Ревизионное эндопротезирование тазобедренного сустава. Виды имплантов
- Ревизионное эндопротезирование тазобедренного сустава. Виды имплантов
- Повторная операция по замене тазобедренного сустава. Симптомы нестабильности протеза тазобедренного сустава
- Поздние осложнения после эндопротезирования тазобедренного сустава. 3 Эпидемиология
- Признаки нестабильности эндопротеза тазобедренного сустава. Как распознать вывих головки эндопротеза
- Ревизионное эндопротезирование тазобедренного сустава форум. Когда нужно менять эндопротез?
- Ревизия тазобедренного сустава форум. Показания для повторного эндопротезирования
- Смещение эндопротеза тазобедренного сустава. Вывих головки эндопротеза тазобедренного сустава
Ревизионное эндопротезирование тазобедренного сустава. Виды имплантов
В ревизионном эндопротезировании коленного сустава чаще всего используются полусвязанные или связанные варианты эндопротезов, при необходимости с замещением костного дефекта титановыми или танталовыми блоками.
В ревизионном эндопротезировании тазобедренного сустава импланты подбираются индивидуально с учетом имеющихся дефектов.
В некоторых случаях при ревизионном эндопротезировании применяются 3D-импланты (индивидуальные эндопротезы) как для коленного, так и тазобедренного суставов. В эндопротезировании коленного сустава такие импланты устанавливаются при наличии выраженного костного дефекта суставных концов, когда выполнение операции стандартным ревизионным эндопротезом невозможно. При оперативном вмешательстве на тазобедренном суставе 3D-импланты используются в случае значительного костного дефекта вертлужной впадины. Первым этапом проводится компьютерная томография, на основании которой изготавливаются индивидуальные конструкции из титана.
Ревизионное эндопротезирование доступно только в единичных клиниках страны, мы являемся одними из немногих, кто осуществляет данный вид вмешательств и обладаем значительным опытом. Повторное эндопротезирование – более сложная операция по сравнению с первичным. Ревизионная замена сустава влечет большее количество возможных осложнений. Ревизионное эндопротезирование крупных суставов должно выполняться хирургами-ортопедами с большим опытом в данных оперативных вмешательствах, что позволяет снижать риски осложнений.
Повторная операция по замене тазобедренного сустава. Симптомы нестабильности протеза тазобедренного сустава
Еще в период консультации у лечащего врача пациенту должны объяснить возможные побочные эффекты и осложнения после операции. Непосредственно сам хирург должен предвидеть такие негативные последствия на основании диагностических данных в период обследования больного. Неправильный подбор индивидуального протеза может привести к тому, что он выйдет из строя уже по истечении пяти лет после установки. Повторной операции эндопротезирования можно избежать, если соблюдать все меры предосторожности и не выполнять тех действий, которые могут повредить устойчивости имплантата.
Можно выделить следующие признаки нестабильности эндопротеза тазобедренного сустава:
- Возникновение перманентной ноющей боли в суставе как во время ходьбы, так и в состоянии покоя. Зачастую болевые ощущения усиливаются ближе к ночи (во время сна).
- Потеря опоры для искусственного сустава.
- Общая слабость в нижних конечностях, быстрая утомляемость при ходьбе.
Большинство пациентов заблуждаются, полагая, что перечисленные выше симптомы являются результатом последствий операции, которые пройдут сами по себе в течение короткого времени. на самом деле, все гораздо сложнее. Желательно как можно скорее обратиться к специалисту и пройти диагностические процедуры, которые покажут, требуется ли повторное хирургическое вмешательство.
Все дело в том, что установленный имплантат влияет на движения тазобедренного сустава, как при тотальном эндопротезировании, таки при замене лишь части поврежденного сустава. В результате процесс восстановления костной ткани может замедлиться. Расшатывание ножки протеза в большинстве случаев приводит к развитию местного остеопороза. Таким образом, ограничивается подвижность самого эндопротеза.
К сожалению, современные научные и лабораторные исследования не смогли определить материал для протезов, которые бы не наносил абсолютно никакого вреда здоровью человека. В результате трения компонентов имплантата друг о друга мельчайшие частицы оседают в окружающих тканях, вызывая инфекционные процессы и отмирание тканей. Также может нарушится локальное кровообращение. Поэтому при появлении первых признаков расшатывания эндопротеза тазобедренного сустава следует немедленно обратиться за помощью к лечащему врачу.
Поздние осложнения после эндопротезирования тазобедренного сустава. 3 Эпидемиология
По данным регистра эндопротезирования РНИИТО им. Р.Р. Вредена доля ревизионных операций, выполненных в течение пяти лет после предшествующего эндопротезирования, в общей структуре ревизионных операций составляет 33% (анализировали данные ревизионных операциях, выполненных в период с 2011 по 2013 годы), при этом в 64% причиной реэндопротезирования послужила перипротезная инфекция, в 19% асептическое расшатывание компонентов эндопротеза, в 8% вывихи головки эндопротеза, в 6% перипротезные переломы .
По данным отчета Австралийского регистра эндопротезирования за 2016 год наиболее частной причиной ревизионных вмешательств явилось асептическое расшатывание – 27,6%, в 23,5% вывихи головки эндопротеза, в 18,7% перипротезные переломы и в 17,5% инфекционные осложнения .
По данным Норвежского регистра эндопротезирования за 2016 год отмечена тенденция увеличение количества ранних ревизионных вмешательств, наиболее частой причиной явилось асептическое расшатывание ацетабулярного компонента – 425 операций, далее инфекционные осложнения – 309 операций, на третьем месте ревизии, связанные с асептическим расшатыванием бедренного компонента – 289 операций, 227 операций по поводу вывихов головки эндопротеза и 151 ревизия, связанная с перипротезными переломами .
Данные Шведского регистра эндопротезирования указывают на следующее соотношение в структуре ревизионных вмешательств: асептическое расшатывание компонентов эндопротеза 52,4%, глубокая инфекция 13,9%, вывихи головки эндопротеза 11,7%, перипротезные переломы 10,4%.
Анализ литературы указывает на неоднозначность данных по эпидемиологии ревизионного эндопротезирования тазобедренного сустава, однако основными причинами ревизионных вмешательств считаются асептическое расшатывание, рецидивирующие вывихи и глубокая инфекция области оперативного вмешательства. .
Признаки нестабильности эндопротеза тазобедренного сустава. Как распознать вывих головки эндопротеза
Вывих эндопротеза можно заподозрить в первую очередь по резкому появлению сильной боли в тазобедренном отделе и/или в области паха . Она упорно держится даже в покое, усиливается при любой попытке движения в суставе. Похожего характера симптоматика бывает и при других осложнениях : при нестабильности протеза, тендините четырехглавой мышцы, изолированном отрыве ягодичной мышцы, бурсите большого вертела и др. Поэтому подтвердить истинную этиологию возникшей боли возможно только после клинического осмотра и выполненной рентгенографии.
Выраженная болезненность – основной, но далеко не всегда единственный симптом. Объявим весь симптомокомплекс, характерный для данной проблемы:
- резкая непрекращающаяся боль, нарастающая при двигательной активности и при пальпации протезированного участка;
- страх и неуверенность в передвижении, ощущение неустойчивости;
- укорочение пораженной конечности;
- локальное мышечное напряжение;
- слабость в ноге, скованность движений;
- покраснение, припухлость, гипертермия в области локализации имплантата;
- повышение общей температуры тела, если сильно активизировался воспалительный процесс.
Больше предрасположены к вывихам женщины, чем мужчины. Этот факт специалисты обосновывают тем, у женщин исходный диапазон в ТБС выше, а объем и сила мышц ниже, нежели у представителей мужского пола. В категорию риска попадают также пациенты старческого возраста, люди с ожирением и высоким ростом.
Ревизионное эндопротезирование тазобедренного сустава форум. Когда нужно менять эндопротез?

- Новости травматологии
- 2
Эндопротезирование — замещение имплантатами (эндопротезами) элементов опорно-двигательного аппарата и частей внутренних органов, утративших свою функцию в результате травмы или заболевания. Эндопротезы используются практически во всех областях хирургии.
Сегодня эндопротезирование – самая распространённая операция в травматологии. При этом пациенты часто остерегаются ревизионного эндопротезирования — замены эндопротеза или его частей.
И это объяснимо. Каждый пациент очень переживает за исход операции. Однако, оснований для волнения нет. Эти операции высокотехнологичны и практически исключают риски осложнений.
Разберёмся, в каких случаях будет замена эндопротеза и для кого этот вопрос актуален.
Первая и основная причина замены эндопротеза – это его износ. Но не стоит этого бояться, потому что срок эксплуатации эндопротеза от 10 до 25 лет и зависит от его типа, «узла трения» и силы нагрузки на него. Исходя из этого если операция была в более зрелом возрасте, вполне вероятно замена не потребуется, так как у зрелых людей активность гораздо ниже, чем, например, у спортсменов.
Вывихи, расшатывания, переломы. Как и «живой» сустав, эндопротез терпит физические нагрузки и не исключены травмы. Поэтому, если происходят систематические вывихи, или пациент чувствует боль и нестабильность в суставе, или произошла травма — стоит проконсультироваться с врачом и возможно, будет произведена частичная или полная замена эндопротеза.
Ещё одной причиной замены эндопротеза является некорректная его установка. Это происходит вследствие неподходящего подбора типа эндопротеза или некачественной его установки. Но в этом случае также возможна частичная замена эндопротеза.
Самое важное, что эффект после операции эндопротезирования равен, по положительности эффекта, с заменой хрусталика в глазу. То есть пациент на второй день не чувствует боли, имеет полный объём движений.
***
В нашем центре консультацию ведут травматологи-ортопеды с многолетним опытом практической работы. Это фанаты своего дела, которые держат руку на пульсе всех актуальных исследований и новых методик лечения.
Все травматологи нашего центра – действующие хирурги. При этом у нас нет цели навязывать хирургическое лечение каждому пациенту. Мы эксперты в своей области и для нас важно сохранять этот статус. Этого можно добиться только заботой о каждом пациенте и наиболее точном подборе эффективного и безопасного лечения.
Чтобы записаться на консультацию травматолога-ортопеда позвоните по телефону 8(495)414-20-64 , либо заполните следующую онлайн форму .
Ревизия тазобедренного сустава форум. Показания для повторного эндопротезирования
Ревизионное протезирование может быть назначено по многим причинам, например:
- При вывихе искусственного сустава. Такое случается чаще всего при неправильном положении составных частей устройства, а также при осознанном или непроизвольном (после инсульта ) несоблюдении рекомендаций, касающихся двигательного режима. Правильная установка имплантата и подготовка к его использованию помогает предотвратить регулярные вывихи.
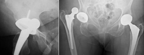
Вывих импланта.
- При износе компонентов, подверженных трению (особенно быстро он наступает при контакте металла с полиэтиленом и при повышенных нагрузках). Частицы материала, которые при этом образуются, нередко становятся причиной для замены протеза полностью с попутным замещением дефектов кости.
Износ полиэтиленового вкладыша вертлужной впадины. Обратите внимание что головка находится не по центру, а смещена вверх.
- При асептическом (не связанном с инфекцией) расшатывании устройства. Его могут спровоцировать частицы материалов, образованные трением составных частей протеза друг об друга.
Здесь изображено как поставили имплант с усиленной платформой.
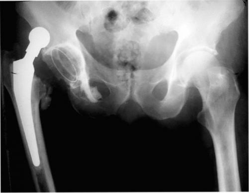
- При перипротезной инфекции. Возбудители попадают на эндопротез обычно из крови, лимфатической жидкости или в результате инъекции. Именно поэтому наличие очагов инфекции во всем организме является противопоказанием для установки имплантата. Если избежать заражения не удалось, операция по замене устройства проводится в два этапа: сначала удаляется старый протез, полностью очищаются прилежащие ткани и на его месте временно размещается спейсер (источник антибиотиков); а уже после заживления проводится процедура повторного эндопротезирования.
Стрелками указаны зоны инфекционного поражения.
- При протезном переломе (приводит к нестабильности).
Перелом импланта случается очень редко.
Смещение эндопротеза тазобедренного сустава. Вывих головки эндопротеза тазобедренного сустава
В продолжение обещанных материалов по осложнениям эндопротезирования тазобедренного сустава. Обзор материалов из открытых источников, специально для проекта «Травматология и фармакология: точки соприкосновения»
Вывих эндопротеза тазобедренного сустава – это нарушение контакта головки бедра с ацетабулярным (вертлужным) компонентом, требующее специальных мероприятий по вправлению и восстановлению конгруэнтности поверхностей .

Вывихи эндопротезов – вторая по частоте причина ревизионных вмешательств (4 место по статистике) после асептического расшатывания компонентов эндопротезов и связанных с ним остеолиза и боли.
- После первичной артропластики (эндопротезирования) вывих головки эндопротеза встречается в 1 - 4 % случаев (Robbins GM et all. Orthop Clin North Am. 2001 Sanchez-Sotelo J, Berry DJ Orthop Clin North Am. 2001)
- После ревизионной артропластики - 5 - 20 % (Berry DJ, Muller ME JBJS. 1992)
С каждым годом частота этого осложнения снижается. В большинстве, это заслуга производителей эндопротезов, которые совершенствуют свой продукт и устраняют обнаруженные дефекты, и врачей – которые приобретают всё больший опыт в установке эндопротезов и понимании биомеханики движения искусственного сустава. К сожалению человеческий фактор в проценте вывихов остается стабильный, т.к. люди продолжают нарушать рекомендации по эксплуатации эндопротеза и не хотят отказываться от привычного, дооперационного, образа жизни.

Данные Национального регистра Англии и Уэльса
- Причины ревизий. Обобщенные данные Австралийского Регистра артропластик тазобедренного сустава 1999 – 2011 гг. (40160 операций)
- Вывих эндопротеза 5720 14.2
- Инфекция 5015 12.5
- Перипротезный перелом 3737 9.3
- Болевой синдром 770 1.9
- Гиперчувствительность к металлам 750 1.9
- Износ ацетабулярного вкладыша 639 1.6
- Разрушение ацетабулярного компонента 406 1.0
- Перелом ножки эндопротеза 345 0.9
- Износ ацетабулярного хряща 248 0.6
- Ошибки позиционирования 176 0.4
- Перелом вкладыша 173 0.4
- Разница в длине конечностей 137 0.3
- Перелом головки 61 0.2
- Ошибки в определении размеров компонентов 76 0.2
- Прочие 827 2.3
ВСЕГО 40160 - 100.0
Несколько слов об экономическом аспекте проблемы … Расходы клиник США на лечение вывихов эндопротезов тазобедренного сустава:
- Первичная тотальная артропластика 12.848 $
- Закрытое вправление вывиха 2.433 $
- Ревизионное протезирование при повторном вывихе и нестабильности 13.717 $
- 150.000.000 $ ежегодно (Sanchez-Sotelo J., Haidukewich G.J., Boberg C.J. Hospital cost of dislocation after primary total hip arthroplasty. – JBJS – 2006.- 88- A .- N 2.- P . 290 – 294.)
… и об этическом: Вывих эндопротеза подрывает доверие пациента к хирургу, клинике и медицине в целом.
Причины и факторы риска вывиха головки эндопротеза тазобедренного сустава
Около 60% всех вывихов отмечены в раннюю послеоперационную фазу – в течение 3 месяцев после выполненного эндопротезирования. До 75% случаев приходится на первые 12 месяцев, после 1 года их количество существенно снижается. Причины – чрезмерные нагрузки, погрешности в подборе модели и установке имплантата (дефекты угла, маленькая головка бедренного компонента и т.д.), использование заднего хирургического доступа, травматизм мягких тканей.
В группу риска входят люди с переломами шейки бедра, врожденной дисплазией, нейромышечными патологиями, гипермобильностью суставов, синдромом Элерса, пациенты старше 60 лет, страдающие избыточной массой тела.
Также особо уязвимы к вывиху лица, перенесшие в прошлом хирургические вмешательства на тазобедренном суставе.
Факторы риска и причины принято разделять на 3 направления, это:
Установлено, что к потере взаимоотношения искусственных суставных поверхностей приводят 3 причинные категории.
- 1. Пациентзависимые факторы:
- ранее перенесенные хирургические вмешательства на ТБС;
- несоблюдение пациентом ортопедического режима;
- отступление от установленного ограничения объема движений;
- слабость мышц, отводящих бедро;
- травмы (падения, локальные удары и т. п.);
- пожилой возраст (люди старше 60 лет попадают в категорию риска);
- грубые анатомические дефекты строения опорно-двигательного аппарата;
- избыточная масса тела.
- 2. Имплантзависимые причины:
- использование однополюсных имплантатов с биполярной головкой;
- применение бедренных головок маленького размера (D ≤ 28 мм);
- разрушение полимерного вкладыша;
- несостоятельность (расшатывание) вживленной конструкции.
- 3. Хирургзависимые факторы:
- по некоторым данным задний доступ сопряжен более высокими рисками к вывиху;
- некорректное позиционирование чашки с углом абдукции менее 30° и более 50°, углом антерверсии – менее 5° или более 25°;
- неправильная ориентация бедренной ножки имплантата с углом антеторсии ниже 5°;
- многократное вправление вывиха эндопротеза консервативно, то есть закрытым безоперационным способом.
Симптомы вывиха головки эндопротеза тазобедренного сустава
Вывих эндопротеза можно заподозрить в первую очередь по резкому появлению сильной боли в тазобедренном отделе и/или в области паха. Она упорно держится даже в покое, усиливается при любой попытке движения в суставе. Похожего характера симптоматика бывает и при других осложнениях: при нестабильности протеза, тендините четырехглавой мышцы, изолированном отрыве ягодичной мышцы, бурсите большого вертела и др. Поэтому подтвердить истинную этиологию возникшей боли возможно только после клинического осмотра и выполненной рентгенографии.
Выраженная болезненность – основной, но далеко не всегда единственный симптом. Опишем весь симптомокомплекс, характерный для данной проблемы:
- резкая непрекращающаяся боль, нарастающая при двигательной активности и при пальпации протезированного участка;
- страх и неуверенность в передвижении, ощущение неустойчивости и нестабильности в конечности;
- укорочение пораженной конечности;
- локальное мышечное напряжение;
- слабость в ноге, скованность движений;
- покраснение, припухлость, гипертермия в области локализации имплантата;
- повышение общей температуры тела, если сильно активизировался воспалительный процесс.

Визуальный осмотр: увеличение длинны конечности
Больше предрасположены к вывихам женщины, чем мужчины. Этот факт специалисты обосновывают тем, у женщин исходный диапазон движений в ТБС выше, а объем и сила мышц ниже, нежели у представителей мужского пола. В категорию риска попадают также пациенты пожилого возраста, люди с избыточной массой тела и высоким ростом (высокий рост создает дополнительную длину рычага давления на сустав).
Диагностика вывиха головки эндопротеза тазобедренного сустава
Как обычно, диагностика начинается со сбора анамнеза, выяснения механизма и времени возникновения патологии, информации о перенесенной операции.
Проведение функциональных тестов и осмотр пациента помогут установить предварительный диагноз.
Для подтверждения диагноза и исключения переломов в области эндопротеза назначают рентгенологическое обследование.
