Операция лечение суставов. Виды хирургического лечения артрита
Операция лечение суставов. Виды хирургического лечения артрита
При лечении артрита существует ряд различных хирургических операций. Каждая из которых применима в том или ином случае, в зависимости от возрастной группы больного, его общего самочувствия, локализации поражения и запущенности болезни. Вот ряд распространенных операций.
Синовэктомия
Хирургическая процедура, чаще проводимая на колене или пальцах, на ранних стадиях артрита. В ее процессе с больного сустава удаляется воспалённая часть синовиальной оболочки. Такой вид операции не излечивает от артрита, однако значительно снижает болевые ощущения у человека и не дает дальше разрушаться и деформироваться месту поражения.
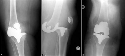
Артропластика
Метод заключается в обработке сустава, пораженного ярким случаем артрита. В этом случае отшлифовывается все лишние наросты у костей и обычно выполняется при поражении колена.
Также существует заместительная артропластика или замена сустава, что намного серьезнее. Врачи удаляют некоторые части больного сустава и заменяют их имплантами, выполненными из специального металлического сплава или пластмассы. Она чаще всего проводится на бедренном или коленном суставе, однако может быть проведена не только с ними.

Резекция
Применяется при оперировании суставов ног, для уменьшения боли, при ходьбе. Для этого удаляется часть пораженной кости в локализации болезни.
Артродез
Более простым языком – это сращивание суставов. К такому методу прибегают для увеличения выдерживаемой нагрузки и снижения боли. Проводится такая операция на позвоночнике, стопах или запястьях, в редких случаях невозможности проведения замены всего сустава. Врачи снимают небольшой слой ткани кости в пораженном месте, после чего концы сустава соединяются вместе. Спустя определенное время концы сустава срастаются, теряя подвижность и образуя единую кость. В итоге это дает возможность выдерживать большую нагрузку, взамен на неподвижность.
Операция на коленном суставе реабилитация. Замена коленного сустава, реабилитация после операции
Реабилитация после эндопротезирования имеет первостепенное значение для обеспечения безболезненного функционирования сустава и улучшения качества жизни пациента. Операция попоказана для лечения болезненных и инвалидизирующих патологий, вызванных различными формами, тяжелыми травмами. Хирургом-ортопедом выполняется полная или частичная замена износившегося суставного соединения на его анатомически точную копию.

Искусственный имплантат состоит из металлических и пластиковых элементов, абсолютно безопасных для организма. Чтобы заново научить прооперированную конечность двигаться правильно, расширить диапазон доступных движений, требуются массажи, посещение физиотерапевтического кабинета, выполнение.
Срок реабилитации, как и её успешность, зависят от тяжести состояния пациента, его усердия, соблюдения врачебных рекомендаций, силы воли, желания достичь успеха.Срок восстановления: когда можно ходить?
Важно знать! Врачи в шоке: "Эффективное и доступное средство от боли в суставах существует…"…
Этот вопрос — часто задаваемый среди посетителей специализированных форумов, посвящённых вопросам эндопротезирования. Прогресс сугубо индивидуален, полный возврат к нормальной деятельности возможен уже через 3—6 месяцев после процедуры, в течение которых вы будете заново строить собственную жизнь, учиться самым обыденным вещам.
Большинство имплантов позволяют сгибаться коленному суставу, но не более чем на 110 градусов.
Сложность процесса восстановления — в том, что больные артритом люди живут с изматывающими болями годами. За это время у них вырабатываются предпочтительные позы для, стояния, передвижения, становятся неактивными и атрофируются некоторые мышцы. Эти же привычки, называемые аномальными невралгиями, никуда не уходят и после того, как вы просыпаетесь в послеоперационной палате. Процесс избавления от них сложен, тернист; желательно проходить его под присмотром врача-реабилитолога.
При дегенеративных суставных заболеваниях пациентам полагается пособие по инвалидности. Для его оформления необходим сбор необходимых результатов обследования, подтверждающих неспособность самостоятельно передвигаться.
Причиной для получения аналогичного статуса может стать и реабилитация после эндопротезирования, если в результате операции вы не в состоянии выполнять привычную работу. Оказывается такая социальная помощь в течение 12 месяцев.
Как увеличить результативность реабилитации?
При соблюдении всех врачебных рекомендаций увеличение доступного диапазона движений, избавления от боли удаётся достичь 90% пациентов.
Рекомендации специалиста в зависимости от практикуемой им методики, перенесённого типа процедуры могут различаться. Обычно они включают следующие пункты:
- ранняя физическая активность – залог успешной реабилитации;
- уже на вторые послеоперационные сутки необходимо начинать присаживаться и вставать, используя в качестве опоры специальные поручни;

Встать с кровати и сходить в туалет в первые дни после операции — это уже можно назвать реабилитацией.
- покорятьпридется уже на пятый день. Причём первый шаг делается обязательно здоровой ногой;

А больная нога всегда находится между двух костылей.
- увеличение физической нагрузки происходит постепенно, чтобы не повредить имплантат;

Такое может случиться, если очень торопиться. Это вывих коленного импланта.
- после выписки домой можно приседать только на высокие стулья, а поднимать предметы без посторонней помощи или специальных приспособлений запрещено;

Наглядный пример запрещённых первое время положений.
- постоянный контроль веса;

Если есть лишний вес, то просто похудейте — это даст вам большую фору в процессе восстановления.
- сон на боку или спине разрешён только с использованием специального валика, помещаемого между ног;

Это требование больше подходит для тазобедренного сустава, но колено тоже стоит обезопасить таким образом.
- водить автомобиль позволяется лишь спустя 8 недель после процедуры;

Садиться и выходить из него нужно особым способом.
- вводите в свой рацион пищу, богатую железом, и пейте больше жидкости.
Как происходит замена коленного сустава. Операция на коленном суставе: виды операций, повязки, контрактура колена
Коленный сустав (КС) обладает широким функционалом, принимает на себя весь вес тела человека и выполняет множество сложнейших движений. Большие нагрузки и различные заболевания делают его уязвимым.
Способы лечения и замены КС
Нередко травмы и дегенеративно-дистрофические заболевания вызывают столь сильные и необратимые изменения, что требуется операция или замена коленного сустава. Эндопротезирование позволит избавиться от сильных болей, вернуть ноге двигательную активность, а пациенту – возможность самостоятельно передвигаться.
Операции на коленном суставе
Операцию назначают при различных патологических состояниях, основными причинами которых выступают травмы и артроз. К хирургическому вмешательству прибегают в случаях, когда консервативное лечение не помогает. Показанием к операции служат выраженная деформация сочленения и обширное разрушение его структуры, значительно ухудшающие качество жизни пациента.
Один из видов операторного вмешательства
Операция на коленном суставе может быть экстренной или плановой. К срочному хирургическому вмешательству прибегают при травмах и гнойном артрите, когда операция является единственно возможным способом лечения.
Плановые операции направлены на улучшение функций сустава, корректировку формы и целостности его анатомических составляющих, возвращение подвижности колену. В этом случае может выполняться восстановление целостности поврежденной структуры, ее удаление или операция по замене коленного сустава.
Способы оперативного вмешательства
Операции на колене проводятся двумя способами: открытым и артрорскопическим. Артроскопия колена служит отличной альтернативой полостной хирургии. Она проводится с помощью специального прибора – артроскопа, является щадящей, редко приводит к осложнениям и требует короткого периода реабилитации.
При артроскопии используется эпидуральная анестезия. Это малоинвазивный (минимально травмирующий ткани организма) метод хирургического вмешательства, при котором делается три маленьких надреза, через которые в полость сустава вводятся эндоскоп с камерой и инструменты.
Отличия между открытой и закрытой операциями
Виды операций
В зависимости от характера повреждения коленного сочленения хирургическое лечение предполагает разные способы и объемы вмешательства.
- Хирургия мягких тканей (киста Беккера).
- Хирургия околосуставных элементов (мениск, связки). Это очень обширная группа операций, включающая удаление, восстановление, протезирование мениска и пластику связок.
- Хирургия костной ткани (репозиция отломков). Проводится для сопоставления отломков при внутрисуставных переломах с помощью остеосинтеза, представляющего собой соединение осколков крепежными средствами: скобами, спицами, шурупами.
- Резекция. Предполагает полное удаление сочленения при обширной гнойной инфекции или переломах с раздроблением, когда нет возможности провести репозицию отломков.
- Артропластика коленного сустава. Этот вид хирургического вмешательства затрагивает гиалиновый хрящ, покрывающий образующие сустав головки костей. Артропластика обеспечивает восстановление хряща коленного сустава с помощью искусственных материалов. На пораженные участки наносятся специальные пасты и смеси, плотность и характеристики которых аналогичны гиалиновым хрящам.
- Замена коленного сустава. Во время этой операции все сочленение или его части заменяются эндопротезом. Для изготовления протезов используют различные материалы, размер подбирается индивидуально. Эндопротезирование с успехом решает вопрос, как восстановить утраченные функции колена.






