Артродез голеностопного сустава. Что такое остеоартроз голеностопного сустава
- Артродез голеностопного сустава. Что такое остеоартроз голеностопного сустава
- Несостоявшийся артродез голеностопного сустава, как лечить. Общая характеристика операции
- Артродез сустава это. Артродез суставов —, что это такое?
- Артродез голеностопного сустава последствия. Что такое артродез сустава
- Артродез голеностопного сустава стержнем. Что за операция артродез голеностопного сустава?
- Артродез голеностопного сустава аппаратом илизарова. Способы выполнения артродеза
Артродез голеностопного сустава. Что такое остеоартроз голеностопного сустава
Артроз (деформирующий остеоартроз, ДОА) — это обобщающее название обширной группы заболеваний, для которых характерно изнашивание голеностопного сустава с прогрессирующей потерей его функций. Причины развития болезней могут быть различными. Однако чаще всего патология возникает вследствие тяжелых травм, сопровождающихся повреждением суставного хряща. В результате нарушается скольжение суставных поверхностей, что приводит к дальнейшему разрушению хрящей и костей. Таким образом развивается остеоартроз.
При ревматоидном артрите сначала возникает синовит — аутоиммунное воспаление синовиальной оболочки голеностопного сустава. Хрящи, кости и периартикулярные ткани поражаются позже.
Остеоартроз левого(справа на снимке) голеностопного сустава
Для артрозов характерны такие изменения в голеностопном суставе:
- дегенерация хрящей и ухудшение их амортизирующей функции;
- асептическое воспаление и отек синовиальной оболочки;
- размягчение и изъязвление хрящей, обнажение подлежащих костей;
- субхондральный склероз костной ткани;
- сужение суставной щели и формирование костных экзостозов;
- гипотрофические и фиброзно-склеротические изменения параартикулярных тканей;
- прогрессирующая деформация сустава с нарушением его функций.
Характерные симптомы крузартрозов:
- «Стартовые» боли. Типичны для начальных стадий болезни. Возникают после периодов покоя, когда человек начинает двигаться. Исчезают через 15-20 минут после начала ходьбы.
- Боли «механического» типа. Могут появляться как на ранних, так и на поздних стадиях. Вызваны нагрузками на голеностоп. Беспокоят человека в течение дня и исчезают ночью.
- Постоянные боли. Возникают на поздних стадиях заболевания, когда развивается реактивный синовит и рефлекторный спазм близрасположенных мышц.
- Уменьшение объема движений в голеностопе. Характерно для поздних стадий, когда сустав деформирован и уже не может справиться со своими функциями.
При сопутствующем синовите больных беспокоит утренняя скованность, локальное повышение температуры, припухлость в области голеностопа. При ревматоидном артрите синовиальная оболочка воспаляется первично, при посттравматическом крузартрозе — вторично, на поздних стадиях болезни. Со временем рецидивы синовита возникают чаще и имеют более выраженную симптоматику.
Несостоявшийся артродез голеностопного сустава, как лечить. Общая характеристика операции
Артродез голеностопного сустава проводится для того, чтобы вернуть конечности опороспособность. Эта операция характеризуется сращением между собой костей, составляющих сустав. Она приводит к потере подвижности сочленения, но функции ноги при этом не теряются. Подвижность сустава компенсируется другими частями стопы. А положительным эффектом операции является то, что человек может безболезненно опираться на ногу.
Суть артродеза в том, что поврежденные части сустава удаляются, частично заменяются имплантатами. Потом кости соединяются неподвижно штифтами или другими конструкциями. Это помогает устранить деформацию конечности и вернуть ей потерянные функции. Со временем костные поверхности срастаются, и развивается анкилоз. Движение в суставе при этом становится невозможным, но боли исчезают, поэтому пациент может нормально передвигаться.
Существует три разновидности артродеза. Обычно проводится внесуставная операция, когда не затрагиваются внутрисуставные хрящи, а кости соединяются штифтом, расположенным снаружи. Но при поражении хрящевой ткани иногда возникает необходимость ее удаления. Тогда проводится внутрисуставная операция. В самых сложных случаях эти две разновидности операции объединяются.
Артродез суставов как метод избавления от болей применяется с конца 19 века. Такое лечение сейчас считается устаревшим и применяется только в самых крайних случаях. Ведь артродез не может решить существующую проблему полностью. Подвижность голеностопного сустава после операции нарушается. Но на некоторое время пациент может забыть о болях. Он вновь приобретает способность спокойно передвигаться, хотя через несколько лет дискомфорт может вернуться. Этот способ лечения очень радикальный, поэтому, если есть возможность, лучше его избежать.
Артродез сустава это. Артродез суставов —, что это такое?
- Оперативное вмешательство на голеностопе у пациента
- Показания для проведения артродеза у пациентов
- Артродез – операция, без которой не обойтись
- Разновидности артродеза
- Оперативное вмешательство в тазобедренный сустав
Артродез – это вариант операции, при котором сустав искусственно закрепляется оптимальной позиции, после чего со временем окостеневает, а подвижность в нём утрачивается пожизненно. Сустав будет закреплён в таком положении, в котором пациенту будет удобно не только ходить, но и отдыхать и выполнять повседневную работу.
При прогрессировании многих заболеваний суставов развивается анкилоз – срастание суставных поверхностей и утрата подвижности сустава. В отличие от артродеза – при патологии подвижность часто утрачивается при расположении сустава в неудобной позиции, которая не позволяет пациенту жить нормальной жизнью.
Когда соглашаться на операцию
При развитии патологических изменений в хрящевой ткани, связках или менисках функция сустава постепенно утрачивается – пациента беспокоят боли, развивается отёк и воспаление. Нередко клиника усугубляется нарушением кровообращения в суставе. В результате хрящ разрушается, его поверхность истончается и деформируется.
Артродез – операция, без которой не обойтись
На начальных этапах возможно восстановление сустава традиционной терапией в виде приёма медикаментов, физиотерапией и лечебной гимнастикой. Если пациент запустил заболевание, единственный выход – хирургический метод лечения.
Важно!
Артродез должен проводиться только, когда пациенту невозможно установить искусственный протез по причине слабости костной ткани или отторжению имплантата организмом.
Основные показания для артродеза:
- Выраженная нестабильность в суставе – при прогрессировании некоторых патологических болезней суставная щель уменьшается. Связки не укорачиваются, снижается фиксация костей конечности. В результате развиваются патологические вывихи подвывихи, требующие хирургического вмешательства;
- Артрит – на начальных стадиях прогрессирование можно замедлить приёмом медикаментов и общеукрепляющими процедурами, но если пациент не выполняет рекомендации врача – со временем болезнь вызывает необратимые изменения в суставе, которые требуют операции;
- Артроз – быстро прогрессирующее заболевание, нередко слабо поддающееся лечению. При развитии нарушений подвижности и выраженных деформаций ноги – показан артродез;
- Остеоартроз – поражение хрящевой ткани и её отмирание деформируют сустав, что приводит к хирургическому лечению;
- Нарушения при срастании околосуставных переломов – если после травмы кость срастается так, что подвижность сустава невозможна – необходим артродез;
- Аномалии развития – при некоторых врождённых патологиях возникает неполноценность функционирования суставов, могут появляться также врождённые подвывихи. В данном случае показана операция;
- Другие причины – серьёзные осложнения от некоторых заболеваний, вызывающие необратимые поражения соединительной ткани, приводящие к деформации суставов и нарушению подвижности вплоть до анкилоза.
Артродез голеностопного сустава последствия. Что такое артродез сустава
Это хирургическая операция больной конечности с целью фиксации в одном положении сустава и удаления поврежденных тканей.
Артродез голеностопа обездвиживает сустав и восстанавливает опорную функцию ноги.
Данная мера позволяет устранить боль, возникшую в результате воспаления или заболевания суставов. Двигательную функцию компенсируют несрощенные кости оперированной ноги.
Науке также известны артродез тазобедренного сустава и тазобедренного. Те, кто впервые слышит о данного вида операциях, часто спрашивают у врача: “Что это такое?”.
Артродез коленного сустава позволяет искусственно создать анкилоз, то есть нарочно ограничить движение в суставе, предотвратив прогрессирование осложненной формы артроза.
Операция показана в том случае, если консервативное лечение патологии не повлияло на улучшение самочувствия пациента, болезнь доставляет сильный дискомфорт и в перспективе только усугубляется.
Хирургическое вмешательство в тазовых сочленениях имеет место, когда протезирование или коррекция сустава противопоказаны, или их результат не позволил устранить болевой синдром. Артродез тазобедренных костей ограничивает подвижность конечности, устраняя последствия агрессивного течения дегенеративного процесса.
После операции в течение нескольких месяцев прооперированный человек проходит курс реабилитации, включающий гимнастику, физиолечение и прием медикаментов по назначению врача.
Оправдана подобная мера может быть в тех случаях, когда перед пациентов и врачом стоит вопрос устранения мучительных болей. При этом, врач обязан предупредить о последствиях — частичной утрате работоспособности оперируемой конечности.
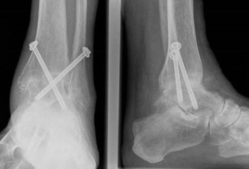
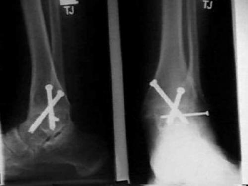
Артродез голеностопного сустава стержнем. Что за операция артродез голеностопного сустава?
Артродез голеностопного сустава – это операция, во время которой сустав обездвиживается, чтобы восстановить опорную функцию ноги.

Голеностопный сустав наиболее часто подвергается разнообразным травмам и требует лечения. Так происходит потому что это сочленение постоянно несет на себе большую нагрузку. Также они часто страдают из-за биомеханики движения в этом суставе. При подошвенном сгибании часто случается подвывих стопы.
К наиболее распространенным травмам голеностопного сустава относят:
- растяжение и разрывы связок;
- переломы:
- лодыжки;
- основания пятой плюстневой кости;
- заднего края большой берцовой кости;
- костей предплюсны;
- пяточной кости;
- нетипичные повреждения.
Наиболее распространены спортивные травмы.
Артродез голеностопа исключает двигательную функцию сочленения, которая и так была нарушена из-за травмы, неправильного сращивания, осложнения туберкулезного артрита , артроза и ряда других патологий опорно-двигательного аппарата.
Во время операции пораженный сустав удаляется и обеспечивается сращивание двух костей, или создается искусственный костный анкилоз.
В процессе хрящевые поверхности таранной и большеберцовой костей удаляются, они сопоставляются и фиксируются. Человек перестает чувствовать боль, но также происходит компенсирование объема движений и нарушаются двигательные функции.
Показания для проведения артродеза
Операция проводится только в случае, если:
- человека мучает стойкий болевой синдром в суставе;
- обезболивающие препараты не помогают справиться с синдромом;
- двигательная функция в суставе ограничена на долгий срок;
- болтающаяся стопа из-за перенесенного полиомиелита;
- диффузные изменения в сочленении из-за туберкулеза голеностопа;
- прогрессирующие деформации из-за артроза;
- есть неправильно сросшиеся переломы лодыжек, которые невозможно исправить другим способом.
Перед проведением операции человек должен пройти тщательное обследование, которое должно показать общее состояние организма, возможные факторы риска.
Артодез на этом суставе могут проводить как под общей, так и под спинальной анестезией. Для сращивания могут использовать специальные шурупы, винты, пластины, стержни, костные трансплантаты и другие медицинские приспособления для фиксации.
Противопоказания проведения артодеза
Эту операцию нельзя проводить, если:
- возраст пациента до 12 и старше 60 лет;
- есть выраженные нетуберкулезные свищи;
- есть вероятность нагноения;
- состояние человека тяжелое или нестабильное.
Реабилитация
После операции накладывается гипсовая повязка, которую снимают через 3-5 месяцев.
Важно понимать, что сустав будет обездвижен навсегда, но движения можно частично компенсировать с помощью работы соседних суставов стопы. Для этого человеку назначают массаж, физиотерапевтические процедуры, ортопедические манипуляции, а также лечебную физкультуру. Эти мероприятия должны максимально восстановить работоспособность и движения человека.
Последствия
Осложнения после этой операции бывают очень редко. К возможным проблемам относят:
- кровотечения;
- тромбоз сосудов ;
- инфицирование;
- повреждение нервов;
- изменение походки.
Симптомами возникших осложнений являются:
- повышение температуры;
- резкая боль, с которой не справляются обезболивающие;
- онемение конечности и чувство покалывания;
- неестественный серый или синий цвет стопы;
- отдышка и рвота;
- бурые пятна на повязке.
Артродез стопы — за и против
К положительным сторонам этой операции можно отнести:
- устранение болевого синдрома;
- устранение процесса деформации сустава;
- возвращение двигательной и опорной функции конечности.
В отрицательным относят:
- обездвиживание сочленения навсегда;
- изменение походки;
- продолжительный период реабилитации, который требует больших усилий от пациента.
Артродез голеностопного сустава аппаратом илизарова. Способы выполнения артродеза
Между двумя костями размещают костный трансплантат, используя кость из другого места в теле человека (аутотрансплантат) или используя донорскую кость (аллотрансплантат). В последнее время развиваются процессы изготовления синтетической кости, которая потенциально будет иметь позитивные свойства как ауто- , так и аллотрансплантанта.
Аутотрансплантант
Оптимальным вариантом является использование костного аутотрансплантата. Это связывают с тем, что аутотрансплантат кости содержит нативные остеобласты. Наличие этих клеток обусловливает самостоятельное образование новой кости (остеоиндукция). Также аутотрансплантант действует как матрица для костного роста из костей-мостиков (остеокондукция). Основным недостатком применения костного аутотрансплантата является ограниченные материальные резервы, так как при этой операции не должно быть ущерба функции кости-донора.

Аллотрансплантант
Преимущество костного аллотрансплантата заключается в том, что он доступен в гораздо большем объеме, чем аутотрансплантат. Но процесс обработки такой кости обычно включает глубокое замораживание, деминерализацию, облучение и / или холодную сушку, что убивает живые клетки кости и клетки костного мозга. Это значительно снижает иммуногенность (риск отторжения трансплантата). Несмотря на вышеописанную обработку, губчатая аллотрансплантационная кость сохраняет свои остеокондуктивные свойства, т.е. способствует образованию на ней новой костной ткани. Было показано, что некоторые методы обработки кости также сохраняют кислотостойкие остеоиндуктивные белки в костных трансплантатах.

Синтетические продукты
Доступны также различные синтетические заменители костей. Обычно они являются гранулами на основе гидроксиапатита или фосфата кальция, которые образуют коралловидную или трабекулярную структуру, имитируя структуру губчатой кости. Они действуют исключительно как остеокондуктивная матрица.
Также при выполнении артродеза к двум костям могут прикрепляться металлические импланты (винты, стержни, пластины на шурупах и др.). Это делается для того, чтобы удерживать кости в неподвижном положении, благоприятствующем росту новой кости.

При артродезе голеностопного сустава может использоваться каждый из этих методов.
В некоторых случаях применяются аппараты внешней фиксации. Классическим считается аппарат Илизарова, или компрессионно-дистракционный аппарат, который с момента изобретения сильно модифицировался. Потому сейчас отзывы пациентов о дискомфорте при его ношении плавно сходят на нет.
Для облегчения костного сращения широко используется комбинация вышеуказанных методов.