Норма углов тазобедренных суставов у ребенка таблица. УЗИ тазобедренных суставов у детей: нормы
- Норма углов тазобедренных суставов у ребенка таблица. УЗИ тазобедренных суставов у детей: нормы
 - Узи тазобедренных суставов у новорожденных расшифровка. Результаты
 - Нормы углов тазобедренных суставов по рентгену у детей. Расшифровки результатов рентгенографии
 - Узи тазобедренных суставов у новорожденных норма углов. УЗИ тазобедренных суставов у детей и новорожденных: как делают, что показывает?
 - Узи тазобедренных суставов в 1 месяц норма. УЗИ тазобедренных суставов у грудничков: норма углов
 - Норма углов тазобедренных суставов в 5 месяцев. Рентген тазобедренных суставов у детей. Норма
 - Нормы углов тазобедренных суставов по рентгену. Подготовка к рентгенографии
 - Протокол узи тазобедренных суставов у детей. УЗИ тазобедренных суставов у младенцев
 
Норма углов тазобедренных суставов у ребенка таблица. УЗИ тазобедренных суставов у детей: нормы
Метод ультразвукового исследования позволяет безболезненно и безопасно проводить диагностику самой распространенной врожденной ортопедической патологии у детей до года. Более того, он может без опасений применяться сколько угодно раз для контроля, если такая необходимость возникает, и даже просто в целях профилактики. В пользу проведения УЗИ говорит и тот факт, что при очном ортопедическом осмотре приблизительно четверть всех случаев дисплазии у детей остается не выявленной.
Но определяющее значение имеют также опыт и профессиональные навыки специалиста, проводящего ультразвуковое исследование. Это станет гарантией того, что расшифровка УЗИ тазобедренного сустава у ребенка будет правильной. Впрочем, врачи здесь успокаивают родителей. Конечно, нужно выбирать диагностическую клинику с хорошей репутацией, но даже если в постановке диагноза будет допущена ошибка, то хуже от этого ребенку не будет. Потому что ложно диагноз дисплазии на основании данных УЗИ ставится только положительный (то есть о наличии несуществующей дисплазии). Все закончится курсом массажа и применением методов, которые послужат профилактикой ортопедических проблем. Согласитесь, это куда лучше, чем если бы вследствие ошибки УЗИ патология осталась бы незамеченной, что в будущем значительно усложнило бы ее устранение.
Тем не менее, никакие дисплазии родителей не радуют, а потому хочется, чтобы расшифровка УЗИ была произведена корректно. Здесь Вас придется разочаровать: только специально обученный этому человек способен правильно провести УЗИ и правильно проанализировать полученные данные. Нормы оцениваются по начертанию линий и измерению образующих ними углов, которые специалист воспроизводит по точкам обследования (то есть чертит на полученном изображении). Чтобы данные оказались правдивыми, узист должен выставить датчик во время проведения обследования под правильным углом в строго определенных для этого точках. Затем эти точки воссоединяются в линии, по виду и состоянию которых врач оценивает, выходят ли полученные данные за рамки нормы. Оцениваются так называемые углы альфа- (указывает на развитие костной части вертлужной впадины) и бета (указывает на развитие хрящевой связки вертлужной впадины).
Нормы УЗИ тазобедренного сустава для новорожденных детей до 6 месяцев:
Нормы альфа и бета углов отличаются в каждой возрастной категории, а потому еще раз акцентируем на том, что какие-либо выводы может делать только специалист.
Учтите, что если УЗИ диагностирует дисплазию тазобедренных суставов, то лечение нужно будет начинать незамедлительно. Чем младше ребенок, тем быстрее и легче можно устранить эту патологию. Имеет значение каждая упущенная неделя.
Отклонения в развитии опорно-двигательного аппарата у новорожденных детей на ранних этапах легко определяются с помощью УЗИ. Обследование является безошибочным и проводится в первые месяцы жизни ребенка. Оно выявляет такое частое отклонение, как дисплазия, когда суставы развиваются неправильно. На проведение УЗИ тазобедренных суставов у грудничков направляет специалист – врач-ортопед. Данное исследование является скрининговым, т.е. обязательным к назначению в рамках комплексного УЗИ новорожденного в 1 месяц.
Осмотр тазобедренных суставов у грудничка
При таком диагнозе у детей отмечают недоразвитость тазобедренных суставов, которые находятся в вывихнутом состоянии. В таком положении головки бедренных костей смещаются по отношению к суставной поверхности таза.
Тазобедренные суставы могут быть подвержены в процессе роста таким нарушениям, как изменение структуры и позиции суставной впадины, отсутствие формирования головок окостенения бедренной кости, наличие повышенной гибкости связок.
Узи тазобедренных суставов у новорожденных расшифровка. Результаты
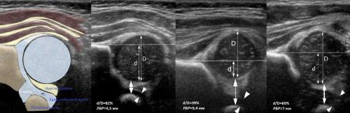
В ходе обследования тазобедренных суставов у 395 детей были выявлены следующие типы тазобедренных суставов.
По результатам УЗИ у 286 (72,41%) детей диагностированы типы 1а и 1б тазобедренных суставов (по Г. Рейнгарду). Клинически и сонографически типы 1а и 1б соответствуют возрасту ребенка - это здоровые суставы. Костная часть вертлужной впадины хорошо определяется, костный эркер слегка сглажен или прямоугольный, хрящевая часть крыши охватывает головку бедренной кости, костно-хрящевое соотношение больше или равно 2/3. Угол α больше или равен 60°. Угол β меньше 55° - тип 1а (рис. 1); угол β больше 55° - тип 1б.
У 35 (4,81%) детей выявлена простая двусторонняя дисплазия тазобедренных суставов, без пространственных нарушений (рис. 2). В результате данной патологии происходит задержка сроков оссификации (формирования ядра), которая связана с пониженным содержанием кальция в организме ребенка (впоследствии при увеличении физической нагрузки на суставы, когда ребенок после 6 мес начинает сидеть и стоять, может произойти деформация головки бедренной кости).

Рис. 2. Простая дисплазия - задержка сроков оссификации без пространственных нарушений (ребенок 5 мес).
Тип 2а тазобедренных суставов (рис. 3) диагностирован у 46 (11,6%) детей. Это вариант физиологической задержки развития тазобедренных суставов у детей в возрасте до 12 нед, при котором угол α меньше 59°, но больше 50°, соответственно угол β больше 60°.
Тип 2б тазобедренных суставов выявлен у 25 (6,33%) детей - дисплазия тазобедренных суставов у детей старше 3 мес (рис. 4). Костная вертлужная впадина недостаточно развита, костный эркер закруглен, костнохрящевое соотношение меньше 2/3, хрящевая часть крыши охватывает головку бедренной кости. Угол α меньше 59°, но больше 50°, угол β больше 60°.
Тип 2с тазобедренных суставов (рис. 5) обнаружен у 2 (0,51%) детей. Это вариант тяжелой дисплазии в любом возрасте. Все составляющие сустава недоразвиты. Костная часть вертлужной впадины уплощена, костный эркер закруглен или плоский, хрящевая часть вертлужной впадины расширена, но еще охватывает головку бедра. Угол α меньше 49°, но больше 43°, угол β больше 65°, но меньше 72°. Такой тип суставов без соответствующего лечения, влечет прогрессирующее децентрирование головки бедра.
У 1 (0,25%) ребенка выявлен 3а тип тазобедренного сустава - врожденный вывих бедра (рис. 6). Костная часть вертлужной впадины и эркер плоские, хрящевая часть вертлужной впадины смещается краниально, так как головка бедра не может быть зафиксирована в вертлужной впадине, происходит ее децентрация. Структура хрящевой части крыши не изменена. Угол α меньше 43°.
Все 106 детей, с выявленной патологией, были направлены на консультацию к врачу-ортопеду. После курса физиотерапии, широкого пеленания, при необходимости, на контрольном УЗИ (50 детей), были выявлены следующие изменения:
- Из 8 детей с простой двусторонней дисплазией тазобедренных суставов, без пространственных нарушений, с задержкой сроков оссификации, у 2 изменений не наблюдалось, а у 6 детей сроки оссификации соответствовали возрасту.
 - Из 25 детей с тазобедренными суставами типа 2а после проведенного курса лечения у 10 установлен тип 1а, у 7 - тип 1б, у 3 - тип 2б, у 5 детей имела место простая двусторонняя дисплазия тазобедренных суставов, без пространственных нарушений, с задержкой сроков оссификации.
 - Из 17 детей с тазобедренными суставами типа 2б после проведенного курсалечения у 5 установлен тип 1а, у 7 - тип 1б, у 1 - тип 2б, у 4 детей сохранялась простая двусторонняя дисплазия тазобедренных суставов, без пространственных нарушений, с задержкой сроков оссификации.
 
В результате 35 (70%) детей со своевременно диагностированной патологией после проведенной терапии имеют здоровые суставы 1-го типа, 15 (30%) детей, с сохранившейся патологией были направлены на повторный курс терапии.
Нормы углов тазобедренных суставов по рентгену у детей. Расшифровки результатов рентгенографии
Рентгенография костей таза проводится рентгенолаборантом. Врач-рентгенолог делает анализ снимка и описывает изменения. Результаты можно получить через 10-15 минут после проведения диагностической процедуры на официальном бланке медучреждения.
Интерпретация снимка зависит от квалификации диагноста, ведь один и тот же результат может иметь особенности трактования. Именно поэтому важно рассказать врачу все жалобы, чтобы он составил правильный анамнез.
Рентгеновский снимок тазобедренного сустава показывает:
- нарушение целостности кости при переломах;
 - смещение костной составляющей при вывихах;
 - разрастания костной ткани при остеоартрозе;
 - артриты;
 - истончение и уменьшение костной структуры при остеопорозе;
 - затмение при наличии опухолей (доброкачественных и злокачесвтенных);
 - врожденные нарушения костных структур, дисплазии.
 
Также можно рассмотреть стадии на рентгене болезни Пертеса. При наличии этого заболевания очень важно диагностировать етап его развития, ведь первые изменения при правильном лечении являются обратимыми. Следующая стадия – деформация головки бедра (асептический некроз) – необратима. Характерный признак: вторичный перелом головки бедра с возможным неправильным сращиванием (с выступом за край суставной впадины).
В медицине существуют такие травмы, которые может диагностировать только рентген. Перелом шейки бедра на рентгене, например, хорошо видно. Также таким образом устанавливается вид перелома. От вида и смещения будет зависеть характер лечения.
При трактовке снимка у детей, которым не исполнилось 4 месяца, врач описывает ацетабулярный угол вертлужной впадины, которая состоит из хрящей и не создает тени.
Ацетабулярный угол – это линии между трирадиальнми хрящами и крышей вертлужной впадины.
Здоровый тазобедренный сустав на рентгене будет выглядеть одинаково с обеих сторон, без наростов, трещин, сколов, затемнений и образований.
Узи тазобедренных суставов у новорожденных норма углов. УЗИ тазобедренных суставов у детей и новорожденных: как делают, что показывает?
УЗИ тазобедренного сустава проводится малышам, чтобы определить наличие врожденных патологий нижних конечностей. 
Ультразвуковое исследование тазобедренных суставов у грудничков
С помощью УЗИ тазобедренных суставов врачу легко определить отклонения в развитии опорно-двигательного аппарата на ранних стадиях.
Показания для обследования
УЗИ тазобедренных суставов у новорожденных, когда делать:
- при наличии подозрений на дисплазию;
 - при многоплодной беременности;
 - при рождении ребенка в ягодичном предлежании;
 - при нарушении неврологического характера.
 
УЗИ тазобедренных суставов у грудничков, когда делать? Родители тоже могут выявить показания для применения этого диагностического метода. Он позволяет принять меры, если вы заметили у ребенка:
- асимметрию складок на ягодицах;
 - укорочение одной из нижних конечностей;
 - недостаточно хорошее отведение бедра;
 - характерные звуки при попытке его отведения;
 - гипертонус ног.
 
Как подготовить новорожденного к УЗИ тазобедренных суставов?
Чтобы правильно сделать УЗИ тазобедренных суставов у новорожденных, надо провести предварительную подготовку. На результаты во многом влияет положение тела новорожденного, поэтому нужно, чтобы ребенок лежал спокойно на боку.
- Необходимо предварительно накормить ребенка.
 - Есть возможность срыгивания, поэтому грудничка кормят за полчаса до проведения процедуры.
 - Если ребенок находится на грудном вскармливании, то маме на протяжении трех дней до обследования надо избегать продуктов, провоцирующих кишечную колику.
 - С собой взять пеленку и несколько сменных подгузников.
 - С собой можно взять любимую игрушку или пустышку.
 - При проведении процедуры важно присутствие родителей. Это поможет создать благоприятный эмоциональный фон для ребенка.
 
Как проводится УЗИ?
Как делают УЗИ тазобедренных суставов у новорожденных? УЗИ тазобедренных суставов у грудничков занимает примерно час, на протяжении этого времени доктор внимательно осматривает оба сустава.
- Исследование осуществляется в положении лежа на боку. Ногу нужно притянуть к животу.
 - После завершения обследования выполняют дополнительно функциональную пробу, а именно подтягивают бедро к животу и делают легкий поворот.
 - Любые движения во время исследования могут привести к неправильным результатам.
 - При надобности доктор может назначить повторную диагностику, чтобы отследить динамику.
 
Расшифровка результатов
Протокол исследования родители получают после процедуры. Его составляет врач-узист. Далее необходимо показать этот документ педиатру или лечащему профильному специалисту для правильной интерпретации. Родителям не стоит самостоятельно расшифровывать результат и пытаться поставить диагноз!
Показатели нормы и отклонения
При проведении УЗИ тазобедренных суставов углы проведенных линий нужно измерить в обязательном порядке. УЗИ тазобедренных суставов у новорожденных, норма:
- Линия, идущая от нижней части седалищной мышцы, проходит к подвздошной кости, в норме она должна быть ровной.
 - Переходная зона хрящевой области вертлужной впадины изгибается под углом. В этой проекции образуются углы альфа и бета. В норме угол альфа должен составлять 60 градусов, а показатель бета должен быть не меньше 55 градусов.
 
Уменьшение этих показателей указывает на подвывих суставов. Увеличение говорит о вывихе сустава или врожденных патологиях.
Стоит помнить, что при УЗИ тазобедренных суставов у грудничков норма углов различна для каждого возраста.
- величина альфа к 6 месяцам увеличивается до 70 градусов;
 - бета уменьшается до 43 градусов.
 
Разработана специальная таблица нормальных показателей углов для разных возрастов. Она помогает при расшифровке УЗИ тазобедренных суставов у новорожденных, нормы и отклонений. 
При наличии патологических изменений будут такие параметры:
УЗИ тазобедренных суставов у детей и новорожденных - это диагностический метод, который позволяет врачу легко определить отклонения в развитии опорно-двигательного аппарата на ранних стадиях.
Когда делать УЗИ тазобедренных суставов у новорожденных?
УЗИ тазобедренных суставов у новорожденных рекомендуется делать в возрасте от 1 до 6 месяцев.
Когда делать УЗИ тазобедренных суставов у грудничков?
УЗИ тазобедренных суставов у грудничков рекомендуется делать в возрасте от 6 месяцев до 3 лет.
Показания для применения УЗИ тазобедренных суставов
Родители могут выявить показания для применения этого диагностического метода, если заметили у ребенка:
- Недостаточную подвижность суставов
 - Недостаточную координацию движений
 - Недостаточную чувствительность
 
Порядок проведения УЗИ тазобедренных суставов
Для проведения УЗИ тазобедренных суставов у новорожденных или грудничков необходимо выполнить следующий алгоритм:
- Проведение предварительной подготовки
 - Проведение УЗИ тазобедренных суставов
 - Получение протокола исследования
 - Интерпретация результатов
 
Протокол исследования
Протокол исследования составляется врачом-узистом и передается родителям после процедуры.
Родителям не рекомендуется самостоятельно расшифровывать результаты и пытаться ставить диагноз!
Норма УЗИ тазобедренных суставов
УЗИ тазобедренных суставов у новорожденных:
- Норма: 30-40 градусов
 - Уменьшение показателей - подвывих суставов
 - Увеличение показателей - вывих сустава или врожденные патологии
 
- Головка бедренной кости отклонена.
 - Хрящевая губа деформирована.
 - Выступ вертлужной впадины имеет округлую форму.
 - При очень серьезных нарушениях головка располагается над вертлужной впадиной, хрящевая губа вывернута и расположена над головкой. Суставная впадина состоит из окружающих жировой и соединительной ткани, проникнувших внутрь.
 
Что такое дисплазия?
Узи тазобедренных суставов в 1 месяц норма. УЗИ тазобедренных суставов у грудничков: норма углов
Поскольку наша медицинская система не подразумевает поголовного УЗИ новорожденных на предмет дисплазии тазобедренных суставов у грудничков, родителям следует знать его некоторые признаки:
- Ноги ребенка различны по длине;
 - Несимметричность складок на ягодицах малыша;
 - Лишняя складка на бедре новорожденного;
 - Звук щелчка при сгибании ног ребенка;
 - Ноги малыша, согнутые в коленях, невозможно отвести.
 
При наличии любого из этих признаков следует обязательно показать ребенка ортопеду, который на свое усмотрение выберет метод диагностики и назначит необходимое лечение. Поскольку окостенение хрящевых тканей у новорожденных происходит очень быстро, то промедление в вопросе лечения подобных патологий недопустимо. Без необходимых лечебных процедур такие заболевания как дисплазия или оссификация тазобедренных суставов у грудничков впоследствии могут привести к инвалидности, проблемам с позвоночником и походкой.
Несмотря на то, что УЗИ не является самым точным методом диагностики дисплазии и оссификаций тазобедренных суставов у грудничков, врачи чаще всего прибегают именно к этому методу. Это связано с тем, что рентгенография, при всех ее достоинствах – процедура небезопасная, особенно для грудничков. Вред рентгеновского излучения – это давно известный и неоспоримый научный факт. Если врач считает необходимым проведение рентгенографии, то это обычно очень взвешенное решение, которое принимается уже после проведения УЗИ тазобедренного сустава новорожденного.
Специалисты, проводящие УЗИ тазобедренных суставов и грудничков, в процессе исследования измеряют некоторые геометрические и физиологические параметры тазобедренного сустава:
- Угол α;
 - Угол β;
 - Костная крыша;
 - Конфигурация костной крыши;
 - Хрящевой выступ;
 - Положение головки бедра в состоянии покоя и во время провокации.
 
В таблице представлены нормы углов и других характеристик тазобедренного сустава новорожденных, а так же патологические отклонения этих параметров от нормы:
| * | Угол α, градусов | Угол β, градусов | Костная крыша | Конфигурация костной крыши | Хрящевой выступ | Головка бедренной кости в состоянии покоя | Головка бедренной кости в состоянии провокации | 
|---|
Не следует использовать представленные здесь данные для самостоятельной постановки диагноза новорожденному ребенку. Профессиональный врач ортопед делает выводы о наличии дисплазии тазобедренного сустава у грудничка не только на основании данных УЗИ. Кроме того, отличные от нормы значения углов альфа и бета могут свидетельствовать о патологической задержке процесса оссификации (процесс формирования костной ткани) суставов ребенка.
В ходе УЗИ тазобедренных суставов у новорожденных, медицинские работники определяют их типы. Классификация предусматривает всего четыре типа тазобедренных суставов у наблюдаемых новорожденных детей.
К данному типу относят так же физиологически незрелые суставы грудничков. Это такие тазобедренные суставы, формирование которых проходит с задержкой развития. При этом сопоставление головки бедра и вертлужной впадины не нарушено. Такое отклонение от нормы не является дисплазией в прямом смысле этого термина, хотя некоторые ортопеды все-таки используют его для постановки диагноза новорожденным.
Тип III К этому типу суставов относят те, которые имеют плоскую, а так же скошенную вертлужную впадину. Это серьезная патология, требующая незамедлительного лечения. Некоторые движения ног могут привести к выпадению головки бедраиз вертлужной впадины. Это связано с тем, что чрезмерно эластичная и подвижная суставная капсула и мягкие связки не в состоянии удерживать головку в суставной впадине. Без неотложного лечения и различных мер профилактики развитие этой патологии приводит к инвалидности ребенка.
Тазобедренный сустав человека – это, пожалуй, самый высоконагруженный элемент опорно-двигательного аппарата. Именно поэтому так необходимо уделять ему самое пристальное внимание с первых дней жизни грудничка. Посещение ортопеда рекомендуется делать не позднее первого месяца жизни ребенка. При своевременном выявлении патологий тазобедренных суставов у малышей, прогноз благоприятного исхода достаточно велик.
Норма углов тазобедренных суставов в 5 месяцев. Рентген тазобедренных суставов у детей. Норма
Программа УЗИ "Здоровье мужчины" Программа УЗИ для мужчин включает в себя (УЗИ органов брюшной полости, УЗИ мочевого пузыря, ТРУЗИ, УЗИ органов мошонки, УЗИ щитовидной железы, УЗИ почек и надпочечников) 10500 7000  Гастроскопия, колоноскопия и анализ Гастроскопия + колоноскопия под седацией + анализ на хеликобактер пилори. Пребывание в палате. Консультация анестезиолога. Рекомендации специалиста. 16200 13500  Программа УЗИ "Здоровье женщины" Программа УЗИ для женщин включает в себя (УЗИ органов брюшной полости, УЗИ мочевого пузыря, УЗИ органов малого таза УЗИ молочных желез, УЗИ щитовидной железы, УЗИ почек и надпочечников) 10700 7000  Чаще всего при подозрении на патологию тазобедренных суставов у ребенка назначают рентгенографию. Несмотря на высокую диагностическую ценность, данный метод не очень распространен в педиатрии из-за своей вредности. Рентген назначают детям с трех месяцев, до этого возраста хрящевая ткань слишком мягкая, поэтому нет резона проводить эту процедуру.Рентген у грудничок проводят при подозрениях на неправильное формирование тазобедренных суставов. Симптомы этой болезни могут провоцировать три состояния: вывих, подвывих и предвывих. Именно рентген может с точностью до 70% определить такие отклонения. Так как тазобедренный сустав ребенка до года состоит в основном из мягкого хряща, добиться четкой визуализации снимка сложно. Только специалист высшей классификации способен правильно расшифровать результаты. Чтобы исследование на дисплазию боле наиболее показательным предварительно назначают УЗИ. Главным показанием к назначению рентген-снимков является подозрение на неправильное или неполноценное развитие сустава. Также его назначают при замедленном развитии сустава, так как этот процесс является подведением к неполноценности структуры в будущем.При травмах сустава, артритах и артрозах, полостных образованиях рентген тоже назначается. Какой врач назначает исследование и где его проходят. Направление на рентген выдают ортопеды, онкологи, артрологи, травматологи. Обследование могут провести в городской поликлинике или в частном центре. Последние предпочтительнее, так как они имеют новые цифровые аппараты, способные снизить вредное влияние рентгена. За три дня до исследования родители должны убрать из питания ребенка блюда и продукты, вызывающие газообразование. Это бобовые, сладости, капуста. При условии, что ребенок находится на ГВ, эти продукты исключаются из питания матери.При необходимости врач-рентгенолог рекомендует незадолго до исследования выпить лекарство, нормализующее газообразование, а также сделать клизму. Снимок должен проводиться в лежачем положении с вытянутыми ногами. Часто врачи неправильно расшифровывают снимки из-за того, что не умеют различать патологическое расположение суставов от нормального. Новорожденных укладывают немного в другое положение при проведении процедуры: ноги должны быть подведены к телу с небольшой ротацией внутрь. На половые органы надевается защитная пластина из свинца. Главное, что должно просматриваться на снимках – это вертлужная впадина, отношение головки бедренной кости к впадине.Особенности исследования
Показания
Подготовка ребенка
Норма и патология
Чтобы правильно и точно расшифровать снимки применяется схема Хильгенрейнера. Благодаря её анализируются такие показатели, как ацетабулярный угол, расстояние от линии Хельгенейнера до метафизарных пластинок, дно вестибулярной впадины до предыдущего показателя. У детей до трех месяцев без отклонений ацетабулярный угол равен 30 градусов, он уменьшается до 20 градусов, когда ребенок становится старше. Расстояние от линии до пластинок к норме равно от 9 до 12 см. эта величина одинакова и с правой и с левой стороны. Расстояние от дна впадины до предыдущего значения в норме должно быть около 15 мм с обеих сторон.
Эта схема позволяет представить сустав в объемной плоскости, поэтому при работе с ней возможно найти даже небольшие отклонения.В этой схеме имеются дополнительные уточняющие линии, такие как Шентона и Кальве. Прерывание линии Шентона означает латерально-проксимальное смещение бедра. Прерывание дуги Кальве означает состояние вывиха или подвывиха сустава.Применение рентгенографии для выявления таких суставных отклонений просто необходимо.
Чем раньше выявится проблема, тем быстрее можно будет приступить к лечению, не допустив инвалидизации ребенка в будущем. Здесь ровно тот случай, когда польза от проведенных манипуляций превышает вред.
Нормы углов тазобедренных суставов по рентгену. Подготовка к рентгенографии
От тщательности подготовки к проведению рентгена зависит качество полученного снимка, по которому доктор будет расшифровывать результаты. Подготовка к рентгену тазобедренного сустава состоит из проведения очистительной клизмы накануне процедуры. Также за несколько дней до рентгена специалисты советуют исключить из своего рациона продукты, приводящие к газообразованию.
Эти манипуляции осуществляются для того, чтобы каловые массы и кишечник не были видны на снимке, иначе они могут повлиять на его качество. Если кишечник будет полным, на рентгенограмме будут пятна (темные или светлые), которые могут ввести в заблуждение диагноста.
В случае если рентген бедра или костей нужно провести внепланово (в экстренных случаях), процедypa может быть проведена без предварительной подготовки.
Перед проведением рентгена, пациенту следует снять одежду и украшения, содержащие металлические элементы. Несоблюдение этого правила, может привести к помехам на снимке. Для таких целей можно купить специальный медицинский халат.
Подготовка к рентгену костей таза аналогична подготовке к рентгену тазобедренного сустава. В том случае, когда рентгенография осуществляется с контрастным усилением, пациенту в обязательном порядке проводится тест на рентгеноконтрастный препарат для определения аллергенов на его составляющие.
Рентген костей таза, как и тазобедренного сустава, осуществляется на голодный желудок по истечению 12 часов после последнего приема пищи.
Протокол узи тазобедренных суставов у детей. УЗИ тазобедренных суставов у младенцев
У новорожденного головка бедренной кости хрящевой плотности, что позволяет оценивать вертлужную впадину методом УЗИ. У детей старше 6 месяцев возможности ультразвука ограничены из-за окостенения краев впадины и частично головки.
Младенец лежит на спине или на боку. Бедро оценивают в нейтральном (15-20°) и согнутом (90°) положениях. Линейный датчик 7-15 МГц располагают в проекции большого вертела параллельно (1) или перпендикулярно (2) поясничному отделу позвоночника.

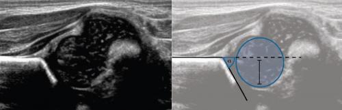
На первом этапе тазобедренный сустав сканируют в продольной плоскости. Проводят основные линии, измеряют костное покрытие головки, расстояние от лобковой кости до головки, ∠α и ∠β, а также определяют тип строения по Графу.
На втором этапе оценивают стабильность тазобедренного сустава сустава при пробе Барлоу-Ортолани. В нестабильном суставе костное покрытие головки уменьшается, а расстояние от лобковой кости до головки и ∠β увеличиваются.
На третьем этапе тазобедренный сустав сканируют в поперечной плоскости. В случаях нестабильности, подвывиха или вывиха определяют кпереди или кзади смещается головка при пробе Барлоу-Ортолани.
Продольное сканирование тазобедренных суставов
Датчик располагают в проекции большого вертела параллельно поясничному отделу позвоночника. Найдите самое глубокое место вертлужной впадины. Отрегулируйте наклон датчика, чтобы линия тела подвздошной кости лежала строго горизонтально (2).

Пока головка бедренной кости хрящевой плотности, имеется акустическое окно для исследования вертлужной впадины. При продольном сканировании документируют по два снимка: первый — обзорный, второй — с линиями и углами.

Проведите базовую линию по наружному контуру подвздошной кости и обозначьте головку бедренной кости, аппарат автоматически вычисляет степень костного покрытия головки. Костное покрытие головки в случаях предвывиха 40-50%, подвывиха

Когда головка смещается кнаружи, освободившееся пространство заполняет гиперэхогенная круглая связка и жир. При подвывихе и вывихе расстояние от лобковой кости до головки >6 мм, разница между бедрами >1,5 мм (3). Толстый хрящ лобковой кости считают вариантом нормы (4).

Линии костной (красная) и хрящевой (зеленая) крыши проходят через костный выступ, а так же начало Y-хряща и центр гиперэхогенного кончика суставной губы, соответственно. Степень развития костной крыши определяет ∠α, а хрящевой крыши ∠β.

Если край подвздошной кости округлый, костный выступ определяют в точке перехода дуги наружного контура вертлужной впадины в дугу наружного контура подвздошной кости. Обратите внимание, все линии проходят по наружному контуру костей.

Типы тазобедренных суставов по Графу

Тип 1 : ∠α>60°, костное покрытие головки >50%
1а : ∠β
1b : 55°
Тип 2 : 43°
2a : 50°
2b : 50°
2c : 43°
2d : 43°77°. Костная часть крыши уплощена. Костный выступ закруглен или плоский. Хрящевая крыша расширена. Заключение: Тяжелая дисплазия т/б сустава (тип 2d), предвывих (близко к децентрации головки). Гипсовая повязка на 3 недели, затем стремена Павлика. Контроль УЗИ 1 раз в месяц.
Тип 3 : ∠α
3a : Костная крыша и костный выступ плоские. Хрящевая крыша заворачивается кверху, эхоструктура однородная. Стойкая децентрация головки бедра. Заключение: Тяжелая дисплазия т/б сустава (тип 3а), подвывих. Закрытая репозиция, затем гипсовая повязка на 3 недели, далее стремена Павлика. Контроль УЗИ 1 раз в месяц.
3b : Типе 3b встречается при запущенной форме хронического вывиха бедра. Хрящевая часть крыши поврежденная — небольших размеров, неправильной формы, неоднородная.