Голеностопного сустава разработка. Что делать после травмы
- Голеностопного сустава разработка. Что делать после травмы
- Тазобедренный сустав Фото рентгена здорового и больного человека с описанием. Строение и патологии +Видео
- Артроз правого голеностопного сустава. Лечение посттравматического артроза голеностопного сустава
- Лучезапястный сустав
- Узи голеностопного сустава. Ультразвуковое исследование голеностопного сустава
- Голеностопный сустав. Классификация повреждений связочного аппарата голеностопного сустава
- Видео выпуск 3 Упражнения для разработки голеностопа
Голеностопного сустава разработка. Что делать после травмы
После травмы необходимо ноге в первые 3–5 дней обеспечить покой. За этот период уменьшаются острые воспалительные реакции, снижается количество провоспалительных агентов, снижается болевой синдром.
Сразу после оказания врачебной помощи пациенту рекомендуют проводить дыхательную гимнастику, выполнять движения стопой и пальцами на здоровой ноге.

Варианты разминки стопы после травмы
С 5 дня разработка голеностопного сустава начинается со статической нагрузки мышц голени и бедра. Это позволяет усилить приток артериальной крови, отток венозной вместе с лимфой.
ВАЖНО! Если после травмы голеностопа был наложен гипс, то разработку стопы проводят только на здоровой ноге. После пластики связочного аппарата или установки эндопротеза голеностопного сочленения рекомендуют использовать специальные тренажёры для разработки суставов.
На протяжении первого периода восстановления, который длится 15–20 дней, движения в стопе минимальные, разработка происходит в коленных и тазобедренных суставах. С 5–6 дня пациент должен разминать пальцы на поврежденной ноге.
Во втором периоде разработка голеностопа базируется на выполнении динамических упражнений с небольшой амплитудой движений. После тяжёлых травм пациентов учат заново ходить. Все движения направлены на стимуляцию синтеза синовиальной жидкости, ускорение регенерации хрящевой ткани и укрепление связочного аппарата сустава.
В третьем периоде, спустя 4–5 месяцев, разработка голеностопа сводится к обычным общеразвивающим упражнениям:
- ходьба вверх по 15–25 минут;
- выпады и степы;
- езда на велосипеде;
- прыжки на скакалке;
- тренировка икроножных мышц;
- плавание.
Во втором периоде назначают курсы механотерапии при помощи специализированных тренажёров для разработки суставов после травмы.
Тазобедренный сустав Фото рентгена здорового и больного человека с описанием. Строение и патологии +Видео

Сустав выдерживает колоссальные нагрузки за счет функционирования гиалинового хряща, который является своего рода пористой прокладкой и создает амортизацию при движениях, выделяя при сдавливании суставную жидкость.
Также следует понимать, что сустав состоит не только из костной ткани, но и связок, мышц, отвечающих за сгибание, разгибание, отведение и вращение.
Кровь поступает по глубокой бедренной и запирательной артерии, а отток происходит по большой подкожной и наружной подвздошной вене.
Строение тазобедренного сустава
Тазобедренный сустав — сложный по строению механизм. Он довольно крупный по размеру и отвечает за движение в трех плоскостях:
- 2 — отведение в сторону ноги;
- 3 — вращательные движения.
1 — сгибание и разгибание конечности;Если знать анатомию, то можно без труда понять когда тазобедренный сустав может получить повреждения или заболевания.
Немного анатомии
Из чего состоит тазобедренный сустав?
- Вертлужная впадина подвздошной части таза.
- Шарообразное окончание бедренной кости.
- Суставный хрящ.
- Связки.
Патологии
К патологиям тазобедренного сустава относятся деформации, смещения, заболевания. Расскажем о некоторых из них.
Коксартроз
Болезнь представляет собой разрушение хряща.
При этом человек чувствует сильную боль. Коксартроз приводит к деформации сустава из-за оказываемого давления и пораженная нога уменьшается в длине, что грозит хромотой и инвалидностью.
Болезнь Пертеса
Есть другое название — остеохондропатия тазобедренного сустава. Патология, встречающаяся у детей. Появляется из-за проблем с кровообращением бедренной головки.
Если вовремя не начать лечение, то развивается некроз со страшным последствием — ампутацией конечности.
Врожденный вывих бедра
Этот диагноз означает, что головка бедра недоразвитая, а у капсулы отсутствует достаточная выемка в совокупности со слабыми связками. Когда ребенок пытается встать, головка выскальзывает из впадины.
Бурсит
Воспалительное заболевание околосуставной капсулы. При движении появляется боль, а в последствии становиться трудно передвигаться. При запущенных случаях образовывается нагноение и сепсис тканей тазобедренного сустава. Лечение бурсита консервативное, но если болезнь запущенная, то без помощи хирурга не справиться.
Тендинит
Воспалительное заболевание сухожилий. Распознать легко — пораженное место краснеет и появляется боль.
Движения становятся затрудненными. Выявить болезнь можно при помощи осмотра и УЗИ.
Лечение чаще всего консервативное.
Синдром бедренно-вертлужного соударения
Если сказать проще, то это столкновение костей при движении. До сих пор медицина не определила причины, приведшие к такой патологии. Симптомы — боль, чаще во время сгибания и ограничение в некоторых движениях. Для диагностики понадобится результат рентгена. Лечится только хирургическим путем.
Артроз тазобедренного сустава
Это заболевание носит название коксартроз тазобедренного сустава, немного выше уже упоминали о нем.
Характеризуется процессом разрушения и дегенерации в:
- суставном хряще;
- связках;
- суставной капсуле;
- синовиальной оболочке;
- мышцах;
- субхондральной кости.
Эта патология стоит на первом месте среди болезней опорно-двигательного аппарата человека.
Артроз часто является следствием какого-либо заболевания, вызывающего воспалительные процессы в организме.
В итоге разрушение затрагивает не только мягкие ткани, но и костные.
Хрящ со временем истощается, теряет амортизационные свойства, поражается кость сустава, образовываются костные разрастания.
Могут сформироваться кисты.
Поэтому артроз считается — деформирующей и остеоартозной патологией.
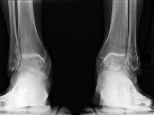
Артроз правого голеностопного сустава. Лечение посттравматического артроза голеностопного сустава
3551
Посттравматический артроз голеностопного сустава — это дегенеративно-дистрофическое разрушение, которое появляется в результате травмирования голеностопа. Патология характеризуется хроническим прохождением. Обычно она развивается постепенно, регулярно проявляя себя интенсивными болями. Своевременное лечение заболевания и умеренные нагрузки смогут помочь сдержать прогрессирование артроза.
Причины развития
Причиной, являющейся началом развития посттравматического артроза стопы, является травмирование сустава в этой области. При этом без разницы, когда именно была получена травма и какой имела характер. Возможно, это была трещина кости или перелом, разрыв или растяжение мышц, либо человек случайно подвернул ногу. Под воздействием определенных факторов вследствие травмы суставного аппарата через время могут начаться патологические процессы, которые приводят к посттравматическому артрозу голеностопа.
Основными причинами, являющимися стартовым механизмом для появления посттравматического артроза голеностопного сустава правой или левой ступни, считаются:

- не до конца проведенное лечение после травмы;
- полное отсутствие лечения (к примеру, болевой синдром отмечался, но через время стих, при этом медикаментозные препараты не использовались);
- повышенные нагрузки на суставы;
- чрезмерный вес;
- развитие возрастных патологий, связанных с концентрацией в организме солей и снижением обменных процессов;
- постоянное ношение обуви на каблуке или, наоборот, на плоской подошве;
- частое травмирование голеностопа;
- эндокринные заболевания.
Зачастую толчком к развитию посттравматического деформирующего артроза голеностопного сустава после травмы является одновременное действие ряда факторов.
Основные стадии
Этот недуг развивается постепенно. С учетом усугубления дегенеративных процессов отмечается все более выраженное появление соответствующей симптоматики.
С учетом уровня разрушения и выраженности заболевание условно делят на три этапа:

- На первом этапе посттравматического артроза на определенных участках поверхностей суставов истончается костная ткань. Трение во время ходьбы приводит к регулярному появлению болевого синдрома и чувства дискомфорта. После отдыха эта симптоматика исчезает. Первую стадию заболевания можно вылечить в домашних условиях. В этом случае важно снизить нагрузки, к примеру, отказ от каблуков, сброс лишнего веса. Чаще всего диагноз установить не получается, поскольку патологические процессы в голеностопном суставе не отображаются во время обследования на УЗИ или на рентгеновском снимке.
- На втором этапе обнаженная хрящевая ткань на разрушенном суставе начинает увеличиваться в объеме. Это защитная реакция в ответ на повышение нагрузок. Увеличенная в размерах ткань начинает травмировать близлежащие здоровые участки, провоцируя последующую дегенерацию суставов. Болевые ощущения проявляются все чаще, могут отмечаться даже ночью.
- Третий этап характеризуется атрофией связочного аппарата, суставной ткани, деформацией и истончением хрящей.
Лучезапястный сустав
I
Лучезапястный сустав (articulatio radiocarpea)
сочленение дистального конца лучевой кости предплечья с проксимальным рядом костей запястья. Функционально является частью сложного кистевого сустава, в который входят кроме лучезапястного сустава среднезапястный, межзапястный, запястно-пястный, межпястный и дистальный лучелоктевой суставы. Эти суставы находятся в тесном анатомическом и функциональном единстве ( рис. 1—4 ).
Суставную ямку Л.с. образует запястная суставная поверхность лучевой кости, дополненная с локтевой стороны суставным диском треугольной формы, отделяющим полость Л.с. от полости дистального лучелоктевого сустава. Суставную головку составляет проксимальный ряд костей запястья: ладьевидная, полулунная и трехгранная кости, соединенные между собой межкостными межзапястными связками. Широкая и тонкая суставная капсула укреплена на тыльной поверхности тыльной лучезапястной связкой, на ладонной — ладонной локтезапястной и ладонной лучезапястной связками, а на боковых — локтевой и лучевой коллатеральными связками запястья.
К ладонной поверхности Л.с. прилежат два синовиальных влагалища сухожилий сгибателей пальцев, а к тыльной — шесть синовиальных влагалищ сухожилий разгибателей запястья и пальцев. Над ними расположены удерживатели сгибателей и разгибателей. В области Л.с. (у шиловидного отростка лучевой кости) лучевая артерия переходит на тыл кисти. В локтевой борозде проходят локтевые артерия, вены и нерв.
Лучезапястный сустав относится к двуосным суставам с эллипсоидной формой суставных поверхностей, что позволяет выполнять сгибание, разгибание, приведение (локтевое сгибание), отведение (лучевое сгибание) и круговые движения кисти. Основными мышцами, сгибающими кисть, являются лучевой и локтевой сгибатели запястья, а также длинная ладонная мышца. Разгибание производят длинный и короткий лучевые и локтевой разгибатели запястья. Остальные мышцы, расположенные на предплечье, принимают косвенное участие в движениях кисти. Отведение обеспечивают короткий и длинный лучевые разгибатели запястья, лучевой сгибатель запястья, длинная мышца, отводящая большой палец, а также длинный и короткий разгибатели большого пальца. Приведение осуществляется благодаря одновременному действию локтевых сгибателя и разгибателя запястья. В области Л.с. расположен треугольной формы промежуток, так называемая анатомическая табакерка, который ограничен спереди и снаружи сухожилиями короткого разгибателя большого пальца и длинной, отводящей большой палец мышцы, а сзади — сухожилием длинного разгибателя большого пальца. Дном анатомической табакерки являются ладьевидная и трапециевидная кости, вершиной — основание первой плюсневой кости, основанием — наружный край лучевой кости. В описанном промежутке проходят лучевая артерия и поверхностная ветвь лучевого нерва.
Узи голеностопного сустава. Ультразвуковое исследование голеностопного сустава
Нижние конечности, особенно голеностоп, больше остальных частей тела подвергается нагрузкам. УЗИ голеностопного сустава проводят для диагностики состояния костной и хрящевой ткани. Ультразвуковое обследование не приносит вреда организму. С помощью ультразвука возможно изучение суставных, соединительных и мышечных структур, сухожилий, кровеносных сосудов, нервных окончаний и связок. Исследование проводят для уточнения состояния пораженного сустава, степени его повреждения и утверждения диагноза, а также на протяжении процесса реабилитации для контроля выздоровления.

Что показывает УЗИ голеностопных суставов?
Ультразвуковое исследование — неинвазивное обследование методом воздействия волнами ультразвука. Такую процедуру еще часто называют сонографией. Пьезоэлектрический эффект способствует быстрой диагностике пораженной области. С помощью УЗИ можно рассмотреть практически весь голеностоп, у которого все структуры находятся близко к поверхности.
В большинстве случаев повреждения голеностопа после поставленного врачом предварительного диагноза на основе осмотра и опроса назначается ультразвуковое исследование.
Процедура помогает точно диагностировать заболевание, опровергнуть его наличие, установить стадию недуга, выявить воспаление, травмы, дегенеративно-дистрофические изменения сустава. Во время реабилитационных процедур результаты обследования подтверждают правильность терапии или отсутствие оздоровительного эффекта. В результате УЗИ сочленения голеностопа подтверждается продление, замена или усовершенствование терапии для дальнейшего противодействия заболеванию. УЗИ голеностопного сочленения покажет присутствие таких патологических отклонений

Таким способом можно диагностировать разрыв связок сочленения.
- артрит;
- киста;
- артроз;
- подагра;
- бурсит подпяточный или позадипяточный;
- разрыв связок голеностопа;
- опухолевые новообразования;
- травмирование сухожильных тканей;
- патологические процессы в кровеносных сосудах;
- пяточная шпора;
- патологии нервных окончаний;
- разрыв мышечных тканей;
- фасциит;
- тенденоз;
- тенденит;
- неврома Мортона;
- эрозии сочленения;
- воспаление мышц;
- дефекты хрящевых тканей;
- скопление экссудата;
- скованность и тугоподвижность сустава.
Проведение процедуры

Обследование может проводиться с латеральной поверхности сочленения.
Для выполнения УЗИ голеностопного сустава важно обнажить нижнюю конечность до колена. Таким образом, вещи не помешают проведению УЗИ голеностопа. Перед процедурой следует принять лежачее или сидячее положение на кушетке для обследования. Такая поза будет оптимально подходит для всех стандартных доступов при отслеживании патологического процесса. УЗИ суставов проводится с 4 сторон:
- передней;
- задней;
- медиальной;
- латеральной.
Такой способ диагностики голеностопа предполагает визуальный осмотр голеностопа со всех сторон. С помощью сканирующей головки можно точно выяснить зону повреждения и ее площадь, а также степень заболевания. После нанесения геля, чтобы лучше работал ультразвук и скользил диагностический аппарат, специалист проводит всестороннее обследование сочленения.
Результаты диагностики
Выяснение состояния и степень повреждения проводится во время процедуры УЗИ голеностопного сустава. Опираясь, на экранное изображение, диагност выясняет четкость и точность контуров околосуставных тканей и может сделать заключение касательно болезни. Важное значение имеет размер и целостность суставных элементов. Если подтверждается присутствие образований, обращают внимание на величину, вид, строение и состав. При проведении процедуры определяют масштаб воспалительного процесса и наличие экссудата.
Когда не делают УЗИ?

При сильных болях в сочленении процедура не проводится.
Не рекомендуется проводить ультразвуковую процедуру при таких отклонениях:
- сильная тугоподвижность сочленения;
- чрезмерная скованность сустава;
- усиленные болевые ощущения в области поражения.
Особое противопоказание для проведения диагностирования представляет собой присутствие крупных открытых ранений и повреждений кожного покрова. Если проявляется сильный болевой синдром, рекомендуется принять обезболивающее средство. Таким образом, станет возможным оптимальное проведение обследования пораженного голеностопного сустава, который не будет скован болью.
Голеностопный сустав. Классификация повреждений связочного аппарата голеностопного сустава
Основа голеностопа – соединение голени и стопы, прочность которого обеспечивается тремя суставными поверхностями: костями большеберцовой, малоберцовой и таранной, скрепленными между собой синовиальной капсулой и связками. Если их целостность по каким-то причинам нарушается, происходит разрыв связки.
Специалисты выделяют несколько видов повреждения (разрывов), которые различаются между собой сложностью:
- Растяжение без разрывов, однако структуры становятся не такими эластичными, потому человек с подобным повреждением испытывает слабую боль. Повреждение практически никогда не сопровождается отечностью.
- При таком повреждении нарушается целостность отдельных волокон связок, что приводит к резкому снижению стабильности сустава и его подвижности. Травма вызывает ощутимые болевые ощущения, а в месте повреждения возможно возникновение отеков. Может сопровождаться повреждением капсульно-связочного аппарата голеностопного сустава.
- Тяжелое повреждение третьей степени с разрывом. Полный разрыв связок, что становится причиной полной потери фиксации сочленения, которые могут разбалтываться. Кожа в месте травмы приобретает синеватый оттенок, появляется отек мягких тканей. Иногда в момент повреждения человек может испытывать болевой шок. Травма приводит к серьезным проблемам при самостоятельном передвижении.
- Остеоэпифизеолиз. Это особый вид повреждения связочного аппарата, при котором не нарушается целостность волокон. Ткани лишь слегка растянуты, однако вместе с тем происходит отрыв краевой части кости, к которой крепятся волокна. По сложности такое повреждение считается примерно равным 3-ей степени, требует оперативного вмешательства специалистов.