Реабилитация после эндопротезирования коленного сустава. Замена коленного сустава, реабилитация после операции
- Реабилитация после эндопротезирования коленного сустава. Замена коленного сустава, реабилитация после операции
- Как выглядит колено после эндопротезирования. Вопросы, которые задаются наиболее часто после эндопротезирования коленного сустава:
- Реабилитация после эндопротезирования коленного сустава в домашних условиях. СРМ-терапия в ранний послеоперационный период
- Массаж после замены коленного сустава. Рекомендации для пациентов после эндопротезирования коленного сустава
- Упражнения после эндопротезирования коленного сустава. Автор методического пособия - врач-травматолог-ортопед, Семиченков Павел Сергеевич
- Когда пройдут боли после эндопротезирования коленного сустава. 4 причины не спешить с эндопротезированием
- Что нельзя делать после эндопротезирования коленного сустава. Дооперационная подготовка к восстановительному периоду
Реабилитация после эндопротезирования коленного сустава. Замена коленного сустава, реабилитация после операции
Реабилитация после эндопротезирования имеет первостепенное значение для обеспечения безболезненного функционирования сустава и улучшения качества жизни пациента. Операция попоказана для лечения болезненных и инвалидизирующих патологий, вызванных различными формами, тяжелыми травмами. Хирургом-ортопедом выполняется полная или частичная замена износившегося суставного соединения на его анатомически точную копию.

Искусственный имплантат состоит из металлических и пластиковых элементов, абсолютно безопасных для организма. Чтобы заново научить прооперированную конечность двигаться правильно, расширить диапазон доступных движений, требуются массажи, посещение физиотерапевтического кабинета, выполнение.
Срок восстановления: когда можно ходить?
Этот вопрос — часто задаваемый среди посетителей специализированных форумов, посвящённых вопросам эндопротезирования. Прогресс сугубо индивидуален, полный возврат к нормальной деятельности возможен уже через 3—6 месяцев после процедуры, в течение которых вы будете заново строить собственную жизнь, учиться самым обыденным вещам.
Большинство имплантов позволяют сгибаться коленному суставу, но не более чем на 110 градусов.
Сложность процесса восстановления — в том, что больные артритом люди живут с изматывающими болями годами. За это время у них вырабатываются предпочтительные позы для, стояния, передвижения, становятся неактивными и атрофируются некоторые мышцы. Эти же привычки, называемые аномальными невралгиями, никуда не уходят и после того, как вы просыпаетесь в послеоперационной палате. Процесс избавления от них сложен, тернист; желательно проходить его под присмотром врача-реабилитолога.
При дегенеративных суставных заболеваниях пациентам полагается пособие по инвалидности. Для его оформления необходим сбор необходимых результатов обследования, подтверждающих неспособность самостоятельно передвигаться.
Причиной для получения аналогичного статуса может стать и реабилитация после эндопротезирования, если в результате операции вы не в состоянии выполнять привычную работу. Оказывается такая социальная помощь в течение 12 месяцев.
Как увеличить результативность реабилитации?
При соблюдении всех врачебных рекомендаций увеличение доступного диапазона движений, избавления от боли удаётся достичь 90% пациентов.
Рекомендации специалиста в зависимости от практикуемой им методики, перенесённого типа процедуры могут различаться. Обычно они включают следующие пункты:
- ранняя физическая активность – залог успешной реабилитации;
- уже на вторые послеоперационные сутки необходимо начинать присаживаться и вставать, используя в качестве опоры специальные поручни;
Встать с кровати и сходить в туалет в первые дни после операции — это уже можно назвать реабилитацией.
- покорятьпридется уже на пятый день. Причём первый шаг делается обязательно здоровой ногой;

А больная нога всегда находится между двух костылей.
- увеличение физической нагрузки происходит постепенно, чтобы не повредить имплантат;

Такое может случиться, если очень торопиться. Это вывих коленного импланта.
- после выписки домой можно приседать только на высокие стулья, а поднимать предметы без посторонней помощи или специальных приспособлений запрещено;

Наглядный пример запрещённых первое время положений.
- постоянный контроль веса;

Если есть лишний вес, то просто похудейте — это даст вам большую фору в процессе восстановления.
- сон на боку или спине разрешён только с использованием специального валика, помещаемого между ног;

Это требование больше подходит для тазобедренного сустава, но колено тоже стоит обезопасить таким образом.
- водить автомобиль позволяется лишь спустя 8 недель после процедуры;

Садиться и выходить из него нужно особым способом.
- вводите в свой рацион пищу, богатую железом, и пейте больше жидкости.
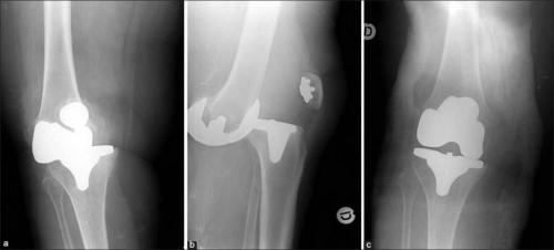
Как выглядит колено после эндопротезирования. Вопросы, которые задаются наиболее часто после эндопротезирования коленного сустава:
- Когда можно принять душ?
Душ можно принимать после снятия швов. Обычно первое купание происходит уже дома. Позаботьтесь, чтобы в ванне были поручни, резиновый нескользкий коврик. При первом приеме душа должен присутствовать близкий человек для подстраховки.
- Когда можно управлять автомобилем?
Автомобилем можно будет пользоваться обычно через 2-3 месяца после эндопротезирования, если пациент без усилий и дискомфорта нажимает на педали. Помните, что сначала надо сесть на кресло, а потом подтянуть ноги. Выходить из машины следует в обратном порядке – поставить ноги на асфальт и с помощью трости встать.
- Может ли возникать боль во время занятий ЛФК?
Боль при выполнении упражнений и даже в покое может иметь место, но она должна быть терпима, при сильной боли надо выпить обезболивающее. Если боль не проходит, следует обратиться к врачу.
- Когда можно отказаться от костылей?
Сроки реабилитации индивидуальные. Они зависят от техники операции, от вида протеза, от активности и возраста пациента. Если реабилитация проходит без осложнений, то от костылей можно отказаться уже через 1,5 месяца.
- Можно ли заниматься спортом?
Можно, но не всеми видами спорта. Рекомендуется ходьба, пешие походы, езда на велосипеде, плавание, гольф. Виды спорта, связанные с прыжками, активным бегом, командные игры в футбол, волейбол и т.д. противопоказаны.
- Как долго может беспокоить боль в ноге?
Дискомфорт, тянущие боли могут беспокоить до полугода. В дальнейшем боль может появляться при перемене погоды.
О чем должен помнить человек с эндопротезом коленного сустава?
Реабилитация после эндопротезирования коленного сустава в домашних условиях. СРМ-терапия в ранний послеоперационный период
С первого дня после эндопротезирования для пассивной разработки коленного сустава используют аппараты механотерапии Artromot или Kinetec. Они позволяют контролировать интенсивность физической нагрузки: индивидуально подбирается амплитуда, скорость и частота. Ежедневно угол сгибания увеличивают на 10°, пока не достигнуто 90° при самостоятельном сгибании. Электронный пульт позволяет легко устанавливать скорость и паузы в растяжении сустава. На дисплее отображается достигнутое значение разгибания и сгибания.
Конструкция СРМ-тренажеров анатомически правильная, основанная на физиологии функционирования коленного сустава. Постоянное движение способствует быстрому восстановлению травмированных тканей, сводит к минимуму вероятность образования контрактур и тугоподвижности. Во время сеанса пациенты отмечают полное расслабление мышц и отсутствие болевых ощущений. Преимущество механического аппарата – возможность разрабатывать сустав 3-4 раза в день, чего нельзя сделать путем упражнений ЛФК. Далее искусственный сустав разрабатывают на специальных установках — ортотиках. Они восстанавливают баланс и координацию движений. Комплекс позволяет оценить функциональное состояние суставов и мышц. В аппарате Biodex реализованы такие возможности:
пассивный режим – предусмотрено изменение скорости для преодоления рефлекса растяжения и дальнейшей помощи в движении;
изометрический режим – для повышения статической силы мышц при наличии болевого синдрома;
изотонический режим – для активной тренировки костно-суставного аппарата.
С помощью панели управления можно контролировать или изменять различные параметры: скорость, вращающий момент, амплитуду движения. Реабилитационный комплекс Biodex позволяет сочетать динамические и статические мышечные нагрузки.
Массаж после замены коленного сустава. Рекомендации для пациентов после эндопротезирования коленного сустава

1. Основные рекомендации для пациента, перенесшего тотальное эндопротезирование коленного сустава, касаются постоянных занятий ЛФК в домашних условиях для улучшения функции оперированного сустава, состояния мышц нижних конечностей, опороспособности, восстановления стереотипа ходьбы и активности в повседневной жизни, а также уменьшения риска падений. Костыли становятся ненужными через 3-4 недели после операции, как только позволит самочувствие пациента. Одним костылем следует продолжать пользоваться до тех пор, пока пациент не перестанет хромать; костыль должен находиться со стороны здоровой ноги.
2. Следует бинтовать оперированную ногу эластичным бинтом до 3-х месяцев после операции. Больному необходимо следить за своим здоровьем, поскольку обострение хронических заболеваний, острые инфекции, переохлаждение, переутомление могут привести к воспалению оперированного сустава. При повышении температуры тела, отеке оперированного сустава, покраснении кожи над ним, усилении боли в суставе пациент должен срочно обратиться к врачу.
3. Опасные виды активности после операции: бег, прыжки, игры с мячом, контактные виды спорта, аэробика – не рекомендуются. Активность, превышающая обычные рекомендации после операции: слишком длительные или утомительные прогулки, большой теннис, подъем тяжестей свыше 25 кг.Разрешенная активность после операции: неутомительные прогулки, плавание, гольф, вождение автомобиля, «неэкстремальный» туризм, бальные танцы, подъемы по невысокой лестнице, лыжи, велосипед, ходьба с палками.Если прооперированное коленоначинает болеть и отекать после нагрузок, их следует на время снизить.
4. Рекомендуется ходить в обуви на низком каблуке, убрать на время подвижные коврики, провода, постепенно увеличивать продолжительность ходьбы и опору на оперированную ногу. При ходьбе пациент должен стараться держать спину прямо, смотреть вперед и ставить ногу прямо перед собой или немного отводя ее в сторону, сгибать колено, когда нога находится на вису, и разгибать его, когда нога опирается на пол. Зимой, при ходьбе по скользким покрытиям, пациенту следует пользоваться препятствующими скольжению насадками на обувь и костыли.
5. При посадке в автомобиль больному желательно садиться на переднее сидение, предварительно откинув спинку и отодвинув кресло максимально назад. Садится в автомобиль нужно, опираясь руками на костыли или другую прочную опору. При посадке следует отклонить назад верхнюю часть туловища и перенести ноги, контролируя их движения. Во время поездки пациент должен сидеть в удобном положении, опираясь на спинку сидения. Управление автомобилем возможно, когда пациент сможет без затруднений садиться в автомобиль и контролировать нажим педалей. Наиболее часто это происходит через 4 – 6 недель после операции.Ранее этого срока можно управлять автомобилем только при наличии автоматической коробки передач.
6. После операции больному необходимо соблюдать следующие правила: следить, чтобы высота поверхности, на которую он садится, находилась не ниже колен; избегать резких движений при вставании и приседании; не сидеть дольше 15-20 минут и не стоять на одном месте дольше 30 минут; после прогулок ложиться на спину и минимум 30 минут держать ноги на высоте; во время отдыха класть подушку между коленями и избегать переразгибания сустава. Следует избегать: чрезмерного поворачивания ног внутрь или наружу, вращательных движений ногами, резких махов в сторону; подъема, переноса и толкания тяжестей (более 10 кг); увеличения веса тела; падений и сотрясений; глубоких приседаний; прыжков; резких движений и торможений; длительного сидения со скрещенными ногами.
7. Отдыхать пациенту лучше лежа на спине 3-4 раза в день. Во время отдыха можно лежать набоку, но при этом пользоваться валиком или подушкой междубедрами. Не следует спать на слишком мягкой или низкой кровати; желательно, чтобы она была выше уровня коленей (когда больной стоит).
8. Следует помнить, что на эндопротез больного могут реагироватьметаллоискатели.
9. Первые шесть недель после операции желательно не принимать горячую ванну и мыться в теплом душе. Категорически не разрешается в течение первых 1,5-3 месяцев посещение бани или сауны.
Упражнения после эндопротезирования коленного сустава. Автор методического пособия - врач-травматолог-ортопед, Семиченков Павел Сергеевич
- Врач-травматолог-ортопед высшей категории
- 15 лет практического опыта
- Свыше 6000 операций на костях и суставах
- Эндопротезирование коленного и тазобедренного сустава
- Впервые в России выполнил 26 операций по замене коленного сустава под контролем системы роботизированной руки МАКО (США)
- Восстановительное лечение после операций, эндопротезирования суставов
- Сертифицированный специалист по системе FormThotics
- Сертифицированный специалист по классическому кинезиотейпированию, балансирующему тейпированию, кросстейпированию
- Стажировки и обучение в ведущих клиниках России, Великобритании, Германии, Италии, Швеции, Австрии, Турции
- Лечение заболеваний суставов, стоп и позвоночника без операций
врач-травматолог-ортопед, Семиченков Павел Сергеевич
врач-травматолог-ортопед, Семиченков Павел Сергеевич
Подписывайтесь на мои социальные сети:
Предисловие
Вам проведена операция по замене коленного сустава и установлен искусственный эндопротез. Эндопротезирование - это современная высокотехнологичная операция с предсказуемым результатом, при помощи которой миллионы людей по всему миру вернулись к активной жизни. Но операция - только часть лечения. Дальнейшее восстановление зависит исключительно от вашего организма и вашей нацеленности на результат.
Есть 2 новости: одна хорошая, а другая плохая. Начну с плохой.
Диагноз “артроз” означает разрушение сустава. Сустав не выдержал нагрузки и разрушился. Разрушенный сустав удалён, а на его место установлен искусственный эндопротез, который помещён в те же самые условия ,в которых разрушился свой, настоящий сустав. А настоящий сустав гораздо надёжнее искусственного! И если ничего не менять, гарантии, что эндопротез прослужит долго, нет никакой. У кого-то он простоит 20 лет, ау кого-то не прослужит и года. И зависит это не от протеза, а от организма человека.
Хорошая новость в том, что ваше здоровье всё ещё в ваших руках! Если вы готовы работать, делать упражнения, восстанавливать работу суставов, укреплять мышцы - вы сможете максимально быстро вернуться к активной жизни и продлить службу искусственному суставу на многие десятилетия вперед. Если вы оставите всё так как есть и не начнёте работать со своим здоровьем, не начнете меняться - дальнейшее течение заболевания непредсказуемо.
Если же вы готовы работать и меняться - значит нам по пути!
Искусственный сустав - это сложная инжинерная конструкция. Это модульная система, состоящая из отдельных компонентов. Часть компонентов состоит из специальных медицинских сплавов, которые имеют высокую совместимость с организмом человека, также в конструкции импланта есть полимерные компоненты. Современные полимеры обладают очень высокими прочностными характеристиками, что обеспечивает их устойчивость к износу в условиях постоянного трения на протяжении нескольких десятилетий.
Установка эндопротеза обычно осуществляется на цемент, хотя есть и бесцементные версии имплантов. Бесцементные эндопротезы не имеют преимуществ перед цементными и работают точно так же.
Искусственный эндопротез отличается по своей форме и принципам движения от настоящего сустава. Во время движения в суставе возможны щелчки, хруст, стук. Как правило это безболезненно и не вызывает проблем, а также не влияет на срок службы эндопротеза.
Ваше восстановительное лечение мы условно разделим на 4 этапа. Каждый этап имеет разные задачи и методы их достижения, но именно такая последовательность мероприятий позволяет добиться максимального результата в кратчайшие сроки.
Когда пройдут боли после эндопротезирования коленного сустава. 4 причины не спешить с эндопротезированием
Замена поврежденного сустава на искусственный – это сложное хирургическое вмешательство, чреватое тяжелыми осложнениями. У многих все проходит успешно, но по истечении некоторого времени протез напоминает о себе. Здесь возможны разные сценарии, вплоть до повторной операции. Поэтому, прежде чем решиться на эндопротезирование сустава , вспомните об этих причинах и, возможно, поищите альтернативные варианты лечения.
1. Инфекции.
Инфекция в области замены сустава бывает сразу после операции. В редких случаях к этому приводит недостаточная стерильность операционного зала или человеческий фактор, например ошибочное инфицирование операционной раны. Даже если операция прошла успешно, бывают и поздние инфекции – внешнее инфицирование.
Кожа в области замененного сустава краснеет и опухает, температура тела повышается, возникает боль. Если вы заметили секрет в области протеза, дело и вовсе плохо. Немедленно обращайтесь за помощью!


Инфицирование в области эндопротеза – большая неприятность
2. Осложнения во время операции
Лечение артроза тазобедренного сустава путем его полной замены – это сложная манипуляция, требующая профессионализма врачей. Всегда остается вероятность повредить нервные окончания или кровеносные сосуды. Осложнения чаще возникают в послеоперационный период, но и во время операции они не редкость.
Если позиционирование протеза выполнено неправильно, рано или поздно пациенту диагностируют вывих или деформацию, значит, вести привычный образ жизни он все равно не сможет. Если элементы протеза недостаточно зафиксированы – он становится нестабильным. Возникает боль во время движений. Результат операции оставляет желать лучшего.
Эндопротезирование крупных суставов – это очень рискованная процедура, которая может дать осложнения. Как избежать их? Смотрите об этом подробную лекцию профессиональных травматологов-ортопедов:
3. Послеоперационные осложнения.
Успех эндопротезирования во многом зависит от того, как пройдет послеоперационный период. Пациент получает многочисленные рекомендации и запреты, а при нарушении хотя бы одного из них – рискует повредить эндопротез и окружающие ткани. После операции в течение нескольких недель возможны такие «неприятности» разной степени тяжести:
- тромбоз, пролежни и эмболия – из-за неподвижного образа жизни и дефицита движения;
- скопление жидкости в области сустава;
- медленное заживление послеоперационной раны;
- повторное кровотечение;
- гематомы;
- тугоподвижность в суставе;
- плохое общее самочувствие и др.
Многие осложнения возникают из-за того, что пациент не соблюдает абсолютно все рекомендации врача, стремится быстрее, чем положено, расширить диапазон движений и вернуться к привычной жизни.


Самое неприятное открытие после эндопротезирования – это сложная и долгая реабилитация с множеством ограничений
4. Травмы и повреждения эндопротеза.
Несмотря на то что современные эндопротезы изготавливают из прочных биосовместимых материалов, они все равно не безупречны. Безусловно, такое явление, как усталостный перелом (перелом на фоне «усталости» металла), им не знакомо, но есть и другие опасности.
Через несколько лет после операции пациент «забывает» о ней и чрезмерно нагружает искусственный сустав. Крепления компонентов ослабевают – наступает перелом части протеза или в лучшем случае – нарушается его стабильность. Человек снова не может вести привычный образ жизни. Если эндопротез установлен при лечении артроза коленного сустава , становится сложно передвигаться, возвращается тугоподвижность и боль. Возможно, предстоит повторная операция, что не всегда допустимо ввиду преклонного возраста пациента или крупных финансовых вложений.

Что нельзя делать после эндопротезирования коленного сустава. Дооперационная подготовка к восстановительному периоду
Правильная реабилитация начинается еще до эндопротезирования. Об ее основных пунктах, важности каждого из них рассказывает врач на дооперационном этапе. После общения с пациентом хирург оценивает побочные риски, анализирует состояние готовящегося к операции и дает определенные рекомендации на дооперационный период:
- если человек неспортивный, ему предлагают укрепить мышцы ног и рук; сильные мышцы рук (особенно трицепса) необходимы для устойчивого хождения на костылях после операции, а натренированные мускулы и связки сустава будут поддерживать его работу; укрепить мышцы можно с помощью физических упражнений (но без чрезмерного усердия), аквааэробики, плавания, скандинавской ходьбы и занятий на велотренажерах;
- если пациент имеет лишние килограммы, ему до операции необходимо уменьшить свою массу;
- хирург напоминает, что пациенту после операции может потребоваться компрессионный трикотаж (чулки или эластичные бинты), который минимизирует риск тромбоза и появление трофической язвы, и рассказывает, как грамотно им пользоваться;
- пациент должен обучиться дыхательной гимнастике и начать практиковать ее заранее;
- врач оговаривает возможность применения послеоперационного бандажа на колено и покажет все возможные варианты ортезов, обратит внимание на их плюсы и минусы;
- врач (или медсестра) дает подробный инструктаж, как правильно выбрать костыли и проводит урок по обучению хождения на костылях (в дальнейшем до операции пациент дома тренируется сам);
- пациент должен освоить базовые упражнения ЛФК;
- большая роль отводится безопасной домашней обстановке, о которой надо позаботиться заранее – нескользкий пол, хорошее освещение, отсутствие на полу проводов и лишних предметов, острых травмоопасных углов, шатких конструкций, домашней обуви, обеспечивающей стабильность стопы и т.д.;
- проговаривается высота кровати дома, желательно увеличить ее за счет еще одного матраса, чтобы пациенту было легче ложиться и вставать с кровати.





