Деформирующий артроз 1 степени. Симптомы
Деформирующий артроз 1 степени. Симптомы
Артроз в самой начальной стадии не проявляет никаких выраженных симптомов по сравнению с тем, если он достиг третьей степени. Порой они и вовсе отсутствуют. Однако выявить это заболевание в первой его стадии можно по следующим признакам:
- появление хруста в суставе;
- повышенная утомляемость больной конечности;
- скованность мышечной системы;
- несущественное ограничение некоторых движений.
При этом воспаление и болевой синдром при начальной степени артроза отсутствуют. Если в этот период сделать рентгеновский снимок, то на нем можно заметить сужение межсуставной щели, особенно если это касается кистей рук, коленей. Человек начинает ощущать незначительный дискомфорт, которое он воспринимает как обычное переутомление. Иногда можно слышать редкие щелчки, когда пораженный сустав приходит в действие. Совсем легкие боли могут появляться после повышенной нагрузки.
Несмотря на то что артроз в начальной степени не выражается никакими внешними проявлениями, а все симптомы достаточно умерены в своих проявлениях, он может иметь свои определенные признаки, в зависимости от того, какой сустав поражается недугом. Если артроз развивается в тазобедренной области, тогда человек может немного прихрамывать. А при достаточно длительной нагрузке начинают проявляться болезненные ощущения, которые в последующем отдают в паховую область либо в само бедро.

При артрозе коленей 1 степени боль возникает при спуске с лестницы
Артроз первой степени, затрагивающий оба колена, также проявляется болевыми спазмами, которые человек может почувствовать во время спуска по лестнице. Иногда такие симптомы возникают по утрам, когда происходит пробуждение. Но потом спазмы исчезают и им не придают значения. Такое заболевание, затрагивающее голеностопный сустав, провоцирует частые вывихи пораженной конечности. Поэтому если практически каждый день возникает подворачивание ступни, тогда можно заподозрить у себя развитие этого недуга.
Начальная стадия артроза коварна тем, что такое заболевание сложно диагностировать даже профессионалам. Многие аппаратные исследования совсем не дают нужного результата. Только артроскопия и биохимический анализ суставной жидкости может помочь выявить этот недуг в начальном его развитии.
Помимо обычного артроза 1 степени, человек может столкнуться с этим заболеванием деформирующего характера. Такой недуг начинает себя проявлять тогда, когда происходит изменение тканей под воздействием протекающего воспаления. Связки и хрящи сжимаются, истончаются, происходят локальные надрывы. Следует отметить, что такому заболеванию свойственен накопительный эффект. Поэтому деформирующий артроз 1 степени чаще возникает у людей, занятых физическим трудом.
Такому заболеванию подвержены мужчины и женщины старшего возраста. Дети с таким недугом встречаются редко. Однако если ребенок с самого детства занимается интенсивным спортом или балетом, тогда риск столкнуться с этим недугом в молодые годы очень высок. Причинами появления такого артроза, как деформирующий или унковертебральный, становятся такие же факторы, как и при образовании обычного артроза первой степени. Дополняются они врожденной деформацией суставного хряща, а также атеросклерозом суставных сосудов.
Если начинает развиваться дистрофический дегенеративный процесс в ранее неповрежденном и здоровом суставе, тогда может быть диагностирован первичный остеоартроз. Такое заболевание обычно появляется у людей, перешагнувших сорокалетний рубеж, которые генетически предрасположены к возникновению артроза. Также в зону риска попадают те, у кого имеется слишком большой вес и если суставы постоянно подвергаются чрезмерной нагрузке.
Артроз коленного сустава, что делать. Артроз коленного сустава: лечение, причины, симптомы и течение болезни
Остеоартроз – это группа заболеваний, возникающих по различным причинам, но являющиеся сходными между собой по клиническим проявлениям и течением. В основе всех артрозов лежит поражение компонентов сустава. Болезнь артроз является прогрессирующим заболеванием с нарушением функции пораженного сустава. Артроз коленного сустава (гонартроз) – заболевание, при котором происходит поражение хряща, синовиальной оболочки, связок, околосуставных мышц коленного сустава. Артроз коленного сустава, лечение которого требует комплексный подход, также требует вашего внимания. А также хотя бы элементарного понимания почему и как протекает данное заболевание.
Гонартроз: причины
Причинами артроза коленного сустава могут выступать:
- Травмы сустава: согласно научной литературе, примерно трети, а возможно и половине случаев возникновения артроза предшествует травма. Человек может случайно оступиться на улице, или повредить сустав при спортивной игре. Сначала возникнет острая боль, которая, впоследствии притупится и станет слегка ноющей, но не вызывающей особого дискомфорта. Обычно, в большинстве случаев, сустав в скором времени сам восстановится и не будет подавать признаков травмы. Но в редких случаях данное неблагоприятное стечение обстоятельств может спровоцировать развитие артроза.
- Длительная перегрузка сустава: считается, что те люди, чья профессия связна с длительной избыточной нагрузкой на суставы (профессиональные спортсмены, почтальоны) могут столкнуться с развитием раннего артроза суставов.
- Воспаление суставов (артрит коленного сустава): при воспалении сустава происходят биологические и морфологические изменения, нарушается кровоток, поэтому, именно артрит становится причиной артроза коленных суставов (вторичный артроз).
Дополнительные факторы риска
- Наследственность. Обычно, артроз суставов напрямую по наследству не передается, но «катализаторами» в развитии артрозов могут выступать особенности обмена веществ, строения хрящевой ткани, которые как раз передаются генетически. Также, возможность возникновения артроза может случиться в том случае, если у человека имеются аномалии суставов или их недоразвития, родовые травмы.
- Избыточный вес. Лишний вес является «отягчающим» обстоятельством при развитии артроза: то есть напрямую он не связан, но прибавка в весе оказывает большую нагрузку. Необходимо помнить, что у полных людей артроз коленных суставов протекает тяжелее, чем у остальных.
- Хронический стресс. Общеизвестен тот факт, что при избыточных переживаниях надпочечниками выделяются «гормоны стресса», из-за них происходит ухудшение кровоснабжения и уменьшение выработки гиалуроновой кислоты, которая является важным компонентом для нормальной работы сустава. В результате хронического стресса и вышеперечисленных отягчающих обстоятельств может возникнуть артроз.
Симптомы гонартроза
- Боль. Одним из начальных и основных симптомов артроза коленного сустава является боль в коленном суставе. Примечательно, что боль в колене будет возникать только при физических нагрузках: при ходьбе, беге, приседаниях, а в положении лежа эта боль будет уходить, и через некоторое время уйдет совсем (до следующей нагрузки).
- Хруст в суставе. В отличие от «похрустывания» суставов здоровых людей, хруст суставов, пораженных артрозом, имеет другую тональность: он грубый и «сухой».
- Тугоподвижность суставов. Артроз коленного сустава 1 степени обычно не выражается тугоподвижностью так сильно, как при последующих степенях. Но по мере прогрессирования амплитуда движения в пораженном суставе значительно снижается.
- Деформация коленного сустава. При прогрессировании гонартроза, в суставе развиваются патологические образования — костные шипы. Именно из-за них внешний вид сустава может быть иным, нежели как у здорового. Кроме того, внешний вид сустава может быть несколько «объемным», это связано с излишним накоплением внутрисуставной жидкости (синовит).

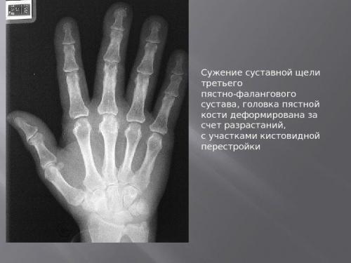
Деформирующий остеоартроз кистей рук. Правильное лечение деформирующего артроза кистей рук
, или – это хроническое заболевание, характеризующееся разрушением хрящевой ткани суставов с патологическим нарушением жидкостного синовиального вещества в суставной оболочке. Это распространенное заболевание: им поражено около 7,5 % населения земного шара и не зависит от пола.

Исключение составляет деформирующий артроз кистей рук, лечение которого чаще приходится проводить у женщин, чем у мужчин.
Механизм дегенерации суставов
Важно знать! Врачи в шоке: "Эффективное и доступное средство от АРТРОЗА существует…"…
По степени распространения деформирующий артроз межфаланговых суставов кистей рук уступает только деформирующему артрозу поясничного и шейного отделов и опережает, по статистическим показателям ВОЗ, неврологические заболевания коленного и/или тазобедренного сочленения.
Хроническая суставная патология пальцев рук – это множественное поражение кистевых суставов, свидетельствующее о серьезных нарушениях разной этиологии в опорно-двигательном костно-суставном сегменте скелетного образования.

Запущенная форма заболевания – это непослушные, негнущиеся грубые пальцы, болезненно сморщенная ладонная поверхность, узелковые образования на фалангах.
Деформирующий артроз кистей рук не позволяет людям производить привычные бытовые действия. Возникают трудности при письме, невозможно самостоятельно застегнуть пуговицы на одежде, крепко удержать рабочий инструмент или швейную иглу.
Чтобы дойти до такого клинического состояния, болезни необходимо пройти несколько стадий. На начальном этапе симптомы не доставляют человеку болевого дискомфорта. Дегенеративно-дистрофическое суставное разрушение пальцев рук наблюдается у людей пожилого и преклонного возраста.
Этот диагноз встречается у пациентов, переступивших возрастную отметку в 65-70 лет, гораздо чаще, чем у прочей возрастной категории. Из числа пациентов с деформирующим артрозом суставов кистей рук подавляющее большинство — это женщины. Однако существуют другие причинно-следственные факторы возможного развития клинической патологии.

Типичная рука пациента, поражённая артрозом начальных стадий.
Пленниками остеоартроза становятся:
- люди, чьи родители, дедушки или бабушки страдали. Главная причинно-следственная связь — генетическая наследственность;
- сельскохозяйственные работники и прочие категории тружеников, чья работа связана со значительной перегрузкой кистевого аппарата;
- люди, страдающие врожденными или приобретенными(в результате травм, суставных дефектов);
- больные хроническим, псориазом или сахарным диабетом;
- к образованиюу женщин причастен гормональный дисбаланс, когда снижается синтез эстрогенов яичниками.
Распространенные причинно-следственные факторы артроза, деформирующего суставы кистей рук:
- постоянное переохлаждение;
- часто повторяющиеся суставные травмы, микротравмы;
- результат действия токсических компонентов;
- недостаточность обменных функций, минерализации костно-суставной ткани;
- нарушения обменных функций в эндокринной системе.
Симптоматические признаки суставного зависят от его стадии. Начало течения болезни едва заметно, и человек годами не обращает внимание на дегенеративные изменения, а тем более не думает о лечении суставов. Деформирующий кисть артроз набирает свою силу и дает о себе знать, но уже в запущенной форме.
Стадии (фазы) клинической симптоматики
- I стадия. Начало болезни суставов выдает себя характерным хрустом или щелчком при сгибании/разгибании пальцев. Периодически возникающий болевой дискомфорт проявляется после активной физической работы или в момент магнитных бурь. Суставы начинают ныть, отдают тупой пронизывающей или распирающей болью. Острые приступы на начальной фазе заболевания нетипичны. Однако даже при этой степени клинической патологии можно наблюдать периодически возникающую отечность в межфаланговом сочленении;
- II стадия клинического развития болезненного состояния – это интенсивное нарастание болевого рефлекса, при котором ощущается жгучая пульсирующая. Частое беспокойство она доставляет человеку в ночное время. Там, где ранее наблюдалась припухлость, образуются костные наросты, илис симметричным расположением на обеих руках. В это же время отмечается заметная деформация в суставах пальцев рук, которая ограничивает подвижность;
- III (заключительная) стадия деформирующего артроза – это разрушение поверхностного слоя межфаланговых суставов. Костные разрастания увеличены, сливаются между собой. Искривленная деформация, срастание суставных концов сочленяющихся поверхностей приводят к полной неподвижности суставов. На этом этапе развития болезни отмечается выраженная болевая симптоматика постоянного характера.
Артроз пятки. Причины артроза пятки
Артроз пяточной кости считается патологией женщин, поскольку зачастую она наблюдается за счет хождения на шпильках. Но спровоцировать ее также способны чрезмерные давления или травмы, связанные с костями пятки. Такая проблема требует верной и комплексной терапии.
Все типы артроза на пятке относят к патологиям хронического течения, для них свойственен распад ткани хряща. При появлении заболевания фиксируется снижение двигательной функции сочленения и эластичности тканей.
Через время в болезнетворное явление ввязываются все структуры, расположенные рядом – капсула, связки, мышцы.
Часто на плоскости сочленения развиваются остеофиты. По мере формирования заболевания у сустава утрачивается главная функциональность. На последнем этапе происходит абсолютное его обездвиживание.

По данным медицины артроз таранно пяточного сустава формируется из-за нарушенного обменного явления в организме, но существуют и иные причины, которые ведут к возникновению патологии.
- Сниженный кровоток в суставе
- Гормональный сбой
- Чрезмерное давление, травмирование, трещины.
- Болезни щитовидной железы
Помимо этого есть факторы, способные вызвать патологическое течение, которое свойственно артрозу:
- Возраст
- Избыточная масса тела
- Нерациональный прием пищи
- Переохлаждение
- Наследственность
С болезнью сталкиваются те пациенты, кто сильно нагружает конечности. Подобные ситуации ведут к развитию микротрещин в суставах, наблюдается их быстрая изнашиваемость. Зачастую такая патология наблюдается у спортсменов, танцоров.