Отложение соли в суставах. Тревожные симптомы
- Отложение соли в суставах. Тревожные симптомы
- Мазь от отложения солей в суставах. Причины замедления выведения мочевой кислоты почками
- Отложение солей в суставах пальцев рук. А может, это кальциноз?
- Таблетки от отложения солей в суставах. Лечение подагры суставов
- Отложение солей на плечах. Кальцифицирующий тендинит ротаторной манжеты плеча (Кальцифицирующий тендинит плеча)
- Отложение солей в суставах, как лечить. Клинические формы подагры
Отложение соли в суставах. Тревожные симптомы
Сначала похрустывание пальцев, потом суставов рук, ног, верхнего плечевого пояса, тазобедренных суставов. Потом внезапная, но непродолжительная боль в суставах рук или ног. Далее ноющая боль, позже боль долго не прекращающаяся ни днём, ни ночью, и вот образование твёрдых наростов, онемение сустава. Налицо отложение солей в суставах, симптомы которых свидетельствуют о запущенности болезни.
Как итог, плохое самочувствие, нервозность, отсутствие работоспособности, осознание собственной неполноценности и непреодолимое желание избавиться от постоянной сверлящей боли во всём теле. Всё начинается банальным похрустыванием, а заканчивается:

Неправильное питание приводит к отложению солей
- мочекаменной болезнью (отложение солей в почках),
- подагрой (в суставах ног),
- остеохондрозом (в позвоночнике),
- радикулитом (в нервных окончаниях).
Причины отложения солей бывают самые разные.
- Питание. Несбалансированное питание, обилие острой, мясной пищи. Неумеренность в еде, избыток веса всё постепенно приводит к тому, что организм не успевает выводить мочевую кислоту из организма.
- Вредные привычки. Табакокурение. Постоянное употребление алкоголя, особенно пива.
- Нарушения эндокринной системы. Сбои в работе желёз внутренней секреции провоцируют работу водно-солевого обмена.
- Общее снижение кровообращения. Из-за недостаточной физической активности мышцы совершают однообразное движение, деформируются. Организм начинает накапливать в этом участке соли. Такое происходит при работе с техникой малой механизации (дрелью, кувалдой, отбойным молотком), от сколиоза, распространённому у школьников, от сидячей работы, в частности, за компьютером.
- Чрезмерная нагрузка на суставы. Постоянное ношение обуви на каблуке женщинами и девушками. Опорные прыжки у спортсменов, каскадёров.
- Переохлаждение. Быстро подвергаются заболеванию суставы тех, чья работа постоянно находиться на холоде: бетонный пол цеха, резиновая обувь или перчатки для работы с продукцией, требующей обработки в холодной воде.
Мазь от отложения солей в суставах. Причины замедления выведения мочевой кислоты почками
Нозологические формы и клинические синдромы:
- хроническая почечная недостаточность;
- заболевания почек с преимущественно интерстициальными и канальцевыми нарушениями (поликистоз почек, анальгетическая нефропатия, гидронефроз);
- свинцовая нефропатия;
- обезвоживание;
- диабетический кетоацидоз;
- гиперпродукция молочной кислоты;
- преэклампсия;
- ожирение;
- гиперпаратиреоз;
- гипотиреоз;
- саркоидоз;
- хроническая бериллиозная интоксикация.
Лекарства и хронические интоксикации:
- тиазидовые диуретики;
- циклоспорин;
- низкие дозы салицилатов;
- противотуберкулезные препараты (пиразинамид);
- этанол;
- леводопа.
Выделяют также первичную и вторичную подагру. При первичной подагре какое-либо фоновое заболевание, предшествующее ее развитию, отсутствует. В основе такой подагры лежит семейно-генетическая аномалия пуринового обмена, детерминированная несколькими генами, или так называемый «конституциональный диспуризм». Исследования уратного гомеостаза показали аутосомно-доминантный тип наследования таких аномалий. В частности, это наблюдается при врожденных нарушениях в содержании энзимов, занимающих ключевое положение в метаболизме пуринов. Так, при снижении активности гипоксантин-гуанин-фосфорибозилтрансферазы происходит увеличение ресинтеза пуринов из нуклеотидов, что способствует развитию синдрома Леша-Найхана. Этот синдром встречается только у детей и у лиц молодого возраста и обычно заканчивается уратной нефропатией с летальным исходом. При высоком содержании фосфорибозилпирофосфата также наблюдается метаболический тип гиперурикемии, так как этот фермент участвует в синтезе предшественников мочевой кислоты. Что касается вторичной подагры, то она является одним из синдромов другого заболевания, «второй болезнью», развивающейся при многих патологических процессах и чаще всего при хронической почечной недостаточности.
Отложение солей в суставах пальцев рук. А может, это кальциноз?
Иногда в суставах происходят патологические процессы, связанные непосредственно с нарушением солевого обмена. Кальциноз – это отложение в тканях и органах солей кальция из-за сбоев в работе паращитовидных желез. Другие причины – заболевания костей, почек, гипервитаминоз Д.
Различают две разновидности болезни:
- метаболический кальциноз развивается из-за местного нарушения метаболизма в тканях, при этом соли откладываются в мышцах, коже и подкожно-жировой клетчатке;
- метастатический – вызван высокой концентрацией соли в крови (гиперкальциемия), поэтому они откладываются на стенках сосудов и во внутренних органах.
Если концентрация солей в организме нормальная, они растворены в жидкости и участвуют в разных процессах. При перенасыщении – осаждаются в органах и тканях, на зубах и в сосудах, образуя выросты величиной от небольших горошин до образований с грецкий орех. Наиболее распространенные места локализации – кисти рук, локти, нижние конечности, ушные раковины, спина, ягодицы и крупные суставы.
Подобные участки с «отложением солей» подвижные и плотные на ощупь, а их пальпация не вызывает у человека боли, за исключением плечевого сустава. Кожа над ними вытягивается и приобретает синий оттенок, однако воспаление отсутствует. Со временем образования становятся мягче, из них выделяются белесые крупинки – известь, которая и помогает поставить диагноз «кальциноз».

Таблетки от отложения солей в суставах. Лечение подагры суставов
Чтобы понять, чем лечить подагру на руках, и сделать точный диагноз относительно ее наличия в организме, специалисты направляют пациентов на следующие исследования:
- Биохимический анализ крови.
- Рентгенография.
- Забор материала из подагрических узлов (биопсия).
- Анализ мочи.
- Макроскопическое и микроскопическое исследование суставной жидкости.
Эти у другие необходимые анализы можно сдать в нашем медцентре.
После того, как пациенту будет выставлен диагноз, врач составляет лечебный план, который включает:
- Применение медикаментозных средств.
- Соблюдение диетического режима питания.
- Массажные процедуры.
- Акупунктура.
- Грязелечение.
- Гимнастические упражнения.
- Физиотерапевтические процедуры.

При надлежащем выполнении всех мероприятий удается вернуть суставу двигательную подвижность, предупредить негативные последствия и появление повторных приступов.
Способ лечения подагры при обострении на руке медикаментозными средствами направлен на купирование болезненных ощущений и устранение воспалительного процесса. Также больному рекомендуется принимать урикозурические препараты, позволяющие быстро вывести избыток солей из организма и снять отеки рук при подагре.
Однако, так как отложение солей уратов происходит из-за чрезмерного употребления «пуриновых» продуктов, основное внимание следует уделить диетическим принципам питания. Основное условие – полный отказ от алкогольных продуктов, а также следует исключить от рациона:
- Сладкие продукты.
- Специи.
- Жирные сорта рыбы.
- Красные сорта мяса.
- Газированные напитки.
- Острые жидкие приправы.
В ежедневном рационе должны присутствовать молочные и растительные продукты. Мясные блюда следует готовить на пару и принимать в ограниченных количествах. Кроме того, мясные бульоны следует заменить овощными.
В нашем медцентре можно пройти УЗИ для выявления различных патологий и заболеваний на современной аппаратуре.
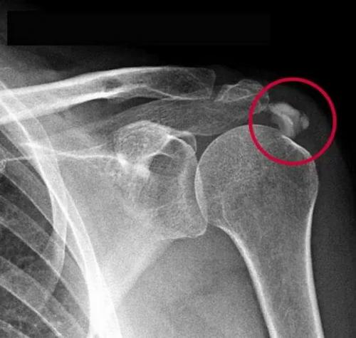
Отложение солей на плечах. Кальцифицирующий тендинит ротаторной манжеты плеча (Кальцифицирующий тендинит плеча)
Кальцифицирующий тендинит плеча (плечевого сустава) – это заболевание при котором происходит отложение солей кальция (гидроксиапатита кальция) в сухожилиях и мышцах вращательной манжеты плеча. При этом возникает реактивное воспаление тканей вокруг кальциевых отложений, что сопровождаться интенсивной болью, местным повышением температуры, отечностью задействованных в патологическом процессе тканей и ограничением объема движений в плечевом суставе.
Впервые появление кальцитатов в области плечевого сустава описал C. F. Painter в далеком 1907 году. Более подробно патологию, с точной локализацией проявления в толще сухожилий ротаторной манжеты плечевого сустава, описал E. A. Codman в 1934 году.

Кальцифицирующий тендинит плеча довольно распространенное заболевание
Наиболее часто оно возникает у лиц старше 40 лет. По статистике чаще патология встречается у женщин возрастом 30-50 лет. По локализации возникновения чаще всего отложения солей кальция обнаруживают в сухожилии надостной мышцы (приблизительно 80% случаев) остальные случаи – подлопаточная, подостная мышца или одновременная локализация в нескольких мышцах и сухожилиях.


Отложения солей кальция иногда достигают существенных размеров и становятся серьезной проблемой в жизни человека.


Причины кальцифицирующего тендинита
На сегодняшний день точные причины кальцифицирующего тендинита не известны, однако существует две гипотезы.
- Формирование отложение кальция из-за дегенеративного изменения в волокнах сухожилий.
- Формирование отложения кальция из-за нарушения кровообращения, из-за недостатка кислорода или воспалительные реакции от местных давлений на сухожилия (микротравм).
По причине возникновения кальцифицирующего тендинита их разделяют на два различных типа:
- дегенеративная кальцификация;
- реактивная кальцификация.
Процессы изнашивания (дегенерации) при старении являются основной причиной дегенеративной кальцификации. По мере старения кровоснабжение сухожилий вращательной манжеты уменьшается, что приводит к ослаблению сухожилий. Данное явление, за счет утраты эластичности волокон сухожилий, сопровождается их микронадрывами (микротравмами). И в поврежденных сухожилиях одновременно с регенерацией происходят процессы отложения кальцинатов.
Реактивная кальцификация отличается от дегенеративной. Механизм развития этого типа кальцификации не до конца ясен. Этот тип кальцификации не связан с дегенеративными изменениями и гораздо чаще является причиной болей в плече, чем дегенеративный кальцифицирующий тендинит. Считается, что развитие реактивного кальцифицирующего тендинита проходит в три этапа. В начальной стадии кальциноза происходят изменения в сухожилиях, при которых формируются условия для формирования кальцинатов - нарушение питания тканей и кислородное голодание. В стадии кальцинации происходит отложение кристаллов кальция в сухожилиях. Но на этой стадии кальцинаты рассасываются (реабсорбируются) организмом. Именно на этом этапе появление болей наиболее вероятно. В пост-кальцинатном периоде организм восстанавливает сухожилие, и поврежденная ткань заменяется новой тканью. Механизм запуска абсорбции кальцинатов организмом не выяснен, но как только это происходит, и ткань начинает регенерировать, боль обычно уменьшается или исчезает совсем.
Отложение солей в суставах, как лечить. Клинические формы подагры
Бессимптомная гиперурикемия — повышение уровня мочевой кислоты в крови без клинических проявлений подагры.
Острый подагрический артрит. Приступ обычно наступает на утро после застолья, злоупотребления алкоголем, после повышенной физической нагрузки и инфекционных заболеваний. При остром подагрическом артрите возникает резкая, невыносимая боль в большом пальце стопы, температура тела повышается до 39 °C , кожа над поражённым суставом приобретает синюшо-багровый окрас.
Межприступная (интервальная) подагра. Без лечения у 62 % пациентов повторный приступ развивается в течение первого года, в течение двух лет – у 78 %. Продолжительность бессимптомного периода со временем сокращается, приступы становятся всё тяжелее, затрагивая новые суставы.
Хронический подагрический артрит . Дальнейшее отложение кристаллов моноурата натрия приводит к развитию хронического болевого синдрома, значительным деформациям суставам и нарушениям их функций, особенно суставов стоп и кистей.
Хроническая тофусная подагра. Характеризуется появлением тофусов — очаговых скоплений кристаллов мочевой кислоты в тканях в виде узлов. Обычно они располагаются подкожно, но иногда образуются в костях и других органах. Тофусы, как правило, безболезненны, кожа над ними может изъязвляться и инфицироваться.
От первой "атаки" болезни до развития хронической подагры проходит в среднем 11,6 лет, темпы развития заболевания зависят от выраженности гиперурикемии.
.