Реабилитация после операции замены суставов в Москве. Ход операции
- Реабилитация после операции замены суставов в Москве. Ход операции
- Реабилитация после замены тазобедренного сустава в домашних условиях. Первая фаза (до 4 дня после установки эндопротеза)
- Бесплатная реабилитация после эндопротезирования тазобедренного сустава. Этапы восстановления после операции на сустав
- Реабилитация после операции на тазобедренном суставе. Упражнения в раннем периоде после замены сустава
- Реабилитация после эндопротезирования по омс в москве. Программы реабилитации в условиях стационара
- Реабилитация после эндопротезирования по омс. Как москвичу получить услуги по реабилитации
- Реабилитация после эндопротезирования коленного сустава. Замена коленного сустава, реабилитация после операции
- Как получить направление на реабилитацию после эндопротезирования. Когда нужна реабилитация в центре
Реабилитация после операции замены суставов в Москве. Ход операции
Перед операцией выполняют спинальную или общую анестезию:
- Спинальная анестезия. Обезболивающий препарат вводится через иглу, помещенную между первым и вторым поясничным позвонком. Спинальное обезболивание приводит к онемению нижней половины тела, пациент находится в сознании.
- Общая анестезия. Чаще всего используется при эндопротезировании. В зависимости от продолжительности операции может быть рекомендована общая внутривенная анестезия, чтобы находиться без сознания во время процедуры
Продолжительность операции по замене сустава зависит от того, какой из них подлежит протезированию, в среднем составляет два часа. Во время операции поврежденный хрящ и часть кости удаляются. Эндопротез имитирует форму и движение естественного сустава.
Эндопротезирование тазобедренного сустава бывает тотальным, меняются все суставные поверхности, и однополюсные, меняется только на головке бедренной кости ( используется редко у ослабленных пациентов после перелома шейки бедра). По методу фиксации различают цементное и бесцементное эндопротезирование, последнее фиксируется за счёт врастания в компоненты костной ткани.
Эндопротезирование коленного сустава бывает тотальным, когда поврежденный хрящ заменяется протезом полностью, одномыщелковым меняется половина поврежденных структур и точечным- меняется непосредственно повреждённый участок хряща.
Протезирование плечевого сустава заключается в замене основных суставных структур: суставной впадины лопатки и головки плечевой кости. Далее выполняется проверка функции и ушивание операционного доступа. Пациента переводят в палату.
Реабилитация после замены тазобедренного сустава в домашних условиях. Первая фаза (до 4 дня после установки эндопротеза)
Полноценное восстановление после эндопротезирования тазобедренного сустава начинается со 2 по 4 день после операции. Это первая (1) восстановительная фаза, в течение которой больной учится:
- приподниматься и присаживаться;
- передвигаться с ходунками или костылями.
К движениям, которые рекомендуют выполнять сразу после установки протеза, добавляют несколько более сложных:
- Не отрывая стопу от поверхности матраса и не сгибая ногу в протезированном суставе больше чем на 90 градусов, подтягивайте пятку к тазу.
- Не отрываясь от поверхности, отведите протезированную конечность вбок (на 15–20 см).
- Приподнимите ту же ногу на 10–15 см над кроватью, удерживая принятое положение на протяжении 3–5 секунд.
- Лягте на спину, положите между бедрами сверток из одеяла. На 5 секунд напрягите мышцы, расположенные на внутренней поверхности бедра.

Отведение протезированной конечности в боковую сторону и обратно
После того, как пациенту разрешат вставать и передвигаться, комплекс дополняют.
Встаньте на здоровую ногу, поддерживайте равновесие, взявшись руками за устойчивую опору (кровать, ходунки). Упражнения делайте протезированной ногой:
- Не полностью согните коленный сустав, чтобы приподнять стопу на 10–15 см от поверхности пола и отвести ее назад.
- Отведите прямую ногу немного вбок (не более чем на 30 градусов).
- Не полностью согните коленный сустав, чтобы оторвать стопу от пола на 10–15 см и отведите ее вперед.

Отведение стопы назад и в боковую сторону с опорой на спинку стула
Гимнастика выполняется:
- неторопливо, без рывков;
- в течение каждого часа (допустимо не весь комплекс, а только часть, по 10 повторов на каждое движение);
- в сочетании с глубокими, сильными вдохами на напряжение, выдохами на расслабление мышц.

Бесплатная реабилитация после эндопротезирования тазобедренного сустава. Этапы восстановления после операции на сустав
Эндопротезирование — это эффективный метод лечения существенных патологических изменений в суставе. На место повреждения ставится имплант, который имеет форму здорового сустава и выполняет такие же функции, что и натуральный. С протезом пациент может выполнять весь объем движений, не чувствовать при этом боль, а значит — вести активную полноценную жизнь.
Чтобы диагностировать проблему в суставах, врач назначает серию стандартных рентгеновских снимков. Для оценки целостности кости может потребоваться компьютерная томография, а для определения состояния важных окружающих мягких тканей — магнитно-резонансная томография (МРТ).
Сделать эндопротезирование в России можно бесплатно, так как на эти операции выделяются квоты. Чтобы получить высокотехнологичную помощь по квоте, необходимо:
- получить направление от лечащего врача;
- пройти медицинские исследования, чтобы уточнить диагноз;
- получить положительное решение о квоте у комиссии органа управления здравоохранением региона и клиники, где будет проходить операция.
В конце долгого сбора документов, а также подтверждения комиссии, пациент получает разрешение на предоставление высокотехнологичной медицинской помощи.
После выписки необходима физическая реабилитация после эндопротезирования суставов, чтобы привыкнуть к импланту, скорректировать походку, научиться распределять вес тела при ходьбе, нагрузку при выполнении бытовых дел или на работе.
Этапы реабилитации после эндопротезирования включают послеоперационный и реабилитационный периоды. Состояние здоровья через неделю после операции отличается от физических возможностей через полгода. Это необходимо понимать, начиная ходить, носить тяжести, нагружать себя работой по дому и в саду.
Периоды реабилитации после эндопротезирования
1 день после операции | Восстановление после анестезии около 6 часов, постельный режим. |
2-3 день после операции | При благоприятном заживлении можно встать с кровати под присмотром медицинского специалиста, пройтись с ходунками около 20 минут при эндопротезировании нижних конечностей. При оперировании руки — можно совершать первые нерезкие движения. |
4-5 день после операции | Самостоятельно вставать, доходить до другой комнаты, например, в туалет, без посторонней помощи. По-прежнему будет чувствоваться небольшая боль. |
от 5 до 10 дней после операции | Важно следить за состоянием послеоперационного шва. При первых признаках инфекции: покраснение или выделения из разреза, необходимо сразу вызвать врача. В это время уже можно двигать прооперирвоанной конечностью, делать физические упражнения, чтобы предотвратить скованность, улучшить кровообращение, ускорить выздоровление. |
от 10 до 14 дней после операции | В это время врач удалит швы. При благоприятном заживлении можно ходить без трости или ходунков при эндопротезировании нижних конечностей, активно двигать рукой — при эндопротезировании руки. |
от 3 до 6 недель после операции | Как правило, после операции на нижней конечности при ходьбе на длительные расстояния еще нужны ходунки или трость, так как могут быть проблемы с силой и равновесием. При операции на руке — нельзя носить тяжести, делать резкие движения. |
спустя 10 недель и до года | Возвращение к нормальной деятельности, движения без боли. Важно внимательно следить за своим самочувствием. При первых признаках нестабильности сустава или снова возникшей боли, необходимо обратиться к врачу. Это может быть признаком, что имплантат изнашивается или поврежден. |
Реабилитация после операции на тазобедренном суставе. Упражнения в раннем периоде после замены сустава
Методические рекомендации от первых дней и до 3-ей недели реабилитации исполняются в разных позициях пациента. Их можно выполнять самостоятельно дома, но после обсуждения такой возможности с врачом. В наилучшем варианте рекомендуется проводить подобные занятия в стенах реабилитационного учреждения, поскольку только здесь будет обеспечен контроль за правильностью исполнения и исключен риск причинения человеком себе вреда из-за некорректных движений. Также это может быть частный пансионат для пожилых .
Важным замечанием служит необходимость напряжения мышц Кора во всех предлагаемых гимнастических вариациях. Под этим термином подразумевается совокупность мышечной ткани, расположенной в различных частях посередине тела (захватывая талию и таз). Потребность в понимании строения человеческого организма также говорит в пользу рекомендации об обращении к профессиональным реабилитационным услугам. Отдельные упражнения и гимнастика после замены тазобедренного сустава при эндопротезировании подразумевают разные исходные позиции.
Сидя:
- Движение коленом: выпрямление с подложенной под него подушкой / подъем с подложкой под ягодицами и стопой параллельно полу (единожды за день по 6-8 повторов).
- Дыхательная гимнастика с прямой спиной и расслабленными плечами: вдыхаем носом и чувствуем движение ребер (ежечасно по 6 подходов).
- Стрейчинг: зажать между бедрами свернутое в валик полотенце, поднять одну ступню и выпрямить коленную чашечку (по рекомендации врача).

Лежа на спине:
- Выпрямление оперированной конечности из позиции согнутой (изначально обе поставлены на уровень плеч): зафиксировать поясницу и таз, а затем скользящим движением выпрямить ногу. Также осуществлять возврат в исходное положение (трижды в день по 6-8 заходов).
- Напряжение обеих ягодиц: свести их вместе и задержать на несколько секунд (частота исполнения, как и в предыдущем пункте). Иной вариант делается в сидячем положении с подставкой под ступнями: подложить ладони под седалищные бугры, чтобы почувствовать как они приподнимаются, когда будут сжиматься ягодичные мышцы.
- Скольжение ногой кнаружи лежа на спине (показано не всем): зафиксировать тазовый и поясничный отделы, а затем отвести прямую конечность, скользя пяткой по простыни. Пальцы направлены вверх (тот же количественный подход к выполнению).
Стоя:
- Стрейчинг голени: встать сзади опоры и поставить одну стопу на твердую подложку в 7-8 см толщиной, напрячь ягодицы (сдвинув их друг к другу) и выдвинуть таз вперед до натяжения по задней поверхности голени. Удержание в течение 30 секунд (ежедневно один раз, 3-4 подхода).
- Разгибание бедра: стоя на здоровой конечности, поднять оперированную назад и вверх, не закручивая таз. Добиться при этом незначительного изгиба в пояснице (пропуская одни сутки по 8-15 повторений).
- Перенос веса в разные стороны: напрячь ягодицы (по направлению вовнутрь), чтобы не двигать ими, продавливая поочередно пол (трижды в день по 6-8 повторов).
Перечисленные вариации являются примерами. Сегодня имеется масса иных упражнений после операции эндопротезирования на тазобедренном суставе. Квалифицированный специалист сможет определить наиболее подходящие для конкретного пациента. А иногда и модернизировать их под индивидуальные характеристики.

Реабилитация после эндопротезирования по омс в москве. Программы реабилитации в условиях стационара
На базе ОБП у вас есть уникальная возможность получить квалифицированную реабилитационную помощь на всех этапах лечения.
Программа разработана для пациентов после операций на суставах (после эндопротезирования тазобедренного, коленного суставов), артроскопии на коленном и плечевом суставе, операций на позвоночнике (холодноплазменная нуклеопластика, вертебропластика). Возможно остаться на реабилитацию сразу после оперативного вмешательства, а также госпитализироваться по реабилитационной программе спустя один и более месяца после операции.
| Название услуги | Стоимость, руб. |
Программа реабилитации после эндопротезирования, операций на коленных суставах, позвоночникеВ программу входит:
Процедуры назначаются врачами-специалистами, при наличии противопоказаний к каким-либо процедурам они заменяются альтернативными | 83 700 или 119 000 |
Особенности реабилитации в ранний послеоперационный период: все лечебные процедуры и занятия лечебной физкультурой с пациентом проходят в палате.
ЛФК: для этого этапа назначаются два занятия лечебной физкультурой по 30 минут в палате и с выходом в коридор. Для пациентов после эндопротезирования ‒ обучение ходьбе по лестнице.
Физиотерапия включает 10 процедур массажа, в основном это воротниковая зона для снятия напряжения мышц плечевого пояса и профилактика обострения шейно-грудного остеохондроза при хождении на костылях. По показаниям назначается лазеротерапия, магнитотерапия, лимфодренажный массаж с аппаратом «Хивамат», импульсные токи.
Рефлексотерапия: для этого этапа можно использовать дистанционную рефлексотерапию ‒ ауриколотерапию и методы классической рефлексотерапии ‒ иглотерапию.
Реабилитация после эндопротезирования по омс. Как москвичу получить услуги по реабилитации
В Москве функционирует 10 реабилитационных учреждений, подведомственных столичному Департаменту труда и соцзащиты. На комплексную реабилитацию и абилитацию могут рассчитывать взрослые и маленькие москвичи с ограниченными возможностями здоровья и инвалидностью. Рассказываем, как стать получателем услуг.
Индивидуальный подход
Главная задача реабилитационных и/или абилитационных курсов — повысить качество жизни и помочь адаптироваться в социально-бытовом и профессиональном аспектах.
Так как у всех людей могут быть разные формы инвалидности и тяжести заболевания, не существует единой программы по восстановлению. Для каждого человека с инвалидностью реабилитационный курс разрабатывается индивидуально.
Как получить ИПРА
Для того чтобы получить справку об инвалидности, необходимо пройти медико-социальную экспертизу (далее — МСЭ). В случае присвоения степени инвалидности, вместе со справкой человек получает Индивидуальную программу реабилитации или абилитации (далее — ИПРА), в которой прописаны все врачебные рекомендации относительно медицинских процедур, необходимых технических средств реабилитации, заключение психолога и другие детали.
ИПРА разрабатывается на один, два года или бессрочно. Если в программу необходимо внести изменения, то оформляется новое направление на прохождение МСЭ.
Куда обращаться
Для достижения положительной динамики человек с инвалидностью должен следовать рекомендациям, указанным в программе. Чтобы начать получать услуги в центрах реабилитации столичного Департамента труда и соцзащиты — необходимо встать на учет в территориальном центре социального обслуживания по месту жительства. Количество ежегодных курсов индивидуально: кому-то требуется 1 курс, кому-то — несколько.
Регулярно столичный Департамент труда и соцзащиты присылает в округа квоты на реабилитационные курсы. Их количество пропорционально числу проживающих в округе людей с инвалидностью.
Изучая историю заболевания, показания и противопоказания к определенному курсу реабилитации, сотрудники ТЦСО формируют основные и резервные списки реабилитантов. Если человек из основного листа отказывается от курса, то пройти реабилитацию предлагают кандидату из резервного списка. Если отказов нет, то людей из резервного листа ставят в очередь на следующий курс.
При возникновении вопросов о своем месте в очереди или о возобновлении работы реабилитационных центров, пожалуйста, обращайтесь в территориальные центры социального обслуживания по месту жительства или пишите обращение через интернет-приемную столичного Департамента труда и соцзащиты.

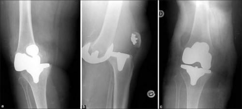
Реабилитация после эндопротезирования коленного сустава. Замена коленного сустава, реабилитация после операции
Реабилитация после эндопротезирования имеет первостепенное значение для обеспечения безболезненного функционирования сустава и улучшения качества жизни пациента. Операция попоказана для лечения болезненных и инвалидизирующих патологий, вызванных различными формами, тяжелыми травмами. Хирургом-ортопедом выполняется полная или частичная замена износившегося суставного соединения на его анатомически точную копию.

Искусственный имплантат состоит из металлических и пластиковых элементов, абсолютно безопасных для организма. Чтобы заново научить прооперированную конечность двигаться правильно, расширить диапазон доступных движений, требуются массажи, посещение физиотерапевтического кабинета, выполнение.
Срок восстановления: когда можно ходить?
Этот вопрос — часто задаваемый среди посетителей специализированных форумов, посвящённых вопросам эндопротезирования. Прогресс сугубо индивидуален, полный возврат к нормальной деятельности возможен уже через 3—6 месяцев после процедуры, в течение которых вы будете заново строить собственную жизнь, учиться самым обыденным вещам.
Большинство имплантов позволяют сгибаться коленному суставу, но не более чем на 110 градусов.
Сложность процесса восстановления — в том, что больные артритом люди живут с изматывающими болями годами. За это время у них вырабатываются предпочтительные позы для, стояния, передвижения, становятся неактивными и атрофируются некоторые мышцы. Эти же привычки, называемые аномальными невралгиями, никуда не уходят и после того, как вы просыпаетесь в послеоперационной палате. Процесс избавления от них сложен, тернист; желательно проходить его под присмотром врача-реабилитолога.
При дегенеративных суставных заболеваниях пациентам полагается пособие по инвалидности. Для его оформления необходим сбор необходимых результатов обследования, подтверждающих неспособность самостоятельно передвигаться.
Причиной для получения аналогичного статуса может стать и реабилитация после эндопротезирования, если в результате операции вы не в состоянии выполнять привычную работу. Оказывается такая социальная помощь в течение 12 месяцев.
Как увеличить результативность реабилитации?
При соблюдении всех врачебных рекомендаций увеличение доступного диапазона движений, избавления от боли удаётся достичь 90% пациентов.
Рекомендации специалиста в зависимости от практикуемой им методики, перенесённого типа процедуры могут различаться. Обычно они включают следующие пункты:
- ранняя физическая активность – залог успешной реабилитации;
- уже на вторые послеоперационные сутки необходимо начинать присаживаться и вставать, используя в качестве опоры специальные поручни;
Встать с кровати и сходить в туалет в первые дни после операции — это уже можно назвать реабилитацией.
- покорятьпридется уже на пятый день. Причём первый шаг делается обязательно здоровой ногой;

А больная нога всегда находится между двух костылей.
- увеличение физической нагрузки происходит постепенно, чтобы не повредить имплантат;

Такое может случиться, если очень торопиться. Это вывих коленного импланта.
- после выписки домой можно приседать только на высокие стулья, а поднимать предметы без посторонней помощи или специальных приспособлений запрещено;

Наглядный пример запрещённых первое время положений.
- постоянный контроль веса;

Если есть лишний вес, то просто похудейте — это даст вам большую фору в процессе восстановления.
- сон на боку или спине разрешён только с использованием специального валика, помещаемого между ног;

Это требование больше подходит для тазобедренного сустава, но колено тоже стоит обезопасить таким образом.
- водить автомобиль позволяется лишь спустя 8 недель после процедуры;

Садиться и выходить из него нужно особым способом.
- вводите в свой рацион пищу, богатую железом, и пейте больше жидкости.
Как получить направление на реабилитацию после эндопротезирования. Когда нужна реабилитация в центре
Восстановление в реабилитационном центре — это второй этап реабилитации. Туда можно попасть из круглосуточного стационара после лечения или уже позже. Курсы реабилитации имеют смысл, пока сохраняется реабилитационный потенциал — возможность организма восстанавливаться после травмы или болезни.
После перелома руки достаточно реабилитации на дому или в дневном стационаре. Но, например, после инсульта лучше не пропускать этап реабилитации в центре по следующим причинам.
Наблюдение и уход. В центре пациент находится под круглосуточным наблюдением медицинского персонала. Если во время занятий ему станет плохо из-за того , что упала глюкоза, поднялось давление, свело мышцу, или по любой другой причине, медики сразу окажут помощь.
Адаптация. После стационара человек часто не приспособлен к жизни с ограниченными возможностями здоровья. Реабилитационные центры устроены так, чтобы пациент научился заниматься повседневными делами в новых условиях, понял, как пользоваться пандусами, поручнями, грузовыми лифтами. Кроме того, врачи объясняют, как действовать, когда удобных условий нет. Например, как встать с пола, если установлен протез тазобедренного сустава, а рядом нет ни поручней, ни людей. После этого пациенту легче обслуживать себя, когда он возвращается домой.
В центрах реабилитации есть тренажеры и оборудование, которое не установить дома и которое редко бывает в дневных стационарах, например стол-вертикализатор.
Дома, без присмотра специалистов, пациент может выполнять упражнения неправильно и навредить себе. В центре медики покажут, как заниматься правильно, будут следить за процессом и подстрахуют.
Вертикализатор нужен для пациентов, которые не могут самостоятельно стоять. В положении лежа человека закрепляют на столе, а затем меняют угол наклона. Это нужно, чтобы улучшить кровообращение. Источник:
Пройти второй этап реабилитации можно в реабилитационном отделении при многопрофильной больнице или в санатории. Они почти не отличаются от реабилитационных центров, поэтому понятия отделения реабилитации и реабилитационного центра часто объединяют.
Разница в качестве реабилитации между частным и государственным центром, который оказывает платные услуги, не всегда существенна. Например, в крупном государственном центре с хорошим финансированием иногда более новая аппаратура, они могут вести пациентов после комы или обширного инсульта. Есть частные центры, которые могут себе позволить такое, но их немного. Основное различие частных и государственных центров — цена, этот критерий разберем ниже. Вот еще по каким критериям стоит выбирать.





