Реабилитация после перелома лодыжки. Перелом лодыжки: реабилитация
- Реабилитация после перелома лодыжки. Перелом лодыжки: реабилитация
- Как долго болит нога после перелома лодыжки. Рекомендации по питанию
- Реабилитация после перелома лодыжки в домашних условиях. Массаж
- Осложнения после перелома лодыжки. Разновидности и типы
- Через сколько можно ходить после перелома лодыжки. Перелом лодыжки
- Реабилитация после перелома лодыжки со смещением. Комплексы упражнений
- Как начать ходить после перелома лодыжки. Как восстановить функции голеностопа после травмы
- Реабилитация после перелома лодыжки форум. – Игорь Анатольевич, обычно после перелома на 1-1,5 месяца накладывается гипс. Какие изменения за это время происходят в месте перелома и окружающих тканях?
Реабилитация после перелома лодыжки. Перелом лодыжки: реабилитация
Перелом лодыжки –в этом случае необходима для того, чтобы вернуть голеностопному суставу былую подвижность, и начинать ее проведение необходимо как можно раньше. В идеале – еще в больнице, сразу после операции.
Современные методы лечения позволяют избегать заковывания ноги в гипс, сустав просто скрепляется при помощи специальных винтов. В этом случае ничто не мешает начать реабилитацию практически сразу. Если же гипса избежать не удалось, придется дождаться его снятия и только после этого приступить к реабилитационным мероприятиям.
Отек после операции перелом лодыжек можно уменьшить при помощи процедуры мануальный лимфодренаж. В поврежденной, вынужденной сохранять неподвижность ноге венозная и лимфатическая системы не способны выполнять свою работу в полной мере. По мере заживления раны можно начинать выполнять осторожные движения ступней. Не нужно бояться себе что-то повредить, но и слишком усердствовать тоже не стоит. Легкие покачивания ступней, не вызывающие появления боли – тот максимум, который можно себе позволить в первые дни после операции.
Образующийся на месте оперативного вмешательства рубец необходимо массировать с применением специальных противорубцовых кремов. В результате такого массажа значительно улучшается кровоснабжение лодыжки, убираются спайки в соединительной ткани, да и сам рубец станет менее заметным, позволив сохранить былую красоту ног.
После обращения за советом врача и его разрешения можно начинать вставать с постели и передвигаться при помощи костылей. Боль постепенно проходит,на разработку голеностопного сустава должны стать более интенсивными.
Многие допускают большую ошибку, когда начинают ставить поврежденную ногу на носок во время ходьбы с костылями. Необходимо сразу приучать выздоравливающий сустав работать правильно, наступая на пятку и перекатывая ногу на носок, как это происходит при обычной ходьбе. Для начала стоит переносить на поврежденную ногу не более 5-10% веса, помогая себе костылями, постепенно, по мере заживления, нагрузку необходимо увеличивать день за днем до тех пор, пока потребность в костылях не отпадет вообще.
Но даже и после этого необходимо щадитьв течение всего периода, рекомендуемого лечащим врачом. Если будет назначена операция по извлечению винтов, реабилитациюлодыжек можно будет прервать на пару дней, после чего возобновить ее по уже привычной схеме. В этот раз на восстановление подвижности сустава понадобится намного меньше времени – уже через неделю пациент сам сможет это почувствовать.
Как долго болит нога после перелома лодыжки. Рекомендации по питанию

Здесь тоже «целая наука» – из-за получения травмы страдает не только конечность, но и весь организм! Ему нужно насытиться рядом питательных веществ, начиная с минералов и заканчивая аминокислотами, чтобы донести их до повреждённой зоны, где идёт процесс регенерации. Для таких пациентов в индивидуальном порядке разрабатывается рацион питания, где есть «что можно, нужно» и «что нельзя».
Да, получившему травму человеку хоть и назначают витамины и минералы, но не стоит обделять вниманием способность организма потреблять их естественным путём, то есть, через пищу. Вот, что можно и нужно кушать:
- мясо птицы – идеально подойдёт курица и индейка;
- кроличье мясо, его часто советуют пациентам не только с переломами;
- кисломолочная продукция;
- разные орехи и семена;
- ягоды и фрукты, причём, как свежие, так и сушёные;
- овощные рагу, салаты, можно добавить немного растительного масла;
- рыба, лучше речная;
- каши из круп;
- зелень петрушки, укропа;
- прозрачные супы – можно с той же курицей, индейкой или кроликом.
- немножко подсушенный белый хлеб.
Важно! Это – примерный список, для каждого человека в соответствии с его особенностями составляется свой рацион. Кстати, пациентам после получения такой травмы нужно не только есть, но и потреблять достаточное количество жидкости (для суставов обязательно). Что пить:
- минеральные воды, нужны именно слабощелочные;
- кисло-сладкие морсы, соки;
- молочные кисели – вкусно и полезно (кальций);
- компоты.
В день снятия гипса обязательно выпить 2,5 литра жидкости! Отвар шиповника и ромашки часто используют как народное средство. Что нельзя есть и пить:
- фаст-фуд (гамбургеры, шаурма и т.п.);
- полуфабрикаты;
- копчёные и жирные продукты;
- всяческие солёности – никаких чипсов, сухариков, сушёных кальмаров;
- жареную картошку и макароны в любом виде;
- маринованные продукты;
- ни в коем случае нельзя пить алкоголь! Скорость восстановления снизится на порядок;
- чёрный чай;
- кофе;
- энергетические напитки.
Последние три напитка также замедляют процесс восстановления. Ниже пойдёт речь об ЛФК как об одном из этапов реабилитации после перелома голеностопа ноги – находятся пациенты, употребляющие «энергетики» с целью повышения тонуса. Этого делать нельзя.
Источник: https://zdorovkrasota.ru/stati/reabilitaciya-posle-pereloma-lodyzhki-vtoroy-etap-reabilitacii
Реабилитация после перелома лодыжки в домашних условиях. Массаж
Реабилитация после перелома лодыжки обязательно включает массажные сеансы. Растирания, поглаживания способствуют быстрому восстановлению поврежденных тканей голеностопа. Усилить эффективность помогут кремы с разогревающим, обезболивающим, противоотечным действием. Особенно полезны препараты с пихтовым маслом, фитоэкстрактами сабельника, окопника, золотого уса.
Восстановление после переломов ускоряется благодаря таким эффектам массажа:
- улучшение местного кровотока;
- устранение отечности и застойных явлений;
- стимулирование регенерации хрящевых тканей;
- повышение мышечного тонуса;
- увеличение амплитуды движений после переломов.
Щадящий массаж проводят и до снятия гипса — непосредственно поверх повязки, для чего в ней иногда прорезают окошки. Одновременно массируется область тела выше и ниже. Сначала движения мягкие, поглаживающие, не доставляющие больному дискомфорта. По мере укрепления мышц и связочно-сухожильного аппарата используются более интенсивные приемы — разрешены постукивания, разминания, вибрации. Благодаря этому уже до снятия гипса повышается объем движений в травмированной зоне, ослабевают и вскоре совсем исчезают боли в лодыжке.
Массаж после перелома голеностопа можно выполнять и в домашних условиях: поглаживать, разминать, встряхивать поврежденную ногу, захватывая область лодыжки и пяток. Но профессионалы сделают это качественнее: они лучше чувствуют мышцы, знают, где нужно усилить давление, а где действовать мягче.
В пансионате «Тульский дедушка» медицинский персонал в совершенстве владеет всеми техниками массажа: классический — расслабит мышцы, вакуумный — улучшит кровоснабжение, а точечный — усилит лимфодренаж.
Осложнения после перелома лодыжки. Разновидности и типы
Классификация переломов голеностопного сустава достаточно сложна. Отдельно классифицируются:
- Переломы малоберцовой кости (наружной лодыжки).
- Большеберцовой (внутренней лодыжки).
- Повреждения межберцового синдесмоза.
- Таранной кости.
Каждая из этих категорий имеет подпункты. При травмах, они сочетаются и редко встречаются изолированно. Знание всех нюансов каждого типа перелома и понимание механизма травмы, позволяет максимально полностью и эффективно устранять повреждения.
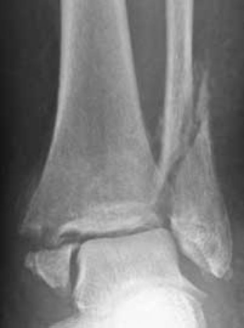
Обычно, отламываются лодыжки: внешняя (латеральная, – отросток малоберцовой кости) или внутренняя (медиальная – часть большеберцовой). Могут ломаться и сразу обе.


Рис. 2. а. перелом обеих лодыжек со смещением; б. перелом лодыжек и заднего края большеберцовой кости.
Особенность таких переломов в том, что иногда щиколотки как бы отрываются от костей голени: при подворачивании ноги, прочные связки могут не разорваться, а тянут за собой щиколотку, отрывая или ее полностью, или вызывая отлом и смещение небольшого фрагмента кости.
Грубые высокоэнергетические травмы способны не ограничиться щиколотками и сопровождаются разламыванием суставной поверхности большеберцовой кости.
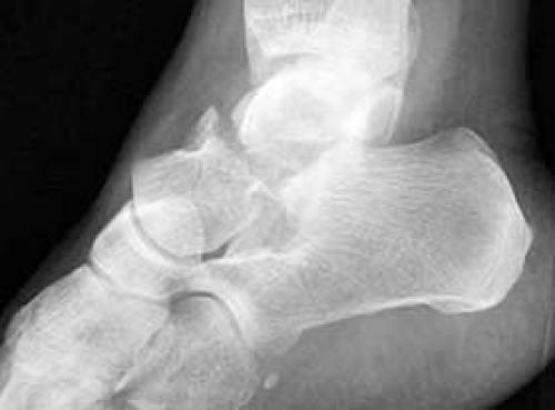
Таранная кость ломается заметно реже. Но при ее повреждениях могут возникать внутрисуставные отломки. Выраженную симптоматику они дают не всегда и часто заканчиваются развитием ложных суставов.
Приходится сталкиваться с переломовывихами: при отламывании одной или обеих щиколоток ноги, они теряют способность фиксировать блок, таранная кость вывихивается и смещается, усложняя лечение.


Рис3. а. перелом наружной лодыжки, разрыв синдесмоза и делтовидной связки, подвывих стопы кнаружи. б. перелом таранной кости.
Подобные травмы опасны нарушением кровоснабжения костной ткани, что становится причиной асептического некроза (таранной кости) и сильно усложняет работу врачей.
Частым осложнением является разрыв наружных и глубоких связок и смещение костных отломков.
Через сколько можно ходить после перелома лодыжки. Перелом лодыжки
Перелом лодыжки — это самое распространенное повреждения кости. Связано это с особенностью ее строения и большой нагрузкой на нее. В большинстве случаев пациенты называют лодыжки щиколотками.
Анатомия голеностопного сустава
Голеностоп соединяет кости стопы с костями голени. Лодыжки - это дистальные отделы большеберцовой и малоберцовой кости.
Строение голеностопа довольно сложное: он образован таранной костью и костями голени, которые связаны между собой хрящевой и мышечной тканью. Каждый сустав имеет разветвленную сеть кровеносных сосудов и нервов, которые обеспечивают трофику тканей и слаженность движения конечности.
В случае травмы все это нарушается и при неправильном лечении никогда не восстанавливается полностью.
Причины и симптомы перелома лодыжки
Главной причиной перелома щиколотки являются прямые (удар) и непрямые (подворачивания нижней конечности) травмы.
Непрямые травмы встречаются чаще. Они могут возникнуть при падении во время гололеда, спортивных тренировок, катание на роликах и сноуборде, подскальзывание на мокром полу и т. д.
Причинами прямых травм лодыжки могут быть автомобильные аварии, падение на ногу чего-нибудь тяжелого и т.д. Перелом лодыжки сопровождается:
- Болевым синдромом;
- Отеком мягких тканей;
- Гематомами;
- Нарушением функции сустава.
Диагностика перелома лодыжки
Диагностируют перелом лодыжки методом рентгенографии в прямой, косой и боковой проекции.
В сложных случаях назначается компьютерная и магнитно-резонансная томография, ультразвуковое исследование голеностопа.
Первая помощь при переломе наружной лодыжки
При переломе лодыжки пострадавшего нужно доставить в травмпункт. Лучше вызвать карету «Скорой помощи». Когда же нет такой возможности, придется организовать носилки из подручных средств и доставить пострадавшего в ближайшее медучреждение.
До приезда медиков больному нужно оказать доврачебную помощь:
- Освободить ногу от травмирующих факторов, разумеется, если это возможно без дополнительного повреждения конечности.
- Приподнять пострадавшую ногу. Для этого можно сделать валик из одежды.
- При появлении кровотечения наложить лед или что-нибудь холодное, если есть возможность — кровоостанавливающий жгут, который нужно ослаблять на 20 секунд, через каждые 20 минут.
- При нарушении целостности кожных покровов ни в коем случае нельзя пытаться вправить отломки кости.
- При сильной боли дать пострадавшему анальгезирующее средство.
- Когда нет специализированной шины для иммобилизации, а больного надо доставить в медучереждение самостоятельно, нужно наложить шину из подручных средств.
Поврежденную конечность аккуратно согнуть в коленном суставе и расположить ступню, так чтобы пятка была по отношению к голени под прямым углом. Наложить импровизированную шину и зафиксировать ее бинтом, поясом, ремнем и т.д.
Лечение перелома лодыжки
Лечат перелом лодыжки консервативным и хирургическим путем.
Консервативные методы лечения используют в следующих случаях:
- Закрытий перелом без смещения;
- Перелом со смещением, но возможна одномоментная закрытая репозиция;
- Незначительное повреждение связок голеностопа;
- Нельзя провести операцию (риск наркоза при серьезных заболеваниях, отказ пациента, некоторые патологии ССС и ЦНС, декомпенсированный сахарный диабет).
Этапы консервативного лечения перелома лодыжки:
- Закрытое вправление (репозиция) кости.
- Наложение гипсовой повязки.
- Снятие гипса.
Показание к хирургическому методу терапии:
- Открытый перелом;
- Неэффективность закрытой репозиции (вправлении);
- Застарелые травмы;
- Повреждение обоих конечностей;
- Разрыв связочного аппарата голеностопного сустава;
- Повреждение лодыжки с одновременным переломом большеберцовой и малоберцовой кости, разрывом связок и подвывихом стопы кнаружи.
Реабилитация после перелома лодыжки
В течение первых 3 недель после оперативного вмешательства на больную конечность вставать категорически запрещено. Передвижение на костылях возможно только спустя это время. Гипс после хирургического вмешательства обычно накладывают минимум на 2 месяца. После его снятия некоторое время показано ношение эластичного бинта.
Если в качестве фиксаторов были использованы изделия из титана, то с ними можно жить долгое время. Если же фиксаторы выполнены из других металлов, то их нужно удалить максимум через полгода.
Передвижение без костылей разрешено минимум через 3 месяца.
На восстановления сустава требуется от 3 до 24 месяцев.
Время зависит от возраста больного, его физического состояния, сложности перелома.
При реабилитации перелома лодыжки показана:
- Лечебная физкультура;
- Массаж;
- Физиолечение;
- Диета, обогащенная кальцием.
Курс реабилитации подбирается индивидуально в зависимости от тяжести перелома лодыжки.
Реабилитация после перелома лодыжки со смещением. Комплексы упражнений
Лечебные методики, направленные на реабилитацию после перелома стопы в домашних условиях, включают утреннюю зарядку, упражнения стоя, упражнения в движении, упражнения в положении сидя.
Утренняя зарядка — так называемая гигиеническая зарядка, которую нужно проводить сразу после пробуждения. Она состоит из трех частей. Первую часть необходимо выполнять в кровати — сгибать и разгибать пальцы ноги, вращать ее наружу и внутрь, делать круговые движения. Затем рекомендуется выполнять самомассаж с кремом или мазью.
Обще развивающие упражнения, которые необходимо проводить утром:
- последовательный подъем на пальцы ног и опускание на пятки;
- колено одной ноги сгибается, руки опираются о стену; вторая нога отведена назад на пальцы; икроножная мышца и ахиллово сухожилие сильно растягиваются;
- стопы, стоящие параллельно друг к другу, перекатываются с наружной к внутренней части;
- колени поднимаются к груди, голеностоп тянется;
- выпад в бок с поворотом туловища в сторону.
Важно. Лучше всего проводить упражнения босиком на протяжении 30-40 минут.
Реабилитация после перелома стопы:
- пальцы ног сгибаются таким образом, что упор делается на внешнюю сторону стоп;
- перекаты с пятки на носок;
- положение полуприсед, стопы одновременно перекатываются налево и направо;
- положение присед, пятки оторваны от пола.
Данные упражнения выполняются в 2 подхода по 10-15 раз.
Как начать ходить после перелома лодыжки. Как восстановить функции голеностопа после травмы
Каким способом врачи будут проводить лечение – зависит от тяжести травмы и характера повреждения сустава. Ведь надрывы связок лечить гораздо легче, чем, к примеру, переломы со смещением или переломо-вывихи. С лечебной тактикой специалисты определяются лишь после обследования пациента, имея полное представление о его состоянии и тяжести травмы.
Для восстановления функций голеностопного сустава используют несколько способов:
- Консервативное лечение. Эффективно при легких травмах, которые не сопровождаются переломами, вывихами и полным разрывом связок. Функции голеностопа восстанавливают с помощью покоя, фиксации эластичным бинтом, обезболивающих и противовоспалительных препаратов, физиопроцедур и ЛФК.
- Гипсовая иммобилизация. Применяют в лечении переломов, при которых нет смещения костных отломком и нестабильности голеностопа. Гипс накладывают и при свежих разрывах и надрывах связок (не позже двух-трех месяцев после травмы). Также гипсовую иммобилизацию используют после остеосинтеза и скелетного вытяжения в качестве завершающего метода лечения.
- Закрытая репозиция с дальнейшей гипсовой иммобилизацией. Применяется при закрытых переломах со смещением. При сопутствующих подвывихах голеностопа ее не рекомендуют использовать из-за высокого риска неудовлетворительного исхода лечения.
- Открытая репозиция с фиксацией погружными конструкциями. Таким путем лечат все открытые и часть закрытых переломов. В некоторых случаях после операции сустав дополнительно фиксируют гипсом.
- Скелетное вытяжение и чрескостный компрессионный остеосинтез. Используются для лечения сложных и застарелых переломов в области голеностопного сустава. Проводится с помощью специальных аппаратов внешней фиксации.
- Хирургическое лечение. Проводится при застарелых повреждениях связок, посттравматическом остеопорозе, тяжелых переломах и переломо-вывихах. Позволяет восстановить функции голеностопа даже тогда, когда другими путями сделать это невозможно.
Источник: https://zdorovkrasota.ru/novosti/reabilitaciya-posle-pereloma-golenostopa-raznovidnosti-i-tipy
Реабилитация после перелома лодыжки форум. – Игорь Анатольевич, обычно после перелома на 1-1,5 месяца накладывается гипс. Какие изменения за это время происходят в месте перелома и окружающих тканях?
– В результате повреждения изменения происходят во всех тканях конечности. Помимо изменений в костной структуре, вызванных непосредственно переломом, происходит кровоизлияние в мягких тканях, включая мышцы, сухожилия, связки, и, в том числе, даже костный мозг. Излившаяся в замкнутые пространства конечности кровь создаёт в них высокое давление изнутри, при этом рассасывание излившейся крови идёт медленно. Это может стать причиной того, что процесс заживления пойдёт по неблагоприятному пути, в результате чего могут сформироваться хронические очаги воспаления с исходом в боль, отёки, деформации конечности.
Можно считать правильным и необходимым в наше время стремление врачей и пациентов избежать иммобилизации гипсовой повязкой, поскольку, конечно, гипсовая иммобилизация имеет побочные эффекты в виде уменьшения объёма мышечной ткани, замедления кровотока и лимфооттока, формирования рубцов в области подвижных структур (сухожилий, суставов), и «сморщивание» суставных капсул. Есть и другие неблагоприятные явления иммобилизации гипсовой повязкой, особенно, если иммобилизация длительная. Но большинство этих явлений обратимы. Потому мы, врачи, на них идём сознательно. Хуже – не использовать гипсовую повязку.
Ведь гипсовая повязка имеет и много положительных и, даже, незаменимых качеств, а именно: гипсовая иммобилизация – это быстрый, надёжный и дешёвый способ создать покой повреждённой конечности, микроклимат для заживления повреждения.
При этом надёжность лечения повышается. Вероятность развития стойкого рубцового перерождения тканей, фиброза и контрактур суставов за время 4-6 недель иммобилизации чрезвычайно мала.
Важным аспектом является и профилактика получения дополнительного повреждения, например, при падении во время ходьбы с костылями, которое встречается нередко.
Есть ещё один важный аспект проблемы, а именно: отказываясь от гипсовой повязки, врачи берут на себя ответственность за плохой результат в случае несращения кости и образования её ложного сустава. Безусловно, ложный сустав может развиться и в гипсовой повязке, но отказ от её использования может трактоваться как причина возникших проблем.