него снижается подвижность. Со временем, вследствие изнашивания хряща, расстояние между костными поверхностями уменьшается. При этом появляются, нервы и сосуды сдавливаются, а само колено деформируется;

Гонартроз коленного сустава на рентгене.

Болит колено сбоку с внутренней стороны больно разгибать после сидения. Почему болит колено с внутренней стороны
Боль в колене с внутренней стороны в большинстве случаев связана с травмами медиального мениска и внутренней крестообразной связки. Такие случаи характерны для пожилых людей с сопутствующими нарушениями опорно-двигательного аппарата: для спортсменов, работников тяжелого физического труда, а также для людей, ведущих малоактивный образ жизни. В этом случае связки перестают испытывать нагрузку и слабеют.
Диагноз ставится после исследования на аппарате УЗИ или МРТ. Боль при разгибании ноги может быть временной, самостоятельно проходит через пару дней. Если болевые ощущения беспокоят больше трех дней, необходимо обследоваться и начать лечение.
Характерными чертами травмы являются такие симптомы:
- невозможность согнуть или разогнуть ногу;
- опереться на ногу больно;
- мышцы ноги не слушаются;
- боль ощущается не только внутри колена, но и во всех его точках.
Успокоить и снизить болезненность можно холодным компрессом или постановкой новокаиновой блокады.
Новообразования
Кроме травмы у человека могут появиться новообразования в области коленного сочленения. Злокачественная опухоль встречается редко. Бывает первичная — встречается в 1% случаев, и вторичная – при прорастании очагов из других органов и систем. Фактором риска является радиоактивное облучение или частые травмы.
Доброкачественная опухоль может вызывать болезненные ощущения и дискомфорт при передвижении:
- Гигрома. В начале заболевания появляется выпуклость, которая не причиняет неудобства, но позже может начать болеть, если не пролечить или не удалить новообразование.
- Параменисковая киста – капсула, заполненная жидкостью, возникающая в хряще. Появляется в большинстве случаев после травмы мениска, длительных тяжелых тренировок, в результате хронических заболеваний сустава – бурсита, тендинита, синовита.
- Киста Бейкера (Бехтерева) – плотное образование, заполненное жидкостью. Размер от 2 до 10 см. Находится в подколенной ямке сзади.
Аневризма подколенной артерии
Артерия, находящаяся сзади колена, утрачивает эластичность. Из-за этого происходит ее увеличение. Появляется в виде небольшой пульсирующей опухоли. На первой стадии себя не проявляет, но впоследствии оказывает влияние на подвижность сустава. При нагрузке болит.
Аневризма опасна своими осложнениями – разрывом, образованием тромба, заражением крови.
Варикоз
Болезнь чаще возникает у людей после 40 лет. Симптомы варикозного расширения вен:
- конечность холодеет;
- при физической нагрузке появляется резкая боль в голени и под коленом;
- чувствуется тяжесть и распирание.
Боль усиливается в состоянии покоя – ночью, вечером, после сидения.
Суставные заболевания
Многие вялотекущие заболевания сустава могут провоцировать боль с внутренней стороны колена. Особенно часто эти процессы проявляются у профессиональных спортсменов: футболистов, гимнастов, хоккеистов.
Существует три вида гонартрита. Самый распространенный – ревматоидный. Температура в суставе повышается, наблюдается отек и тугоподвижность. В зависимости от места локализации воспаления, наибольшая болезненность чувствуется сзади или по бокам сустава.
Реактивный гонартрит имеет инфекционную причину и начинается резко. Иногда симптомы появляются после пищевого отравления.
Артрозоартрит – сопровождается разрушением хрящевой ткани, костными наростами, ограничением подвижности вплоть до полного обездвиживания.
Бурсит — воспалительный процесс, происходящий в синовиальной сумке, способствует увеличению количества жидкости и нарушению ее оттока. В коленном суставе находится 6 синовиальных сумок. Если внутренняя часть колена болит и опухает, поражена глубокая или подкожная поднадколенниковая синовиальная сумка. Инфицирование через кровь или лимфатическую жидкость – основная причина заболевания. Также провоцирующим фактором являются нагрузки – спортивные или связанные с профессиональной деятельностью.
Воспаление сухожилий, которыми мышцы прикрепляются к костям, вызывает тендинит коленного сустава. Заболевание характерно для спортсменов, организм которых не успевает восстанавливаться после тяжелых нагрузок. В результате микроскопических множественных повреждений возникает воспаление. В состоянии покоя симптомы самостоятельно проходят.
Болезнь Гоффа еще называют липоартрит. Жировая ткань, которая заполняет сустав и служит амортизатором при ходьбе или беге, перерождается в результате кровоизлияния. Причиной является травма – падение на колено или резкий поворот голеностопа. Чаще всего страдают женщины после 45 лет в период менопаузы, но заболевание встречается также у детей и подростков.
Сложность лечения состоит в том, что болезнь Гоффа путают с травмами мениска и лечат неправильно.
При боли в колене, что лучше помогает. Эффективные средства от боли в коленном суставе

Боль в колене может возникать по различным причинам. Подобная проблема беспокоит людей разного возраста. Особенно часто она проявляется у спортсменов. Также боли беспокоят тех, кто не имеет к спорту абсолютно никакого отношения. Довольно часто болезненность провоцирует воспаление одной из бурс. Частыми также являются травмирования рассматриваемого соединения. Рассмотрим причины и лечение болей колена более детально.

Боль в коленном суставе зачастую провоцируют разные варианты травм. Это могут быть переломы костей, разрывы мениска, связок. Механическое воздействие провоцирует обычно нарушение целостности менисков, сухожилий, костей, связок, включенных в сочленение колена. Повреждение соединения возможно из-за ниже перечисленных провоцирующих факторов:
Травмы могут возникать на спортплощадках, дома, на работе, в тренажерных залах. Также стать причиной травмирования колена может авария, падение при ходьбе, беге, прыжках.

Одной из причин, провоцирующих боль в коленном суставе, считается менископатия. Указанная патология зачастую возникает из-за ушибов, вторичных травм, растяжений. Коленный мениск может сдавливаться, отрываться при резких движениях. Повторная менископатия грозит деформирующим артрозом.
На развитие патологии указывают нижеперечисленные признаки:
- Она направляется вдоль по щели сочленения;
- наличие гемартроза, выпота.
Главный симптом рассматриваемой патологии – щелчок сочленения колена. Его сопровождает острая боль.
Разрыв связок

Возникновение внутренней боли колена может быть результатом разрыва, растяжения связок. Они возникают из-за травм, чрезмерного скручивания. медиальная коллатеральная связка может травмироваться после удара, усиленного воздействия с наружной стороны колена. Практически сразу возникает отек, сильная боль.
Вывих надколенника

Это повреждение довольно распространенное. Его считают менее травматичным повреждением, чем вывих сочленения колена. Во время сгибания колена происходит скольжение чашки колена вверх, вниз вдоль конца бедренной кости, желобка. Есть люди, у которых подобное движение не имеет стабильной фиксации. Во время движения чашечка может выскальзывать. Последствия могут не проявиться. Но бывают случаи, когда чашечка вывихивается. При этом она выскальзывает полностью из желобка кости бедра.
После таких вывихов чашечка обычно возвращается в обычное свое положение. Все равно врачи рекомендуют провести курс физиотерапии. Процедуры помогут укрепить связки сочленения, мышечные волокна. Такой подход защищает колено от повторного вывиха чашечки. Хирургическое вмешательство необходимо в исключительных случаях.
Воспаление сухожилия

Эту патологию также называют тендинитом. Ей свойственно воспаление сухожилий. Очаг расположен в зоне его крепления к кости. Также он может локализоваться в месте мышечно-сухожильного перехода. Простые люди называют патологию «коленом прыгуна». Спровоцировано воспаление следующими факторами:
- Неудобная обувь;
- болезни опорно-двигательного аппарата;
- травмы;
- слабый иммунитет;
- дисбаланс мышечных волокон;
- грибок;
- физ. нагрузки, оказываемые регулярно.
При указанной патологии беспокоит боль в области колена на смену погоды. Присутствует ограничение подвижности, припухлость, поскрипывание.
Артрит

Эту патологию считают наиболее часто встречаемой в зоне сочленения колен. При ней поражаются разные структуры соединения (хрящи, капсула, синовиальная оболочка). Если не лечить, пациент не сможет сам ходить, он потеряет работоспособность.
Указанная патология развивается в разных видах:
- Реактивный ;
- деформирующий;
- подагрический;
- посттравматический.
Приступ болезни сопровождается отечностью, краснотой эпидермиса, неприятными ощущениями в зоне больного соединения.
Артроз

При указанной патологии отмечается разрушение хрящей соединения колена. Следствием развития болезни выступает деформация, нарушение функционирования. Чаще обнаруживают заболевание у женщин.
Гонартроз возникает из-за воздействия различных факторов: возраст, лишний вес, травмирование, инфекции. Патология бывает односторонней, двусторонней. Она возникает зачастую после следующих патологий:
- Артриты ;
- переломы;
- опухоли костей;
- спондилиты.
Развивается гонартроз постепенно. Главными признаками поражения считаются изменение походки, острая боль в области колена, которая беспокоит даже после отдыха. Развивается болезнь в 3 стадии. Отсутствие терапии опасно инвалидизацией из-за утраты сочленением его функций.
Болезнь Гоффа

Эту болезнь также именуют липоартритом. Она представлена поражением жировой клетчатки, окружающей сочленение колена. При хроническом воспалении ухудшается двигательная способность соединения, болят коленные суставы. Зачастую фиксируют болезнь у пожилых женщин (после 45 лет).
Провокаторами болезни считается разрастанием жирового тела около крыловидных складок. У тел Гоффа отмечается снижение эластичности, упругости. Также ущемляются ткани большим объемом клетчатки между поверхностями костей. Отток крови нарушен. Поэтому состояние ухудшается.
Как лечить боль в колене быстро в домашних условиях. Строение коленного сустава
Колено соединяет бедро и голень. В составе коленного сустава:
- Надколенник или коленная чашечка, расположенная спереди,
- Две крупные кости – бедренная и большеберцовая, именно их соединяет колено,
- Хрящевая прокладка – мениск, уменьшающая силу трения между этими двумя костями и обеспечивающая полноту движений в суставе,
- Суставные сумки с синовиальной мембраной, ответственной за обмен веществ, и внутрисуставной жидкостью.
Менисков в колене – два, соответственно поверхностям: внутренний и наружный. Внутренний, плотно спаянный с капсулой, занимает приблизительно 60 % поверхности большеберцовой кости. Наружный – толще и шире. Форма внутреннего – в виде буквы С, а наружного – округлая, как несомкнутое кольцо. Кроме этого, в колене – большой аппарат мышц и связок.

Оба мениска состоят из коллагеновых волокон, находящихся в тесном переплетении и расходящихся в различных направлениях. Эти волокна образуют очень прочную на разрыв ткань. И сдвинуть ее тоже очень сложно.
Небольшое количество ткани мениска (0, 6 %) приходится на эластин, который, естественно, делает ткань эластичной – после любой деформации мениск быстро восстанавливает свою форму, являясь отличным амортизирующим средством.
С возрастом количество как коллагена, так и эластина в суставе снижается, что приводит к его дегенерации и уменьшению упругости хряща.
На колени, так же, как на голеностопы , приходится очень сильная нагрузка – выдержать вес тела человека не только в покое, но и обеспечить в достаточном объеме движения в суставе (круговые, сгибание и разгибание).
При этом происходит смещение менисков внутри сустава: при сгибании – вперед, и назад – при разгибании. При совершении круговых движений каждый мениск движется независимо от другого.


