Строение человеческого пальца. Строение
Строение человеческого пальца. Строение
Внешняя схожесть пальцев руки объясняет их практически одинаковое строение. Исключение составляет большой палец, так как он формируется двумя фалангами. Анатомия мизинца руки отличается маленькими размерами трубчатых костей. Они формируют следующие отделы:
- Средний. Его тело имеет упрощенную форму в районе верхней спинки, а по бокам располагаются мелкие гребешки. В месте соединения с проксимальной фалангой конец трубчатой кости имеет утолщение.
- Нижний или проксимальный. В этом отделе происходит соединение с костями пястья.
- Верхний. Это дистальная ногтевая фаланга, которая оканчивается ногтевой пластиной.
В анатомии мизинца руки различают расположение особых участков с повышенной гипертензией. Они имеют название зоны Захарьина-Геда. Детальное их изучение Японскими учеными позволило разработать точечную методику массажа, который имеет название шиацу. При выполнении точечного массажа на мизинце оказывается рефлекторное воздействие на сердечную мышцу и отдел тонкого кишечника. Двигательная активность обеспечивается межфаланговыми суставами. Они соединяют трубчатые косточки с помощью сумочно-связочного аппарата, располагаясь на головках всех отделов костей. Их считают осевыми суставами, что объясняет работу только в одной плоскости (сгибать и разгибать палец). К мышцам малого пальца относят:
- отводящую мышцу мизинца;
- короткую ладонную;
- короткий сгибатель мизинца.
Они берут свое начало на костях запястья и прикрепляются к поверхности пятой пястной кости и проксимальной фаланге. Поступление крови к мизинцу происходит посредством глубокой артериальной дуги расположенной на ладони, а также из разветвленной сети артерий на тыльной части кисти. Следует отметить, что развитая система кровоснабжения кистей рук обеспечивает моторику движений и способствует быстрой регенерации тканей в случае повреждений.
От негативного воздействия окружающей среды костную и мышечную ткань защищает кожная поверхность. Верхний слой в течение жизни постоянно обновляется, что вызывает отторжение и отшелушивание поверхностных клеток. Эластичность и упругость кожи обеспечивает эластин и коллаген. Если они не вырабатываются в достаточном объеме, то кожа становится дряблой, на ней появляются трещины и морщины. Это также можно наблюдать в преклонном возрасте.
Сухожилия кисти. Повреждения сухожилий сгибателей кисти. Диагностика, лечение
Травмы сухожилий сгибателей являются главной составляющей хирургии кисти на протяжении всей истории ее развития, что связано с повышенным уровнем сложности оперативного вмешательства. И по сей день оказание помощи при травматических повреждениях сухожилий сгибателей продолжает оставаться нелегкой задачей, несмотря на многочисленные предложения по усовершенствованию хирургических способов лечения и реабилитационных программ.
Возможны резаные, отрывные или размозженные повреждения сухожилий пальцев , в том числе и как часть массивной травмы верхней конечности. Близкое соседство с нейроваскулярными структурами на всех уровнях кисти, запястья и предплечья увеличивает частоту их повреждения и усложняет оказание помощи.
Обследование сухожилий сгибателей пальцев основано на анатомической взаимосвязи сухожилий с функцией конкретного сустава. В области пальцев кисти сгибание в ПМФС и ДМФС осуществляется при участии глубокого сгибателя пальцев (ГСП), мышцы, чьи сухожилия, идущие к указательному и длинному пальцу, иннервируются передним межкостным нервом (ветвь срединного нерва), а сухожилия, подходящие к безымянному пальцу и мизинцу,— локтевым нервом. Поверхностный сгибатель пальцев (ПСП) сгибает только средние фаланги и иннервируется исключительно передним межкостным нервом. При обследовании кисти можно провести простые тесты, позволяющие разграничить функции ГСП и ПСП. Сгибание большого пальца обеспечивается преимущественно длинным сгибателем большого пальца, который иннервируется передним межкостным нервом и лишь один отвечает за сгибание в межфаланговом суставе.
В большинстве случаев сухожилия сгибателей сопоставляют внутриствольными швами, кроме этого сшивают эпитендиний. Для восстановления сухожилия предложено несколько разновидностей внутриствольных швов, все из которых при правильной технике наложения дают хорошие результаты. Тем не менее, недавнее добавление швов, формирующих петлю, имеет ряд преимуществ, поэтому петлевые швы должны приниматься во внимание. При сшивании петлевым способом можно легко наложить большее количество швов, что пропорционально повышает надежность соединения и позволяет рано и более активно приступить к восстановительным упражнениям.
Как при повреждениях разгибателей , повреждения сухожилий сгибателей определяются по зонам в соответствии с их локализацией (I-V). Такая классификация помогает охарактеризовать повреждение при его описании и составить наиболее подходящую программу реабилитации.
Повреждения зоны I касаются мест прикреплений ГСП или сухожилия длинного сгибателя большого пальца к дистальной фаланге. Причиной бывают резаные или отрывные ранения. Способ окончательного восстановления пересеченного сухожилия зависит от длины дистального конца. Если он менее 1 см, то сшивать концы нецелесообразно. В таких случаях центральный конец сухожилия ГСП вытягивают и подшивают к ногтевой фаланге. Отрывы ГСП на этом уровне делят на три типа, располагая их в порядке уменьшения тяжести повреждения. К типу I относят наиболее тяжелый отрыв, который трудно диагностировать из-за отсутствия рентгенологических признаков. В таких случаях отрыв сухожилия от места его прикрепления к кости сопровождается разрывом поддерживающих связок сухожилия, что приводит к полному смещению проксимального конца в ладонную сторону. Раннее распознавание и лечение этого типа повреждений позволяет избежать двухэтапного хирургического вмешательства по реконструкции сухожилия. Оперативное лечение одинаково успешно может быть завершено наложением якорного шва или выведением концов лигатуры на кожу с фиксацией их к пуговице.
Фаланги пальцев ног. Классификация
Переломы большого пальца стопы отличаются по характеру и тяжести повреждения. В зависимости от особенностей травмы, назначают лечение, прогнозируют длительность реабилитации и исход заболевания.
В зависимости от сообщения костных отломков с внешней средой, выделяют переломы:
- открытые – костные отломки образуют дефект кожи и сообщаются через рану с внешней средой;
- закрытые – отломки кости не повреждают кожные покровы и не имеют сообщения с внешней средой.
По расположению отломков кости выделяют переломы:
Еще советуем прочитать:
Перелом наружной лодыжки
- со смещением – отломки кости отклоняются от своего физиологического положения;
- без смещения – костные отломки не меняют своего нормального положения.
По характеру разрушения кости выделяют переломы:
- без образования осколков (безоскольчатые);
- с образованием одного осколка (однооскольчатые)
- с образованием двух осколков (двухоскольчатые);
- с образованием более двух осколков (многооскольчатые).
По механизму образования травмы выделяют переломы:
- прямые – характеризуются образованием дефекта кости в участке приложения травмирующей силы;
- непрямые – сопровождаются появлением дефекта костной ткани на некотором расстоянии от места приложения травмирующей силы.
По локализации выделяют переломы:
- основной фаланги – располагаются ближе к костям стопы ;
- ногтевой фаланги – располагаются в области прикрепления ногтя.
Краевой перелом первого пальца стопы
Большой палец стопы, в отличие от других пальцев ноги, имеет две, а не три фаланги. При этом он несет на себе большую нагрузку при движении и статических позах тела. В области первого пальца проходят более крупные нервы, сосуды и связки, которые повреждаются при переломе кости, вызывая смещение костных отломков, образование гематом, появление интенсивных болей. При травме первого пальца стопы нарушается двигательная активность нижней конечности, полноценная ходьба становится невозможной.
Перелом дистальной фаланги пальца руки. Переломы фаланг пальцев
Переломы фаланг пальцев возникают как при прямом механизме травмы – падение, удар по пальцу, так и при непрямом механизме – например, в результате форсированных ротационных движений (выкручивание) пальца. В зависимости от этого различают типы переломов фаланг пальцев – косые, оскольчатые, поперечный, винтообразные. Подходы к лечению этих переломов несколько отличаются друг от друга.
При переломе ощущается острая боль, может возникнуть деформация пальца, появляется отек.
Средний срок сращения фаланг пальцев - около 3-4 недель.
Лечение переломов фаланг пальцев
Переломы фаланг пальцев с незначительным смещением или без смещения лечат наложением гипсовой повязки на 3-4 недели. При смещении для обеспечения движения в суставах пальцев производится хирургическое лечение – остеосинтез (фиксация отломков). Это помогает избежать формирования тугоподвижности сустава (контрактур), которые в самых запущенных случаях могут приводить к формированию анкилоза (полному отсутствию движений в суставе).
При переломах со смещением отломков обычно требуется их фиксация – возможные варианты: фиксация спицами через проколы кожи (спицы остаются выступать над кожей), пластиной и/или винтами, которые устанавливаются через разрез. При установке фиксаторов разрабатывать движения в суставах пальца можно начинать спустя несколько дней после операции.
При переломах основания или головки фаланги, фиксация обычно проводится спицами или винтами, при переломах диафиза – винтами или пластиной. При многооскольчатых переломах фаланг пальцев может быть установлен аппарат внешней фиксации.
Гипсовая лонгета после операции, как правило, не накладывается. Исключение составляют тяжелые нестабильные оскольчатые переломы.
Средний срок госпитализации составляет около 5 суток.
Окончательный выбор способа остеосинтеза остается за лечащим врачом, исходя из медицинских показаний, характера смещения отломков, функциональных требований к кисти.
Строение кисти правой руки. Анатомия кисти. Строение костей кисти.

Добрый день, уважаемые читатели. На уроках анатомии в медицинских университетах иногда пропускают (или просто слегка упоминают) строение кисти. Также на некоторых кафедрах вообще отсутствуют качественные препараты кисти человека.
Разумеется, такое положение дел не может меня радовать — как вы знаете, я являюсь большим поклонником фундаментальной медицины. Именно поэтому я решил разобрать строение костей кисти наглядно и детально, чтобы ни у кого не возникало путаницы в этой непростой теме.
Кстати говоря, кисть является самой подвижной частью человеческого тела. Развитие и усложнение анатомии кисти сыграло не последнюю роль в становлении homo sapiens как самого развитого вида живых существ на планете. Людям доступны сложнейшие хирургические манипуляции, виртуозная игра на музыкальных инструментах и создание настоящих шедевров изобразительного искусства.
Давайте узнаем, из чего состоит этот удивительный инструмент — человеческая кисть — и разберём строение костей кисти.
Классификация отделов кисти
Кисть человека (manus) делится на три отдела:
- Запястье (carpi) ;
- Пястная часть (metacarpi) ;
- Кости пальцев (ossa digitorum) , их часто называют «фаланги».
Кстати, именно от латинского слова «manus» произошли слова «мануальный» и «маникюр».
Я решил немного раскрасить этот скучный рентгеновский снимок. Красным цветом я выделил запястье, голубым — пясть, а зелёным — кости пальцев (фаланги).

Кости запястья (ossa carpi)
К костям запястья относят восемь маленьких плотных косточек, которые располагаются в два ряда — проксимальный и дистальный . Чтобы не запутаться в них, следует придерживаться принципам, которые я описывал в статье о том, как учить анатомию человека .
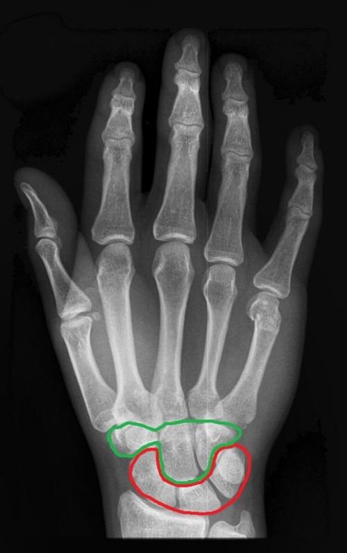
На этом рисунке я я выделил красным цветом проксимальный ряд костей запястья, а зелёным — дистальный.

А теперь давайте сориентируемся на настоящем рентгеновском снимке и попробуем на нём найти проксимальный и дистальный ряды костей запястья (цвета такие же):

Проксимальный ряд костей запястья:
- Ладьевидная кость (os scaphoideum) . Эта кость занимает самое латеральное (самое «лучевое») положение из всех костей проксимального ряда. Также ладьевидная кость является самой крупной костью проксимального ряда. Не перепутайте её с костью-трапецией из дистального ряда, о которой речь пойдёт чуть ниже. Чтобы не случилось такой путаницы, сначала научитесь различать проксимальный и дистальный ряды, а затем уже отдельные кости;
- Полулунная кость (os lunatum) . Дистальная поверхность этой кости очень вогнутая. Именно поэтому она выглядит как половина луны. Правда, это не особо заметно, когда вы рассматриваете всю кисть целиком. Намного лучше эта особенность строения различима, когда вы рассматриваете полулунную косточку отдельно. На препарате вы её можете найти сразу после ладьевидной кости — полулунная кость очень плотно примыкает к ней с медиальной стороны;
- Трехгранная кость (os triquertum) . Название трёхгранной кости также очень характерно — если вы рассмотрите эту кость отдельно, вы отчётливо увидите три грани. Трёхгранная кость занимает самое медиальное (самое «локтевое») положение из всех костей проксимального ряда;
- Гороховидная кость (os pisiforme) . Эта кость — самая маленькая из всех костей запястья. Она очень плотно сочленяется с трёхгранной костью, поэтому вы легко отыщите гороховидную кость, если найдёте самую медиальную кость проксимального ряда (то есть трёхгранную).
Когда вам требуется найти какую-либо кость запястья, первым делом, вы должны отличать проксимальный и дистальный ряды. Давайте сориентируемся на анатомическом планшете, когда кисть руки нам показана условными пальцами вниз.
Первым делом найдём лучевую и локтевую кости. По лучевой кости мы находим сторону, где располагается большой палец, а по локтевой — сторону, где находится мизинец.:

После этого нам нужно отыскать на планшете кости запястья. Это очень легко сделать — восемь маленьких, плотных косточек сильно отличаются от всех остальных костей:

Далее следует разграничить дистальный и проксимальный ряды костей запястья. Этому мы уже научились в прошлом разделе, поэтому проксимальный ряд можно найти без труда (не забываем, что перед нами ладонь, которая расположена условными пальцами вниз):

И теперь, когда у нас расставлены все ориентиры, мы можем сразу же найти, например, ладьевидную кость (os scaphoideum). Помним, что она:
- Располагается в проксимальном ряду;
- Занимает самое «лучевое» положение;
- Является самой крупной костью проксимального ряда;
- Похожа по форме на корабль-ладью.


