Лечение хрящевой ткани. Характер возникающей проблемы
- Лечение хрящевой ткани. Характер возникающей проблемы
- Восстановление хрящевой ткани народная медицина. Причины и последствия разрушения
- Тонкий хрящ в коленном суставе. Восстановление хрящевой ткани коленного сустава
- Болит суставной хрящ колена. Боль в коленном суставе: причины, лечение, почему болят колени, что с этим делать, как и чем их лечить
- Восстановление хрящевой ткани препараты. Производные глюкозаминогликанов
- Восстановление хрящевой ткани колена. Препараты для восстановления хрящевой ткани суставов: мифы и реальность
Лечение хрящевой ткани. Характер возникающей проблемы

Анатомия коленного сустава
Хрящ в коленном суставе постоянно подвергается травмам, которые иногда остаются незамеченными или проходят сначала без особых последствий, но потом проявляют себя самым негативным образом и сказываются на двигательной активности, подвижности и общем состоянии человека. Восстановление хрящевой ткани коленного сустава – сложный и трудоемкий процесс, который требует многих составляющих.
Для его восстановления понадобится все от наличия определенных строительных компонентов до прекращения происходящих негативных процессов с помощью медикаментов, правильного питания и физиотерапии. Иногда устранение основной причины возникновения суставных деформаций, оказывается, невозможным из-за сопутствующих условий и факторов.
Но в современной медицине за последние годы появилось много прогрессивных течений, разработанных для решения этой задачи и позволяющих добиваться ощутимого прогресса и улучшения в состоянии пациента.
Хрящ в коленной области – одна из самых сложных структур в организме человека, выполняющих ежедневное функциональное назначение, без которого невозможно представить себе нормальную жизнедеятельность и двигательную активность. Тонкий хрящ, покрывающий и предохраняющий поверхности костей, образующих коленный сустав, эластичен и призван сглаживать движения человека, исключая возможность межкостевого трения. Как и все остальные тонкие хрящи в суставах, он амортизирует испытываемые нагрузки.

Мениск
Мениски – как медиальный, так и латеральный, имеют особое строение и особый состав и по химическому строению. Они отличаются от привычных гиалиновых хрящей способностью выдерживать гораздо более интенсивную нагрузку.
Мениски призваны:
- амортизировать вертикальную компрессию;
- одновременно увеличивать двигательную амплитуду и ограничивать ее перераспространение;
- создавать основание для прочного крепления крестообразных связок;
- увеличивать способность сочленения обеспечивать стабильность и надежность нижней конечности человека в выполняемых движениях.
Хрящ колена у некоторых людей начинает разрушаться еще до наступления 30 лет, и происходит это по разным объективным причинам. К 45 годам уже наступает полноценно развивающийся процесс разрушения хрящевой ткани, выражающийся в ее изначальном повреждении и возникновении микротрещин, затем в появлении обширного воспалительного процесса, за которым следует разрастание и деформация костной ткани. Заболевание, у которого есть общий собирательный термин артрит, развивается по нескольким причинам.
Иногда это проникновение инфекционного агента в синовиальную сумку, нередко развитие аутоиммунного процесса без его присутствия. Но всегда это довольно сложная клиническая картина, в которой присутствует как фактор интенсивное кровообращение этой области, разрушение менисков. При недуге отмечаются окружающие хрящ многочисленные полости, в которых свойственно образовываться гнойным затекам.

Суставный хрящ
Суставный хрящ – сложное соединение, в состав которого входят вода, глюкозами, коллагеновые и эластиновые волокна. Отсутствие воды и недостаточная выработка глюкозама, полисахарида, представляющего собой неотъемлемую составляющую хрящевой ткани, приводит к утрате волокнами своих специфических свойств.
Невозможность обеспечивать полноценное выполнение своих прямых обязанностей – возвращения ткани в прежнее состояние, благодаря эластичности и упругости, лишает коленный сустав возможности обеспечивать нормальную двигательную активность. Восстановление коленного сустава в такой ситуации может быть делом не одного месяца.
Все зависит от обстоятельств, которые привели к разрушению хряща, и необходимых составляющих, призванных его восстанавливать. Немаловажная роль принадлежит в этом процессе и лечащему врачу, который должен составить объективную клиническую картину, соответствующую действительности и определить средства, способные реально помочь в сложившейся ситуации, правильную тактику и способ лечения.
Восстановление хрящевой ткани народная медицина. Причины и последствия разрушения
Суставный хрящ приводят к разрушению различные факторы:
- Травмы.
- Непосильные нагрузки на сустав.
- Отсутствие двигательной активности.
- Несбалансированное питание.
- Вредные привычки.
- Дефицит витаминов, минералов.
- Неправильный обмен веществ.
- Инфекции.
- Переохлаждения.
Также разрушение суставного хряща провоцируется нарушенным кровообращением. Восстановление хряща – процесс замены поврежденных клеток хрящевой ткани хондроцитами. Самовосстановление проходит на 50% и может длиться до 10 лет. Серьезная травма несет организму опасность неизлечимости, что обусловлено низким метаболизмом хрящей.
В результате негативных процессов начинается процесс расслоения и истончения хрящевой ткани, что приводит к затруднению скольжения костей друг о друга. Кости расплющиваются, появляются костные разрастания, наблюдается уменьшение костной щели, что сопровождается постоянной болью и значительным снижением подвижности.
При отсутствии адекватной терапии человек теряет способность не только трудиться, активно отдыхать, но и передвигаться
Ткань хряща нетрудно травмировать по причине слабого связочного аппарата, удерживающего сустав в нужном положении. Если хрящ утрачивает прочность и гладкость поверхности, истончается, суставы трутся, что приводит к усилению разрушения. Если процесс не остановить, могут образоваться костные выросты, которые называются остеофитами. Способствует разрушению и дефицит синовиальной жидкости.
Чтобы восстановить хрящевую ткань в суставах, следует создать высокую концентрацию клеток – хондроцитов. При низкой двигательной активности суставная полость получает недостаточно кислорода и питательных веществ, что оказывает отрицательное воздействие на состояние хряща. Поэтому одна из главных задач – повысить двигательную активность.
Тонкий хрящ в коленном суставе. Восстановление хрящевой ткани коленного сустава
Как восстановить хрящевую ткань в суставах?
Регенерация и восстановление хрящевой ткани суставов помогут остановить дегенеративные и разрушающие процессы, которые провоцируют возрастные изменения либо заболевания, способствующие дистрофии межсуставных структур. Существуют разные методики, с помощью которых хрящ будет постепенно восстанавливаться, но подходящую схему терапии и лекарство должен назначить врач после диагностических мероприятий и подтверждения диагноза.
Основные причины разрушений
Хрящевая ткань деформируется, стирается и повреждается под влиянием разнообразных факторов. Например, у пожилых людей хрящевые структуры изнашиваются из-за физиологического старения организма. В этом случае разрушения предупредить сложно, так как отсутствие необходимых питательных элементов тяжело восполнить извне. У молодых женщин и мужчин хрящ коленного сустава или тазобедренного изнашивается по таким причинам:
- прогрессирование патологий дегенеративно-деструктивной природы,
- тяжелые физические перенагрузки, связанные с профессиональной деятельностью,
- несбалансированное и скудное питание,
- обменные и аутоиммунные нарушения,
- злоупотребление вредными привычками,
- занятия активным видом спорта,
- травматическое повреждение хряща вследствие ударов, ушибов и переломов,
- генетическая предрасположенность,
- малоактивный образ жизни.
Характерные симптомы
Разрушение костной ткани, суставов и хрящей сопровождается выраженной симптоматикой, которую по мере прогрессирования проблемы не удается игнорировать. В первую очередь наблюдается нарушение подвижности конечности, что влияет на саму походку больного: появляется хромота или перекос на одну сторону. Полость суставного сочленения уменьшается в размерах, из-за отсутствия хрящика происходит стирание костей, образующих соединение.
По мере прогрессирования разрушительных процессов, состояние человека ухудшается. Начинают беспокоить боли в коленях и других суставах во время движений или отдыха. Если хрящ поврежден вследствие травм, и на нем образовались трещины, возможно инфекционное воспаление, образование отеков и гематом. Чтобы найти наилучший способ устранения проблемы, нужно посетить врача, который сможет помочь подобрать правильную схему терапии. Благодаря ей хрящ восстановится без хирургического вмешательства.
Что нужно делать для восстановления хрящевой ткани суставов?
Восстановление хрящевой ткани коленного сустава и других сочленений — процесс длительный, улучшения наступают не сразу, поэтому больному нужно запастись терпением. Схема терапии обязывает регулярно принимать определенные группы препаратов, выполнять физические упражнения, посещать курсы физиотерапии и массажа. Если консервативное лечение не поможет улучшить ситуацию, поврежденный хрящ восстанавливается с помощью оперативного лечения.
Препараты
Укрепить, восстановить и нарастить межсуставные хрящики помогут лекарства, которые входят в группу хондропротекторов. В зависимости от механизма влияния, количества компонентов, эффективности и основного действующего вещества, различают следующие виды хондропротекторов:
- На основе хондротин сульфата. Хондротин непосредственно участвует в формировании хрящевых структур, укрепляет их, стимулирует регенерацию и восстановление. С помощью средств на основе хондротина удастся восстановить суставы, нормализовать их функционирование. В эту группу входят такие препараты для восстановления хрящевой ткани суставов:
- «Структум»,
- «Хондрогард,
- «Хондроитин»,
- «Хондролон»,
- «Артрин».
- На основе глюкозамина. Лекарства с этим незаменимым веществом укрепляют структуру хрящевой ткани, стимулируют ее восстановление и наращивание. Лучшие препараты для суставов этой группы:
- «Дона»,
- «Эльбона»,
- «Глюкозамина сульфат»,
- «Сустилак».
- На основе составляющих животных. Такие препараты содержат в составе элементы хрящей и костей животных. Хрящевые структуры эффективно восстанавливаются при использовании таких средств, но есть и минусы — риск аллергической реакции на чужеродный белок. Лучший препарат этой группы — «Румалон», с которым делают уколы для восстановления хрящевой ткани. Также хорошо зарекомендовал себя пищевой гель «Акулий хрящ».
Болит суставной хрящ колена. Боль в коленном суставе: причины, лечение, почему болят колени, что с этим делать, как и чем их лечить
На изображении справа заметно сращение суставной щели.
Коленный сустав является одним из самых крупных и сложных. Ежедневно он подвергается огромной нагрузке, поэтому неудивительно, что периодически он перестает функционировать нормально.Если, причем боль практически постоянная, то необходимо обязательно. Такое патологическое состояние может быть сигналом о развитии одного из, деформирующего сустав. Естественно, необходимо научиться различать ситуации, когда визит к врачу очень нужен. Но отсутствиеили самостоятельная терапия может привести к осложнениям.
Строение коленного сустава
Важно знать! Врачи в шоке: "Эффективное и доступное средство от боли в суставах существует…"…
Чтобы лучше понять, почему болят колени, нужно разобраться с их анатомией. Итак, сочленение состоит из бедренной, большой берцовой кости и коленной чашечки. Две самые большие кости имеют по два выступа: внутренний и наружный мыщелки.

Все поверхности, которые соприкасаются друг с другом, покрыты гиалиновым хрящом. Благодаря ему обеспечивается подвижность коленного сустава, его амортизационные свойства. Вокруг этого соединения костей находится своеобразная капсула, изнутри выстланная синовиальным слоем. Она наполнена, благодаря которой производится питание сочленения, обеспечивается его подвижность.
Коленный сустав состоит не только из костей. Все его элементы объединяются крестообразными и коллатеральными связками, бедренными мышцами, сухожилиями. Коленная чашечка крепится к другим элементам посредством собственной связки. Для того чтобы колено двигалось, необходимо 6 синовиальных сумок. Питание и иннервация представленного сустава осуществляется посредством нервов и кровеносных сосудов, которые размещены в мягких тканях, окружающих сустав.
Боль в коленном суставе: причины появления
Если колено стало болеть, появился отек, подвижность ограничена, а дискомфорт является достаточно сильным, необходимо срочно обратиться к врачу. Если деструктивный процесс уже начался, то полностью вылечить колено будет невозможно. Однако остановить или замедлить его прогрессирование удастся.
Итак, можно выделить такие причины боли в коленном суставе:
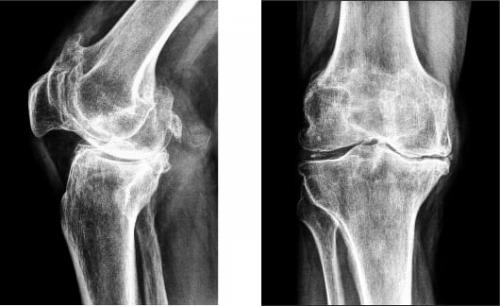
- гонартроз . Он встречается практически в 50% всех случаев поражения сочленения. Патология развивается очень долго. Среди симптомов этой болезни можно выделить такие: колено не болит в состоянии покоя, однако человеку становится трудно, долго ходить,. Во время движения больной слышит, у него снижается подвижность. Со временем, вследствие изнашивания хряща, расстояние между костными поверхностями уменьшается. При этом появляются, нервы и сосуды сдавливаются, а само колено деформируется;

Гонартроз коленного сустава на рентгене.

Восстановление хрящевой ткани препараты. Производные глюкозаминогликанов
Препараты для суставов с глюкозамином способствуют восстановлению хрящевых тканей. Этот моносахарид является предшественником их структурных единиц — гликозаминогликанов. При нормальном состоянии здоровья глюкозамин вырабатывается в организме в достаточном количестве. Из него биосинтезируется хондроитин, он входит в состав синовиальной жидкости, корректирует метаболизм костных и хрящевых тканей. Снижение выработки хондропротектора приводит к их деструктивно-дегенеративным изменениям. Ревматологи и травматологи рекомендуют устранять возникший дефицит дополнительным приемом глюкозамина гидрохлорида или глюкозамина сульфата. Какие препараты может назначить врач:
- Дона. Выпускается в виде таблеток, порошков для перорального приема и инъекционных растворов. Препарат оказывает выраженное противовоспалительное и анальгезирующее действие, способствует выработке хондроцитов. Показания — остеоартроз коленного , лучезапястного и тазобедренного суставов , периартрит колена , деформирующий артроз . Таблетки принимают по 1-2 шт. ежедневно за полчаса до еды. Порошок разводят в 200 мл воды и употребляют раз в сутки. Терапевтический курс — 1-2 месяца;

- Глюкозамин. Производится в таблетках и порошках для приготовления раствора. Лекарственное средство рекомендовано к использованию пациентам с артрозом и остеоартрозом позвоночника и суставов. Применение на начальной стадии разрушения сочленения помогает быстро купировать симптоматику и восстановить поврежденные ткани. Глюкозамин принимают по 2 таблетки или 1 водному разведению порошка в течение дня. Лечение продолжается от 1 до 3 месяцев. При необходимости врач может продлить терапевтический курс;
- Артифлекс. Выпускается в виде одной лекарственной формы — порошков для приготовления раствора. Саше разводится в 200 мл теплой воды и принимается ежедневно во время еды. Длительность терапевтического курса составляет от 2 до 3 месяцев, а затем делается двухмесячный перерыв. При тяжелых суставных патологиях необходимо принимать Артифлекс 2-3 раза в год. Показания — остеопатия, хондропатия , спондилоартроз , остеоартроз. В качестве профилактического средства он рекомендован людям, активно занимающимся спортом и (или) регулярно испытывающим повышенные физические нагрузки.
Восстановление хрящевой ткани колена. Препараты для восстановления хрящевой ткани суставов: мифы и реальность
Проблема восстановления хрящей актуальна для более чем 80% людей старше 65 лет, страдающих от. Пока не изобретено универсальное средство, возобновляющее структуру хрящей и полностью излечивающее патологию. Однако есть препараты для восстановления хрящевой ткани суставов, обладающие хондропротекторным и регенерирующим действием.

Вид на поражённую хрящевую поверхность.
Ни один из существующих препаратов для восстановления суставов не в состоянии. Некоторые из них замедляют дегенеративные процессы, облегчают самочувствие больного, но не спасают от патологии.

Стадии артроза коленного сустава. Обратите внимание на сужение суставной щели.
Все медикаментозные средства эффективны лишь—, но бессильныи IV. Если в патологию вовлечены не только суставы, но и кости, никакой препарат не поможет. В этом случае избавиться от хронических, трудностей при ходьбе, ограниченной подвижности суставов и других неприятных симптомов можно только с помощью операции.
Хондропротекторы
Важно знать! Врачи в шоке: "Эффективное и доступное средство от боли в суставах существует…"…
Популярные и широко используемые лекарства для восстановления хрящевой ткани суставов — это. До недавних пор в научных кругах велись активные споры об эффективности этих препаратов в борьбе с остеоартрозом.
Хондропротекторы повышают устойчивость хрящей к воздействию повреждающих факторов, облегчают боли, снимаюти даже повышают активность хондроцитов. Препараты эффективны в восстановлении хрящевой ткани суставов у лиц с начальными стадиями остеоартроза.
Рекомендуем к просмотру сугубо научный анализ источников исследований эффективности хондропротекторов от Бориса Цацулина:
Существуют три поколения хондропротекторов. К первому относятся препараты, изготовленные из натуральных компонентов (,), ко второму – монопрепараты (, Структум, Артрадол), к третьему – комбинированные средства (, Артра, Глюкозамин-Хондроитин Плюс, Кондронова). Наиболее эффективны лекарства III поколения.
Хондропротекторы выпускаются в виде мазей, таблеток, растворов для внутримышечного или внутрисуставного введения. Наружные формы применяются в основном для леченияи. Внутримышечные и внутрисуставные инъекции назначают редко, хотя инъекционное введение лекарств повышает их биодоступность.

Врачи рекомендуют пациентам таблетированные формы хондропротекторов. Лекарства принимают курсами по 2-3 месяца. В год достаточно проходить 3-4 курса терапии.

